¿Has empezado con un tratamiento de ortodoncia lingual o estás pensando en elegir este método? ¡Este artículo te interesa! Te damos una guía completa para que valores pros y contras sobre este tipo de brackets. Para especializarte en este ámbito de la salud puedes formarte con el Curso Auxiliar de Odontología y conocer los tipos de ortodoncia más adecuados en cada caso, entre otras funciones que ejercen los profesionales de este sector.

¿En qué Consiste la Ortodoncia Lingual?
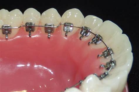
La ortodoncia lingual es un sistema de ortodoncia que corrige las alteraciones dentarias en la posición y en el desarrollo, así como las formas de las arcadas y posición dentoalveolar. Se trata de una técnica fija, porque la aparatología no se puede retirar por parte de los pacientes. La ortodoncia lingual - también conocida como la ortodoncia invisible - se basa en la aplicación de brackets que se colocan en la cara interna de los dientes. Al ser prácticamente invisible, es una opción estética para tratar problemas como apiñamiento dental, mordida cruzada y dientes torcidos. Es un método prácticamente inapreciable incluso en las distancias más cortas.
¿Cuándo se Recomienda?
Este tipo de ortodoncia se recomienda en los siguientes casos, siempre que el profesional ortodoncista lo considere oportuno en cada caso:
- Apiñamiento.
- Mordida abierta.
- Mordida cruzada.
- Sobremordida.
Se indica en aquellos pacientes que prefieran llevar un aparato imperceptible en su día a día para no mostrar el tratamiento al cual se están sometiendo.
¿Cuánto Dura el Tratamiento de Ortodoncia?
La duración variará en función de las necesidades de cada persona y de la complejidad de cada caso. Sin embargo, de forma orientativa, el tratamiento normalmente oscila entre los 18 y 24 meses. Eso sí, una vez se retira el aparato, los dientes vuelven a su posición natural y, por ello, es necesario utilizar retenedores. Por una parte, se utilizarán los retenedores fijos (unas finas láminas de alambre que van colocados por la cara lingual) y los removibles (férulas transparentes que se llevarán durante todo el día o por la noche). Este post tratamiento es imprescindible para mantener en el tiempo los resultados que se consiguen con la ortodoncia.

El Precio de los Brackets Linguales
El precio de los brackets linguales irá en función de la dificultad del tratamiento y de su duración. Aproximadamente, el coste ronda entre los 3.000 y 7.000 euros.
Ventajas y Desventajas de la Ortodoncia Lingual
Como en todo, antes de someterse a un tratamiento es importante valorar tanto los pros como los contras.
Ventajas
- Estética: Su principal punto fuerte es su imperceptibilidad. Los pacientes se decantan por este tratamiento por las ventajas estéticas que les ofrece.
- Protección del esmalte: Al colocarse los brackets en la cara interna de la pieza dental, el esmalte de los dientes no sufre daños en su cara visible.
- Personalización: Los brackets linguales se fabrican a medida y de forma totalmente personalizada en cada paciente.
- Duración: Se reduce la duración del tratamiento. Dada la colocación del bracket por lingual y más cerca del centro de resistencia de los dientes, el movimiento puede ser más rápido que con la técnica vestibular.
- Progresos visibles: Al estar colocados en la cara interna de los dientes, otro de los beneficios de los brackets linguales es que permiten observar la evolución de la sonrisa.
- No dañan el esmalte: Al colocarse en la cara interna de los dientes, no existe ningún riesgo de que puedan dañar o afear la parte más visible de la sonrisa.
Desventajas
- Precio: Este es el inconveniente más importante que encuentran las personas interesadas en la ortodoncia lingual.
- Periodo de adaptación: A pesar de que los brackets linguales sean pequeños y tengan un grosor mínimo, requieren un periodo de adaptación de unas dos semanas. Durante los primeros días, es normal que la persona experimente alguna dificultad para pronunciar determinadas palabras.
- Higiene: Es más complicado mantener la higiene dental, al estar colocados los brackets en la parte interior, es más difícil mantener la higiene dental. Por ello, es frecuente que aparezca acumulación de placa bacteriana o gingivitis.
- Alimentación: Al igual que otros brackets, la ortodoncia lingual conlleva algunas restricciones en la alimentación. Y es que, como los brackets van adheridos al diente, se deben evitar determinados alimentos que puedan quedarse pegados a ellos (chicles, turrón blando…). También hay que restringir el consumo de ciertos alimentos duros que puedan provocar que los brackets se caigan o despeguen. Por último, se debe evitar la costumbre de comer bocadillos o manzanas a mordiscos.
En el caso de que no se desee lidiar con estos inconvenientes diarios, una buena opción es recurrir a los alineadores invisibles. Además, los pacientes que los llevan no tienen que enfrentarse a los inconvenientes relacionados con el periodo de adaptación, la higiene y la alimentación.

