El bruxismo dental es el rechinar de los dientes de forma involuntaria, lo que puede llegar a acarrear graves daños para la dentadura. En este artículo, te contamos las causas, los síntomas y los tratamientos existentes contra el bruxismo dental.

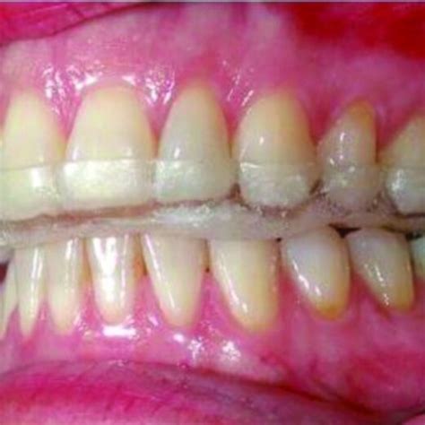
El bruxismo dental es lo que conocemos como el apretar y rechinar de los dientes. ¿Qué puede ocurrir? Pues graves daños para nuestra dentadura, como: desgaste de los dientes, dolor en las articulaciones de la boca, entre muchos otros.
Causas del Bruxismo
El origen de esta patología se encuentra, generalmente, en el estrés. Cuando una persona padece este problema, la mejor solución siempre pasará por identificar la causa del estrés e intentar aliviarlo. Aunque este hábito es generalmente nocturno, también existen casos de bruxismo diurno.
Tratamientos para el Bruxismo
El uso de tratamientos contra el bruxismo siempre acarreará un riesgo de lesión en la dentadura. No obstante, cada tratamiento se adaptará según la gravedad de cada caso. Existe un tratamiento odontológico que sí tiene efecto a corto plazo: llevar una férula de descarga o Michigan.
Férula Oclusal
Estas férulas son protecciones dentales hechas de plástico o resinas y se usan en los casos más graves. Estas férulas se usan durante la noche, debido a que es el momento donde es más complicado controlar los movimientos de rechinamiento. Es importante decir que estas protecciones combaten los síntomas, pero no las causas.

Se trata de un dispositivo que impide que los dientes de arriba y de abajo contacten. De esta manera, evitaremos que se produzcan las consecuencias negativas del bruxismo. Y es que, además de los efectos visibles, como el característico desgaste de las piezas dentales, las personas bruxistas sufren dolor de mandíbula, cabeza, oídos o cuello.
Una férula de descarga es un dispositivo transparente que se coloca en la boca (generalmente en la arcada superior). Tiene un grosor de aproximadamente dos milímetros y debe fabricarse de manera personalizada para cada paciente. Además, tal como sucede con los instrumentos bucales, su uso debe ser personal e intransferible. Debe ser el dentista quien determine si el uso de la férula de descarga está indicado en cada caso.
La férula ejerce su función en las horas de sueño pues generalmente se usa de noche. Durante el tiempo que esté puesta, consigue relajar los músculos y evitar que se tensionen. Es esta acción involuntaria la que provoca el rechinamiento de lo dientes. Es decir, la férula hace que los huesos maxilares (superior e inferior) estén en la posición correcta y no ejerzan más fuerza de la conveniente.
La persona que padezca de bruxismo podrá disfrutar de los beneficios de la férula siempre que su uso sea continuado. Gracias al empleo de estos protectores bucales, el paciente observará una serie de beneficios tanto en su salud bucodental como en su estado de salud general. En primer lugar, debemos tener en cuenta que el uso de protectores bucales para deportistas no está indicado en personas que padecen bruxismo. Al estar realizados en un material blando, nos invitan a ejercer una mayor presión en nuestros dientes.
Existe una amplia variedad de férulas ofertadas en la red. Sin embargo, los odontólogos recomiendan la confección de una a medida, fabricada en un material acrílico. A la hora de elegir la más adecuada en tu caso, el odontólogo te ofrecerá dos tipos diferentes de protectores: los rígidos y los semirrígidos. La férula de descarga rígida no es nada flexible, por lo que en algunas ocasiones resulta complicado adaptarse a la misma. Por el contrario, la semirrígida, si bien tiene un exterior rígido, es un poco más flexible en su interior.
Ya hemos comentado que como norma general la férula de descarga se lleva en las horas nocturnas. Sin embargo, es posible que el odontólogo paute otras indicaciones o tiempos de uso. Una vez que sabemos cuándo debemos usarla, es muy importante seguir las indicaciones del dentista.
Tal como sucede con otros tratamientos -como la ortodoncia con brackets-, la persona debe pasar un periodo de adaptación a la férula bucal. Los primeros días puede resultar incómoda y provocar sensación de opresión en los dientes. La colocación de una férula de descarga puede suponer cierto periodo de adaptación. Es habitual que los primeros días experimentes una mayor salivación, así como dificultades a la hora de pronunciar. No te preocupes: esto es algo perfectamente normal, fruto de la presencia de un cuerpo extraño en tu boca.
Una vez se han tomado impresiones de tu boca y el protésico dental ha confeccionado una férula a medida, el odontólogo te enseñará a colocártela en boca. Lo habitual es que debas acudir a una primera revisión transcurridos 10 días y posteriormente a los 6 meses y al año de llevarla puesta.
Consejos Adicionales
- Ejercicios de relajación: Practicar técnicas de relajación para reducir el estrés y la tensión muscular.
- Aplicar paños calientes o hielo: Aplicar paños calientes o hielo en las zonas de la mandíbula donde se produzcan los dolores.
- Evitar alimentos duros: Evitar comer alimentos duros.
Higiene y Cuidado de la Férula
En primer lugar, al hacer uso de estos protectores debes hacer hincapié en tus rutinas de higiene bucodental. Por ello, es importante que antes de ponértela en boca te cepilles los dientes y elimines de manera eficaz todos los restos de comida y bacterias presentes en tu boca. Antes de colocártela, debes lavarla y enjuagarla con agua. Una vez la retires, debes limpiarla de nuevo. Para ello, te aconsejamos que hagas uso de un cepillo, agua y jabón neutro.
Todo sobre BRUXISMO - Síntomas, tratamientos y consecuencias de APRETAR los dientes | Dentalk! ©
Hoy en día existen muchas posibilidades al alcance de las personas que necesitan esta férula dental para dormir. Sin embargo, nuestra recomendación es que acudas a una clínica dental de confianza si crees que padeces bruxismo.
Lo que sí que existen son una serie de remedios caseros para evitar el bruxismo que, combinados con el uso de la férula, repercuten positivamente en la salud de la persona.