Se conoce como sonrisa gingival, a una sonrisa en la que se expone demasiada encía. Sin embargo, este concepto es diferente para cada persona ya que los gustos varían de una persona a otra. Por otro lago hay que decir que esta sonrisa es mejor aceptada en mujeres que en hombres ya que se considera un rasgo atractivo y de juventud.
La sonrisa gingival es uno de los principales problemas estéticos que afectan a las encías. Y es que, por lo general, los pacientes que presentan sonrisa gingival no se sienten satisfechos con su apariencia facial. Muchas personas evitan sonreír abiertamente para que no se muestre demasiado su sonrisa gingival. Por este motivo, los pacientes que viven este problema con complejo se acercan buscando un tratamiento que pueda corregir, en cierta medida, esa sonrisa tan poco estética.

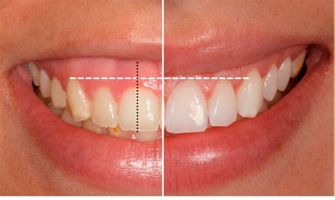
La sonrisa gingival podría definirse como una anomalía dental que hace que las personas que la padecen muestren un exceso de encía al sonreír. En condiciones estéticas ideales, una sonrisa no debe mostrar más de 2-3 milímetros de encía.
De hecho, algunas personas, para disimular su sonrisa, pueden desarrollar hábitos como taparse la boca con frecuencia o realizar movimientos extraños con los labios al hablar. Dicho esto, hay que saber que la sonrisa gingival no supone un problema para la salud bucodental, pero sí puede afectar a la autoestima de las personas, convirtiéndose entonces en un problema estético.
La sonrisa gingival es una condición principalmente estética. El tratamiento para la sonrisa gingival no es igual para todos los pacientes, ya que esta condición puede tener orígenes muy diversos.
¿Cómo saber si tengo una sonrisa gingival?
Identificar una sonrisa gingival generalmente es sencillo. Si al sonreír, sientes que muestras más encías de lo deseado, es probable que padezcas este problema.
Para poder entender que es la sonrisa gingival, hemos creado unas normas básicas:
- Un hombre tiene sonrisa gingival cuando muestra mas de 2mm de encía.
- Una mujer tiene sonrisa gingival cuando muestra mas de 3-4 mm de encía.
Causas de la Sonrisa Gingival
La sonrisa gingival puede deberse a varias razones. Comprender las causas que provocan una sonrisa gingival es fundamental para elegir la mejor opción, pues no todas se deben al mismo factor.

La exposición aumentada de sonrisa gingival se debe a 4 causas:
- Maxilar largo: se produce cuando tiene lugar un crecimiento excesivo del maxilar en sentido vertical. Esto hace, a su vez, que la mandíbula se desarrolle menos de lo que debería. En algunos casos, el crecimiento excesivo del maxilar superior puede contribuir a la sonrisa gingival, ya que afecta la posición de los dientes y las encías.
- Posición dentaria baja: se produce cuando los incisivos superiores no tienen contacto con los inferiores, y los incisivos superiores sobreerupcionan para entrar en contacto con los inferiores. Ocurre cuando los incisivos superiores no tienen contacto con los inferiores, lo que hace que sobreerupcionen para buscar dicho contacto.
- Erupción pasiva alterada (EPA): se da cuando parte de la corona del diente se queda cubierta por la encía. Se produce cuando los dientes no han “emergido” completamente hacia fuera de la encía después de su erupción natural. Esto ocurre cuando existe un problema sobre el proceso de erupción dental. En situaciones donde los dientes no erupcionan correctamente, es posible que las encías se vean más expuestas al sonreír.
- Labio superior corto o labio hipermóvil (mucha movilidad): cuando la longitud del labio es demasiado corta insuficiente para cubrir la encía o cuando el labio se desplaza excesivamente hacia arriba al sonreír. Un labio superior demasiado corto puede hacer que al sonreír e incluso en reposo, se enseña más encía de la normal.Una actividad muscular elevada en la región del labio superior puede derivar en una elevación exagerada al sonreír, mostrando más encías de lo deseado.
Las causas más frecuentes son posición dentaria baja o erupción pasiva alterada.
Aunque las anteriores son las causas más habituales, también pueden influir otros factores menos comunes: alteraciones en la erupción dental relacionadas con genética, cicatrices musculares o variaciones anatómicas individuales.
También existe la posibilidad de que sea el propio desgaste de los dientes el que descompense la proporción entre las piezas dentales y la encía.
Sonrisa Gingival: Causas y Soluciones Fáciles Explicadas
Tratamiento de la Sonrisa Gingival
Dependiendo de la causa, el tratamiento de la sonrisa gingival puede variar. Para poder corregir la sonrisa gingival es necesario identificar, en primer lugar, su causa. Tanto sea por motivos puramente estéticos como funcionales existen diversos tratamientos para corregirlo.
El tratamiento para sonrisa gingival debe adaptarse a las causas que provocan esta condición, ya que no existe una única solución para todos los casos.

