El tratamiento periodontal es fundamental para abordar las enfermedades que afectan las encías y los tejidos de soporte de los dientes. Estas enfermedades, como la gingivitis y la periodontitis, pueden llevar a la pérdida de dientes si no se tratan adecuadamente. A continuación, exploraremos los objetivos del tratamiento periodontal, su importancia y las diferentes opciones disponibles.

¿Qué es el Mantenimiento o Tratamiento Periodontal de Apoyo?
Básicamente, es el seguro de vida dental de los enfermos periodontales y una de las garantías del éxito terapéutico de los dentistas, además de una fuente enorme de pacientes atendidos en las consultas. Aunque los principios de la fase postratamiento de las enfermedades periodontales están bien establecidos, los profesionales pueden encontrarse en la literatura especializada con términos que parecen describir lo mismo, como mantenimiento periodontal, cuidado periodontal de soporte o terapia periodontal de soporte.
El tratamiento periodontal sin la fase de mantenimiento o TPA no tiene sentido.
¿Por qué es Importante el Tratamiento Periodontal?
Porque las enfermedades periodontales más prevalentes son crónicas por definición. Porque el desarrollo de la placa dental debe controlarse constantemente. Porque existen factores de riesgo que persisten en el tiempo o son difíciles de controlar. Porque, por todo lo anterior, la enfermedad periodontal puede agravarse o recurrir. Porque todavía desconocemos muchas cosas. Y porque es muy eficaz.
Cuando se valoran parámetros periodontales tan esenciales como la profundidad de sondaje y el nivel de inserción, se ha comprobado que estas variables permanecen sin cambios al menos durante seis años si el mantenimiento periodontal es regular. Otra variable que refleja claramente el éxito del manejo de los pacientes periodontales es la extracción dentaria. Estudios clásicos demuestran que los pacientes con periodontitis en mantenimiento periodontal correcto pierden entre 0,03 y 0,06 dientes por año.
Lógicamente, los pacientes con gingivitis, periodontitis, rehabilitaciones complejas, tratamiento de ortodoncia, etc, son los candidatos más firmes para ser incluidos en esta fase. Este procedimiento exige una organización estricta, personal cualificado y mucho tiempo de gabinete en las consultas dentales. Una vez que se consigue lo anterior, es rentable en todos los sentidos.
Dado que no hay razón para que todo lo referido a las enfermedades periodontales quede en manos exclusivas de los periodoncistas, es lógico que el dentista general asuma una buena parte del manejo de los pacientes. En un estudio realizado en USA en 2007, el 50 por 100 de los dentistas encuestados realizaban el mantenimiento periodontal de sus pacientes de forma rutinaria. Además, estas cifras se incrementaban cuando los dentistas aumentaban sus conocimientos de periodoncia a través de cursos de formación continuada y los higienistas dentales se incorporaban en mayor número a las consultas dentales.

¿A quién se debe Asignar el Mantenimiento Periodontal?
La decisión de asignar el mantenimiento periodontal al dentista general, al periodoncista o a ambos alternativamente se debe basar en la situación periodontal del paciente al finalizar la fase activa del tratamiento periodontal. El mantenimiento periodontal realizado por el entorno de un especialista tiene un mejor resultado en estabilidad periodontal y tasas de supervivencia dentaria comparado con el realizado en el entorno del dentista general. Sin embargo, es más costoso para el paciente ser mantenido por el equipo de un periodoncista, por lo que deberá tenerse en cuenta este factor.
Una vez finalizado el tratamiento periodontal, ya sea básico o quirúrgico, es importante saber cuándo se va a evaluar el resultado del caso para decidir la política de mantenimiento del mismo. Por un lado, hay que valorar la situación periodontal del enfermo.
Personalización del Mantenimiento Periodontal
Como consecuencia de la suma de factores que pueden contribuir al desarrollo o progresión de la enfermedad periodontal, hoy en día no es posible recomendar un programa estandarizado de mantenimiento. Sin embargo, categorizar a los pacientes en función de su patología y perfiles de riesgo puede ser una estrategia útil para pautar unos periodos y procedimientos de mantenimiento periodontal adecuados. Este perfil de riesgo debe realizarse después de concluir el tratamiento activo y ser actualizado continuamente.
Esta personalización alcanza su mayor expresión ante la sospecha o certeza de agravamiento o recidiva de la enfermedad periodontal, debiéndose analizar por qué el mantenimiento no es todo lo eficaz que debiera. ¿Hago yo lo posible para que el paciente cumpla con la rutina de citas que le planifiqué?
Un estudio concluía que los higienistas dentales recomendaban este tiempo en base a las tinciones y el cálculo del paciente.
Procedimientos Clave en el Mantenimiento Periodontal
- Revisar y actualizar las historias médica y dental.
