Una buena sonrisa es fundamental para la apariencia personal y la confianza. Cada vez más personas recurren a soluciones de estética dental como las carillas dentales para mejorar su sonrisa. Sin embargo, es crucial conocer los diferentes modelos, sus ventajas e inconvenientes, y cómo mantener una correcta higiene bucodental.

Tipos de Carillas Dentales
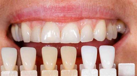
Existen dos grandes grupos de carillas: las de composite y las de porcelana.
Carillas de Composite
Las carillas de composite se realizan generalmente a mano por el odontólogo, utilizando resinas compuestas. Tienen la ventaja de que se colocan rápidamente y son bastante finas, aunque a menudo requieren tallado. Sin embargo, el material empleado es poco resistente y pueden aparecer fracturas a los pocos meses, incluso semanas, si no se ha hecho una buena elección del paciente. Para pacientes bruxistas, esta opción es totalmente desaconsejable. Además, se tiñen fácilmente con los pigmentos externos de alimentos, bebidas y tabaco, lo que las hace desaconsejables para fumadores y cafeteros.
Carillas de Porcelana
Las carillas de porcelana, por otro lado, se dividen en dos subgrupos, ambos caracterizados por su resistencia y durabilidad del color:
- Porcelana feldespática: Tradicionalmente empleadas, son muy estéticas, pero requieren tallar el diente para asegurar un grosor mínimo y evitar roturas durante la fabricación o el uso.
- Porcelana de disilicato de litio: Este material ha demostrado ofrecer las mejores cualidades de estética y resistencia. Permite realizar carillas del mismo tamaño de una lente de contacto ocular (1 o 2 micras), lo que significa que, con la maquinaria y el tratamiento adecuado, se pueden realizar carillas sin ningún tipo de tallado, sin dañar el diente.
Según la Dra. Irene Esteve, líder en el diseño de carillas dentales de porcelana, las carillas de porcelana de disilicato de litio son la opción recomendada para cualquier paciente que desee una sonrisa perfecta a largo plazo, sin problemas de fracturas o tinciones.
Carillas de Resina y Porcelana: Pros, Contras y Mi Experiencia.
Cuidado Dental con Carillas
El cuidado de los dientes con carillas es similar al cuidado dental regular. La clave es lavarse los dientes después de cada comida durante al menos dos minutos y con un cepillo medio. Además, se recomienda el uso de hilo dental una vez al día y un irrigador para asegurar una higiene perfecta.
Tendencias y Riesgos: Los 'Grillz'
En el mundo de la estética dental, también existen tendencias como los 'grillz', prótesis dentales de oro popularizadas por raperos y artistas como Rosalía, Madonna y Beyoncé. Estas prótesis, aunque llamativas, pueden ser peligrosas para la salud bucal.

El odontólogo Iván Malagón advierte que estas estructuras metálicas sobredimensionan los dientes, generando microtraumatismos e inflamación de las encías. Las coronas de oro, si no se ajustan adecuadamente, pueden originar enfermedades gingivales graves. A menudo, estos accesorios están prefabricados y no son colocados por un dentista, lo que puede causar muchos problemas de salud bucal.
El Caso iDental: Una Estafa con Consecuencias Devastadoras
Es crucial ser cauteloso al elegir tratamientos dentales y clínicas. El caso de iDental, una franquicia que prometía "asistencia dental social" con precios bajos y subvenciones, es un claro ejemplo de cómo una mala elección puede tener consecuencias devastadoras. Afectados como Emilia sufrieron tratamientos negligentes que resultaron en infecciones, dolor crónico y la pérdida de dientes. La franquicia, liderada por Luis Sans, fue acusada de estafa y malas praxis, dejando a miles de personas con problemas de salud bucal y deudas.
La Transformación Física de Palomo Spain y la Importancia de un Enfoque Saludable
El diseñador Palomo Spain ha experimentado una notable transformación física, destacando la importancia de un enfoque integral que combine nutrición, ejercicio y cuidado emocional. Cecylia Fit, experta en nutrición y entrenamiento físico, subraya que los cambios rápidos deben realizarse de manera inteligente y constante, combinando entrenamiento de fuerza, cardio y trabajo postural. Una pauta alimenticia controlada, orientada a limpiar, desinflamar y activar el metabolismo, es fundamental.
Sin embargo, es crucial evitar riesgos asociados con cambios rápidos sin guía, como la pérdida de masa muscular, fatiga, desajustes hormonales y problemas emocionales. Mantener el equilibrio y el cuidado es esencial para sostener los cambios a largo plazo.
| Tipo de Carilla | Ventajas | Desventajas | Recomendaciones |
|---|---|---|---|
| Composite | Colocación rápida, finas | Poca resistencia, se tiñen fácilmente, desaconsejable para bruxistas | No recomendadas para fumadores o bruxistas |
| Porcelana Feldespática | Muy estéticas | Requieren tallado del diente | Cuidado en la fabricación y uso para evitar roturas |
| Porcelana de Disilicato de Litio | Alta resistencia, no cambian de color, no requieren tallado | Requieren maquinaria y tratamiento adecuado | Opción recomendada para resultados a largo plazo |
En conclusión, la salud dental y la estética son aspectos importantes que requieren información y cuidado. Elegir el tratamiento adecuado y mantener una buena higiene bucal son claves para una sonrisa saludable y una mejor calidad de vida.