La mordida abierta es una de las maloclusiones más complejas que existen, evidentemente varía en su grado y severidad; y por tanto la complejidad del tratamiento de ortodoncia. ¿Tienes una mordida abierta? ¿Tus dientes no se juntan correctamente cuando muerdes? Eso significa que tienes una mordida abierta.
Una mordida abierta también suele llamarse sobremordida inversa o sobremordida negativa. En una mordida saludable, los dientes superiores e inferiores deben encajar de manera armónica al cerrar la boca, permitiendo una función adecuada al masticar y hablar. La mordida abierta es una condición dental que se caracteriza por un espacio anormal entre los dientes superiores e inferiores cuando la boca está cerrada.

Esta condición puede desarrollarse a lo largo del tiempo debido a diversas razones. Una de las causas más comunes es la presión desigual ejercida sobre los dientes durante el crecimiento y desarrollo, especialmente durante la infancia. Los hábitos como chuparse el dedo, chuparse el pulgar o el uso prolongado de chupetes pueden influir en el desarrollo de una mordida abierta.
Tratamientos para la Mordida Abierta
El tratamiento de la mordida abierta puede pasar por un tratamiento ortodóncico-quirúrgico, un tratamiento con extracciones de dientes, un tratamiento con elásticos anteriores (elásticos que sirven para cerrar la mordida) o como en nuestro caso con microtornillos.
Es muy importante hacer un estudio de ortodoncia minucioso para entender el origen de la mordida abierta antes de iniciar cualquier tratamiento. Normalmente existe una afectación esquelética (el hueso está deforme) que hay que corregir. La lengua del paciente es un factor recidivante muy importante a la hora de retener y mantener los resultados en el tiempo, por esa misma razón hay que aplicar un protocolo de retención diferente a estos casos; protocolo que describo más abajo en este artículo.
Tratamiento con Microtornillos
Las opciones de tratamiento con cirugía ortognática o extracciones dentales fueron descartadas ya que este caso se puede solucionar correctamente con microtornillos de anclaje. Para intruir los molares superiores y distalar ligeramente la arcada inferior, para mejorar el engranaje de la boca, se utilizan 4 microtornillos colocados detrás de cada muela (2 arriba y 2 abajo). Este tipo de tratamientos de ortodoncia pertenece a un grupo de tratamientos que utilizan el anclaje distal con microtornillos para mover los dientes hacia donde nos convenga más.
En este caso de clase II usamos anclaje distal para mover hacia atrás los molares superiores y en este caso de clase II con mordida abierta tratado con ortodoncia lingual usamos el anclaje distal con microtornillos para mover los molares superiores hacia arriba y hacia atrás lo que ayudo a cerrar la mordida abierta.
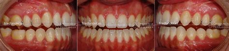
Después de unos 16 meses de tratamiento con brackets convencionales obtuvimos estos resultados.

Resultados después de 16 meses con ortodoncia fija y microtornillos
En la siguiente radiografía lateral inicial se puede observar la mordida abierta de unos 3mm (izquierda), en la radiografía lateral final (derecha) se puede observar una sobremordida de 3mm, es decir, hemos conseguido unos 6mm de movimiento vertical a nivel de los incisivos.

Radiografías laterales de antes durante y después del tratamiento.
Retención: Manteniendo los Resultados a Largo Plazo
La última fase de cada tratamiento de ortodoncia es la fase de retención. Cada caso requiere retención para que no hayan recaídas después del tratamiento. En las mordidas abierta es aun más necesarios y el protocolo es aun más estricto.
Para la retención de casos de mordida abierta uso siempre una retención fija superior e inferior y además como refuerzo un aparato que se llama envelope de Bonnet con bloques de mordida posteriores.

Envelope de Bonnet colocado en los modelos de trabajo, se puede observar que la lengua no puede tocar los dientes anteriores mientras el aparato este colocado.
El envelope lingual de Bonnet fue ideado como un «envoltorio» para la lengua, para su reeducación y la corrección de la deglución. El envelope impide que la lengua pueda tocar los dientes anteriores. Hemos modificado el envelope original añadiendo unos bloques de mordida para ayudar a mantener el movimiento de intrusión conseguido. Para resumir, este aparato modificado tiene doble función; evita que la lengua empuje los dientes y mantiene la intrusión molar conseguida con los microtornillos.
Este aparato es muy cómodo de llevar (requiere un pequeño periodo de adaptación) y se lleva solo para dormir, momento que la lengua ejerce mucha presión sobre los dientes anteriores de manera inconsciente.



