Mucha gente habla sobre la famosa pasta de dientes morada para la corrección del color dental, buscando tener los dientes de color blanco. En este artículo, exploramos a fondo la pasta de dientes morada, su efectividad y las opiniones de expertos y usuarios.

¿Qué es la Pasta de Dientes Morada?
La pasta de dientes morada es una pasta dental blanqueadora de color morado que ayuda a combatir el aspecto apagado y amarillento de las piezas dentales. Este color se debe a que la pasta aplica el mismo principio que se utiliza para matizar el cabello, depositando pigmentos de color púrpura en los dientes para contrarrestar los tonos amarillos.
A pesar de que otros productos se pueden utilizar únicamente en piezas y esmaltes naturales, esta pasta se puede usar en todas las piezas dentales, incluyendo casillas, coronas y dentaduras postizas.

¿Cómo Funciona?
Su función es conseguir la ilusión óptica de un juego cromático: como el violeta es el color complementario del amarillo, el efecto suma es el blanco. Se creyó que también era aplicable a los dientes, y se fabricó una pasta morada que pretendía su blanqueamiento. En su composición sólo llama la atención su color morado. la pasta de dientes posee un llamativo color violeta, se queda en la superficie del diente y proporciona un efecto de falso blanco. Es, en realidad, una ilusión óptica. Puedes utilizarlo para hacerte la foto.
La ciencia detrás del blanqueamiento dental morado se basa en la teoría del color. El morado se encuentra en el extremo opuesto del amarillo en el círculo cromático; ambos colores, morado y amarillo, son complementarios y pueden equilibrar los pigmentos amarillos para que los dientes luzcan más blancos.
Opiniones de Usuarios
A pesar de ser esta pasta de dientes un producto muy demandado por el mercado para poner obtener unos dientes con un aspecto blanqueante, recomendamos someterse a un tratamiento de blanqueamiento, ya que un gran número de usuarios desaprueban esta pasta con opiniones como “este producto no funciona”, “no he obtenido los resultados que buscaba”, “no recomiendo esta pasta de dientes”.
Es el caso de Dial a Smile Professional, uno de los blanqueadores dentales más populares de Instagram. El objetivo: unos dientes más blancos y bonitos para una buena foto que atraiga más likes. Así de claro. Las usuarias muestran su emoción al llegar a sus manos y embelesan a otras miles que lo compran sin pensar. Claro que, no está de más investigar un poco más...
Cuando lo buscamos en Amazon, una de las plataformas online que lo vende (versión americana), nos dimos cuenta que del 100% de las opiniones, tan sólo un 21% parecía estar tan satisfecha como esas usuarias pero casi un 50% mostraban su descontento otorgando una solitaria estrella.
Respecto a Dial a Smile, los usuarios han mostrado su desaprobación con mensajes como "no funciona", "no vi los resultados que prometía", "no lo recomiendo. No hace nada. Un gasto de dinero", "horrible"… Lo mismo sucede con Brighter White. Otro de los blanqueadores dentales que más gusta a las usuarias en la red.
Un 45% de las opiniones de Amazon eran positivas pero un 22% dejaron claro que no era lo que esperaba. De hecho, había usuarias que aseguraban sentir dolor y sensibilidad dental tras su aplicación.
¿Qué Opinan los Expertos?
El blanqueamiento dental no es un tratamiento rápido y sencillo. El Consejo General de Dentistas de España asegura que los productos blanqueadores con más de 0,1% de peróxido de hidrógeno han de estar únicamente aplicados bajo el control de un dentista.
Miguel López Andrade, vocal del comité ejecutivo del Consejo General de Dentistas de España aseguró a Infosalus que "el blanqueamiento dental no es un tratamiento sencillo y la legislación europea y nacional exige que el peróxido de hidrógeno, del que derivan los productos blanqueadores, por encima del 0,1% de concentración sea sólo aplicado con la supervisión y control de un dentista, ya que no toda persona puede pasar por una actuación dental de este tipo".
Lo materiales de blanqueamiento pueden quemar el tejido de la encía e incluso derivar en la muerte del diente si alcanza la parte interior. Además, el portavoz del Colegio de Dentistas señala que no todas las personas responden igual a estos tratamientos, dosis, sesiones… por lo que los efectos secundarios por no haber tomado medidas, estarán prácticamente asegurados.
La legislación además, es clara sobre el uso del peróxido de hidrógeno: en proporciones de entre el 0,1 y el 1 %, estos productos no se deben ingerir por la posibilidad de provocar daños en la faringe, mucho menos debe utilizarse en niños y no debe usarse más de un mes seguido. En una proporción del 1 al 6 % sólo puede ser aplicado por especialistas y añade que no debería emplearse en consumidores habituales de alcohol o tabaco, mujeres embarazadas o tras un tratamiento como empastes o lesiones gingivales.

