¡Se acabaron los complejos! Sabemos lo complicado que puede ser afrontarse a ciertas situaciones, tanto sociales como laborales, teniendo algún complejo con el color de los dientes. En Clínica Dental Domenech, cerca de Paterna, sabemos que cuidar de tu sonrisa es mucho más que una cuestión estética; es cuidar tu salud, tu bienestar y tu autoestima.

Una sonrisa sana y hermosa puede transformar tu bienestar.
Tratamientos de Estética Dental Disponibles
En las clínicas dentales del Dr. Charani, reunimos diferentes disciplinas en un mismo espacio, centrándonos en la salud de nuestros pacientes, para lo que ponemos a tu disposición a todo un equipo de expertos en estética dental. Confía en nuestros dentistas en Paterna para cualquier tratamiento dental. Somos profesionales en cada uno de nuestros servicios, obteniendo los mejores resultados gracias a los últimos avances en tecnología bucodental.
Carillas Dentales: Una Solución Mínimamente Invasiva
Uno de los tratamientos más demandados de la odontología estética son las carillas dentales Paterna. Es el ejemplo perfecto de que con una técnica mínimamente invasiva es posible recuperar la funcionalidad y la estética de la dentadura. La solución a su caso tenía nombre propio: composite.

Las carillas dentales son una técnica mínimamente invasiva para mejorar la estética dental.
Algunas de las piezas dentales presentaban un tamaño menor al deseado, con lo que aplicar este tratamiento resultaba indispensable. En primera instancia, por razones estéticas, pues estamos hablando de una zona de la boca continuamente expuesta a las miradas. Un motivo especialmente relevante al tratarse de un adolescente, pues, como expertos en odontología, en nuestro centro dental sabemos la importancia que le dan los jóvenes a la apariencia de su dentadura. Dibujamos capa a capa el espacio correspondiente y escogimos los colores más invisibles para las partes externas, y los tonos más opacos para aplicar a las capas internas de las piezas correspondientes.
Como adivinas, el composite es un material versátil y con numerosas alternativas, facilitando un aspecto natural al diente intervenido. Eso sí, hay que tener en cuenta cuando se aplica este tratamiento que el color puede sufrir modificaciones con el transcurso del tiempo si el paciente es fumador. Antes, la sonrisa se veía afectada por esos pequeños dientes que acaparaban las miradas.
Ortodoncia: Alineación Dental para una Sonrisa Perfecta
Transforma Tu Sonrisa Sin Que Nadie Lo Note: ¡El Poder de los Alineadores Invisibles Revelado!
La ortodoncia es un tratamiento muy común que sirve para alinear perfectamente los dientes mal colocados y corregir alteraciones óseas. Lucir una sonrisa perfecta es nuestra máxima. Entiendo que, a veces, la idea de usar brackets puede generar dudas, ya sea por razones estéticas o de comodidad. Por eso, en nuestra clínica ofrecemos soluciones modernas como el tratamiento Invisalign, una ortodoncia invisible que se adapta a tu estilo de vida. Estas férulas transparentes son prácticamente invisibles y removibles, permitiéndote disfrutar de tus comidas y cuidar tu higiene dental sin complicaciones.
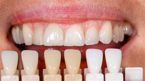
Blanqueamiento Dental: Ilumina tu Sonrisa
El blanqueamiento dental no solo mejora la estética de tu sonrisa, sino que también puede rejuvenecer tu apariencia. Utilizamos técnicas avanzadas que eliminan las manchas causadas por alimentos, bebidas o hábitos como el tabaco, logrando resultados visibles desde la primera sesión. Sabemos que cuidar de tu salud es tan importante como mejorar la estética, por eso nuestros productos y métodos están aprobados para proteger el esmalte de tus dientes y garantizar la seguridad durante el procedimiento.
Implantes Dentales: Recupera la Funcionalidad y Estética
Es una práctica que se realiza fundamentalmente para sustituir un diente perdido por una prótesis dental implantada sobre una raíz artificial. Para el paciente es una forma de recuperar su estética y su seguridad a la hora de hablar o masticar. Gracias a los implantes de carga inmediata, en una sola sesión y el mismo día, podrás disfrutar de una sonrisa completa y de máxima comodidad, olvidándote de las incómodas prótesis removibles. Además, contamos con soluciones especializadas como las elevaciones de seno y los implantes angulados, ideales para aquellos casos donde la estructura ósea requiere técnicas avanzadas.

