¿Has empezado con un tratamiento de ortodoncia lingual o estás pensando en elegir este método? ¡Este artículo te interesa! Te damos una guía completa para que valores pros y contras sobre este tipo de brackets.

Probablemente la ortodoncia lingual sea uno de los tratamientos de ortodoncia más desconocidos. Dentro de todas las opciones posibles está la ortodoncia lingual, mucho menos conocida que los brackets tradicionales o la aclamada ortodoncia Invisalign. Si quieres corregir la posición de tus dientes para mejorar el aspecto de tu sonrisa, debes ponerte en manos de un equipo experto en tratamientos de ortodoncia.
¿En qué consiste la ortodoncia lingual?
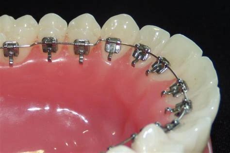
La ortodoncia lingual es un tratamiento de ortodoncia en el que los brackets se colocan en la cara interna (lingual) de los dientes, en lugar de en la parte externa (vestibular). La ortodoncia lingual - también conocida como la ortodoncia invisible - se basa en la aplicación de brackets que se colocan en la cara interna de los dientes. Esto hace que los brackets sean invisibles ante los ojos de los demás. Al igual que otros tratamientos de ortodoncia, los brackets linguales sirven para corregir problemas relacionados con la oclusión (mordida) y la alineación de los dientes. De este modo, se corrige el alineamiento incorrecto de los dientes mediante la presión de los alambres desde la zona lingual, sin que externamente se aprecien los mismos. Al ser prácticamente invisible, es una opción estética para tratar problemas como apiñamiento dental, mordida cruzada y dientes torcidos. Es la única ortodoncia realmente invisible, ya que la Invisalign sí puede percibirse a distancias muy cortas. Es un tratamiento estético dental que corrige la posición incorrecta de los dientes de manera casi invisible. Consiste en la colocación de brackets en la parte interior de los dientes. La ortodoncia lingual se ha convertido en una opción cada vez más popular para quienes desean obtener resultados de ortodoncia sin comprometer su apariencia estética. Los brackets linguales se adhieren a la parte interna de los dientes, lo que significa que son prácticamente invisibles cuando sonreímos o hablamos. La ortodoncia lingual utiliza brackets especiales que se adhieren al lado interior de los dientes y realizan ajustes para alinear y nivelar la dentadura. Estos brackets están hechos a medida para cada paciente, lo que garantiza un ajuste preciso y cómodo. Se utilizan alambres y ligaduras para aplicar presión y guiar los dientes a su posición correcta a lo largo del tiempo.
¿Cómo se colocan los brackets linguales?
El primer paso consiste en realizar el estudio de ortodoncia. Para ello, se hace una exploración bucodental al paciente y se toman una serie de fotografías (intraorales y extraorales) y radiografías (ortopantomografía y cefalometría). Tras realizar el estudio, el ortodoncista planifica el tratamiento y solicita la fabricación de los brackets linguales al laboratorio. Antes de colocar los brackets linguales es necesario preparar los dientes. Estos se limpian, se secan y se aplica en ellos un producto adhesivo para poder fijar los brackets a la superficie dental.
Existen dos métodos principales para colocar los brackets linguales:
- Cementado directo: El ortodoncista coloca los brackets, uno a uno, en los dientes del paciente.
- Cementado indirecto: Se colocan todos los brackets fuera de la boca, en una férula. El ortodoncista escanea la boca del paciente mediante un escáner intraoral en tres dimensiones.
Una vez que hemos recibido el aparato, citamos al paciente para proceder a su colocación. Antes de la cita, los ortodoncistas colocan los brackets linguales en la férula que servirá para transferir la ortodoncia a los dientes del paciente. En este punto, limpiamos y secamos los dientes. El último paso del proceso consiste en la colocación del arco. Una vez que los brackets linguales han quedado correctamente sujetos, se coloca el arco entre ellos y se ajusta. Dicho todo lo anterior, conviene mencionar que, en muchos casos, la colocación completa de la ortodoncia lingual se realiza en dos sesiones. Esto resulta más beneficioso para el paciente por dos motivos. Por un lado, el proceso de adaptación a la ortodoncia es más sencillo y paulatino.

¿Cuándo se recomienda?
Este tipo de ortodoncia se recomienda en los siguientes casos, siempre que el profesional ortodoncista lo considere oportuno en cada caso. Se indica en aquellos pacientes que prefieran llevar un aparato imperceptible en su día a día para no mostrar el tratamiento al cual se están sometiendo.