Maxilar largo
En este caso el tratamiento de elección de la Cirugía Ortognática. La Cirugía Ortognática es una especialidad que permite modificar los huesos de la cara o colocarlos en una posición mejor. Cuando el maxilar es largo, la cirugía ortognática consiste en realizar cortes en los huesos para mover el maxilar superior hacia arriba verticalmente. La cirugía ortognática permite modificar la estructura ósea de la cara y corregir tanto el tamaño como la posición de los huesos maxilares (maxilar superior y mandíbula). Una de estas cirugías es la impactación anterior del hueso maxilar, que puede permitir solucionar aquellos casos de sonrisa gingival provocados por el exceso de maxilar.
Erupción Pasiva Alterada (EPA)
La erupción pasiva alterada hace que los dientes se vean mas cortos ya que la corona queda cubierta excesivamente por encía. Esto es debido a que durante su erupción la encía no se ha retraído lo suficiente. El tratamiento que se realiza en este caso es la gingivectomía. La gingivectomía consiste en contornear la encía para descubrir la parte del diente que debería de ser visible. Se puede hacer con bisturí eléctrico y no deja nada de cicatriz. Otra solución para las encías que son demasiado grandes puede ser el alargamiento de corona del diente. Con el alargamiento coronario, el exceso de las encías y el tejido óseo se contornea para exponer más parte del diente natural. Esto se puede hacer a un diente para igualar la línea de las encías o varios dientes para exponer una amplia sonrisa natural.
Posición dentaria baja
Se da en casos de sobremordida, cuando los dientes superiores sobreerupcionan y no encuentran contacto con los inferiores. El tratamiento de elección es la ortodoncia para corregir la curva de Spee. La ortodoncia es un tratamiento encaminado a corregir defectos en la oclusión o mordida de los dientes. Mediante la ortodoncia -ya sea con alineadores transparentes o con brackets-, se llevan los dientes a la posición deseada y se corrige la sobremordida. En algunos casos, la posición de los dientes puede contribuir a la sonrisa gingival. Tratamientos ortodónticos, como los brackets o la ortodoncia invisible, pueden corregir la alineación dental y mejorar la estética de la sonrisa.
Labio superior corto o con mucha movilidad
Cuando el labio tiene exceso de movilidad el tratamiento consiste en alterar el músculo de dicho labio. Para realizarlo es necesario hacer infiltraciones con botox, haciendo que el labio no se eleve cuando el paciente se ría. En los casos en los que la sonrisa gingival esté causada por un labio superior corto o con mucha movilidad, el tratamiento más adecuado para corregirla pueden ser las infiltraciones con neuromoduladores. Dicho esto, se debe tener en cuenta que la duración de los neuromoduladores es temporal. El uso de botox y ácido hialurónico también puede ser una solución para aquellos casos de sonrisa gingival cuyo origen se debe a la hiperactividad del músculo elevador del labio superior. Y es que estos inyectables pueden regular el funcionamiento de este músculo y evitar que se muestren un exceso de encía al sonreír.
Otros tratamientos
- Gingivectomía: La gingivectomía es uno de los tratamientos más comunes para corregir la sonrisa gingival. Este procedimiento consiste en recortar el exceso de encía que recubre la corona del diente, dejando a la vista una mayor cantidad de diente y consiguiendo una mejora estética. La gingivoplastia es una cirugía plástica de encías que consiste en dar forma a la encía buscando devolverle su arquitectura y fisiología normales.
- Carillas o coronas: En el caso de dientes demasiado cortos se puede recurrir a carillas o coronas, en función de la valoración del profesional. Estos tratamientos se pueden valorar, por ejemplo, ante desgastes excesivos a consecuencia del bruxismo. Sin embargo, antes de colocar las carillas o las coronas será necesario tratar y controlar el bruxismo.
Como ves, existen distintos tratamientos, y muy variados, para corregir la sonrisa gingival. Por ello, si presentas sonrisa gingival te animamos a acudir a una primera visita a uno de los centros Smysecret.
Tabla resumen de tratamientos según la causa:
| Causa | Tratamiento |
|---|---|
| Maxilar largo | Cirugía Ortognática |
| Erupción Pasiva Alterada | Gingivectomía |
| Posición dentaria baja | Ortodoncia |
| Labio superior corto o con mucha movilidad | Infiltraciones con Botox |
tags: #ortodoncia #para #sonrisa #gingival