- Evaluar los tejidos extra e intraoral, incluyendo los dentarios, periodontales, y periimplantarios.
- Valorar la higiene oral del paciente.
- Eliminar de forma mecánica la placa dental, biofilms, tinciones y cálculo.
- Otros problemas de salud oral, incluyendo caries, restauraciones defectuosas y procesos patológicos no periodontales.
No es necesario emplear horas con este fin. Lo importante es anotar las situaciones nuevas o que se hayan modificado respecto a las citas anteriores. En general, no es necesario. El periodontograma, por ejemplo, no hay por qué repetirlo en cada cita. En cuanto a las radiografías, no hay por qué hacer una serie en cada cita.
Complicaciones y Consideraciones Adicionales
La prevalencia de caries radicular en pacientes en tratamiento y mantenimiento periodontal parece ser muy alta. La eliminación de cemento radicular y posteriormente dentina durante dichos procedimientos, facilita la aparición de caries en pacientes susceptibles a la misma. Las complicaciones endodónticas durante la fase de mantenimiento pueden acabar en la extracción del diente.
Sensibilidad Dental
Es muy común tras el tratamiento periodontal. En la mayoría de los casos disminuye y desaparece con el tiempo. Durante la fase de mantenimiento su prevalencia varía entre el 15 por 100 y el 98 por 100 de los casos, dependiendo de la exposición radicular y la recesión gingival. Los estudios confirman que el control de placa riguroso puede disminuir la sensibilidad.
Sin embargo, algunos pacientes encuentran difícil o imposible cumplir con los requisitos de control de placa necesarios para mantener un estado de equilibrio periodontal. Por eso es importante la información y entrenamiento del paciente en las técnicas de control de placa, evitando la sobrecarga en este aspecto, ya que es totalmente contraproducente.
👉 PERIODONTITIS o PIORREA: Tratamiento eficaz para CURAR tus ENCÍAS 👄
Cumplimiento del Paciente y Pronóstico
Clásicamente se ha sostenido que los pacientes que cumplen con las visitas de mantenimiento tienen un mejor pronóstico periodontal. La pregunta es la siguiente: ¿cuántos pacientes cumplen con sus citas de mantenimiento a lo largo del tiempo? Aunque no hay muchos estudios al respecto, se ha visto que, en tres años de seguimiento, la asistencia óptima se sitúa entre el 26 y el 77 por 100 de los pacientes, siendo las mujeres más cumplidoras que los hombres, así como los adultos respecto a los jóvenes.
Estrategias para Mejorar el Cumplimiento
- Creértelo tú como profesional y transmitirlo a TODO el personal de la consulta.
- Conseguir un nivel de entendimiento óptimo.
- Dar una información clara y precisa.
Hoy en día el protocolo recordatorio de citas es fácil, tiene múltiples sistemas y es muy eficaz. Contrariamente a lo que piensan muchos dentistas, el paciente agradece la preocupación por él, siempre y cuando se realice con profesionalidad.
Tratamiento Periodontal Quirúrgico: Una Revisión
El tratamiento global de pacientes con enfermedad periodontal se divide en tres fases diferentes que, con frecuencia, se superponen: fase de terapia causal o fase inicial y la fase correctiva o fase de soporte periodontal o de mantenimiento. Como la mayoría de las formas de enfermedad periodontal son trastornos relacionados con la placa bacteriana, el tratamiento periodontal quirúrgico está considerado como un auxiliar del tratamiento periodontal causal inicial.
Así mismo, la decisión respecto a qué tipo de cirugía periodontal debe realizarse, cuántas localizaciones deben incluirse y en qué momento del tratamiento, se adopta tras haberse evaluado el efecto de las medidas iniciales relacionadas con la causa. El objetivo principal del tratamiento periodontal quirúrgico es la preservación a largo plazo del periodonto. La cirugía periodontal puede contribuir, a este propósito, creando accesibilidad para el raspado y alisado radicular correctos, realizados por el profesional y al restablecer una morfología gingival que facilita el autocontrol de placa por parte del paciente.
Las diversas técnicas quirúrgicas desarrolladas a lo largo del tiempo deben evaluarse sobre la base de su potencial para facilitar la eliminación de los depósitos subgingivales, bien como facilitar el autocontrol de la placa y así mejorar la preservación a largo plazo del periodonto.
Objetivos del Tratamiento Periodontal Quirúrgico
Tradicionalmente uno de los principales objetivos del tratamiento periodontal era la eliminación de la bolsa periodontal, formada a consecuencia de la inflamación gingival y migración de la adherencia epitelial. El aumento de la profundidad de bolsa era la principal indicación para la cirugía periodontal.
