El sarro en los dientes no es solo un problema estético, sino también un enemigo formidable de la salud bucodental. Como dentistas especializados en salud y prevención bucodental, en este artículo profundizaremos en qué es exactamente el sarro, cómo se forma, y qué impacto tiene en nuestra salud dental.
El sarro dental es la placa bacteriana que, al endurecerse, se adhiere firmemente a los dientes, generando manchas, mal aliento y problemas en las encías. En este artículo te explicamos qué es el sarro dental, cómo se forma, sus principales señales de alerta y los métodos profesionales para eliminar el sarro de forma segura.
¿Acumulas mucho sarro dental? Evítalo así. Te lo explico rápido y fácil.
¿Qué es el Sarro y Cómo se Forma?
El sarro, conocido científicamente como cálculo dental, es una acumulación endurecida de placa bacteriana en los dientes. La placa es una mezcla pegajosa de bacterias, saliva y restos de alimentos que, si no se elimina adecuadamente, se mineraliza convirtiéndose en sarro. Este proceso se ve acelerado por sustancias en la saliva que facilitan la cristalización de los minerales.
El sarro en los dientes se forma por la acumulación progresiva de residuos de alimentos, proteínas salivares y restos microbianos, que se calcifican alrededor de las superficies de los dientes como consecuencia de la precipitación de las sales minerales y los iones presentes en la saliva.
Esta capa de suciedad también se puede amontonar en el borde o debajo de las encías, llegando a irritar los tejidos gingivales. El sarro está colonizado por las bacterias de la cavidad oral o placa bacteriana, responsable a su vez de muchas de las patologías de los dientes y encías.
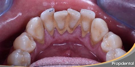
El sarro se distingue por su color, que puede ir de blanquecino a pardo. Además los problemas estéticos derivados de su aspecto desagradable, su presencia puede traer consecuencias negativas para la salud oral.
Existen dos tipos de sarro, el supragingival que es el que se puede observar a simple vista y el subgingival que no es visible y es el más perjudicial para las encías y los tejidos de soporte del diente (hueso).
La diferencia fundamental entre la placa bacteriana y el sarro duro radica en su composición y resistencia. Mientras que la placa bacteriana es una biopelícula blanda que puede eliminarse mediante el cepillado dental regular, el sarro duro presenta una estructura mineralizada que no puede removerse con métodos de higiene bucal convencionales.
En cuanto a su aspecto, es una capa cristalina fina donde se van alojando los gérmenes que habitan en la cavidad oral, agravándose al no poseer un correcto aseo bucodental.
Es importante comprende que, en ocasiones, el sarro subgingival (bajo las encías) no es fácilmente visible. Un dentista puede diagnosticar su presencia en una revisión rutinaria, identificando las capas endurecidas en los dientes o debajo de la encía.
Si se sospechan complicaciones derivadas, como caries ocultas o enfermedad periodontal, el odontólogo podría realizar radiografías dentales o medir la profundidad de las bolsas gingivales para evaluar el daño.

Causas de la Aparición del Sarro en los Dientes
El sarro aparece debido a una higiene oral insuficiente. Si no nos cepillamos bien los dientes ni usamos hilo dental con regularidad, la placa bacteriana se acumula y termina mineralizándose, aunque existen otros factores que favorecen la formación de sarro:
- Higiene bucal inadecuada: La base de la formación de sarro es una higiene bucal deficiente. Cuando los dientes no se cepillan adecuadamente o no se utiliza hilo dental regularmente, la placa bacteriana se acumula en los dientes y, con el tiempo, se endurece formando sarro. Especialmente crítico es el cepillado antes de dormir, ya que durante la noche la producción de saliva disminuye, lo que facilita la acumulación de placa.
- Dieta rica en azúcares y almidones: La alimentación juega un papel crucial en la formación de sarro. Los alimentos y bebidas ricos en azúcares y almidones contribuyen a la formación de ácidos en la boca. Estos ácidos favorecen la proliferación de bacterias y, por lo tanto, la formación de placa que eventualmente se convierte en sarro. Snacks frecuentes y bebidas azucaradas son particularmente perjudiciales.
