La extracción del tercer molar es un procedimiento quirúrgico frecuente en la cirugía oral y maxilofacial. Sin embargo, la extracción del tercer molar requiere una buena planificación y unas buenas habilidades. De la misma manera que ocurre en cirugía general, la presentación de complicaciones siempre es posible.
Tanto el dentista general como el cirujano maxilofacial deben estar familiarizados con todas las posibles complicaciones. Por otro lado, el conocimiento de las mismas resulta útil para la educación del paciente y su información; además de lo anterior, las complicaciones poco habituales deben reconocerse lo antes posible para asegurar un tratamiento adecuado.
En la literatura, la frecuencia de complicaciones tras la extracción del tercer molar se encuentra entre un 2,6% y un 30,9%. El espectro de complicaciones va desde los efectos adversos sin daños (dolor e inflamación) hasta la lesión de un nervio, fractura mandibular e infecciones de urgencia vital. Se definen como complicaciones menores aquellas complicaciones que pueden resolverse sin tratamiento. Se definen como complicaciones mayores aquellas que requieren tratamiento adicional y que pueden presentar consecuencias irreversibles.
Numerosos estudios recientes han tratado de identificar los factores de riesgo de complicaciones intra y/o postoperatorias. En la tabla 1 se resumen las complicaciones intraoperatorias y postoperatorias más comunes asociadas a la extracción del tercer molar.

Objetivo y Metodología
Esta revisión sistemática pretende servir como recordatorio de las complicaciones poco habituales que pueden presentarse en este procedimiento rutinario. Se localizaron los estudios realizados sobre el tema mediante búsquedas sistemáticas en las bases de datos Medline y la Cochrane Library, así como mediante búsqueda manual de libros de texto, referencias bibliográficas y revisiones relevantes sobre este campo. Las palabras clave que se incluyeron fueron tercer molar, muela del juicio, complicaciones, poco habituales y raras. Además, se comprobaron por partida doble las referencias bibliográficas de los artículos relevantes.
Los datos encontrados en los estudios se incluyeron en el trabajo cuando se cumplían los siguientes criterios:
- El estudio tenía que tratar de complicaciones intraoperatorias o postoperatorias asociadas a la extracción de terceros molares.
- Los datos de publicación tenían que estar comprendidos entre 1990 y 2008.
Entre estas complicaciones se encontraban la formación de abscesos poco habituales y el desplazamiento de dientes. En la tabla 2 se presenta un resumen. En la tabla 3 se presentan las reseñas de los casos revisados.
Complicaciones Comunes
Las complicaciones habituales de la cirugía del tercer molar son bien conocidas y suelen explicarse detalladamente a los pacientes durante la obtención del consentimiento informado. Las complicaciones más conocidas y frecuentes fueron la lesión permanente nerviosa y las fracturas mandibulares inmediatas o tardías.
Lesión Nerviosa Permanente
El daño permanente de los nervios alveolar inferior o lingual es un riesgo extremadamente raro pero bien conocido asociado a la cirugía del tercer molar. La lesión del nervio lingual o alveolar inferior durante la extracción de los terceros molares inferiores se encuentra entre las causas más frecuentes de litigio en odontología. La estrecha relación anatómica entre estos dos nervios y los terceros molares es la causa del riesgo de lesión de los mismos.
La incidencia de estas complicaciones extremadamente raras varía entre estudios y es difícil de determinar con exactitud debido al pequeño tamaño de las poblaciones estudiadas. La incidencia de lesiones permanentes del nervio alveolar inferior oscila entre un 0% y un 0,9%; la tasa normalmente aceptada es de 0,3%. La tasa de complicación de lesión temporal del nervio lingual es de alrededor del 0,4%, y siendo más pequeña todavía la tasa de lesión permanente.
Fractura Mandibular
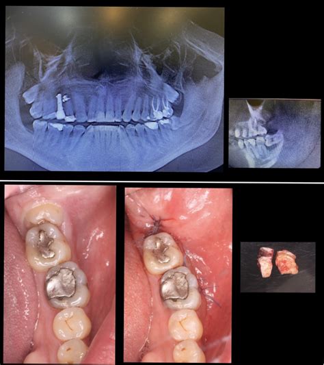
La fractura inmediata o tardía de la mandíbula es una complicación rara pero importante. La disminución de la resistencia ósea puede deberse a atrofia fisiológica, osteoporosis o procesos patológicos, o puede ser secundaria a la intervención quirúrgica. No existen datos validos sobre la incidencia de esta complicación, y los factores de riesgo no se conocen del todo bien. Libersa et al encontraron una incidencia del 0,0049%. En un estudio de Arrigoni y Lambrecht en el que se analizaron 3.980 terceros molares extraídos, se detectó una tasa de complicación de aproximadamente el 0,29%. El pico de incidencia se produce en pacientes de 40 años. Los hombres pueden ser algo más proclives a presentar fracturas tardías debido a su mayor fuerza masticatoria. Las fracturas intraoperatorias se producen por mala instrumentación y por fuerza excesiva sobre el hueso. Durante este periodo, el tejido de granulación es reemplazado en el alveolo por tejido conectivo.
Complicaciones Poco Comunes Identificadas
En los 22 artículos se identificaron un total de otras veinticuatro complicaciones. Entre ellas se encontraron procesos inflamatorios, formación de abscesos y desplazamiento de dientes o instrumentos. Se encontraron también casos aislados de muerte por asfixia tras hematoma postextracción, hemorragias de urgencia vital, abscesos cerebrales, abscesos epidurales, vértigo posicional paroxístico benigno, enfisema subcutáneo y tisular, empiema subdural y síndrome de herpes zóster.

