Los dientes son una parte esencial de nuestra anatomía. La preocupación por esta zona va más allá de la salud de nuestra boca, ya que su aspecto afecta a nuestra imagen personal. Una salud bucal adecuada, es esencial para una buena calidad de vida. Actividades esenciales para el ser humano como comer, hablar o sonreír son un problema para muchas personas.
La sonrisa es una de las cartas de presentación más poderosas. Una boca sana y estéticamente agradable transmite seguridad, confianza y bienestar. Si estás buscando cómo mejorar el aspecto de tu sonrisa, debes saber en qué consiste la odontología estética. Desde Clinica Dental Salamanca te daremos toda la información que necesitas referente a esta especialidad, sus tratamientos y campos de acción. ¡Sigue leyendo para saber más!
La estética dental es una especialidad de la odontología que sirve para resolver los problemas relativos a la armonía bucal en aquellas personas con una correcta salud bucodental. Su objetivo es lograr la sonrisa perfecta ofreciendo soluciones para cada alteración estética de la boca. El principal motivo para solicitar tratamientos estéticos dentales es acabar con aquellos problemas que afectan a la armonía de nuestra sonrisa. Para que los tratamientos de estética dental den sus frutos, es necesario realizar estudios personalizados.
Estética dental: qué es y tratamientos
Importancia de la Estética Dental
La boca es uno de los elementos del rostro que más llama la atención y causa impacto en las personas. La sonrisa además de ser una característica única de los humanos, funciona como una carta de presentación. Su estado puede decirle mucho de ti a las demás personas. Cuando una persona se siente cómodo con su boca y su sonrisa, transmite mucha confianza. Pero en el caso contrario es común que se sienta inseguro, en especial en las conversaciones cara a cara.
Las razones más comunes por las que una persona se puede llegar a sentir acomplejado con su sonrisa son la tonalidad de sus dientes (amarillenta), su mala alineación, presencia de diastemas y alguna fractura o ruptura. Pero cada uno de estos problemas puede solucionarse mediante un tratamiento específico de odontología estética. De esta forma podrás recuperar la confianza en ti y mejorar en gran medida la apariencia de tu boca y tu rostro.
La estética dental no solo busca tener dientes más blancos, sino conseguir una sonrisa equilibrada en color, forma, tamaño y proporción con los labios y el rostro. La estética dental es mucho más que tener dientes blancos. Se trata de conseguir una sonrisa equilibrada, funcional y en armonía con el rostro.
En muchos casos, el objetivo es conseguir corregir pequeñas asimetrías dentales en las zonas estéticas, como son la longitud, anchura, ligeras rotaciones dentales, malformaciones o asimetrías entre los dientes. Ante esta situación podemos emplear distintos procedimientos, como son las carillas de composite, realizadas directamente sobre la boca del paciente o bien llevar a cabo un tratamiento estético a través de la colocación de carillas cerámicas, con preparaciones mínimas del diente, preservando la mayoría de la estructura dentaria intacta.
En ciertos casos de malposiciones dentarias más severas, será necesario combinar el tratamiento estético con un tratamiento de ortodoncia, para conseguir una buena oclusión (o mordida) junto con una armonía, estética y alineación adecuada de los dientes.
Los tratamientos de estética muchas veces se combinan con blanqueamientos dentales, que pueden ser de toda la boca (blanqueamiento externo) o de dientes individuales que presentan tinciones más severas por causas como traumatismos o tratamientos endodónticos (blanqueamiento interno).
En los casos en los que se van a realizar tratamiento de las zonas más estéticas de la boca, el blanqueamiento debe realizarse primero, para que las restauraciones posteriores se realicen con el color definitivo que se ha adquirido tras blanquear.
Otras formas de mejorar la estética dental pueden incluir la modificación también de los tejidos blandos (la encía).