- Genética y factores individuales: Las características individuales, como la composición química de la saliva, pueden afectar a la formación del sarro. Algunas personas producen saliva que favorece la acumulación de minerales en la placa, acelerando la formación de sarro. Además, ciertos factores genéticos pueden predisponer a las personas a una mayor formación de sarro. Cuando nuestro pH no cuenta con el nivel de acidez adecuado, nos hace más propensos a la formación de sarro.
- Fumar: El tabaquismo es otro factor significativo en la formación de sarro. Los productos del tabaco no solo manchan los dientes, sino que también afectan la saliva, facilitando la acumulación de placa y su posterior mineralización en sarro.
- Edad: La probabilidad de desarrollo de sarro aumenta con la edad. Con el tiempo, la acumulación de placa se vuelve más probable, y la eficacia de las técnicas de higiene bucal puede disminuir, especialmente si hay problemas de movilidad o destreza manual.
- Secado de boca y medicamentos: Ciertos medicamentos y condiciones que reducen la producción de saliva pueden contribuir a la formación de sarro. La saliva juega un papel crucial en la limpieza natural de la boca, y su disminución puede acelerar la formación de placa y sarro.
- Dientes mal alineados o aparatos: Dientes apiñados, prótesis mal ajustadas o brackets crean áreas de difícil limpieza donde el sarro puede formarse fácilmente.

¿Por qué se acumula sarro duro específicamente detrás de los dientes inferiores?
La anatomía oral explica por qué el sarro duro detrás de los dientes inferiores es tan común. Las glándulas sublinguales y submandibulares, ubicadas debajo de la lengua, secretan constantemente saliva rica en minerales directamente hacia la superficie lingual de los incisivos inferiores.
La superficie lingual de los dientes inferiores representa una de las zonas más desafiantes para mantener una higiene bucal adecuada. La posición de la lengua, la limitada visibilidad durante el cepillado y la dificultad para maniobrar el cepillo en esta área contribuyen a una limpieza incompleta.
Muchas personas concentran sus esfuerzos de higiene bucal en las superficies dentales más visibles, descuidando inadvertidamente las zonas posteriores y linguales.
Impacto del Sarro en los Dientes
Dejar que el sarro se acumule sin tratamiento no solo afecta la apariencia de tu sonrisa, sino que puede derivar en problemas serios de salud bucodental.
La acumulación de sarro en los dientes, especialmente a nivel radicular, es nociva para los tejidos que lo rodean. Las bacterias presentes en el sarro dental son capaces de provocar, de manera directa o indirecta:
- Enfermedades de las encías: El sarro en los dientes proporciona una superficie rugosa que facilita la acumulación de más placa, lo que puede conducir a gingivitis y, potencialmente, a periodontitis. La presencia de sarro duro detrás de los dientes provoca una respuesta inflamatoria constante en las encías circundantes. Esta inflamación se manifiesta como gingivitis, caracterizada por encías de color rojo intenso, hinchadas y sensibles al tacto.
- Mal aliento: El sarro alberga bacterias que pueden causar mal aliento o halitosis. El mal aliento crónico constituye uno de los primeros indicadores de acumulación de sarro duro detrás de los dientes. Este síntoma se produce porque el cálculo dental proporciona una superficie rugosa ideal para la adherencia y proliferación de bacterias anaerobias, que liberan compuestos sulfurados volátiles responsables del olor desagradable.
- Decoloración y daño dental: El sarro puede manchar los dientes y, a largo plazo, contribuir a la erosión del esmalte dental. El esmalte debilitado por debajo de la placa calcificada se vuelve vulnerable a las caries. El sarro duro detrás de los dientes presenta inicialmente una coloración amarillenta que puede evolucionar hacia tonos marrones o incluso negros, dependiendo de factores como el tabaquismo, el consumo de té, café o ciertos alimentos.
- Caries: El sarro facilita la acumulación de bacterias ácidas que desmineralizan el esmalte. Con el tiempo, esto provoca agujeros en el diente (caries) si no se interviene.
- Periodontitis: Si la gingivitis no es tratada, puede transformarse en periodontitis, una enfermedad grave de la encía y el hueso. En la periodontitis la infección y el sarro suben por debajo de la encía destruyendo el hueso y el tejido de soporte del diente, lo que puede llevar a la pérdida de piezas dentales. El sarro subgingival crónico es un detonante principal de la periodontitis.
