Ortodoncia Susana Sierra se destaca como un referente en el campo de la ortodoncia en Vizcaya. Ubicada en el barrio bilbaíno de Santutxu, a tan solo 1 minuto de la salida del metro de Zabalbide, esta clínica ofrece una amplia gama de tratamientos para mejorar la salud y estética dental.

¿Qué opinan los pacientes?
Con una puntuación media de 4,9 sobre 5, Ortodoncia Susana Sierra se destaca por la calidad de sus tratamientos y la satisfacción de sus pacientes. Los comentarios resaltan el "trato inmejorable por parte de todo el equipo", así como la "puntualidad" y las "soluciones prácticas y asequibles".
Es importante tener en cuenta que la falta de valoraciones no necesariamente indica un problema. A menudo, los clientes solo se sienten motivados a escribir opiniones cuando han tenido una experiencia negativa.
Servicios Ofrecidos
SUSANA SIERRA ORTODONCIA ofrece servicios odontológicos en Julián Bolívar y Elorduy, 2 1 IZD (distrito de INDAUTXU). Aquí podrás acceder a diversos tratamientos bucales para paliar dolencias o mejorar la salud y el aspecto general de las piezas dentales.
La clínica dental en Calatayud ofrece la tecnología más innovadora en el sector dental, siendo pioneros en la inversión tecnológica dental de la zona bilbilitana.
Entre los servicios que ofrece Ortodoncia Susana Sierra, se incluyen:
- ODONTOLOGIA GENERAL
- IMPLANTES
- ORTODONCIA NIÑOS Y ADULTOS
- PROTESIS DENTAL
- PADI
estamos en Begoña.
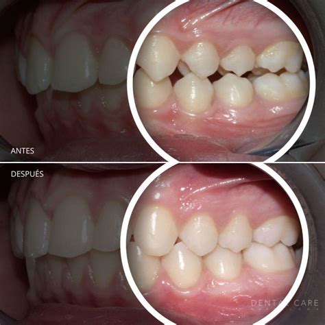
Beneficios de la ortodoncia invisible
¿Por qué elegir Ortodoncia Susana Sierra?
Si estás buscando una solución discreta y efectiva para corregir la alineación de tus dientes, no dudes en contactar a Ortodoncia Susana Sierra.
El negocio publica un horario operativo que incluye tramos como Mo-Th 08:00-11:00, 15:00-20:00.

Facilidades de Pago y Presupuestos
Consulte nuestros PRESUPUESTOS CERRADOS y nuestras FACILIDADES DE PAGO.
¿Cómo Contactar?
Para solicitar una primera consulta gratuita y sin compromiso, los interesados pueden contactar al centro a través del teléfono 944 33 17 15.
Si necesitas los servicios de dentistas profesionales, puedes ponerte en contacto en el teléfono 944331715 o a través de nuestro formulario de contacto.
Dirección: Julián Bolívar y Elorduy, 2 1 IZD (distrito de INDAUTXU), Bilbao.
tags: #ortodoncia #susana #sierra