Un especialista en estética dental es un odontólogo profesional cuyo objetivo va más allá de lograr una sonrisa bonita en sus pacientes. Por tanto, el especialista en estética dental utiliza su experiencia y conocimiento para diseñar tratamientos que no solo mejoran la apariencia estética sino que también promueven la función saludable y la autoconfianza del paciente desde el primer momento.
La estética dental combina técnicas odontológicas para mejorar la forma, color y alineación de los dientes.
Gracias a los tratamientos estéticos se puede cambiar y restaurar la apariencia de la sonrisa, convirtiendo dientes manchados, dañados o deformados en una dentadura mejorada de forma rápida. La odontología estética ayuda a los pacientes que han perdido la confianza en sí mismos debido a la apariencia de sus dientes. Tener una sonrisa saludable y hermosa les da mayor seguridad para mostrarse frente a otras personas.
El paso de los años puede verse reflejado en dientes oscurecidos y manchados, provocado por el consumo de alimentos y bebidas, e incluso por el uso de productos del tabaco. Someterse a un tratamiento estético, ayuda a tener una apariencia más juvenil y saludable. Algunos tratamientos estéticos, además de brindar una mejor apariencia, también contribuyen a fortalecer la dentadura actual o a prevenir futuros daños.
En cualquier caso, tu labor como especialista en estética dental siempre será recomendar el tratamiento más adecuado para cada paciente, en función de sus necesidades y circunstancias personales. Una especialidad en estética dental abre un mundo de oportunidades profesionales en una variedad de entornos clínicos y académicos. Además, la creciente demanda de servicios de estética dental nos recuerda la necesidad de contar con estos profesionales, así como su actualización constante en nuevos tratamientos estéticos.
En Qué Consiste la Odontología Estética
La odontología estética u odontología cosmética es una especialidad que además de buscar soluciones a problemas de salud bucodental, también cuida la armonía de la boca. Esta rama de la odontología se encarga de embellecer tu sonrisa tomando en cuenta la estética facial total. Que está constituida principalmente por los dientes, labios y encías. Y es importante que se encuentre en equilibrio con el resto de los elementos de tu rostro para lograr una mejor apariencia. De esta forma tendrás mucha más confianza, seguridad y una buena presencia. Además, una bonita sonrisa es sinónimo de una boca saludable.
En sus inicios era considerada una especialidad frívola. Pero con el pasar del tiempo se comprobó que muchas de las deformaciones y defectos físicos de la boca y sus elementos son enfermedades que pueden afectar la funcionalidad de diferentes partes de la boca. La sociedad cada vez se preocupa más por su imagen personal. Adicionalmente, tiene mayor conciencia de lo importante que es mantener una buena salud dental. Por este motivo recurren a diferentes tratamientos que relacionan la estética, funcionalidad y mantenimiento de su boca.
La estética dental no. Depende de las necesidades del paciente.
Cómo trabaja un odontólogo estético
Para lograr los mejores resultados en sus pacientes, un odontólogo estético debe cumplir con una serie de procedimientos básicos antes de realizar cualquier tratamiento. Lo primero es identificar las necesidades del paciente. Esto lo hace mediante una revisión diagnóstica y realizándole una serie de preguntas relacionadas con la estética de su boca. Luego debe tomar registros de todos los aspectos de la región bucal que se quiere tratar. Por lo general lo hacen mediante diferentes tipos de radiografías y fotografías. Estas imágenes serán analizadas para presentarle al paciente un diagnóstico. Así como los posibles métodos o tratamientos dentales estéticos que lo ayudarían a mejorar su caso. Incluso en muchos centros de estética dental le muestran a los pacientes mediante modelos digitales los posibles resultados de los tratamientos. Esto aumenta su confianza, pero a su vez los hace conscientes de su estado actual.
Tratamientos Comunes en la Odontología Estética
Para solucionar diferentes enfermedades y alteraciones en la estructura, color o forma de los dientes y la boca, los odontólogos estéticos realizan una serie de tratamientos. La mayoría de estos son indoloros y bastante sencillos.

