La sonrisa es una carta de presentación, y las carillas dentales se han convertido en aliadas para perfeccionarla. Te vamos a contar en profundidad qué son las carillas dentales y para qué sirven: las carillas dentales son un tratamiento estético versátil que se utiliza para corregir una variedad de problemas dentales, como dientes torcidos, separados, apiñados o montados. Esta guía detallada te explicará en qué consisten las carillas dentales, desde su definición hasta el proceso de colocación, pasando por las diferentes opciones disponibles y sus pros y contras.
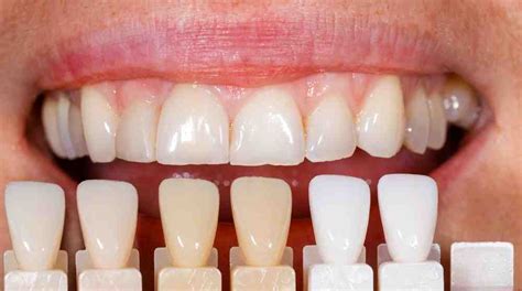
Las carillas son un tratamiento para mejorar la apariencia de los dientes. Consiste en colocar unas láminas de porcelana en la cara frontal de los dientes, mejorando su aspecto estético. Las carillas dan un mejor aspecto en color y forma a los dientes.
Las personas que habitualmente optan por un tratamiento de carillas son aquellas que quieren mejorar su imagen estética, especialmente el color, la forma y la posición de los dientes. Sin embargo, no todas las personas son aptas para este tipo de tratamiento. Habitualmente, los pacientes que pueden someterse a un tratamiento de carillas son aquellos con una buena salud bucal en general. Es importante tener unos dientes y encías saludables. También es importante tener suficiente esmalte dental.
Carillas de Resina y Porcelana: Pros, Contras y Mi Experiencia.
¿Qué son las Carillas Dentales y Cuándo se Utilizan?
Las carillas dentales son láminas delgadas hechas de porcelana o composite que se adhieren a la parte frontal de los dientes para mejorar su apariencia. Las carillas dentales son finas láminas fabricadas principalmente de porcelana o composite, un material de resina ampliamente utilizado en odontología para reparar dientes dañados y mejorar la estética dental. Estas láminas se adhieren cuidadosamente a la superficie frontal de los dientes, proporcionando una solución eficaz y duradera para corregir diversas imperfecciones.
Son ideales para corregir manchas, fracturas, espacios entre dientes y problemas de alineación, ofreciendo una sonrisa más armónica y estética. Además, las carillas dentales son una excelente opción para cerrar pequeños espacios interdentales sin necesidad de someterse a procedimientos ortodónticos más invasivos. Gracias a su capacidad para mimetizarse con el color natural de los dientes, ofrecen resultados estéticos muy naturales y, al mismo tiempo, refuerzan la estructura dental subyacente. Este tratamiento no solo mejora la apariencia de la sonrisa, sino que también contribuye a aumentar la confianza y la autoestima del paciente.
Es importante destacar que este procedimiento está pensado principalmente para casos leves, ya que situaciones más severas podrían requerir tratamientos ortodónticos más extensos.

Tipos de Carillas Dentales
Vamos a clasificarlas según el material del que están fabricadas, así, podremos encontrar tipos como las carillas de porcelana o las carillas de composite entre otras.
Carillas de Porcelana
Estas carillas, hechas a medida en un laboratorio dental, son altamente resistentes y tienen una apariencia natural. Las carillas de porcelana son láminas de cerámica que se adhieren a los dientes para corregir algunas imperfecciones. Estas carillas se realizan de manera personalizada en un laboratorio.
En este tipo vas a encontrar carillas ultrafinas, que son las que ofrecen más calidad y duración. De hecho, este es el material más demandado en la mayor parte de clínicas dentales. Se emplea porcelana inyectada para su fabricación, esto hace que tengan mucha resistencia y, por tanto, durabilidad, lo que al final es importante. Tienen un grosor similar a una lentilla, manteniéndose entre los 0,3 y 1 mm. Este tamaño pequeño hace que no sea necesario ningún proceso de limado del diente para colocarla. Aunque si es posible que, dependiendo del caso, sea necesario un pequeño contorneado del diente.