Tras la eliminación del componente inflamatorio provocado por la placa, lo que ocurría era la eliminación quirúrgica de la bolsa, un procedimiento que cumplía con dos propósitos: la reducción de la profundidad de bolsa o supresión de la bolsa y el aumento del acceso a la superficie radicular, de manera que se eliminen los factores irritativos y que proporcionen una anatomía adecuada a los autocuidados de higiene oral tras el período de cicatrización.
Aunque hoy en día este objetivo no pueda descartarse por completo, el concepto de eliminación de bolsas como principal objetivo del tratamiento periodontal quirúrgico dejó de ser inequívoco.
Beneficios y Ventajas del Tratamiento Periodontal
Una buena salud periodontal no solo beneficia a tu salud bucodental, sino también a la general. Cuidar las encías no solo aporta importantes beneficios para la salud oral, sino que también presenta consecuencias positivas sobre la salud general. Las enfermedades periodontales son patologías infecciosas de origen bacteriano que afectan a los tejidos que rodean los dientes. La gingivitis y la periodontitis son las dos principales enfermedades periodontales.
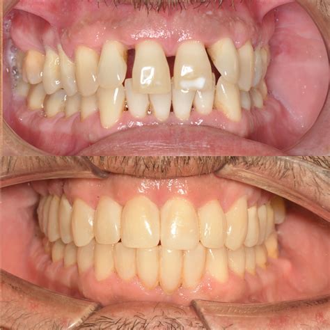
A nivel oral, el efecto más tangible de las enfermedades periodontales (y verdadero punto y final de esta enfermedad) es la pérdida dentaria, que puede conllevar problemas funcionales y estéticos importantes. Y es que el principal objetivo del tratamiento periodontal es el mantenimiento a largo plazo de los dientes naturales en un estado saludable, funcional, estéticamente aceptable y sin dolor.
Los datos obtenidos en estudios recientes muestran que los pacientes que reciben tratamiento periodontal pierden de media 0,1 dientes por persona y año frente a los 0,6 dientes por persona y año que se produce en los pacientes que no reciben tratamiento.
Las repercusiones de la enfermedad periodontal a nivel sistémico se derivan, bien por la presencia de gran cantidad de bacterias a nivel subgingival que pueden producir un efecto directo, o bien por la inflamación sistémica que generan. La evidencia más reciente muestra como la periodontitis se relaciona de forma significativa e independiente con las enfermedades inflamatorias crónicas más comunes de la edad, entre las que se incluyen las enfermedades cardiovasculares.
En este caso, el efecto beneficioso del tratamiento periodontal viene determinado por la reducción consistente y progresiva de la inflamación sistémica y una mejoría de la función endotelial, ambas asociadas a un riesgo incrementado de infarto de miocardio. A pesar de que todavía la evidencia es limitada sobre los efectos del tratamiento periodontal en la disminución del riesgo cardiovascular, parece que los datos disponibles sustentan la existencia de una relación causal entre ambas entidades.
Otra enfermedad inflamatoria crónica con la que las enfermedades periodontales entablan una amistad peligrosa es la diabetes. En este caso, el tratamiento periodontal podría ser beneficioso a la hora de mejorar el control de la glucemia en las personas con diabetes. Según los últimos datos publicados al respecto, el tratamiento periodontal permite una mejora de los niveles de glucemia de 0,40% en personas con diabetes tipo 2 durante al menos tres meses tras la terapia. Además, otros estudios recientes muestran que después de realizar el raspado y alisado radicular se produce una disminución absoluta en los valores de hemoglobina glicosilada (HBA1c) del 0,4%.
Por otro lado, en los últimos años se han llevado a cabo numerosos estudios de intervención para obtener una mayor evidencia sobre el posible papel de la periodontitis en los resultados adversos del embarazo. Ahora se está investigando si el tratamiento de la periodontitis durante el embarazo puede reducir el riesgo de prematuridad.
Tratamientos Periodontales en Ortodoncia Avanzada
En ortodoncia avanzada, los tratamientos periodontales tienen una función clave. Durante el tratamiento ortodóncico, un correcto mantenimiento de la periodontitis ayuda a preservar la salud del tejido periodontal, mientras que el control de la placa bacteriana ayuda a limitar las discrepancias entre los dientes y los tejidos periodontales.

Tabla Resumen de Puntos Clave
| Aspecto | Descripción |
|---|---|
| Mantenimiento Periodontal | Esencial para el éxito a largo plazo del tratamiento periodontal. |
| Cumplimiento del Paciente | Fundamental para prevenir la recurrencia de la enfermedad. |
| Beneficios Sistémicos | El tratamiento periodontal puede mejorar la salud cardiovascular y el control de la diabetes. |
| Tratamiento Quirúrgico | Considerado un auxiliar del tratamiento causal inicial para preservar el periodonto. |
tags: #objetivos #del #tratamiento #periodontal