¿Estás considerando implantes dentales, pero te preocupa el riesgo de periimplantitis? Es crucial entender esta condición para mantener la salud de tus implantes a largo plazo. A continuación, te explicamos las causas, los síntomas y los tratamientos disponibles para la periimplantitis.
La periimplantitis, causas y tratamiento - 5ª Edic. D.E.C.I.R.
¿Qué es la Periimplantitis?
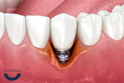
La periimplantitis es un proceso inflamatorio que afecta los tejidos alrededor de un implante dental. Este proceso inflamatorio no solo daña los tejidos blandos, sino que también afecta al hueso que permite la sujeción del implante dental. Se trata de una enfermedad periimplantaria crónica de origen inflamatorio que afecta los tejidos (encía y hueso) que rodean un implante dental.
Hay tres tipos de inflamación que pueden afectar a las encías, pero que son enfermedades diferentes:
- Periimplantitis: Pérdida grave del hueso que pone en peligro la fijación del implante.
- Mucositis Periimplantaria: Inflamación de la mucosa y los tejidos blandos que no afecta al hueso; es una etapa inicial y reversible.
- Gingivitis: Inflamación de las encías por acumulación de placa bacteriana, no asociada a un implante. Causa enrojecimiento, molestias y sangrado.
Las estadísticas muestran que aproximadamente el 20% de los pacientes con implantes pueden padecer inflamación alrededor del implante. Es decir, cerca del 20% de las personas con implantes sufren esta complicación, lo que la convierte en un problema significativo en odontología.
Es importante diferenciarla de la mucositis periimplantaria. La mucositis periimplantaria es la etapa inicial, donde existe inflamación de los tejidos blandos (encía) alrededor del implante sin pérdida ósea; es una afección reversible si se trata a tiempo. La periimplantitis, en cambio, es un estadio más grave en el que la inflamación ha progresado y ya hay destrucción del hueso que sostiene al implante.

Causas de la Periimplantitis
La causa directa de la periimplantitis es, en la mayoría de los casos, la acumulación de placa bacteriana y sarro en la base del implante dental debido a una higiene oral insuficiente. Estas bacterias desencadenan la inflamación de las encías y, con el tiempo, la infección va destruyendo el tejido óseo alrededor del implante.
Sin embargo, además de la mala higiene, existen múltiples factores de riesgo que pueden predisponer o acelerar el desarrollo de la periimplantitis. Según la literatura científica y las organizaciones especializadas, los principales factores de riesgo para periimplantitis son muy similares a los de la enfermedad periodontal en dientes naturales.
Factores de Riesgo Principales
- Higiene Oral Deficiente: La falta de limpieza adecuada permite la acumulación de placa bacteriana.
- Antecedentes de Enfermedad Periodontal: Mayor riesgo si has tenido periodontitis o gingivitis severa.
- Tabaquismo: Reduce el flujo sanguíneo en las encías y dificulta la cicatrización.
- Diabetes y Enfermedades Sistémicas: Aumentan la susceptibilidad a infecciones y dificultan la regeneración de tejidos.
- Implante Mal Posicionado o Sobrecarga Biomecánica: Puede crear zonas de difícil limpieza y tensión inadecuada.
- Restauraciones Protésicas Defectuosas o Exceso de Cemento: Retienen placa bacteriana y provocan inflamación crónica.
- Falta de Mantenimientos Periódicos: Descuidar las revisiones regulares permite que la mucositis evolucione a periimplantitis.
- Predisposición Genética o Factores Individuales: Influyen en la respuesta inflamatoria.
La buena noticia es que muchos de estos factores son modificables: con hábitos de higiene rigurosos, abandono del tabaco y controles periódicos, podemos reducir drásticamente el riesgo.
Síntomas de la Periimplantitis
La periimplantitis puede manifestarse a través de varios síntomas o señales de alarma en la zona del implante. Reconocer estos signos tempranamente es vital para actuar a tiempo. Al igual que ocurre con la enfermedad de las encías, los síntomas iniciales pueden ser sutiles, por lo que debes prestar atención a cualquier cambio alrededor de tu implante.
Algunos síntomas comunes incluyen:
- Encías enrojecidas e inflamadas
- Sangrado gingival al cepillarte o usar hilo dental
- Dolor o molestias en el implante
- Supuración (pus) alrededor del implante
- Recesión de la encía o exposición del implante
- Mal sabor de boca u olor desagradable (halitosis)
- Movilidad del implante (en etapas avanzadas)
Es importante destacar que en las fases iniciales la periimplantitis (o la mucositis) puede no causar dolor intenso, por lo que no debemos esperar al dolor para actuar. Muchos pacientes piensan que mientras no duela, todo va bien, pero con los implantes el sangrado o la inflamación sin dolor son ya motivos suficientes para consultar.
Diagnóstico
El diagnóstico de la periimplantitis lo realiza el odontólogo o periodoncista mediante una combinación de evaluación clínica en la boca y pruebas de imagen (radiografías principalmente). Si sospechas que puedes tener periimplantitis por los síntomas descritos, es fundamental acudir a la clínica para una revisión exhaustiva.
