En Molina Clínica Dental, ubicada en Sevilla, encontrarás un equipo de odontólogos especializados en una amplia gama de tratamientos dentales. Desde limpiezas bucodentales hasta complejas cirugías de implantes, su objetivo es mantener y mejorar la salud bucodental de sus pacientes.

Nuestra Filosofía como Dentista en Sevilla
Con una trayectoria profesional desde 1982, Molina Clínica Dental se enfoca en atender las necesidades de cada paciente, ofreciendo una atención personalizada y los mejores servicios para lograr una sonrisa saludable y estética.
Instalaciones Modernas y Tecnología Avanzada
La clínica cuenta con instalaciones modernas y equipos de última tecnología para el diagnóstico y tratamiento dental. Disponen de tres box o gabinetes independientes para garantizar la comodidad de los pacientes.
Servicios Ofrecidos
En Molina Clínica Dental se atienden diariamente desde limpiezas bucodentales hasta la compleja cirugía de implantes para rehabilitaciones completas, lo que conlleva una continua actualización en las últimas técnicas médicas relacionadas con la odontología.
- Odontología Conservadora: Tratamientos para el saneamiento oral, incluyendo restauraciones, incrustaciones, empastes e higiene.
- Cirugía Oral: Procedimientos quirúrgicos para tratar afecciones en la boca, dientes y mandíbula, como extracciones, injertos de tejidos, frenectomías, colocación de implantes y regularizaciones óseas.
- Implantes Dentales: Reposición de piezas dentales perdidas para recuperar la función masticatoria, respiración y habla.
- Ortodoncia: Corrección de malposiciones dentales con tratamientos personalizados, incluyendo ortodoncia convencional y alineadores transparentes.
- Ortopedia Dentofacial: Abordaje de problemas en el crecimiento y desarrollo de maxilar y mandíbula para restaurar una función armoniosa.
- Carillas Dentales: Láminas finas que se adhieren a la parte externa del diente para mejorar la estética y rejuvenecer la sonrisa.
- Blanqueamiento Dental: Tratamiento para aclarar la superficie dental, realizado en clínica o en casa, para una sonrisa más blanca.
- Periodoncia: Cuidado de los tejidos blandos y duros que soportan los dientes, incluyendo encías y huesos.
- Tratamiento del Bruxismo: Abordaje de problemas como el apretar o rechinar los dientes, utilizando terapias como láser, fisioterapia y férulas oclusales.
Odontología: Clínica Dental Saúco en Sevilla
Opiniones de Nuestros Pacientes
Las opiniones de los pacientes son fundamentales para Molina Clínica Dental. Aquí algunos testimonios:
- "Magnífico equipo. Muy profesionales! Totalmente aconsejable. Cristina me solucionó un problema con el que llevaba tiempo, y no conseguía resolverlo. Gracias!!!!"
- "Iba con algo de miedo pero la Dra Molina me transmitió mucha tranquilidad, me explicó cómo sería el tratamiento y quedé encantado con la atención que recibí. Totalmente recomendable."
- "Me ha encantado,fuí a hacerme una limpieza dental con anestesia y el trato que recibí fue muy cordial y amable, me sentí muy bien y la doctora toda una profesional. Mis dieces."
- "Los mejores profesionales en su rama, de los mejores odontólogos a los que he ido, se preocupan y cuidan mucho a sus pacientes, un trato extraordinario. Altamente recomendado."
- "Odontología de calidad a precios ajustados. Son encantadores y el trato es siempre exquisito, recomendando lo mejor para la salud del paciente."

Atención Personalizada y Profesionalismo
Los pacientes destacan el trato amable, cercano y profesional del equipo de Molina Clínica Dental. Se preocupan por explicar detalladamente cada procedimiento y resolver cualquier duda que pueda surgir.
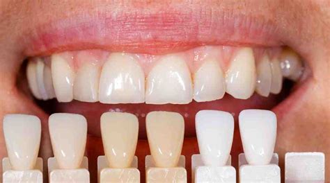
Carillas Dentales: Tipos y Durabilidad
En la actualidad, existen dos tipos de carillas dentales: las de porcelana y las de composite. Ambos tratamientos son estéticos, resistentes y duraderos. Con un buen mantenimiento e higiene bucal, las carillas de porcelana pueden durar hasta 15 años.
| Tipo de Carilla | Material | Durabilidad (Aproximada) | Características |
|---|---|---|---|
| Porcelana | Cerámica | 10-15 años | Alta estética, resistente a manchas |
| Composite | Resina compuesta | 5-7 años | Menor costo, reparación más sencilla |

Blanqueamiento Dental y Carillas: Combinación Ideal
El blanqueamiento dental puede combinarse con la colocación de carillas o coronas. Es importante realizar el blanqueamiento antes de colocar las carillas para lograr el color deseado en los dientes, ya que ni las carillas ni las coronas pueden ser blanqueadas posteriormente.