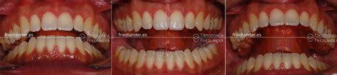
Comparación del antes y después del tratamiento

Antes y después del tratamiento
Mordida Cruzada: Un Problema Común
Si observas que muerdes del revés, que tus dientes no encajan correctamente al cerrar la boca o experimentas algún tipo de incomodidad al masticar, es posible que tengas mordida cruzada. Lo normal es que los dientes superiores muerdan por fuera de los inferiores, tanto a nivel anterior como posterior. Puede producirse tanto en la región frontal de la boca (mordida cruzada anterior) como en los lados (mordida cruzada posterior).

Fig. 1. Mordida cruzada: antes y después. En la imagen izquierda se observa una mordida cruzada posterior.
Tiene distintas causas y es importante identificarlas para determinar el mejor enfoque de tratamiento, así como evitar que se desarrolle cuando el paciente está en crecimiento. Normalmente nos encontraremos la combinación de varios factores.
- Interferencias dentales: son contactos inadecuados entre los dientes, que generan inestabilidad y provocan un desplazamiento de la mandíbula.
- Deglución disfuncional: se trata de la interposición de la lengua entre los dientes para estabilizar la mandíbula y conseguir el sellado de la cavidad oral.
- Respiración oral: puede estar provocada por presencia de amígdalas o adenoides aumentadas.
Este problema no solo puede afectar a la estética de la sonrisa, sino que también puede tener consecuencias para la salud bucal y general.
- Desgaste dental irregular: lo ideal es masticar por los dos lados de la boca por igual.
- Problemas en la articulación de la mandíbula: algunos estudios refieren que la mordida cruzada puede causar problemas en las articulaciones temporomandibulares (ATM). Esto puede derivar en dolor y dificultad para abrir o cerrar la boca.
El tipo de tratamiento dependerá de si el paciente se encuentra en crecimiento o es adulto. Es importante recordar que cuanto antes se aborde el problema, mejores serán los resultados.
- Aparatos ortopédicos: los disyuntores son aparatos que van colocados sobre el maxilar y que tienen la capacidad de ensancharlo.
- Logopedia: se trata de un tratamiento coadyuvante al aparato de ortodoncia.

