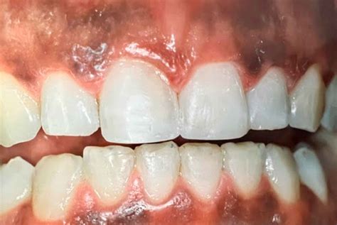
El aspecto ideal de la encía debe ser de un color rosa pálido y con una textura gelatinosa. Su función principal es cubrir las raíces de los dientes y protegerlos. Si notas que ese color rosa se ha oscurecido o presenta manchas negras, es crucial que un profesional examine la situación para determinar la causa.

¿Qué es la Melanosis Gingival?
La melanosis gingival, también conocida como encías negras, es un trastorno de pigmentación que afecta la estética de la sonrisa, aunque generalmente no representa un riesgo grave para la salud. Pese a afectar solo a factores estéticos, es aconsejable acudir a la consulta de un profesional periodoncista en el momento que aparece una mancha negra en la encía o esta se oscurece. Las tinciones oscuras en las encías comúnmente están relacionadas con enfermedades bucodentales por lo que es importante descartar cualquier posible enfermedad periodontal.
La melanina, que nos protege del sol en la piel, a veces también se encuentra en las encías, dándoles un aspecto oscuro. Aunque esto no es un problema de salud, sí puede serlo a nivel estético, pero afortunadamente tiene solución.
GINGIVITIS TRATAMIENTO y SÍNTOMAS - ENCIAS INFLAMADAS
Causas de la Aparición de Manchas Negras en las Encías
Los motivos por los cuales puede aparecer una mancha negra en la encía pueden ser varios, incluyendo el consumo repetido de ciertos medicamentos que afectan el sistema endocrino del paciente. Algunas de las causas más comunes incluyen:
- Aumento de secreción de melanina: Una mancha negra en la encía suele estar causada por un aumento de secreción de la melanina, conocido como melanoplaquia. Es común que esta afección sea de naturaleza hereditaria y no implique una enfermedad periodontal, pero no hay manera de prevenir su aparición.
- Tabaquismo: Otra causa de la melanosis gingival es el depósito de sustancias tóxicas del tabaco. La nicotina puede ser responsable de generar alguna mancha negra en la encía con ausencia de brillo. En este caso, lo mejor es dejar de fumar o, al menos, reducir la cantidad de cigarros que se fuman diariamente.
- Amalgama: Asimismo, una mancha negra en la encía también puede estar causada por el contacto con restauraciones de amalgama. Estas están fabricadas con metal y al entrar en continua fricción con la encía pueden generar la melanosis gingival. Este hecho tampoco significa que exista un problema de salud, sino que es únicamente estético.
- Enfermedades periodontales: Las enfermedades periodontales (gingivitis y periodontitis) afectan directamente al tejido de las encías. Lo habitual es que estas se inflamen y enrojezcan, pero hay casos en los que la acumulación de sarro y placa bacteriana acaba causando que la encía se vuelva oscura. Para tratar una encía oscura por una enfermedad periodontal hay que eliminar primero la infección y después realizar los tratamientos especializados para eliminar las manchas negras u oscuras.
- Ciertos medicamentos: Algunos medicamentos como los anticonceptivos y algunos antibióticos presentan en sus efectos secundarios la melanosis gingival. Pueden hacer modificaciones en la mucosa oral, causando manchas negras en las encías.
- Tratamientos dentales: Durante el postoperatorio de algunos tratamientos dentales como el injerto de encía puede generarse una necrosis en la zona. Esto consiste en que la cantidad de sangre que fluye por ese tejido es mínima. Por tanto, el tejido corporal muere temporalmente haciendo que la encía se oscurezca. Es algo de lo que no hay que preocuparse, es muy común y desaparece en cuestión de días.
- Aunque no es lo habitual, la melanosis gingival puede ser también un signo de lesión periodontal o incluso de algunas enfermedades más graves como el cáncer oral.

¿Cómo Eliminar una Mancha Negra en la Encía?
Existen diversas opciones para eliminar una mancha negra en la encía:
- Tratamiento periodontal de microcirugía gingival con láser de er-Yag: Se basa en eliminar el tejido oscurecido de la encía a través de la emisión de una luz a una longitud de onda de 2940 nanómetros que estimula la regeneración de la mucosa sin causarle el menor daño. Este tratamiento mínimamente invasivo es la solución más cómoda, indolora, eficaz y segura para el paciente, consiguiendo grandes resultados.
- Microabrasión: Se utiliza para pulir cuidadosamente cualquier tipo de mancha negra en la encía hasta borrarla. A través de esta técnica, el dentista es capaz de eliminar la melanosis gingival y devolver al paciente su color de encía natural.