- Apiñamiento
- Mordida abierta
- Mordida cruzada
- Sobremordida
Ventajas de la ortodoncia lingual
Como hemos dicho anteriormente, el principal beneficio de la ortodoncia lingual es que resulta invisible, y por lo tanto, la preocupación por la estética típica que sufren las personas que deben llevar aparatos desaparece. Los pacientes se decantan por este tratamiento por las ventajas estéticas que les ofrece. Su principal punto fuerte es su imperceptibilidad. Es la única ortodoncia realmente invisible, ya que la Invisalign sí puede percibirse a distancias muy cortas.

- Estética y discreción: Para la inmensa mayoría de los pacientes, el mayor beneficio de la ortodoncia lingual es su estética y discreción. Al colocar los brackets en la parte interna de los dientes, son prácticamente invisibles desde el exterior.
- Protección del esmalte dental: Al colocarse los brackets en la cara interna de la pieza dental, el esmalte de los dientes no sufre daños en su cara visible. Al estar los brackets en la cara interna de los dientes, el esmalte no se ve expuesto a posibles daños causados por factores externos como la fricción con los alimentos o el cepillado. No dañan el esmalte: al colocarse en la cara interna de los dientes, no existe ningún riesgo de que puedan dañar o afear la parte más visible de la sonrisa.
- Personalización: Los brackets linguales se fabrican a medida y de forma totalmente personalizada en cada paciente. Los brackets linguales están fabricados a medida de los dientes de cada paciente, al contrario de lo que ocurre con la ortodoncia tradicional.
- Precisión del tratamiento: La posibilidad de ajustarse y adaptarse a todo tipo de movimientos es prácticamente infinita. La ortodoncia lingual ofrece una mayor precisión en el tratamiento que otros tipos de ortodoncia. Al colocar los brackets en la cara lingual de los dientes, se tienen en cuenta los movimientos naturales de la lengua y los músculos bucales, lo que permite una corrección más precisa del problema de alineamiento dental.
- Progresos visibles: Al estar colocados en la cara interna de los dientes, otro de los beneficios de los brackets linguales es que permiten observar la evolución de la sonrisa.
- Es un tratamiento rápido: Dada la colocación del bracket por lingual y más cerca del centro de resistencia de los dientes, el movimiento puede ser más rápido que con la técnica vestibular.
- Son muy seguros.
Además, se puede combinar con otros tratamientos dentales para mejorar aún más la estética de la sonrisa. Es posible realizar tratamientos de blanqueamiento dental o colocación de carillas dentales mientras se lleva a cabo el tratamiento de ortodoncia lingual.
Brackets linguales: La opción de ortodoncia invisible y versatil.
Desventajas de la ortodoncia lingual

Como en todo, antes de someterse a un tratamiento es importante valorar tanto los pros como los contras. Vemos, a continuación cuáles son las desventajas de la ortodoncia invisible:
- Precio: Este es el mayor inconveniente que encuentran las personas interesadas en el tratamiento. Este es el inconveniente más importante que encuentran las personas interesadas en la ortodoncia lingual. En España, la ortodoncia lingual tiene un precio que oscila entre los 4.000 y los 7.000 euros, aproximadamente.
- Tiempo de adaptación: Los brackets linguales requieren un periodo de adaptación de unas dos semanas. Durante los primeros días, es normal que la persona experimente alguna dificultad para pronunciar determinadas palabras. Los brackets linguales requieren un periodo de adaptación de dos semanas, aproximadamente. A pesar de que los brackets linguales sean pequeños y tengan un grosor mínimo, requieren un periodo de adaptación de unas dos semanas. Al estar colocados en la parte interna de los dientes, contactan con la lengua. En consecuencia, los primeros días pueden provocar pequeñas heridas o llagas en la lengua.
- Dificultad para la higiene dental: Al estar colocados los brackets en la parte interior, es más difícil mantener la higiene dental. Es más complicado mantener la higiene dental: al estar colocados los brackets en la parte interior, es más difícil mantener la higiene dental. Además, en caso de que sufras problemas periodontales, tal vez la situación se agrave por culpa de la ortodoncia lingual.
- Molestias en la lengua: Puede provocar molestias en la lengua, dificultad para pronunciación, masticación y deglución.
- Restricciones en la alimentación: Además, al igual que otros brackets, la ortodoncia lingual conlleva algunas restricciones en la alimentación. Y es que, como los brackets van adheridos al diente, se deben evitar determinados alimentos que puedan quedarse pegados a ellos (chicles, turrón blando…). También hay que restringir el consumo de ciertos alimentos duros que puedan provocar que los brackets se caigan o despeguen. Por último, se debe evitar la costumbre de comer bocadillos o manzanas a mordiscos.