Estas carillas se fabrican a medida de cada persona y normalmente se espera unos días desde las mediciones hasta la colocación final. El circonio es otro material que se emplea en la fabricación de estas, este tipo de carilla se usa en momentos puntuales, pero tienen una gran utilidad estética. El grosor y la opacidad son mayores que las ultrafinas. Este tipo de carillas se usan si el paciente tiene un perno metálico que no se puede quitar. La mayor ventaja es el aspecto natural que da.
Las carillas de porcelana o cerámica se pueden elaborar con diferentes materiales. Es una combinación de porcelana y vidrio que se emplea con frecuencia en la fabricación de prótesis, puentes, coronas o carillas. Piezas finas de cerámica de feldespato con un grosor de hasta 0.5 mm. Este material es muy apreciado en odontología por su resistencia y su color transparente, de manera que resultan discretas a la vista. Muy buen resultado estético: destacan por su translucidez, es decir, por cómo se refleja la luz a través de la carilla de una manera muy similar al esmalte.
Su proceso de colocación implica más visitas al dentista, pero su durabilidad y resistencia a las manchas las hacen muy atractivas para muchos pacientes.
Carillas de Composite
Las carillas de composite se aplican directamente en la consulta dental y se moldean sobre el diente. Este tipo de carillas dentales se usan mucho, tienen también una buena resistencia y un buen resultado estético, aunque son más frágiles. De ahí que puedan ser más económicas. Este tipo se recomienda cuando se trata de una corrección muy sencilla o en el caso de niños pequeños, es decir, antes de los 18 años.
Las carillas estéticas de composite están hechas con una resina acrílica que se adhiere a la superficie del diente. Pueden moldearse directamente en la boca, o pueden realizarse en un laboratorio y posteriormente, colocarlas. En muchos casos puede que ni requieran tallar el diente. Normalmente este tipo de carillas se utilizan en niños o adolescentes que aún no han terminado su edad de crecimiento. Su vida útil es de 5 a 10 años.
Son más económicas y requieren menos preparación de los dientes, lo que las convierte en una opción popular para quienes buscan resultados rápidos y más accesibles.

Ventajas y Desventajas de las Carillas
Carillas de Porcelana
Las carillas de porcelana, al utilizar este material, cuentan con la ventaja de que resisten muy bien a las manchas. Además, la porcelana tiene un aspecto muy similar al de los dientes naturales cuando estos están sanos y blancos. Además, las carillas de porcelana pueden corregir problemas como el desgaste de los dientes, así como cubrir piezas astilladas o rotas.
Ventajas
- Durabilidad: Ofrecen una vida útil más larga en comparación con las de composite.
- Resistencia a las manchas: La porcelana es menos propensa a mancharse con alimentos o bebidas.
- Estética natural: Su apariencia se asemeja más al esmalte dental natural.
Desventajas
- Costo más elevado: El proceso de fabricación y colocación encarece este tipo de carillas.
- Proceso más prolongado: Requieren múltiples visitas al dentista para su colocación definitiva.
Carillas de Composite
Las carillas de composite, un material fabricado con varias resinas compuestas, tienen la ventaja de que son reversibles. El trabajo previo con los dientes es mínimo, por lo que no los altera de forma permanente.
Ventajas
- Menor coste: Son más económicas que las de porcelana.
- Colocación más rápida: Se pueden aplicar en una sola sesión, en algunos casos.
Desventajas
- Menor durabilidad: Suelen tener una vida útil más corta que las de porcelana.
- Propensión a manchas: El material composite puede mancharse con el tiempo.
¿Cuántas Citas son Necesarias para Colocar las Carillas?
El proceso de colocación de las carillas dentales implica varias visitas al dentista.
- Consulta Inicial: Evaluación y Metas Estéticas. Un odontólogo especializado evaluará tu salud bucal y discutirá tus objetivos estéticos. Se planificará el tratamiento más adecuado para cubrir tus necesidades específicas. Durante este proceso, el odontólogo examinará los dientes del paciente para asegurarse de que es apto para recibir el tratamiento y si es más adecuado realizarlo con carillas de porcelana o composite.