- Despigmentación con bisturí: Es una de las técnicas más efectivas para eliminar una mancha negra en la encía, pero su cicatrización conlleva más tiempo al tratarse de un método quirúrgico.
Necrosis Dental o Necrosis Pulpar
La necrosis dental o necrosis pulpar es una afección en la que la pulpa o nervio localizado en el interior del diente muere tras una enfermedad dental. La pulpa es un diseño complejo de vasos sanguíneos y nervios localizados en el interior de los dientes que ayudan a mantenerlos sanos.
La mayoría de los síntomas que indican problemas con el diente y la pulpa tienen lugar en una etapa previa a la aparición de necrosis. Estos son variados y, independientemente de la patología que los provoque, pueden terminar en necrosis pulpar.
En las primeras etapas de una afectación pulpar, el diente se vuelve especialmente sensible a los alimentos o bebidas frías. A medida que avanza la afectación pulpar, el diente deja de percibir estímulos al frío o al calor, siendo esto un síntoma claro de necrosis.
La aparición de necrosis pulpar puede deberse a varias patologías y procedimientos dentales. La existencia de necrosis pulpar, en ocasiones, solo se puede descubrir después de someterse a un examen dental.
Existen varios tratamientos para tratar un diente necrosado. Estos son la endodoncia y la extracción de la pieza dental que ha sido afectada. En general, la mejor manera de prevenir la necrosis pulpar es cuidar adecuadamente los dientes y encías.
Para ello, una de las principales labores que ayuda en la prevención es la higiene bucal, con un correcto cepillado varias veces al día.
Riesgos y Complicaciones de la Anestesia Local en la Consulta Dental
La administración de anestesia local es el acto profesional más frecuente en la práctica diaria dental. Las complicaciones de la anestesia local en la clínica dental diaria suelen ser pocas, ya que las concentraciones de las soluciones anestésicas y los volúmenes usados son escasos; no obstante, cualquier procedimiento, hasta el más banal, no está exento de riesgos y es obligatorio que el profesional esté formado para prevenirlos, reconocerlos y para, en la mayoría de los casos, tratarlos.
La morbimortalidad con la anestesia local es muy baja; a pesar de que esta aseveración es cierta, hay descritos algunos casos en los que sobrevino la muerte por motivos anestésicos locales.
Recomendaciones para la prevención de complicaciones:
- Adecuada historia médica.
- Dosis en relación con el peso y no sobrepasar la dosis máxima, especialmente en niños menores de 50 kg.
- Anestésicos con las más bajas dosis de epinefrina posible para minimizar los efectos simpáticomiméticos.
- Individualizar la anestesia para cada paciente: tipo y duración del procedimiento, así como los factores de riesgo.
Fracasos de la Anestesia
En líneas generales, la base del éxito de la anestesia reside en el depósito de suficiente cantidad de producto anestésico lo más cerca posible del nervio a anestesiar. Los signos objetivos de la anestesia son bien conocidos, sea cual sea el territorio de la cavidad oral a que nos refiramos y, cuando estos no están presentes, ha de pensarse que el objetivo anestésico ha fracasado.
La anestesia falla en porcentajes variables según el autor consultado. Se cifra en aproximadamente un 10% en los casos de bloqueo del nervio alvéolo-dentario inferior y en un 7% en la anestesia general en la práctica dental general.
Se sabe que cuando más falla la anestesia local es en casos de endodoncias y drenaje e incisión de abscesos. Cuando están presentes infección e inflamación, la reabsorción intravascular del anestésico se ve acelerada y el bajo pH influye negativamente en su difusión.
La aplicación repetida de anestesia puede inducir el fenómeno de taquifilaxia o tolerancia aguda manifestada por una disminución de respuesta a una dosis estándar de anestésico local, requiriéndose incrementar la dosis para mantener el mismo efecto analgésico; este es un fenómeno que interfiere a la hora de utilizar anestésicos locales durante largo tiempo en la práctica clínica.
Causas del Fracaso de la Anestesia
- Técnica incorrecta: Generalmente este apartado se refiere al hecho de depositar la anestesia en el lugar equivocado. Este hecho se encuentra en relación con un conocimiento deficiente de la anatomía de la región.
- Dependientes del individuo: La anestesia, también, puede fracasar por factores relacionados con el individuo o por el terreno. La anestesia puede fracasar en paciente muy ansiosos o pacientes con experiencia de anestesia subóptima.
- Dependientes del producto: Con relación al producto anestésico, la anestesia también puede fracasar por que el producto este caducado o en malas condiciones. Otros motivos de fracaso son: la hipodosificación del anestésico, el calentamiento inadecuado y la contaminación de la solución anestésica.
Conclusión
La necrosis de encía y la necrosis pulpar son condiciones que requieren atención profesional. Con un diagnóstico adecuado y un tratamiento oportuno, es posible manejar estas afecciones y mantener una buena salud bucal.