- Recesión de encías: La presencia prolongada de sarro puede hacer que las encías se retraigan, dejando expuesta mayor parte del diente o raíz (aspecto de “dientes más largos”). Esta retracción provoca sensibilidad dental y facilita aún más la acumulación de placa en esas zonas expuestas. Cuando el sarro duro provoca retracción gingival, las raíces dentales quedan expuestas, generando sensibilidad al frío, calor o alimentos ácidos. El sarro duro actúa como un irritante mecánico constante que «empuja» progresivamente la encía hacia abajo, exponiendo mayor superficie radicular.
- Problemas digestivos: Se producen a causa de la infección que al tragar pasa por el tracto digestivo.
- Sensibilidad dental y dolor: En casos avanzados donde la enfermedad periodontal ha progresado significativamente, pueden aparecer molestias o dolor durante la masticación.

¿Cómo se Puede Eliminar el Sarro?
Una vez que la película de suciedad y residuos se calcifica y se endurece, solo se puede eliminar mediante una limpieza profesional. El sarro o cálculo dental tiene que ser eliminado en la clínica dental mediante una profilaxis dental profesional.
El sarro duro únicamente puede eliminarse mediante procedimientos profesionales realizados por dentistas o higienistas cualificados. No es posible eliminar el sarro duro mediante métodos caseros. Su estructura mineralizada requiere instrumental profesional específico para su remoción segura.
Existen diferentes métodos para quitar el sarro:
- Ultrasonidos: El empleo de ultrasonidos es especialmente útil cuando el sarro está ubicado por encima de la línea de las encías (unión del diente con la encía). Logran desprender el cálculo en fragmentos sin dañar la superficie dentaria. Es muy importante que el proceso sea profusamente refrigerado con agua, pues los ultrasonidos producen un aumento térmico que podría causar dolor y daño en la estructura dentaria.
- Curetaje: Las curetas dentales son dispositivos manuales con formas muy variadas, de tal manera que consiguen adaptarse perfectamente a la superficie de los dientes. Permiten llegar bien a los espacios que hay en el surco de la encía. Allí se acumula el denominado sarro subgingival, especialmente nocivo para los tejidos gingivales al estar colonizado frecuentemente por patógenos periodontales muy dañinos.
- Fresas: Existen también fresas de diseños específicos para la eliminación de placa y sarro. Se acoplan a las turbinas y los motores dentales a diversas revoluciones.
- Aeropulverizadores: Los aeropulverizadores de polvo de glicina son de gran ayuda para eliminar la placa bacteriana y las manchas. Se trata de un método poco invasivo y muy efectivo tras la eliminación grosera del sarro con los métodos descritos en los puntos anteriores.
- Pulido: Es importante insistir en la importancia del pulido de la superficie dentaria tras la realización de cualquier tipo de procedimiento de eliminación de sarro (tartrectomía). De no ser así, se volvería a acumular nuevamente la placa y el sarro de manera aún más rápida y severa, favorecida por las rugosidades que pueden producirse al limpiar.
En Clínica Dental Letamendia, empleamos tecnología de ultrasonidos de última generación para quitar el sarro de los dientes de manera precisa y confortable. El proceso incluye también el uso de instrumental manual especializado (curetas) para el refinado de superficies radiculares y la eliminación de sarro en áreas de difícil acceso.
Cuando el sarro duro ha progresado causando gingivitis o enfermedad periodontal, en Clínica Dental Letamendia implementamos protocolos de tratamiento integral que pueden incluir curetajes radiculares, terapia antimicrobiana y seguimiento periodontal especializado.
¿Cómo Prevenir la Formación de Sarro?
La prevención del sarro es una parte crucial del cuidado bucodental. El sarro debe prevenirse diariamente mediante una correcta higiene bucodental: La mejor estrategia es prevenir el sarro. Si evitamos que la placa bacteriana se endurezca, no tendremos que enfrentarnos a las consecuencias del sarro.