Blanqueamiento dental
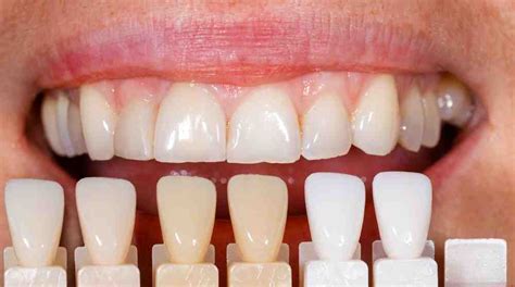
Es un tratamiento que tienen como función principal eliminar o suavizar la tonalidad de las manchas dentales. De esta forma los dientes se vean mucho más blancos y brillantes. En la actualidad es uno de los procedimientos más solicitados. Su principal objetivo es esclarecer el tono de la dentadura y homogeneizar los dientes manchados o descoloridos.
Las técnicas de blanqueamiento aplicadas por los odontólogos estéticos pueden cambiar el color de las piezas dentales y dejarlas hasta 7 tonalidades más blancas. Esto es posible gracias al empleo de compuestos blanqueadores que contienen peróxido de carbamida o peróxido de hidrógeno. Ambos elementos son ideales para eliminar diferentes tipos de manchas. Ya sean superficiales creadas por el consumo de algunos alimentos o más profundas.
Los especialistas en cosmetología dental realizan blanqueamientos mediante autoactivación o láser. Estos son bastante efectivos y se llevan a cabo en solo una sesión.
El blanqueamiento dental es un tipo de cosmética dental que aclara el esmalte en aquellos casos donde hay manchas o se ha ido perdiendo el blanco debido al consumo de diferentes sustancias (tabaco, ciertas bebidas y alimentos, etc.).

Los blanqueamientos externos se pueden realizar mediante 3 procedimientos, dependiendo del caso: en una sola sesión con lámparas especiales de blanqueamiento en clínica, con tratamiento ambulatorio aplicando el producto en casa, o combinando los dos anteriores con aplicaciones clínicas y ambulatorias de forma conjunta.
El método de blanqueamiento más rápido y efectivo.
Colocación de carillas estéticas
Otra parte de la odontología cosmética es la colocación de carillas dentales o estéticas. Son láminas muy finas de porcelana o composite. Estas se hacen a medida para cada paciente y se fijan alrededor de los dientes frontales.
Pueden emplearse para disimular imperfecciones como las ocasionadas por caries, fracturas en el esmalte, mejorar su color y corregir su forma. Incluso son usadas para eliminar pequeños diastemas que existan entre algunos dientes. Así que uno de los beneficios de la odontología estética es mejorar la apariencia de los dientes frontales.
Las carillas son piezas que se colocan sobre los dientes para corregir su forma y/o color. Hay diferentes modalidades (las carillas de porcelana, las ultrafinas y las de composite).

Con el fin de corregir dientes que están separados, que son demasiado pequeños, tienen alguna rotura o algún tipo de mancha, es posible colocar carillas dentales. Son unas láminas que se colocan en el diente y que permiten mejorar aspectos como los mencionados anteriormente de forma sencilla.
El uso de las carillas dentales poco a poco va ganando terreno entre los tratamientos estéticos de odontología. Las carillas consisten en una fina lámina de composite o de porcelana que se coloca en la parte visible del diente.
Restauraciones
Las restauraciones dentales también forman parte de los tratamientos que realizan estos especialistas. Estas le permiten recuperar la funcionalidad y el aspecto natural a un diente dañado. Dependiendo del daño que haya sufrido la pieza dental se pueden realizar diferentes tipos de restauración. La que efectúa el odontólogo estético de forma más seguida es la obturación. Este tratamiento también es conocido como empaste. Puede ser de diferentes materiales como de resina o composite. Este es vertido en forma líquida en la cavidad del diente que desees tratar. Posteriormente, se amolda a la forma del espacio de la pieza que deseas cubrir, se seca y en ocasiones se pule. Aunque en ocasiones también realizan colocación de coronas y otros tipos de implantes.