Riesgos y Precauciones
Se recomienda utilizar los productos blanqueadores de dientes morados con moderación, especialmente si tienes dientes o encías sensibles. Si tienes dientes sensibles, es importante que tengas cuidado. Los productos para blanquear los dientes de color morado suelen ser seguros, pero pueden provocar molestias o irritación leves en personas con sensibilidad dental.
Si está embarazada o amamantando, es fundamental que consulte con su médico antes de usar cualquier producto para blanquear los dientes.
Alternativas y Recomendaciones
En el caso de querer mejorar el tono del esmalte, lo mejor es acudir a manos de profesionales ya que estos productos trabajan de forma agresiva con los tejidos que rodean el diente, e incluso con este. “Los activos usados en el blanqueamiento dental suelen ser muy potentes y nunca deberían realizarse sin la supervisión de un especialista" señala Belén Acero, farmacéutica titular de Farmacia Avenida América y especialista en dermofarmacia y nutrición.
Acero nos recuerda la importancia de "hacer compras de productos validados por la normativa vigente aquí, huyendo de caer en la tentación de comprar productos por sus campañas, si no nos los recomienda un especialista, pues o bien no hacen efecto alguno, o pueden tener agentes abrasivos que nos perjudiquen o produzcan una sensibilidad dental espantosa".
La mejor solución: la prevención. "Lo mejor para evitar una coloración es evitar o minimizar el consumo de alimentos y bebidas que los tiñan, tales como tés, cafés, vino tinto y tabaco" nos explica Belén Acero. A lo que añade: "Es muy importante huir también de métodos alternativos que se pueden encontrar especialmente en la red porque pueden tener consecuencias muy peligrosas no solo pata la estética sino para la salud. Existen en las farmacias opciones más seguras como pastas dentales blanqueadoras con peróxido de carbamida, cuyo efecto es más lento pero más seguro. Lo mejor: consultar a un especialista dentista” concluye.
Así que, en el caso de querer lanzarte de lleno a la piscina con estos productos, como advierten los expertos, asegúrate de que en el etiquetado se especifica la concentración de este producto blanqueador y que esté vinculado a la legislación vigente.
PURPLE V34™ - Blanqueador Dental
Blanqueamiento Dental Profesional
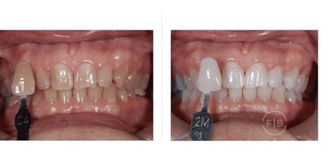
A pesar de que muchas personas buscan la mejor pasta de dientes blanqueadora de dientes, el método más efectivo es un blanqueamiento realizado por un dentista. Si quieres mejorar la estética de tu sonrisa y lucir unos dientes blancos, nuestra recomendación es que empieces un tratamiento profesional en una clínica dental.
Se trata del blanqueamiento dental combinado, que se divide en una parte ambulatoria -realizada en casa- y una única sesión en clínica. Tras ponerte unas férulas con gel blanqueador durante dos semanas, tendrás una sesión de lámpara de luz fría para potenciar el efecto del producto. Para asegurar los resultados, tendrás que usar las férulas otras dos semanas más. Esta combinación es la que asegura unos efectos permanentes en muy poco tiempo, solo un mes.

La concentración de gel blanqueador aplicada en las férulas es de entre el 10-16% de peróxido. El blanqueamiento dental combinado no tiene efectos secundarios permanentes, pero algunas personas experimentan un leve aumento de su sensibilidad dental.
Si es tu caso, tu higienista dental podrá recomendarte el uso de pastas desensibilizantes que ayuden a mitigar esta molesta sensación. Aun así, es una sensibilidad totalmente pasajera que no te impedirá en absoluto hacer vida normal.
Conclusión
Si bien los productos para blanquear los dientes de color púrpura funcionan para muchas personas, ya que aclaran y neutralizan temporalmente los tonos amarillentos presentes en los dientes de muchos usuarios, es importante utilizarlos con moderación y estar al tanto de los posibles riesgos. La consulta con un dentista es crucial para determinar el mejor enfoque para el blanqueamiento dental y asegurar la salud bucal a largo plazo.
tags: #pasta #morada #blanqueadora #de #dientes