¿Notas la boca inflamada y dolorida? ¿Tienes aftas, herpes o lesiones en la zona bucal? ¿Notas alteraciones en tu capacidad de comer, hablar y dormir? Se entiende por estomatitis la inflamación de la mucosa que aparece en cualquiera de las estructuras de la boca.
Puede afectar a la lengua, las encías, el paladar, la cara interna de las mejillas, los labios e, incluso, a la garganta. Genera dolor y molestias, que dificultan los actos de masticar, tragar, hablar e incluso bostezar.
Como sabes, la integridad de las mucosas orales facilita las funciones respiratoria y digestiva. La boca es un órgano expuesto a agentes externos, que a veces resultan nocivos.
Si estás sufriendo estomatitis, o alguien cercano la está padeciendo, es muy importante que acudas al médico o al dentista para que pueda hacerte las pruebas pertinentes, identificar la causa y recomendar un tratamiento, incluso con medicamentos específicos para la afección.
🌿👄 LLAGAS en NIÑOS: 10 REMEDIOS CASEROS para curar las Aftas en la boca de los niños
¿Qué es la Estomatitis?
Se trata de una afección aguda que habitualmente dura de 7 a 10 días. Cursa con inflamación, enrojecimiento y edema, o aumento de volumen. Además, hay vesículas o ampollas que al romperse originan úlceras bucales bastante dolorosas, únicas o múltiples. Si se manifiesta en toda la cavidad oral, adopta una forma más grave, aunque lo común es que sea leve y circunscrita a una zona.
En ciertas ocasiones, la causa de la estomatitis es desconocida, y en otros casos, es la expresión de algún tipo de deficiencia o de alguna infección. A nivel de la mucosa oral, existen numerosos microorganismos que, por diversas razones, pueden predisponer a la aparición de la estomatitis.
Además, dependiendo de la zona de aparición, puede estar asociada a trastornos secundarios como: gingivitis (encías), glositis (lengua) o queilitis (labios). A veces, con la aparición de la estomatitis, se puede destacar una disminución de las defensas naturalmente presentes en la cavidad bucal; este déficit favorece el establecimiento y la proliferación de bacterias, virus u hongos, que pueden ejercer su acción patógena.
En este conjunto de enfermedades, la fiebre es poco frecuente, excepto en la variedad herpética. En los casos graves, con recidivas frecuentes y lesiones generalizadas en todas las mucosas de la boca, puede haber adenopatías cervicales, halitosis y dificultad para tragar.
La estomatitis es una afección que generalmente revierte espontáneamente. El tratamiento se enfoca en aliviar los síntomas y tratar la causa subyacente.
Pero, antes de continuar hablando sobre la estomatitis, es importante saber que existen varios tipos, entre los que se encuentran la estomatitis aftosa, la estomatitis herpética y la estomatitis angular.
Tipos de estomatitis:
- Estomatitis aftosa
- Estomatitis herpética
- Estomatitis angular
- Estomatitis subprotésica

Estomatitis Aftosa
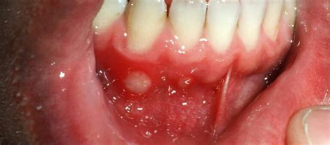
Estomatitis aftosa: es la forma de aparición más frecuente de la estomatitis. Es una inflamación de las mucosas orales que evoluciona por recidivas, más frecuente en los niños o las mujeres, y su característica distintiva es la presencia de aftas.
Este tipo de estomatitis se caracteriza principalmente por la presencia de aftas (conocidas también como úlceras aftosas), que son pequeñas lesiones. Estas pueden ser úlceras pálidas o amarillas con un anillo exterior rojo, que aparecen en el interior de la boca y pueden localizarse en el interior de los labios, las mejillas o la lengua.
Se trata de lesiones ulcerosas redondeadas, con un diámetro menor a 10 milímetros, fondo amarillento y bordes rojizos definidos. La aparición de las lesiones va precedida de escozor o sensación de hormigueo, malestares que duran algunas horas.
La causa de esta enfermedad no es aún conocida con exactitud. La causa de la estomatitis aftosa parece ser una alteración del sistema inmune, desencadenada por traumatismos en la cavidad oral, cambios hormonales durante la menstruación, alergias alimentarias o estrés.
Estomatitis Herpética
La estomatitis herpética, por otro lado, es otra forma de estomatitis que se caracteriza por la aparición de llagas rellenas de líquido que aparecen alrededor de los labios. La infección por el virus del herpes simple es la causa de la estomatitis herpética, más frecuente en niños menores de 6 años.