Cierre de diastemas y corrección de asimetrías dentarias
Los diastemas son pequeños espacios que se desarrolla entre los dientes. Es una afección muy común, sobre todo en los niños. La separación puede surgir debido a múltiples factores. Uno de ellos es la diferencia de tamaño entre algunas piezas dentales y el de la mandíbula superior o inferior. Es decir, la mandíbula es muy grande o algunos dientes muy pequeños. También se presentan casos en el que el frenillo se interpone entre los incisivos superiores. Esto hace que el espacio entre ellos sea más notorio.
Los especialistas en estética bucal, por lo general, emplean algunos de los siguientes tratamientos para corregir diastemas y asimetrías en los dientes:
- Tratamientos de ortodoncia. Los pacientes son remitidos a un ortodoncista.
- Colocación de carillas dentales.
- Usar coronas, puentes o rellenos.
Sustitución de amalgamas
Las amalgamas fueron un material obturador muy popular, pero con el pasar del tiempo se desarrollaron otros mucho más estéticos, biocompatibles y con múltiples beneficios para la salud bucal. Uno de los más utilizados para sustituir la amalgama es la resina. Esta es de un color muy similar al de los dientes, es bastante resistente y no liberan materiales tóxicos como en el caso de las amalgamas.
Reconstrucción de fracturas
Puede pasar que una pieza dental se fracture o fisure por el impacto contra un elemento o por un golpe. O por tener malos hábitos que pueden dañar tus dientes como morder objetos duros. En estos los casos, la odontología cosmética emplea materiales como el composite para cubrir y solucionar el problema. Este elemento posee un color muy similar al de los dientes y una vez pulido es casi imperceptible. Y es muy resistente a la ruptura. También pueden emplear carillas dentales. En situaciones más graves recurren a implantes y coronas.
Gingivectomía
La gingivectomía o recontorneado estético gingival es una cirugía bucal bastante sencilla. Consiste en recortar o reducir el tamaño de las encías para que luzca mucho más armónica. La operación es poco invasiva y se realiza con anestesia local. Además, es poco probable que se presenten complicaciones a lo largo del proceso de recuperación.
Uno de los problemas más frecuentes para conseguir una sonrisa atractiva es la presencia excesiva de las encías.
Contorneado dental
El contorneado dental es un procedimiento sencillo que moldea la forma de los dientes eliminando un poco de esmalte dental. Para los pacientes que tienen dientes levemente torcidos, desgastados, con formas irregulares o con bordes afilados, el contorneado dental representa una excelente alternativa para corregir estas condiciones y conseguir una sonrisa perfecta.
Implantes dentales estéticos
Los implantes dentales son otro procedimiento estético cuya finalidad es reemplazar dientes perdidos, ofreciendo resultados duraderos y una apariencia similar a los dientes naturales. Se trata de una opción que permite sustituir la raíz de un diente perdido, para que se convierta en la base adecuada para sostener puentes, coronas o dentaduras postizas. Con estos se consigue una mejor apariencia de la dentadura y también devolviendo al paciente la función masticatoria que se ve afectada por la falta de una o algunas piezas dentales.
Consiste en la implantación de un tornillo de titanio en los maxilares. Este se conecta con su correspondiente corona de porcelana.
La colocación de implantes dentales es también una técnica muy común para la corrección de la sonrisa. Esta prótesis tiene la misma función que el diente original, recuperando al mismo tiempo la estética del paciente.
Los implantes dentales van mucho más allá, pero tienen un componente claramente estético. Se colocan tanto por salud, como para mejorar el bienestar personal. De hecho, permiten cambiar notablemente la calidad de vida de nuestros pacientes y devolverles la sonrisa.

