La encía retraída es un problema bucal frecuente que afecta tanto la estética como la salud de los dientes. Si crees que tus dientes se ven más largos que antes, podría deberse a las encías. En este artículo, exploraremos las causas principales, los tratamientos disponibles y las medidas preventivas para evitar la recesión gingival.

¿Qué Sucede Cuando las Encías Retroceden?
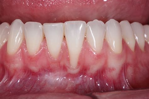
Las encías están diseñadas para proteger los dientes de varias maneras. El borde del tejido de las encías, que rodea y protege los dientes, se conoce como margen gingival. Cuando el margen se separa de los dientes, deja las raíces expuestas. Las raíces están cubiertas con una sustancia calcificada llamada cemento y no están tan calcificadas como el esmalte de tus dientes, lo que puede hacerlas más susceptibles a las caries. Las raíces expuestas también pueden provocar sensibilidad dental porque justo debajo del cemento hay terminaciones nerviosas.
La encía adherida es tejido blando firmemente adherido que conecta de forma segura los dientes con el tejido conectivo subyacente para proteger los dientes y el hueso. La mucosa gingival no adherida es tejido de encía elástico y móvil que protege el interior de las mejillas y las encías.
Causas de la Retracción de las Encías
Los hábitos de salud y cuidado bucal, la alineación de tus dientes, tu estilo de vida y tus genes pueden influir en la retracción de las encías. Estas son algunas de las causas más comunes:
- Mala salud bucal: La retracción de las encías puede ser un signo de enfermedad periodontal. Cuando las bacterias en la placa (una película pegajosa e incolora que se forma en la boca) se acumula entre las encías y los dientes, las encías que rodean los dientes pueden inflamarse. Si no se trata, esta inflamación puede resultar en el deterioro de las encías y la estructura ósea de soporte. Esto puede provocar la recesión de las encías o incluso la pérdida de dientes.
- Cepillado o uso de hilo dental demasiado agresivos: Debes asegurarte de cepillarte los dientes y no de restregar. El cepillado excesivo puede dañar los dientes y hacer que las encías retrocedan.
- Genética: Las características de tus encías están determinadas por tu genética, al igual que el resto del cuerpo. Si alguno de tus padres tiene recesión de las encías, es posible que corras un mayor riesgo.
- Posición anormal de los dientes: Si tus dientes no están alineados o si tienes una mordida desalineada, puede producirse una retracción de las encías.
- Rechinar y apretar los dientes: También llamado bruxismo, este hábito puede causar muchos problemas dentales, como retracción de las encías, desgaste acelerado de los dientes, sensibilidad dental y, en casos extremos, dientes flojos y fracturas. Por lo tanto, informa a tu dentista de inmediato si crees que estás rechinando los dientes. Hay muchas opciones, como usar un protector bucal mientras duermes, para ayudarte a prevenir o tratar estos hábitos.
- Traumatismo en el tejido de las encías: El tejido de las encías puede retroceder cuando se produce una lesión traumática en las encías o los dientes que lo rodean.
- Consumo de tabaco: El consumo de tabaco a largo plazo debilita los tejidos gingivales, reduciendo su capacidad de regeneración y cicatrización. Fumar aumenta el riesgo de contracción de las encías. Abandona este hábito para ayudar a proteger tus encías.
- Enfermedades sistémicas: enfermedades como la diabetes, el SIDA o cualquier otra que afecte al sistema inmunitario, crean un mayor riesgo de desarrollar infecciones.
- Estrés: es uno de esos factores invisibles que afectan a la salud de nuestras encías.
Así se solucionan las encías retraídas (recesión gingival)
Opciones de Tratamiento para Encías Retraídas
Si bien las encías retraídas no vuelven a crecer por sí solas, puede hablar con un dentista o periodoncista sobre tratamientos para corregir el problema y evitar que empeore. Lamentablemente no. Una vez que el tejido de las encías se ha retirado y se ha alejado de los dientes, desaparece para siempre. Sin embargo, existen opciones para tratar la recesión de las encías.
Injerto Gingival
Cuando la retracción es severa, el injerto gingival es una solución efectiva. Este procedimiento consiste en tomar tejido del paladar o de un donante y colocarlo en la zona retraída para cubrir la raíz dental expuesta. Si hay una recesión progresiva y notable, estás experimentando sensibilidad o no estás satisfecho con la apariencia, tu dentista puede recomendarte un injerto de encía para reemplazar el tejido perdido. El injerto de encía es un procedimiento quirúrgico que generalmente implica tomar una pequeña cantidad de tejido de un área, como el paladar, y luego transferirlo al área de la encía que se necesita.

Limpieza Profunda
Si tienes signos de enfermedad de las encías, es posible que tu dentista primero realice una limpieza profunda de los dientes para eliminar cualquier bacteria. Consulta más sobre nuestro tratamiento de Raspado y alisado radicular, también conocido como Curetaje Dental, donde conseguimos eliminar el sarro y las bacterias acumuladas bajo las encías, alrededor de las raíces de los dientes.
Microinjerto de encía
Cuando el caso es extremo se utiliza esta opción en la cual una mínima fracción del tejido del paladar es removido y luego injertado para cubrir tu encía.
Prevenir una Mayor Recesión
Los buenos hábitos de cuidado bucal, como cepillarse los dientes dos veces al día y usar hilo dental al menos una vez al día, también pueden prevenir la recesión gingival. Utiliza siempre un cepillo de dientes de cerdas suaves y una técnica de cepillado adecuada para ayudar a proteger el esmalte y las encías. Esto no corregirá la recesión existente, pero es parte de un programa de higiene bucal que puede ayudar a prevenir una mayor recesión de las encías.
Si la retracción de sus encías se debe a otras preocupaciones, como dientes torcidos o una mordida desalineada, hable con un dentista sobre la solución del problema inicial para ayudar a ralentizar o incluso detener la recesión.
Además, es importante realizar revisiones periódicas con tu dentista, como las que ofrecemos en Coinsol Dental, donde evaluamos la salud de tus encías y detectamos cualquier problema en etapas tempranas, evitando complicaciones mayores.
No esperes a ver a un dentista para recibir asesoramiento y tratamiento para la recesión de las encías. Hay formas de tratar el problema para aumentar tu confianza, reducir la sensibilidad dental y mejorar tu salud bucal.
Tabla Resumen de Causas y Soluciones
| Causa | Solución/Prevención |
|---|---|
| Mala higiene bucal | Cepillado adecuado, uso de hilo dental, limpiezas profesionales |
| Cepillado agresivo | Técnica de cepillado suave, cepillo de cerdas suaves |
| Bruxismo | Protectores bucales nocturnos |
| Enfermedad periodontal | Limpieza profunda (curetaje), tratamiento periodontal |
| Retracción severa | Injerto gingival |
| Consumo de Tabaco | Dejar de fumar |