- Mayor duración del tratamiento: Otra desventaja a tener en cuenta es que el tratamiento de ortodoncia lingual generalmente requiere más tiempo que otros tipos de ortodoncia. Esto se debe a la complejidad de colocar los brackets en la cara interna de los dientes y a la necesidad de realizar ajustes más minuciosos en cada visita al ortodoncista.
¿Cuánto dura el tratamiento de ortodoncia?
La duración variará en función de las necesidades de cada persona y de la complejidad de cada caso. Sin embargo, de forma orientativa, el tratamiento normalmente oscila entre los 18 y 24 meses. La duración del tratamiento de ortodoncia lingual puede variar según la complejidad de cada caso y las necesidades específicas del paciente. En general, se estima que el tratamiento puede durar entre 18 y 36 meses. Normalmente, la ortodoncia lingual debe llevarse alrededor de 18 meses. Aunque cada paciente tendrá un problema con una duración distinta, se estima que el promedio de un tratamiento con ortodoncia lingual es de unos dos años.
Eso sí, una vez se retira el aparato, los dientes vuelven a su posición natural y, por ello, es necesario utilizar retenedores. Por una parte, se utilizarán los retenedores fijos (unas finas láminas de alambre que van colocados por la cara lingual) y los removibles (férulas transparentes que se llevarán durante todo el día o por la noche). Este post tratamiento es imprescindible para mantener en el tiempo los resultados que se consiguen con la ortodoncia.
Higiene bucal durante el tratamiento
Mantener una buena higiene bucal es fundamental durante cualquier tratamiento ortodóncico, pero con la ortodoncia lingual, es especialmente importante debido a la ubicación de los brackets.
- Cepillado frecuente: Es fundamental cepillarse los dientes después de cada comida para evitar la acumulación de placa y restos de alimentos alrededor de los brackets linguales. Por ejemplo, es fundamental cepillarse los dientes de manera cuidadosa después de cada comida, ya que el aparato impide llegar a todos los rincones de los dientes.
- Uso de hilo dental: Aunque puede ser más complicado, es esencial usar hilo dental diariamente para limpiar entre los dientes y evitar la acumulación de placa.
- Visitas regulares al ortodoncista: Asegúrate de asistir a todas las citas programadas para ajustes y revisiones. Al igual que sucede con el resto de tratamientos, cada mes hay que acudir a consulta para realizar ajustes en los brackets.
¿Es la ortodoncia lingual adecuada para ti?
Cualquier persona puede optar por este tipo de ortodoncia, aunque lo normal es que el ortodoncista y el paciente lleguen a un acuerdo sobre qué tipo de ortodoncia es mejor en su caso. Si has estado pensando en corregir la alineación de tus dientes, pero te preocupa la estética de los brackets tradicionales, la ortodoncia lingual puede ser la opción ideal para ti. Este innovador tratamiento ortodóncico no solo es efectivo para corregir una amplia gama de problemas dentales, sino que también es prácticamente invisible, ya que los brackets se colocan en la parte interna de los dientes.
Considera tu estilo de vida y tus necesidades estéticas al decidir por la ortodoncia lingual. Investiga sobre el periodo de adaptación y las posibles molestias iniciales que puedas experimentar. Toma en cuenta que la higiene dental puede ser un poco más complicada con la ortodoncia lingual. Sé consciente de los cuidados y precauciones necesarios durante todo el tratamiento. Considera el tiempo y el precio del tratamiento de ortodoncia lingual. Infórmate sobre la duración del tratamiento específico que necesitas, ya que puede variar según la complejidad de tu caso.
Tener en cuenta estas recomendaciones y consejos te ayudará a tomar una decisión informada y prepararte adecuadamente para iniciar un tratamiento de ortodoncia lingual.
| Aspecto | Ortodoncia Lingual | Ortodoncia Tradicional |
|---|---|---|
| Visibilidad | Invisible | Visible |
| Estética | Alta | Baja |
| Precio | Mayor | Menor |
| Duración | Variable | Variable |
| Higiene | Más difícil | Más fácil |
| Adaptación | Requiere adaptación | Menos adaptación |
En resumen, la ortodoncia lingual es una excelente opción para aquellos que buscan una solución discreta y efectiva para corregir la alineación de sus dientes. Aunque presenta algunas desventajas, como el precio y el período de adaptación, sus ventajas estéticas y funcionales la convierten en una alternativa muy atractiva.