Otros tratamientos que ayudan a mejorar la estética bucal
Aparte de saber en qué consiste la odontología estética, debes conocer que existen otros tratamientos que no es común que los haga un especialista en estética dental. Pero que también ayudan a mejorar la estética bucal. Estos son:
La ortodoncia
La ortodoncia permite corregir problemas de alineación de los dientes e incluso en la mandíbula. Entre los diferentes métodos que utilizan los ortodoncistas para mejorar la estética de la sonrisa los mas populares son los brackets y los alineadores invisaling. Se puede recurrir a la odontología estética tras una ortodoncia.
Por medio de la ortodoncia se corrige la posición de los dientes mejorando la alineación y el espacio entre piezas, además que en muchos casos se mejora la función masticatoria y se facilita la higiene. El uso de ortodoncia invisible ha supuesto un gran avance en los tratamientos para corregir la posición de las piezas dentales.
Aunque el ortodoncista es el especialista por excelencia de esta rama, no deja de ser un objetivo también estético.
Tipos de ortodoncia:
- Ortodoncia invisible. Se utilizan férulas transparentes hechas a medida, que el paciente puede quitar y poner.
- Ortodoncia con brackets. Hay distintos tipos. Los clásicos brackets metálicos, los de cerámica, los de zafiro y la ortodoncia lingual.

La colocación de coronas
Como lo hemos mencionado anteriormente las coronas o fundas pueden ser empleadas en diferentes situaciones. La más común es cuando el paciente necesita sustituir una pieza dental que está muy dañada y debilitada. En estos casos el odontólogo estético te refiere a especialistas que puedan llevar a cabo tratamientos mucho más específicos y eficientes en las áreas nombradas anteriormente.
Puentes dentales. En este caso se colocan coronas de porcelana unidas entre si para sustituir la pieza dañada.
Las coronas, la gingivectomía y la eliminación de caries son otros de los tratamientos de estética dental más demandados.
Candidatos ideales para tratamientos estéticos dentales
Los tratamientos dentales estéticos se empezaron a popularizar, ya que los personajes famosos recurrían a ellos para mejorar su sonrisa. Pero a medida que la tecnología avanza surgen nuevos métodos cada vez más accesibles para la sociedad. Por eso en actualidad todo tipo de persona que no se sienta cómodos con la apariencia de sus dientes o boca pueden acudir a un odontólogo estético. Y así modificar los elementos con los que estén inconformes
Evaluación de necesidades y expectativas
El dentista es el profesional capacitado para hacer un chequeo físico y de los antecedentes médicos del paciente para determinar si es un buen candidato para alguno de los tratamientos estéticos disponibles en el campo de la odontología. De igual forma, el médico debe hablar con el paciente acerca los resultados que él espera obtener con el tratamiento, ya que es muy importante tener expectativas realistas.
Condiciones previas para procedimientos estéticos
Quienes deciden mejorar la apariencia de su sonrisa con un tratamiento estético deber tener primero una salud bucal óptima, de modo que el procedimiento se pueda realizar sin riesgo de complicaciones. De igual forma, el paciente debe tener dientes duraderos y encías saludables, porque de lo contrario el resultado del tratamiento puede quedar comprometido. En caso de que el paciente presente alguna condición, es indispensable corregirla antes de someterse a un tratamiento estético. También el paciente debe estar comprometido con el cuidado de la salud bucal, tanto antes del tratamiento como posterior al mismo, de esta forma se pueden garantizar mejores resultados.
Conclusión
Ahora que sabes en qué consiste la odontología estética puedes visitar a un especialista y hacer que tu sonrisa luzca mucho mejor. Si deseas pedir cita en nuestro consultorio, solo debes contactarnos. Contamos con un excelente grupo de expertos.
tags: #odontologia #estetica #especialidad