La manera en que se forman estos herpes labiales es la siguiente: en principio sentirás hormigueo y picazón en el labio, luego sensibilidad y ardor, para posteriormente notar como el herpes aparece. Pasados unos días, la llaga comienza a cicatrizar y finalmente desaparece.
La diferencia entre la estomatitis aftosa y la herpética es que la primera no es contagiosa, mientras que la segunda es muy contagiosa, y basta con un contacto tan simple como un beso. La primera se reconoce por el aspecto característico de las úlceras, incluso en la lengua, mientras que la estomatitis herpética (también llamada gingivoestomatitis) da fiebre y dolor en la boca.
Queilitis Angular (Estomatitis Angular o Boqueras)
La queilitis angular, estomatitis angular o boqueras suelen afectar a niños, niñas y personas de edad avanzada. En esa enfermedad, las comisuras bucales se irritan y se inflaman, sin afectar al interior de la cavidad, lo que comúnmente se llama boqueras.
Es recurrente que las lesiones que aparecen cuando se sufre de boqueras en la comisura de la boca estén recubiertas de unas pseudomembranas de color amarillo o blanco. Al abrir la boca es posible que se sienta cierto dolor y también la sensación de tirantez. El hecho de abrir la boca hace que se fisure, lo que es doloroso y limita los movimientos.
La presencia constante de saliva en los ángulos de la boca es una causa frecuente en los niños con el hábito de pasar la lengua por los labios. Si no se elimina la causa, el problema se hace crónico, mientras que la piel de la zona se engrosa, se ulcera o se cuartea.
Dependiendo de la causa, entonces habrá una variedad diferente de tratamientos para eliminar las boqueras que podrán prescribirte. Además, puedes seguir los siguientes consejos para acelerar la curación de las boqueras como por ejemplo, evitar el roce con las lesiones evitando rascarse y utilizar cosméticos en la zona afectada.
Estomatitis Subprotésica
Estomatitis subprotésica: lesiones que aparecen en el área de soporte de las prótesis, habitualmente paladar duro o reborde óseo mandibular.
Solicitar una limpieza profesional de las prótesis dentales. En España, el precio de este tratamiento puede variar. Sin embargo, una limpieza profesional realizada en el laboratorio dental suele costar alrededor de 80 euros.
Síntomas de la Estomatitis
La estomatitis puede provocar diferentes síntomas, todos ellos localizados en la cavidad oral: hinchazón, enrojecimiento, en ocasiones úlceras orales (aftas) y sangrado.
Tratamiento de la Estomatitis
Antes de iniciar el tratamiento, es importante recordar que es fundamental identificar la causa específica que ha provocado la aparición de la estomatitis. En cuanto al tratamiento, si el diagnóstico es de estomatitis aftosa recurrente, no se recomiendan ni los antibióticos ni los antivirales, incluso en los niños, ya que la causa no es directamente atribuible a un patógeno específico.
De manera simultánea, se recomienda el consumo de bebidas frescas como agua, batidos o zumo de manzana.
Otros consejos:
- Aloe vera: principio activo utilizado frecuentemente en los productos cosméticos por sus beneficios sobre piel y mucosas.
- Por lo tanto, es importante elegir una pasta de dientes adecuada para la boca y los dientes y elegir un cepillo de dientes con cerdas suaves o semiblandas.
Incluso los niños, por lo general después de los 10 años, pueden verse afectados por la estomatitis, en particular la estomatitis aftosa recurrente y la estomatitis herpética, debida al Herpes Simple, que se manifiestan como molestas ampollas dentro de la boca que pueden causar dolor cuando se rompen.
¿Cuándo debes consultar por la estomatitis?
Si para un niño se dificulta la ingesta, el riesgo de deshidratación es alto. Al elaborar la historia clínica, el odontólogo interroga al paciente acerca de algunos antecedentes relevantes.
Entre ellos figuran el consumo de medicamentos, las posibles alergias, el contacto con personas infectadas y el régimen de alimentación. También indaga acerca de los síntomas y su duración.
La revisión de la boca suele ser suficiente para localizar e identificar las lesiones. Sin embargo, en los casos de estomatitis herpética, conviene que te realicen algunas pruebas para confirmar la presencia del virus.

Únete a una comunidad dedicada a mejorar tu bienestar bucodental. Porque una boca sana es el inicio de un cuerpo saludable. Cuida hoy tu sonrisa.
tags: #otras #formas #de #estomatitis