El virus del papiloma humano (VPH) es un virus muy popular por su relación con lesiones papilomatosas, el cáncer del cuello uterino y sus implicaciones en la salud ginecológica de la mujer. Hay cerca de 200 tipos de virus diferentes. El VPH es la causa más frecuente de las infecciones de trasmisión sexual. Infecta a células epiteliales de la piel, de las mucosas o a ambas; al menos se han aislado 16 genotipos en las lesiones orales (1, 2, 3, 4, 6, 7, 10, 11, 13, 16, 18, 31, 32, 33, 35, 37).
En los últimos años han aumentado de manera significativa las manifestaciones orales y faríngeas secundarias a la práctica de sexo oral. El cambio de los hábitos sexuales, sobre todo en los países occidentales, ha dado lugar a la aparición de patologías excepcionales hace unos años, por lo que es importante su conocimiento por parte de los profesionales de atención primaria (médicos, enfermeros, odontólogos) para que puedan realizar un correcto diagnóstico y tratamiento.
¿Has notado un grano o bultito en tu lengua y te preocupa que pueda ser un papiloma causado por el VPH (virus del papiloma humano)? Como odontóloga, me he encontrado con muchos pacientes angustiados por este tema. Cuando hablamos de un papiloma en la lengua, nos referimos a una verruga o lesión benigna causada por una infección del virus del papiloma humano en la boca. En palabras simples, es como un pequeño crecimiento anormal en la superficie de la lengua, similar a los que el VPH puede provocar en otras partes del cuerpo.
7 mitos y preguntas sobre el virus del papiloma humano
¿Qué es el Papiloma Escamoso?
El virus del papiloma humano -VPH- es un virus muy popular por su relación con lesiones papilomatosas, el cáncer del cuello uterino y sus implicaciones en la salud ginecológica de la mujer.
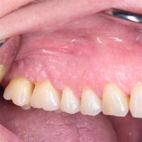
- Papiloma escamoso: es un pequeño tumor -menor a medio centímetro- en forma de coliflor o dactilar que puede aparece en cualquier zona de la cavidad oral.
- Condiloma acuminado: es un pequeño tumor similar en forma al anterior que aparece principalmente en el paladar y la lengua. La forma es de coliflor aplanada, pero con un mayor tamaño que el papiloma escamoso. En ocasiones pueden aparecer varios juntos.
- Hiperplasia focal epitelial o enfermedad de Heck: suele afectar a niños. Se producen unos crecimientos papilomatosos rosados en la cara interna del labio, la lengua o la mucosa interna de la mejilla.
Todas estas lesiones están relacionadas con subtipos víricos de bajo riesgo oncogénico, es decir, no tienen capacidad para producir cáncer. A pesar de ello, la mayoría de los cánceres de orofaringe -garganta- y algunos cánceres de boca se han relacionado con el virus del papiloma humano concretamente con subtipos de alto riesgo -16 y 18-.
El papiloma escamoso de la mucosa oral es la lesión papilar más frecuente y representa el 2.5% de todas las lesiones de la cavidad oral. Las lesiones clínicas del VPH se observan con mayor frecuencia en el labio superior, labio inferior, frenillo lingual, dorso de la lengua y comisuras. La morfología más comúnmente observada es la de coliflor, aunque también pueden apreciarse otras formas como verrugas vulgares, además de hiperqueratosis o incluso una superficie no queratinizada, con cambios de coloración superficial (normalmente violácea). De acuerdo con las referencias bibliográficas, la mayoría de las veces, se transmite por una práctica sexual orogenital.

Papiloma escamoso en la cavidad oral.
¿Cómo se Manifiesta un Papiloma en la Lengua?
Es importante entender que no todo bulto en la lengua es por VPH. Existen granitos transitorios que salen por irritaciones, quemaduras o aftas, y que desaparecen solos en pocos días. Sin embargo, las verrugas por VPH tienden a persistir y no se curan espontáneamente tan rápido. Si ese “grano” lleva más de dos semanas sin desaparecer, crece o tiene una forma irregular (como “coliflor”), podría tratarse de un papiloma oral por VPH.
En mi experiencia clínica, muchos papilomas en la lengua no duelen ni causan grandes molestias al principio. De hecho, es común que la persona lo descubra casi por casualidad al mirarse la boca o sentir una textura extraña al rozar la lengua con los dientes.
Características comunes de un papiloma en la lengua:
- Apariencia de verruga: Protuberancia pequeña con superficie irregular o con forma de coliflor. Puede ser blanca, rosada o del color de la mucosa circundante.
- Ubicación típica: Muchas lesiones por VPH aparecen en la parte trasera de la lengua o en los bordes laterales.
- Sensación de cuerpo extraño: A veces produce una sensación de áspero o de “algo raro” en la lengua.
- Generalmente indolora: Por lo general no causa dolor intenso.
Debo enfatizar que muchas de estas verrugas son asintomáticas más allá del bultito visible.
Causas y Transmisión del VPH Oral
La principal causa de un papiloma en la lengua es la infección por ciertos tipos de virus del papiloma humano que infectan la mucosa oral. ¿Cómo llega el virus hasta tu boca?