Las siguientes prácticas de higiene y hábitos saludables ayudan a mantener el sarro a raya:
- Cepillado efectivo: Utilizar una técnica de cepillado adecuada es fundamental. Se recomienda cepillar los dientes al menos dos veces al día, durante dos minutos cada vez, utilizando una pasta dental con fluoruro. Prestar especial atención a los molares posteriores y a las áreas cerca de la línea de las encías, donde el sarro tiende a acumularse más. Cepillado tras las comidas, de 2 a 3 veces al día, con especial atención en la remoción de la placa tras el sueño y el desayuno, y antes de irse a dormir por la noche. El cepillado debe ser enérgico, pero atraumático, con cepillos manuales con cerdas no agresivas o cepillos eléctricos. Se deben cepillarse correctamente todas las caras dentarias e, idealmente, debe hacerse siempre en el mismo orden para asegurarnos que quedan siempre todas las superficies barridas y limpias.
- Usar hilo dental: El hilo dental no solo elimina los restos de comida entre los dientes, sino que también ayuda a eliminar la placa que se forma en áreas que el cepillo no puede alcanzar. El uso diario del hilo dental es esencial para prevenir la formación de sarro. Complementar el ritual de limpieza, al menos en una ocasión al día, con higiene interdental. Se recomienda utilizar hilo dental, seda o cinta, y/o irrigadores.
- Técnica de Bass: Existen diferentes técnicas para la higiene dental. Una de las más eficaces y extendidas es la técnica de Bass, que permite eliminar adecuadamente el sarro en la zona gingival sin dañarla.
- Enjuagues bucales antisépticos: Los enjuagues con agentes antisépticos pueden ayudar a reducir la cantidad de bacterias en la boca, disminuyendo la formación de placa y sarro. Utilizar colutorios o enjuagues bucales puede ser muy útil cuando hay gingivitis, si bien no es, ni mucho menos, lo más importante.
- Dieta y nutrición: Reducir el consumo de alimentos y bebidas con alto contenido de azúcares y almidones puede disminuir significativamente la formación de placa. Además, una dieta rica en frutas, verduras y agua ayuda a promover una buena salud bucodental. Aumentar el consumo de manzanas y otras frutas y verduras también contribuye a reducir la aparición de sarro. Modera el consumo de alimentos azucarados y bebidas carbonatadas, así como de carbohidratos refinados. Las bacterias de la placa prosperan con el azúcar, produciendo los ácidos que dañan el esmalte. Llevar una dieta sana, rica en vegetales, frutas y agua, reduce el combustible de esas bacterias. Si consumes dulces ocasionalmente, procura enjuagarte con agua o cepillarte después.
- Dejar de fumar: Dado que fumar es un factor de riesgo significativo para la formación de sarro, dejar de fumar puede reducir drásticamente la acumulación de sarro y mejorar la salud bucal general. Evita el tabaco en cualquiera de sus formas. Fumar no solo mancha los dientes, sino que incrementa notablemente la acumulación de sarro y el riesgo de enfermedad periodontal. Los fumadores suelen tener depósitos más tenaces y encías menos saludables.
- Visitas regulares al dentista: Las limpiezas dentales profesionales son esenciales para eliminar cualquier sarro que se haya formado y para revisar la salud bucal general. Se recomienda visitar al dentista al menos una vez cada seis meses para realizar un mantenimiento y comprobar que todo marcha bien. La frecuencia ideal para limpiezas dentales profesionales varía según cada paciente, pero generalmente recomendamos intervalos de seis meses. Acude a tu dentista o higienista dental al menos dos veces al año para una revisión y limpieza dental profesional. Incluso con buena higiene en casa, es necesaria una limpieza profesional regular para eliminar la placa endurecida incipiente en lugares de difícil acceso. Los odontólogos podemos, además, darte recomendaciones personalizadas; por ejemplo, aplicar selladores en molares si tiendes a tener caries, o pautar limpiezas más frecuentes si eres propenso a la acumulación de sarro. El mantenimiento preventivo profesional constituye la estrategia más efectiva para prevenir la acumulación de sarro duro.
- Productos de higiene específicos: Considera el uso de pastas dentales y enjuagues bucales diseñados para controlar la placa y prevenir el sarro. Algunos productos contienen ingredientes específicos que pueden ayudar a prevenir la mineralización de la placa. La pasta de dientes facilita la eliminación mecánica de la placa, pero la cantidad de pasta que se colocar en el cepillo debe ser siempre reducida (un guisante). Utilizar dentífricos y colutorios con flúor, ya que ayuda a evitar que la placa dental se endurezca y se transforme en sarro.