Fig. 2. La mordida cruzada es un problema dental común pero tratable que afecta tanto la función como la estética de nuestra sonrisa.
Si sospechas que tienes una mordida cruzada o si notas algún síntoma mencionado en este artículo, te recomendamos que busques la opinión de un especialista en ortodoncia. Recuerda que cada caso es único y un ortodoncista es la mejor persona para evaluar tu situación y recomendarte el tratamiento más adecuado.
Problemas Asociados a la Mordida Abierta
- Problemas de masticación: Una mordida abierta puede dificultar el proceso de masticación adecuada.
- Desgaste anormal de los dientes: La falta de alineación puede generar una distribución desigual de la fuerza al masticar, llevando a un desgaste anormal de los dientes.
- Problemas de habla: Una mordida abierta puede influir en la pronunciación correcta de ciertos sonidos, dando lugar a problemas de habla.
- Estética facial: La estética facial se ve directamente afectada por una mordida abierta visible al sonreír o hablar.
- Autoestima: La conexión entre la apariencia dental y la autoestima es innegable.
Diagnóstico de la Mordida Abierta
- Evaluación clínica: Nuestros odontólogos especializados realizarán una evaluación clínica detallada, examinando la boca, los dientes y la mandíbula en busca de signos de mordida abierta.
- Radiografías dentales: Utilizamos radiografías dentales avanzadas para obtener imágenes detalladas de la estructura ósea y dental.
- Modelos de estudio: Tomamos moldes precisos de los dientes para crear modelos de estudio.
- Fotografía digital: La fotografía digital de alta resolución nos ayuda a documentar visualmente la condición de la mordida abierta y a evaluar su impacto estético.
- Tecnología de escaneo intraoral: Utilizamos tecnología de escaneo intraoral para obtener imágenes digitales detalladas de los dientes y las encías.
Opciones de Tratamiento en Dental Care Barcelona
En Dental Care Barcelona, somos conscientes de que cada paciente es único, y por lo tanto, abordamos la mordida abierta con enfoques personalizados que se adaptan a las necesidades individuales.
- Brackets y alambres: La ortodoncia tradicional con brackets y alambres sigue siendo una opción efectiva para corregir la mordida abierta.
- Ortodoncia invisible: Para aquellos que prefieren una opción más discreta, ofrecemos tratamientos con Invisalign.
- Cirugía ortognática: En casos más severos de mordida abierta, la cirugía ortognática puede ser recomendada.
Después de completar el tratamiento, se utilizan retenedores para mantener los resultados y prevenir la recurrencia de la mordida abierta.
Otros Tratamientos y Consejos
La terapia de ortodoncia es el tratamiento más común para la mordida abierta. Los aparatos se suelen llevar durante uno o dos años, y el retenedor entre cuatro y ocho semanas. El dentista utilizará bandas de goma o soportes metálicos para reposicionar los dientes y crear una relación adecuada entre los incisivos superiores e inferiores.
Si todavía estás creciendo, tu dentista puede intentar posicionar tus dientes sin usar un retenedor. Esto se denomina bracket de autoligado y se puede retirar después del tratamiento.
La cirugía de realineación de la mordida, también conocida como cirugía ortognática u ortogonal, tiene como objetivo realinear los maxilares superior e inferior. Esto se hace normalmente rompiendo los huesos de la mandíbula superior e inferior y luego ajustándolos en una posición diferente. La cirugía de realineación de la mordida suele ser el último recurso porque es un procedimiento quirúrgico invasivo.
Si no desea llevar a cabo el tratamiento de ortodoncia, se puede probar un tratamiento alternativo llamado odontología estética. Aunque la odontología estética puede ayudar a corregir una mordida abierta, también se ocupa de corregir la decoloración, el espaciado y otros problemas. Si deseas corregir una mordida abierta con la odontología estética, nuestros profesionales tendrán que hacer una corona en el diente frontal superior y un retenedor fijo en el diente frontal inferior.
Si tienes una mordida abierta, puedes considerar la posibilidad de acudir a la logopedia o a un terapeuta nutricional. Un logopeda puede ayudarte a aprender a utilizar la lengua y los dientes de forma que se cierre el hueco creado por la mordida abierta. Un terapeuta nutricional puede ayudarte a superar las alergias alimentarias que puedas tener e incluso recomendarte alimentos que te resulten difíciles de comer debido a la mordida abierta.
Retenedores: Claves para el Mantenimiento a Largo Plazo
Los dientes se mueven de forma constante, por lo que si queremos mantenerlos en la posición correcta durante el tiempo hay que hacer uso de retenedores. Una vez finaliza dicho tratamiento, es esencial mantener los dientes en la correcta posición a lo largo del tiempo.
Retenedor fijo: consiste en colocar un alambre trenzado de acero en la parte interna de los dientes anteriores, de canino a canino. Las ventajas de los retenedores fijos son su invisibilidad y su comodidad, pues están colocados en la parte interna de los dientes y no generan molestias ni requieren ser retirados por el paciente. Además, al ser permanentes, proporcionan una retención continua sin depender de la disciplina del usuario para su uso.