El proceso de diagnóstico incluye:
- Evaluación Clínica de la Encía: Observación de enrojecimiento, inflamación o recesión, y sangrado al sondear.
- Medición de la Profundidad del Surco Periimplantario: Uso de una sonda periodontal para medir la profundidad alrededor del implante.
- Radiografías Dentales: Búsqueda de evidencias de pérdida ósea alrededor del implante.
- Evaluación de la Movilidad del Implante: Prueba para detectar cualquier grado de movilidad.
- Otras Pruebas Complementarias: Pruebas microbiológicas o de inflamación en algunos casos.
Un diagnóstico precoz de periimplantitis (cuando apenas ha comenzado la pérdida ósea) nos permite abordar la situación de forma mucho más efectiva y aumentar las probabilidades de salvar el implante. Por eso, si tienes implantes dentales, deberías hacerte revisar al menos dos veces al año aunque no notes nada anormal.
Tratamiento de la Periimplantitis
El tratamiento de la periimplantitis varía según la gravedad de la condición y puede incluir:
Tratamiento Conservador No Quirúrgico
En una fase inicial, puede ser suficiente con la limpieza manual de la placa bacteriana y el cálculo que se ha acumulado en el implante y debajo de la encía (desbridamiento subgingival). El primer consejo que te dará el dentista es cuidar al máximo tu higiene dental. Seguir a diario los pasos de cepillado, hilo dental y enjuague para evitar la aparición de sarro.
Estos fármacos ayudan a eliminar la infección bacteriana y a evitar que progrese hacia estructuras más profundas. Además, el tratamiento suele complementarse con una limpieza profesional de la zona y el refuerzo de las pautas de higiene en casa.
Tratamiento Quirúrgico
Si la infección ya ha afectado a los tejidos que rodean el implante, como en los casos de periimplantitis avanzada, puede ser necesario realizar una limpieza quirúrgica. En función de la gravedad del caso, el especialista puede combinar esta limpieza con técnicas regenerativas para recuperar parte del hueso perdido.
Retiro del Implante
Cuando el implante ha perdido completamente su estabilidad o no responde al tratamiento conservador, la mejor opción puede ser retirarlo.
Regeneración Ósea Guiada
Cuando la pérdida de hueso es significativa, ya sea por una infección o por la extracción del implante fallido, puede ser necesario realizar una regeneración ósea guiada antes de volver a colocar un implante. El proceso de regeneración puede durar varios meses, pero ofrece una base sólida y estable para futuros implantes.
Prótesis Dental Removible
En aquellos casos donde no es posible volver a colocar un implante, ya sea por falta de hueso, motivos médicos o decisión del paciente, una alternativa funcional puede ser una prótesis dental removible. Aunque no ofrecen la misma sensación de estabilidad que un implante fijo, las prótesis removibles modernas son muy cómodas, estéticas y fáciles de mantener.

Consecuencias de No Tratar la Periimplantitis
La periimplantitis no es un problema que deba ignorarse. Si no se trata a tiempo, puede tener consecuencias serias tanto para el implante afectado como para la salud bucal en general.
- Pérdida Progresiva del Hueso de Soporte: La infección crónica destruye cada vez más hueso alrededor del implante.
- Aflojamiento y Fracaso del Implante: Conforme se pierde hueso, el implante pierde estabilidad y puede caerse.
- Propagación de la Infección a Otros Tejidos: Las bacterias pueden diseminarse a tejidos cercanos, afectando encías de dientes adyacentes o incluso provocando periimplantitis en otros implantes si existen.
Prevención de la Periimplantitis
Prevenir el fracaso de un implante dental se basa, en gran medida, en identificar y controlar los factores que más influyen en su estabilidad y longevidad.
Las medidas preventivas incluyen:
- Diagnóstico y Planificación Personalizada Previa: Un estudio previo detallado es esencial para valorar la calidad ósea y la salud general del paciente.
- Evitar el Tabaquismo Durante y Después del Tratamiento: El tabaco afecta negativamente la cicatrización de los tejidos.
- Seguir las Indicaciones de Higiene Oral Postoperatoria: Una higiene bucal deficiente puede favorecer la aparición de infecciones.
- Revisiones Periódicas con tu Dentista Especialista: Acudir a controles regulares permite detectar cualquier signo de alerta a tiempo.
Siguiendo estos consejos, puedes minimizar el riesgo de desarrollar periimplantitis y asegurar el éxito a largo plazo de tus implantes dentales.
| Factor | Descripción |
|---|---|
| Causas Principales | Acumulación de placa bacteriana, higiene oral deficiente |
| Factores de Riesgo | Tabaquismo, antecedentes de periodontitis, diabetes |
| Síntomas | Encías enrojecidas, sangrado, dolor, supuración |
| Diagnóstico | Evaluación clínica, radiografías, sondeo periimplantario |
| Tratamientos | Limpieza, antibióticos, cirugía, regeneración ósea |
| Prevención | Higiene oral, evitar tabaco, revisiones dentales |