Una alimentación consciente puede reducir significativamente la formación de sarro duro.
Adoptar estos hábitos preventivos te ayudarán a mantener tus dientes libres de depósitos indeseados.
En esencia, una buena higiene diaria y cuidado profesional periódico son la clave para que la placa no se convierta en sarro. Prevenir es siempre más fácil, rápido y económico que tratar los problemas una vez aparecidos.

Remedios Caseros vs. Tratamientos Profesionales
Muchas personas buscan cómo eliminar el sarro en casa. En internet circulan diversos remedios caseros y “trucos” populares, pero debemos ser cautelosos con ellos.
Entre los métodos caseros contra el sarro más mencionados están: enjuagues con vinagre o jugo de limón, cepillados con bicarbonato de sodio y sal, el uso de cáscaras de fruta o incluso instrumentales comprados por internet para raspar los dientes. La realidad es que ninguno de estos remedios puede eliminar el sarro de forma segura y completa una vez que se ha mineralizado en el diente.
A lo sumo, algunos podrían ayudar a aflojar la placa blanda o a pulir ligeramente manchas superficiales, pero el sarro adherido permanecerá intacto. Es importante entender las limitaciones y riesgos de estos “remedios” caseros:
- Los enjuagues ácidos (como limón o vinagre) pueden temporalmente despegar algo de placa, pero su uso frecuente daña el esmalte de los dientes debido a la acidez, provocando erosión y sensibilidad dental.
- El bicarbonato de sodio es un abrasivo suave que puede ayudar a pulir manchas, pero no disuelve el sarro duro. Usarlo en exceso también puede desgastar el esmalte y lastimar las encías.
- Los kits de herramientas metálicas para “limpiar sarro” en casa son peligrosos sin entrenamiento: utilizar objetos filosos en la boca puede cortar o irritar las encías, y si se aplica mal fuerza podría incluso astillar un diente. De hecho, los odontólogos advierten que intentar raspar el sarro uno mismo suele causar más perjuicio que beneficio. Podrías crear áreas ásperas en el diente que faciliten más acumulación bacteriana o empujar la infección más profundo.
En resumen: no te recomendamos intentar remover el sarro en casa. Solo profesionales entrenados pueden hacerlo de manera segura. La manera casera más eficaz de lidiar con el sarro es prevenirlo, siguiendo los hábitos descritos en la sección anterior. Una vez que la placa se ha endurecido, la única opción segura es acudir al dentista.
Si te preocupa el sarro, en lugar de remedios milagrosos caseros, usa esa energía en mejorar tu rutina de higiene (cepillado, hilo, enjuague) y programa una limpieza dental profesional.
Mantener una sonrisa saludable requiere constancia en la higiene bucal y atención profesional periódica. El sarro dental es un enemigo silencioso que comienza como placa inofensiva, pero si se permite su acumulación puede causar desde caries hasta enfermedad periodontal avanzada. La buena noticia es que con hábitos adecuados y visitas regulares al dentista, es posible prevenir en gran medida la formación de sarro.
Como hemos visto a lo largo del artículo: la prevención y la intervención temprana son fundamentales. Si sospechas que tienes sarro (por ejemplo, ves depósitos amarillentos duros o notas tus encías inflamadas), no esperes a que aparezcan problemas mayores. Acude a tu dentista de confianza para una evaluación.
Recuerda que solo un profesional puede eliminar el sarro de forma eficaz y segura.
| Problema | Consecuencias | Solución |
|---|---|---|
| Acumulación de sarro | Caries, gingivitis, periodontitis, mal aliento, recesión de encías | Higiene bucal adecuada, visitas regulares al dentista |
| Remedios caseros | Daño al esmalte, irritación de encías, resultados ineficaces | Evitar y optar por tratamientos profesionales |
| Prevención | Dientes y encías sanos, sonrisa estética, evitar complicaciones | Cepillado, hilo dental, enjuague bucal, dieta equilibrada, no fumar, visitas al dentista |