¿Cómo se Colocan los Brackets Linguales?
El cementado directo es el método de colocación tradicional. Para llevarlo a cabo, el ortodoncista debe colocar los brackets, uno a uno, en los dientes del paciente. El cementado indirecto es una técnica de colocación más novedosa, rápida y cómoda para el paciente. Consiste en colocar todos los brackets fuera de la boca, en una férula. El ortodoncista escanea la boca del paciente mediante un escáner intraoral en tres dimensiones. Antes de la cita, los ortodoncistas colocan los brackets linguales en la férula que servirá para transferir la ortodoncia a los dientes del paciente. El último paso del proceso consiste en la colocación del arco. Una vez que los brackets linguales han quedado correctamente sujetos, se coloca el arco entre ellos y se ajusta.
Dicho todo lo anterior, conviene mencionar que, en muchos casos, la colocación completa de la ortodoncia lingual se realiza en dos sesiones. Esto resulta más beneficioso para el paciente por dos motivos. Por un lado, el proceso de adaptación a la ortodoncia es más sencillo y paulatino.
A continuación, se detallan los pasos para la colocación de los brackets linguales:
- Escaneo en 3D: el escaneo 3D es una opción avanzada para capturar impresiones dentales precisas, viable para cualquier ortodoncia, condicionado a la disponibilidad de equipo especializado en tu clínica o laboratorio. Este método proporciona una imagen detallada de tu boca, permitiendo elaborar un plan de tratamiento personalizado y diseñar brackets a medida.
- Envío al laboratorio: utilizando el escaneo 3D, se crea una férula detallada de tu boca en un laboratorio especializado, esencial para diseñar la ortodoncia posteriormente.
- Diseño del aparato dental: se diseñan los brackets y alambres individualmente, basándose en el molde de tu boca, para garantizar una adaptación y eficacia óptimas.
- Preparación de los dientes: tus dientes se preparan para la ortodoncia. Para ello, se realiza un secado de la zona interna de la boca para evitar que los brackets no se fijen.
- Colocación de los brackets: se irán colocando tus brackets uno a uno, asegurándose de que estén bien fijos y en la posición adecuada para el tratamiento.

Sesión On Line: "Ortodoncia lingual digital"
Normalmente, la ortodoncia lingual debe llevarse alrededor de 18 meses.
¿Qué Tener en Cuenta al Elegir una Ortodoncia Lingual?
Considera tu estilo de vida y tus necesidades estéticas al decidir por la ortodoncia lingual. Investiga sobre el periodo de adaptación y las posibles molestias iniciales que puedas experimentar. Toma en cuenta que la higiene dental puede ser un poco más complicada con la ortodoncia lingual. Sé consciente de los cuidados y precauciones necesarios durante todo el tratamiento. Considera el tiempo y el precio del tratamiento de ortodoncia lingual. Infórmate sobre la duración del tratamiento específico que necesitas, ya que puede variar según la complejidad de tu caso. Tener en cuenta estas recomendaciones y consejos te ayudará a tomar una decisión informada y prepararte adecuadamente para iniciar un tratamiento de ortodoncia lingual.
La duración del tratamiento de ortodoncia lingual puede variar según la complejidad de cada caso y las necesidades específicas del paciente. En general, se estima que el tratamiento puede durar entre 18 y 36 meses.
Molestias y Cuidados Durante el Tratamiento
Los brackets linguales requieren un periodo de adaptación de dos semanas, aproximadamente. En el caso de los dientes, las molestias pueden aparecer tanto de manera espontánea como al masticar. Hay que tener en cuenta que los brackets ejercen presión sobre ellos, al igual que ocurre con el resto de tratamientos de ortodoncia. Por ello, entra dentro de la normalidad experimentar cierto grado de dolor e incomodidad. Por lo general, las molestias provocadas por la presión en los dientes se caracterizan por ser llevaderas e ir disminuyendo con el paso de los días. Por su parte, la incomodidad relativa a la lengua puede calmarse con el uso de cera de ortodoncia alrededor de los brackets. Pasadas las dos primeras semanas, lo normal es que la ortodoncia lingual no duela ni sea molesta.
Podemos enumerar una serie de consejos para poner remedio a las molestias generadas a lo largo de un tratamiento de ortodoncia con brackets linguales. Si tienes pequeñas llagas o heridas producidas por el roce del aparato, te aconsejamos que hagas uso de la cera especial para ortodoncia. Sólo deberás colocar una pequeña parte en la zona que está provocando la herida para evitar la acción directa de los brackets sobre la mucosa. Es aconsejable seguir una dieta blanda -purés, sopas o guisos fáciles de masticar-.
Alternativas a la Ortodoncia Lingual
Hoy en día existen varias alternativas a este tipo de ortodoncia, como puede ser el Tratamiento de Ortodoncia Invisible de DR SMILE. Los alineadores están fabricados a medida, son transparentes y removibles, lo que facilita su uso y la higiene diaria. En comparación con los brackets linguales, su principal ventaja es que no son fijos, lo que simplifica su mantenimiento y limpieza. Desde el punto de vista económico, DR SMILE puede ser una alternativa más asequible, ya que los casos más avanzados pueden tener un coste aproximado de 3.000 euros. En cuanto a la duración del tratamiento, mientras que la ortodoncia lingual puede extenderse hasta 18 meses, el tratamiento con alineadores puede lograr resultados óptimos hasta en solo 9 meses.
Es posible combinar la ortodoncia lingual con otros tratamientos dentales para mejorar aún más la estética de la sonrisa. Es posible realizar tratamientos de blanqueamiento dental o colocación de carillas dentales mientras se lleva a cabo el tratamiento de ortodoncia lingual.
tags: #ortodoncia #lingual #inconvenientes