Los implantes dentales restauran la funcionalidad y estética de tu boca.
Otros Tratamientos de Estética Dental
- Periodoncia: Tratamiento dental que se enfoca en la salud de las encías, combatiendo enfermedades como gingivitis y periodontitis. Ayuda a prevenir el deterioro del tejido gingival y la pérdida de dientes.
- Endodoncia: Tratamiento dental que salva dientes severamente dañados o infectados, eliminando la pulpa enferma. Dirigida a quienes sufren de dolor intenso o sensibilidad, puede evitar la extracción del diente.
- Prótesis Dentales: Dispositivos personalizados que reemplazan los dientes perdidos, mejorando la capacidad de masticar y hablar. Son para quienes han perdido uno o más dientes debido a enfermedades o lesiones.
- Bruxismo: Trata el hábito inconsciente de rechinar o apretar los dientes, incluye férulas dentales y terapias de relajación. Está dirigido a personas que sufren de este trastorno, a menudo vinculado al estrés.
Dentista para Niños en Paterna
Sabemos que para los más pequeños de la casa, visitar al dentista puede ser un poco intimidante, pero en nuestra clínica dental en Paterna hacemos que esa experiencia sea diferente. Contamos con un dentista infantil especializado, no solo en tratar los problemas dentales específicos de los niños, sino también en crear un ambiente amigable y relajado.
Nuestros Profesionales
En Clínica Dental Domenech, en Paterna, nuestra mayor satisfacción es cuidar de tu sonrisa con un enfoque profesional, cercano y de máxima calidad. Entendemos que cada persona es única, por eso te brindamos una atención personalizada en un ambiente acogedor y de confianza. Con más de 15 años de experiencia, hemos ayudado a cientos de pacientes en Paterna a recuperar y mantener una sonrisa sana y bonita. Nuestros pacientes nos recomiendan como una de las mejores clínicas dentales de la zona. ¡Visita nuestra clínica dental en Llíria y encuentra tu dentista para toda la vida! Estamos cerca y listos para cuidar de tu salud bucal con atención experta y personalizada.
Formado entre Valencia y Nueva York, el Dr. Eyad Alcharani ha defendido en su trayectoria la filosofía de ofrecer siempre lo mejor y lo último en odontología y alta estética dental. Para ello, lleva utilizando tecnología y técnicas de vanguardia desde 2001, dando una segunda oportunidad a la sonrisa de sus pacientes. En los Centros Odontológicos Dr. Charani, ubicados en la capital valenciana, tanto él como su equipo de dentistas de Paterna han defendido durante más de 20 años una filosofía sencilla basada en pilares básicos como el trato profesional y la atención cercana con sus pacientes.
¿Por Qué Elegirnos?
En Calma Dental nos esforzamos continuamente para garantizar tu tranquilidad y bienestar durante tu visita. Somos conscientes de que la elección de un dentista de confianza puede ser compleja. Una de las ventajas que ofrecemos en nuestra clínica dental es nuestro equipo de profesionales altamente cualificados y que cuentan con más de 15 años de experiencia en el sector. Asimismo, también nos encargamos de ofrecer la atención más personalizada, familiar y cercana a todos nuestros pacientes.
En Calma Dental queremos brindar a nuestros pacientes la atención más exquisita posible, por lo que siempre estamos destinando nuestros recursos para optimizar la calidad de nuestros servicios. Por este motivo, invertimos en las últimas tecnologías e instrumental de vanguardia para proporcionar diagnósticos más precisos y aplicar nuestros tratamientos de una manera mucho más eficiente. Nos encargamos de asegurar que tu comodidad y bienestar son óptimos en todo momento.
tags: #odontologia #estetica #paterna