- Sexo oral sin protección: Tener relaciones sexuales orales con una persona infectada puede transmitir cepas de VPH que causan verrugas en la boca.
- Besar profundamente: Los llamados “besos con lengua” también pueden transmitir el virus, especialmente si alguno de los dos tiene una lesión activa.
- Autoinoculación: Si alguien tiene verrugas comunes en las manos u otra parte, y se las toca y luego se lleva la mano a la boca, podría auto-contagiarse el virus en la mucosa oral.
- Otros factores: Compartir objetos que han estado en contacto con la saliva (como cepillos de dientes) tiene un riesgo mucho menor, pero teóricamente podría contribuir.
Una vez el VPH entra en contacto con la mucosa de la boca, puede “instalarse” en las células. No siempre provoca lesiones de inmediato; de hecho, la mayoría de personas expuestas al VPH oral logran eliminarlo de su organismo en uno o dos años sin desarrollar síntomas. Sin embargo, en otros casos el virus persiste y causa la aparición de estas verrugas. Además, tener un sistema inmunitario débil puede hacerte más propenso a que una exposición al virus resulte en infección activa.

Vías de transmisión del VPH.
¿Es Peligroso un Papiloma en la Lengua?
Cuando le diagnostico a un paciente una verruga por VPH en la lengua, una de las primeras preguntas que suele hacerme es: “Doctora, ¿esto es canceroso?”. Entiendo completamente la preocupación. La respuesta breve es: en la mayoría de casos, no es cáncer ni va a convertirse en cáncer.
Existen cepas de VPH de alto riesgo (por ejemplo, la tipo 16) que sí se han asociado a cáncer orofaríngeo (cáncer en la garganta, base de la lengua y amígdalas). Este cáncer relacionado con VPH tiende a aparecer en la parte posterior de la boca y la garganta, no como una verruga externa sino como lesiones internas más difíciles de detectar.
Cualquier lesión anormal en la boca que no cicatriza en 2 semanas debe ser evaluada por un profesional. Si notas un bulto, llaga o zona de color rojo/blanco en tu lengua que no mejora, acude al odontólogo o médico. En algunos casos poco frecuentes, lo que parece un “papiloma” podría ser otra lesión más seria.
Las verrugas por VPH en la lengua son contagiosas mientras estén activas. Esto no es “peligroso” en el sentido de mortalidad, pero sí significa que puedes transmitir el virus a otras personas mediante besos o sexo oral. Asimismo, podrías auto-inocularte a otras partes (por ejemplo, desde la lengua llevarlo a la garganta).
En resumen, un papiloma oral en sí mismo no suele poner en peligro tu vida ni tu salud general de forma inmediata.
Tratamiento del Papiloma Escamoso
La buena noticia que siempre transmito a mis pacientes es que tratar un papiloma en la lengua es posible y generalmente sencillo. Las opciones de tratamiento buscan eliminar la verruga y, con ella, la mayor parte de los virus que contiene, para reducir la probabilidad de contagio y de recurrencia.
- Extirpación quirúrgica: Es el método más común. Consiste en anestesiar localmente la zona y cortar o escindir la verruga por completo. Se puede hacer con bisturí tradicional, con láser o con herramientas de electrocauterio (quemar el tejido). Es un procedimiento rápido; en consultorio se remueve la lesión y luego se coloca si acaso un par de puntos pequeños.
- Crioterapia: Algunos casos se tratan congelando la verruga con nitrógeno líquido. Este procedimiento, llamado crioterapia, destruye el tejido infectado congelándolo. Se aplica a alta presión mediante una criosonda (un aplicador similar a una aguja). Esta técnica crea un alto frío en la zona a tratar. La crioterapia tópica será la que se aplique directamente en la piel o tejido tópico.
- Electrocirugía: Es similar a la extirpación, pero usando un aparato que emite corriente eléctrica para cortar y coagular al mismo tiempo. En este caso, esta opción consiste en utilizar una fuerte corriente eléctrica para cortar la verruga y eliminar células o tejidos anormales. En esta técnica se coloca sobre el tejido o muy cercano al mismo un electrodo. Además de en la eliminación de verrugas, es una técnica que se utiliza en la eliminación de ciertas células que puedan ser cancerosas, como las células basales del cáncer de piel, u otras apariciones en la piel como puedan ser los lunares o problemas como la queratosis actínica -son parches escamosos y gruesos que se desarrollan en nuestra piel tras muchos años expuestos a una alta exposición al sol.
- Medicamentos tópicos: A diferencia de las verrugas en la piel, en la boca no solemos recetar cremas porque muchas resultan irritantes o poco efectivas en mucosa oral. Algunos remedios caseros como aplicar ajo o aceite de árbol de té se han mencionado, pero personalmente no los recomiendo dentro de la boca, ya que pueden causar ardor o daño en el tejido sano y su eficacia no está clara.
