El resurgir de 'Operación Triunfo' en TVE en 2017 hizo que la primera edición de esta nueva etapa del talent show de Getmusic sea recordada como la generación más querida de los últimos programas televisivos.
Nerea Rodríguez es una de las concursantes más talentosas de 'Operación Triunfo 2017'. La catalana ha sido noticia recientemente por sus brillantes actuaciones en el programa de RTVE.
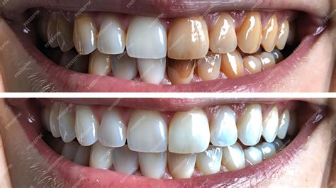
Seis años después del estreno del programa, desde esa gala 0 donde Nerea se encaraba al jurado cuando le señalaban por cantar una canción de Disney y ella aseguraba que estaría encantada de ser una chica de la factoría, Nerea parece otra. Además de este cambio con el que ha conseguido perfeccionar la forma de la cara y el rostro, Nerea Rodríguez se ha puesto en forma con ejercicio físico.
La propia clínica Q-Dental que proporcionó un tratamiento a Nerea para corregir su sonrisa presumía del acabado de la nueva sonrisa de la también exparticipante de 'Tu Cara Me Suena'.

Unilaser | Paso a paso Diseño de Sonrisa superior en Resina de Alta Estética
El Trauma de los Dientes Revelado en la Academia
La catalana se ha sincerado en la Academia y le ha contado a uno de sus compañeros el trauma que sufre por culpa de sus dientes. "Estaba haciendo una obra y alternaba entre el papel de Caperucita y otro papel", le contó a Agoney.
"El director llegó a decirme que si me ponía brackets, me comería muchas Julias, que era el otro papel. Vamos, que no sería Caperucita. No iban a echarme de la compañía, evidentemente, porque son como una segunda o tercera familia para mí", explicó.

La triunfita le ha confesado al canario que iba a ponerse brackets justo antes de entrar a 'OT', "me da mucha rabia que no me lo hicieran bien desde un principio. Estaría bien ahora. No perfecta, pero sí mejor", le desveló.
"Tú comes los bocadillos normal. Yo tengo que morder de lado. Ya me he acostumbrado a hacerlo así, pero es muy cómico", añadió.
Mucho Tiempo con el Mismo Problema
Agoney ha hecho una vez más gala de su compañerismo y le ha aconsejado a su amiga que no se agobie por su problema. Ella le ha respondido que es algo que lleva sufriendo mucho tiempo por lo que está acostumbrada.
"No me estreso, ya lo tengo asumido.
La Transformación Dental de Nerea Rodríguez
Al principio de este 2023, la clínica responsable de dejar perfecta su sonrisa hacía público el proceso de ortodoncia invisible y el diseño con carillas dentales de porcelana. Con la excusa de acabar de corregir su boca, que todavía dejaba a la vista las encías, la catalana ha decidido pasar por una reputada clínica de cirugía estética de la Diagonal barcelonesa para inyectarse ácido hialurónico en los labios.
"Conseguimos armonizar la sonrisa y todo el rostro", explican desde el centro, que ha publicado otro antes y después para ver cómo cambia el rostro de la joven con solo estos pinchazos.

Y es que qué hay mejor que aprovechar el dinero que ganas que para deshacerse de los complejos. El cambio por fuera es notorio, pero seguro que por dentro también.
Opiniones sobre Clínicas Dentales
A continuación, se presentan algunas opiniones de usuarios sobre clínicas dentales, destacando la importancia de una buena atención y profesionalismo en los tratamientos.
| Usuario | Comentario |
|---|---|
| Mónica Querol | "Acabo de hacer mi primera visita a esta clínica por un problema que tuve con un diente. Ha ido todo muy bien, me han tratado de maravilla y me he sentido tranquila de saber que estaba en buenas manos en todo momento. ¡Muchísimas gracias! Muy recomendable!" |
| Elisabeth Gonzalez | "Era la primera vez que iba a esta clínica, he acudido a hacerme una limpieza bucal y tengo que decir que ha sido una experiencia muy buena. La chica que me ha realizado la limpieza era súper amable y aparte se ha tomado mucha molestia en diagnosticar el problema que tenía para aconsejarme. Sin duda volveré." |
| Noelia Domingo Garcia | "¡Excelente experiencia en esta clínica dental! Desde el primer día, el trato ha sido increíble. Me puse la ortodoncia aquí y no podría estar más feliz con los resultados. El equipo es muy profesional, amable y siempre está dispuesto a resolver cualquier duda. Se nota que realmente se preocupan por la salud de sus pacientes. Además, las instalaciones son modernas y muy limpias, lo que da mucha confianza. Si buscas una clínica dental de calidad y resultados impecables, ¡sin duda la recomiendo al 100%!" |
| Angel Ortiz | "He vuelto a Vitaldent en Benetússer a una revisión de rutina, y su servicio es excepcional muy profesional y amable, me agrada ir, nunca me gustaron los odontólogos en mi vida, pero ahora encontré con Vitaldent lo que siempre esperaba. Puedo decir que ahora mi boca les pertenece.. jajajaja...son muy buenos. Gracias." |