- Preparación Dental. En cuanto a la preparación dental, para las carillas de porcelana, a veces se requiere una mínima remoción de esmalte dental para crear espacio, mientras que para las carillas de composite, la preparación implica un desgaste menor del esmalte dental. En segundo lugar, se preparará el diente a tratar. Esta preparación consiste en eliminar de la superficie del diente parte del esmalte.
- Toma de Impresiones Precisas. Se tomarán impresiones detalladas de tus dientes para confeccionar carillas personalizadas que se ajusten perfectamente a tu dentadura. En tercer lugar, se tomarán las impresiones.
- Colocación de las Carillas. Una vez confeccionadas, las carillas se colocarán cuidadosamente con un adhesivo dental de alta calidad. El cuarto paso consiste en colocar las impresiones de las carillas ya terminadas. Para poder hacerlo, hay que preparar el diente, en un proceso que consiste en limpiar, pulir y grabar la pieza dental.
- Ajustes y Pulido. Finalmente, se realizarán ajustes minuciosos para asegurar un ajuste perfecto y una apariencia natural. Las carillas se pulirán para garantizar comodidad y una sonrisa estética. El quinto y último paso será ajustar esta colocación. Para ello, se eliminará cualquier exceso del cemento especial utilizado.

FAQ's (Preguntas Frecuentes):
- ¿Las carillas dentales son adecuadas para todo el mundo?
Las carillas dentales pueden ser una opción viable para muchas personas, pero no son adecuadas en casos de dientes gravemente dañados o con afecciones dentales graves. Una evaluación dental determinará la idoneidad de las carillas para cada paciente.
- ¿Las carillas dentales pueden cambiarse de color con el tiempo?
Si bien las carillas de porcelana tienden a ser más resistentes a las manchas, cualquier tipo de carilla puede cambiar de color con el tiempo debido a la exposición a ciertos alimentos, bebidas y hábitos como fumar. Mantener una buena higiene oral y evitar alimentos y bebidas que manchen puede ayudar a prolongar su brillo.
- ¿Cómo afectan las carillas dentales a la sensibilidad dental?
En general, las carillas dentales no deberían causar sensibilidad. Sin embargo, algunos pacientes pueden experimentar sensibilidad temporal durante unos días después de la colocación. Esta sensibilidad suele desaparecer rápidamente.
- ¿Se pueden reparar las carillas dentales si se dañan?
En casos de daño menor, las carillas de composite a veces pueden repararse. Las carillas de porcelana, por otro lado, suelen requerir la sustitución completa si se dañan significativamente.
- ¿Las carillas dentales requieren algún cuidado especial?
El cuidado es similar al de los dientes naturales: cepillado regular, uso de hilo dental y visitas periódicas al dentista. Al igual que en la mayoría de tratamientos dentales, es imprescindible que el paciente mantenga una buena higiene dental. Evitar morder objetos duros y hábitos como el bruxismo también puede ayudar a prolongar la vida útil de las carillas.
- ¿Cuál es la duración típica de las carillas dentales?
La duración puede variar según el tipo de carillas, los hábitos del paciente y el cuidado dental. Las carillas de porcelana pueden durar entre 10 y 15 años, mientras que las de composite suelen tener una vida útil más corta, alrededor de 5 a 7 años en promedio. La duración de las carillas de porcelana es de unos 12 años de media. Si el paciente sufre un impacto fuerte en la boca o muerde algo duro, en la mayoría de ocasiones la carilla puede fracturarse o despegarse. En este segundo caso, si tenemos la suerte de que la carilla está intacta, se vuelve a adherir sin problema. Si se rompe, se ha de volver a crear de nuevo.
- ¿Las carillas dentales son reversibles?
La colocación de carillas dentales generalmente implica una modificación mínima y a menudo irreversible de los dientes naturales. Antes de proceder, es esencial discutir con el dentista las implicaciones y posibilidades de reversión.
Nota: Los importes indicados han sido calculados de forma estimativa en base a un tratamiento completo de acuerdo a los parámetros indicados en la tabla. Incluye; estudio, tratamiento y revisiones durante el tratamiento, por lo que es orientativo teniendo carácter meramente informativo y no contractual. El tratamiento personalizado será estudiado bajo prescripción médica. Los precios pueden incrementarse en el caso de que existan costes adicionales derivados de las peticiones que realice cada cliente.