Después de eliminar la lesión, es posible que tu odontólogo envíe el tejido retirado a analizar (biopsia) para confirmar que era un papiloma benigno. En la mayoría de casos, no hay complicaciones y con eso el problema queda resuelto. Sin embargo, debes saber que el virus puede permanecer de forma latente en tu cuerpo. Esto significa que en el futuro podría aparecer otra verruga en la misma zona u otra parte de la boca si el virus se reactiva.
Ejemplo de extirpación quirúrgica de un papiloma.
Prevención del VPH Oral
En gran medida, sí. La prevención incluye vacunarse contra el VPH en la adolescencia (antes de la exposición al virus), usar protección como preservativos o barreras bucales en las relaciones sexuales orales, limitar las prácticas de riesgo y mantener una buena higiene oral. Estas medidas reducen significativamente las posibilidades de contraer o reactivar el virus del papiloma humano en la boca, aunque ningún método es infalible al 100%.
- Vacunación contra el VPH: La vacuna del VPH se recomienda en chicos y chicas jóvenes para prevenir principalmente el cáncer de cuello uterino y otras enfermedades causadas por este virus. Pero también protege contra las cepas que causan verrugas genitales y posiblemente orales. Si estás en edad de vacunarte (lo ideal es antes de iniciar vida sexual, pero hasta los 26 años suele indicarse), consulta a tu médico sobre esta opción.
- Sexo más seguro: Usar condón o barreras de látex durante el sexo oral puede disminuir la probabilidad de transmisión del VPH oral. No es una protección absoluta (pues el virus puede estar en zonas no cubiertas), pero sí reduce significativamente el riesgo.
- No fumar ni abusar del alcohol: Estos hábitos no transmiten el VPH, pero dañan la mucosa de la boca y debilitan las defensas locales. Las personas fumadoras o que beben en exceso tienen más probabilidades de tener infecciones orales persistentes y complicaciones.
- Higiene bucal y controles regulares: Mantener tu boca limpia es clave para tu salud general. Cepíllate los dientes (y la lengua) a diario, usa enjuague bucal si tu dentista lo recomienda y acude a limpiezas dentales profesionales al menos una vez al año. Un buen control dental significa que si surge una lesión tipo papiloma, se detectará temprano.
- Comunicación con tu pareja: Si tú o tu pareja tienen verrugas por VPH, hablad del tema abiertamente. Eviten el contacto oral-genital o besos profundos mientras la lesión esté presente y en tratamiento, para minimizar el riesgo de contagio mutuo.
Como dentista, te animo a que no te avergüence hablar de estos temas con tu profesional de salud. El VPH es muy común (se estima que hasta 8 de cada 10 personas estarán expuestas al virus en algún momento de su vida) y no es sinónimo de mala higiene ni de promiscuidad; simplemente es parte de la realidad de las infecciones humanas.
Preguntas Frecuentes sobre el Papiloma Escamoso
Si tienes un papiloma o verruga en la lengua, no entres en pánico. En la gran mayoría de los casos, se trata de lesiones benignas que tienen solución. He tratado a pacientes que llegaron muy asustados pensando lo peor, y se fueron aliviados al saber que este problema tiene arreglo sencillo.
Recuerda que cuidar tu salud bucal es parte de cuidar tu salud integral. Ante cualquier bulto extraño en la boca, más vale consultar y quedarse tranquilo(a). Si el bultito lleva más de dos semanas, tiene aspecto de verruga (superficie irregular, color blanco o rosado) y no duele como una llaga, es posible que esté causado por VPH.
¿Es contagioso el papiloma en la lengua?
Sí. Las verrugas orales contienen virus activo que puede transmitirse a otras personas mediante besos profundos o sexo oral sin protección. Por eso, si tienes un papiloma en la lengua, evita el contacto íntimo boca a boca hasta que haya sido tratado. Tu odontólogo te indicará cuándo es seguro retomar estas actividades.
¿El papiloma en la lengua puede convertirse en cáncer?
Por lo general no. Las cepas de VPH que causan verrugas (papilomas) suelen ser de bajo riesgo y no derivan en cáncer. Sin embargo, la presencia de cualquier lesión por VPH indica que el virus está ahí, y otras cepas de alto riesgo podrían causar problemas en el futuro. Es importante hacer revisiones periódicas: si apareciera alguna lesión sospechosa, el dentista la evaluará para descartar cambios precancerosos.
¿Cómo se elimina un papiloma en la lengua?
El tratamiento más común es la eliminación completa de la verruga por un profesional. Puede hacerse con cirugía menor (bisturí o láser) o procedimientos como crioterapia (congelarla) o electrocauterio. Son intervenciones sencillas, generalmente con anestesia local, y de rápida recuperación. Tras remover el papiloma, se analiza si es necesario y se dan cuidados básicos (mantener la zona limpia, controlar el dolor si lo hubiera).
¿Cómo se previene el VPH oral?
En gran medida, sí. La prevención incluye vacunarse contra el VPH en la adolescencia (antes de la exposición al virus), usar protección como preservativos o barreras bucales en las relaciones sexuales orales, limitar las prácticas de riesgo y mantener una buena higiene oral. Estas medidas reducen significativamente las posibilidades de contraer o reactivar el virus del papiloma humano en la boca, aunque ningún método es infalible al 100%.