MUELAS DEL JUICIO | ¿EXTRAERLAS O NO? CÓMO SABERLO “Cordales o terceros molares”
Procesos Inflamatorios y Formación de Abscesos Inusuales
En los trabajos revisados, se encontró la extensión de los procesos inflamatorios a regiones atípicas del cerebro y de la región cervical. Otro artículo presentaba el caso de un empiema subdural y un síndrome de herpes zóster (síndrome de Hunt). En este caso, se le habían extraído a un hombre de 21 años de edad los 4 terceros molares.
Se encontró un absceso que afectaba a los espacios pterigomandibular y submaseterino derechos y que se extendía a la fosa infratemporal. Aunque se iniciaron tratamiento antibiótico y drenaje, desarrolló una intensa cefalea frontal acompañada de vómitos con un coma de Glasgow 13. La RMN mostró una colección subdural en la región temporoparietal derecha. Se procedió a una craneotomía y drenaje subdural de urgencia.
Burgess reseñó un caso de absceso epidural en una mujer de 20 años de edad tras la extracción del tercer molar. Tres días más tarde, la paciente se presentó con un dolor en la parte derecha del cuello cada vez más intenso y sensación de adormecimiento en el brazo derecho. En otro caso se desarrolló un absceso cerebral tras la extracción de un tercer molar inferior derecho en un hombre de 26 años de edad. Requirió neurocirugía de urgencia y tratamiento antibiótico durante 8 semanas.
Desplazamiento de Terceros Molares e Instrumentos
El desplazamiento accidental de terceros molares impactados, un fragmento radicular, la corona o todo el diente, no es frecuente durante la extracción, pero de cualquier manera es una complicación conocida que se menciona con frecuencia. Cuando un fragmento radicular «desaparece» durante la extracción, no debe intentarse su recuperación. El paciente debe remitirse de forma inmediata al especialista.
Otra posibilidad de desplazamiento del tercer molar superior es su luxación a la fosa infratemporal. Algunos trabajos describen el desplazamiento del tercer molar a los espacios submandibular, sublingual, pteriomandibular, faríngeo lateral o área cervical lateral. El paciente experimentó inflamación recurrente en el espacio submaxilar derecho. Durante 14 meses, el mismo clínico supervisó el tratamiento con antibióticos. Se encontró una fresa de 20 mm de diamante en el espacio submandibular.
Un hombre de 32 años de edad experimentó inflamación del paladar blando en la propia consulta dental debido a la hemorragia postextracción tras la extracción de los terceros molares inferiores y del tercer molar superior derecho en una misma sesión. El hematoma afectaba a los espacios submandibular, lingual y bucal, lo que condujo a un severo estrechamiento de la orofaringe.
El algoritmo para el manejo de la hemorragia intraoral aguda recuerda a los clínicos que las hemorragias intraoperatorias o postoperatorias severas son una de las pocas complicaciones de urgencia vital en las que el clínico debe iniciar tratamiento. Además, hubo tres casos de enfisema. En dos de ellos, se había empleado turbina dental.
Edad del Paciente
Aunque la cirugía del tercer molar es un procedimiento frecuente, en algunas ocasiones puede no resultar tan sencillo. La extracción de los terceros molares suele indicarse con bastante frecuencia en jóvenes. La mayoría de los casos en los que se reseñaron complicaciones severas se produjeron cuando las extracciones se realizaron a edades más avanzadas. Esta relación con la edad se ha descrito a menudo como un factor de riesgo de las complicaciones postextracción.
Los factores que se han sugerido para explicar este fenómeno son el aumento de la densidad ósea, la mayor dificultad quirúrgica, la formación completa de la raíz y la capacidad disminuida de curación de las heridas. Por esta razón, los clínicos deben ser especialmente precavidos con los pacientes de mayor edad.

Resultados del Estudio
La edad media de los pacientes de los 24 casos era de 28 años (DS 12,8). En la mayoría de los casos, la complicación se había producido tras la extracción del tercer molar. En casi todos los casos se requirió una segunda intervención. En la mayoría de los casos, la primera intervención se había descrito como complicada, laboriosa y larga.
Consideraciones Finales
La extracción de los terceros molares mandibulares se asocia con una tasa más elevada de complicaciones que la de los terceros molares maxilares. Son de especial riesgo los pacientes de edad más avanzada. Para determinar el diagnóstico e iniciar el tratamiento a menudo se necesitan imágenes de TAC o RMN. Es importante darse cuenta de la gran variedad de posibles complicaciones severas e iniciar los tratamientos de forma inmediata para asegurar una buena atención a los pacientes.