Retenedor removible: es una férula de contención de uso nocturno que rodea todos los dientes de la arcada. Una de las ventajas de los retenedores removibles es la mayor facilidad en la higiene dental, ya que pueden retirarse para el cepillado. Además, son cómodos de usar y su diseño abarca toda la arcada dental, brindando retención global.
En nuestra clínica dental recomendamos combinar ambos tipos de retención para asegurar la estabilidad en caso de fallo. Por ejemplo, si con el tiempo se rompe el retenedor fijo, o bien en caso de pérdida del retenedor removible, el paciente puede usar el otro sistema de retención hasta visitar la clínica dental, evitando así los movimientos dentales.
Recomendaciones Después de un Tratamiento de Ortodoncia
- Colocación de retenedores: Los retenedores son clave para que los dientes permanezcan en la nueva posición y se mantengan así inalterables a largo plazo.
- Cuida la higiene bucodental: Es importante tener una técnica adecuada que realice un barrido en vertical en una posición entre perpendicular y 45º a la superficie dental, pero nunca en horizontal ni aplicando excesiva presión, pues el cepillo puede arrasar y retraer las encías.
- Visita a tu dentista: Uno de los mejores cuidados después de quitar los Brackets que puedes darle a tu salud bucodental es la visita a tu odontólogo-ortodoncista de confianza para que vea cómo siguen tus dientes después de la ortodoncia.
- Blanqueamiento dental: Se puede aclarar el tono de los dientes si se desea con fines cosméticos y de rejuvenecimiento. Para ello te aconsejamos un blanqueamiento dental.
- Cuida el estado de tus retenedores fijos y removibles: Renueva tus férulas cada 4 o 5 años, ó cuando estimes que el uso los ha envejecido o deteriorado.
Cuándo Usar Brackets
La respuesta es sencilla: hay que usar brackets cuando los dientes están mal colocados. Los problemas no son dentarios, sino del crecimiento cráneo-maxilo-mandibular. Hay que tener en cuenta que en el 95% de los casos los pacientes presentan este tipo de irregularidades dentarias, a los que se le conoce también por el término maloclusión.
- Por problemas congénitos.
- Causas adquiridas. Independientemente de los progenitores, el niño puede adquirir una maloclusión debido a problemas de amígdalas, vegetaciones, asma, así como por otras afecciones en la lengua o relacionadas con los chupetes y biberones.
Los beneficios de una buena ortodoncia van más allá de una bonita sonrisa. En Coinsol dental todos los tratamientos que realizamos están personalizados. Nos adaptamos al estado de la boca del usuario y a su problemática para resolver cada caso clínico de la forma más efectiva.
Además de todo lo que hemos comentado habría que sumar otro beneficio importante: la aportación a la mejora incluso del habla y la pronunciación.
Efectos Secundarios de los Brackets
La colocación de brackets requiere de un periodo de adaptación, puesto que ahora llevas un cuerpo extraño en tu boca que además está ejerciendo presión en tus piezas dentales. Uno de los efectos de los brackets que más se experimenta es el dolor, especialmente en la primera semana tras la colocación de la ortodoncia. Por lo general es conveniente evitar alimentos muy duros durante los 3 o 4 primeros días.
La ortodoncia fija implica tener un cuerpo extraño en los dientes, así que los brackets dificultan la higiene diaria en casa. Por ello, es fundamental que prestes especial atención a la limpieza de tu boca, haciendo mucho hincapié en los recovecos de la boca y en los espacios interdentales. Estos problemas se pueden evitar mejorando la higiene en casa y acudiendo a las revisiones pautadas por el dentista.
Muchas de las urgencias relacionadas con los brackets se deben a la ingesta de alimentos excesivamente duros, pegajosos o fibrosos. Debido al roce de los brackets con el interior de los labios y, en el caso de la ortodoncia lingual, con la lengua, es posible que tengas aftas o llagas los primeros días. Por ello, y hasta que te hayas acostumbrado a llevar los brackets, te recomendamos que uses cera para ortodoncia.
Mordida Profunda: ¿Qué es y cómo se trata?
La mordida profunda es una clase de sobremordida. Esto quiere decir que el maxilar superior está más adelantado que los dientes de abajo. En esta maloclusión además se añade que al cerrar la boca los dientes superiores cubren por completo o casi por completo a sus antagonistas.
Algunos problemas que puede causar la mordida profunda:
- La mandíbula superior hace que se fuercen los dientes sin necesidad.
- Más caries y peor salud en las encías.
- Enfermedad periodontal.
- Problemas al pronunciar.
- Se pueden tener dificultades para fonar.
Las causas de la mordida profunda pueden ser:
- Antecedentes familiares que se heredan.
- Malos hábitos.
Lo ideal es acudir al dentista cuando empiezan a aparecerles los primeros dientes definitivos. El tratamiento de la mordida profunda puede ser con ortodoncia con brackets o con cirugía ortognática en la edad adulta.
Existen diferentes tipos de ortodoncia:
- Ortodoncia fija: Se lleva puesto siempre hasta que finaliza el proceso. Puede ser con brackets tradicionales de metal, metálicos autoligables o con brackets estéticos.
- Ortodoncia removible: El paciente puede quitarse para comer y lavarse los dientes.
Para que el resultado de un tratamiento de ortodoncia sea perfecto, lo ideal es ponerse en manos de profesionales con experiencia para que determinen si tienes mordida profunda, mordida cruzada u otro tipo de problema.