¿Te han hecho una endodoncia y notas que algo no va bien? Este tratamiento se realiza con el fin de evitar la pérdida de un diente con caries que está muy dañado. Desde IDIM, como clínica de implantes dentales en Valencia, en este artículo queremos ayudarte a identificar estas señales para tomar las decisiones correctas y proteger tu salud bucodental ante una endodoncia mal hecha.
Una endodoncia, también conocida como tratamiento de conductos o “matar el nervio”, es un procedimiento cuyo principal objetivo es conservar el diente natural y evitar realizar una exodoncia. El tratamiento consta de varios pasos diseñados para eliminar la pulpa dañada o infectada.
Primero, se accede al interior del diente para limpiar y desinfectar los conductos radiculares, eliminando todas las bacterias o tejido muerto. Una vez limpios, se rellena todo el interior de un material biocompatible para sellar los conductos y evitar futuras infecciones. Cuando la endodoncia tiene éxito, el diente puede permanecer en la boca durante muchos años, sin causar dolor ni infecciones.

Aunque cada vez se realizan mejores endodoncias y técnicamente están bien hechas, se calcula que el fracaso de una endodoncia oscila entre el 2 y el 16%. Una endodoncia mal realizada puede provocar molestias persistentes, infecciones en la raíz del diente e incluso poner en riesgo la pieza dental.
¿Qué opciones tenemos si una endodoncia no funciona? | Dra Anaïs Ramirez
Síntomas de una endodoncia mal hecha
Una endodoncia mal hecha o una endodoncia bien hecha que fracasa, puede presentar varios síntomas que se manifiesten justo después del tratamiento, o incluso semanas y meses después.
- Dolor persistente: Es normal sentir algo de dolor después de la endodoncia, sobre todo al masticar, pero es leve y en cuestión de días suele desaparecer. Con una endodoncia fracasada puedes llegar a experimentar un dolor persistente que no disminuye con el tiempo. Este dolor puede deberse a una inflamación o infección residual debido a la presencia de bacterias en los conductos laterales accesorios o a un conducto que no fue tratado. Puede presentarse de manera espontánea o como una molestia punzante al morder.
- Sensibilidad: Si la endodoncia se ha realizado bien, el diente no debería reaccionar al frío ni al calor, ya que el nervio se ha eliminado.
- Inflamación de la encía o zona afectada: La inflamación puede manifestarse como hinchazón en la zona afectada y en la encía que rodea el diente tratado. Además, notar molestias al masticar, podría ser señal de una inflamación periapical o de una mala oclusión por una reconstrucción mal ajustada. Si la infección avanza, la inflamación puede aumentar y evolucionar hacia un absceso periapical agudo, con presencia de pus, mayor dolor local y sensación de malestar general.
- Fístulas o supuración de pus: Las fístulas son pequeños bultitos o granitos de color blanquecino que aparecen cerca del diente afectado y actúan como vías de escape del pus que se genera por la infección. Al igual que aparecen, desaparecen de forma intermitente y si no se tratan, puede que el problema se extienda al hueso o a otros tejidos cercanos. Aparición de abscesos o fístulas: las infecciones no resueltas en la raíz del diente pueden provocar abscesos dentales (acumulación de pus) o la formación de fístulas.
- Cambio de color del diente: Tras una endodoncia, el diente puede que cambie de color y se vuelva más oscuro, adoptando un tono grisáceo o amarillento. Esto sucede porque al perder su nervio y vasos sanguíneos, el diente deja de recibir nutrientes y se vuelve un tejido no vital. El oscurecimiento no solo afecta estéticamente, sino que también puede indicar que el diente necesita un tratamiento interno como una reendodoncia o incluso una cirugía periapical.
- Movilidad dental: Si un diente se mueve tras una endodoncia también es síntoma de fracaso del tratamiento. En el caso de sentir dolor, además de la movilidad, es necesario valorar si se puede salvar el diente con cirugía apical o si hay que extraerlo y colocar un implante dental.
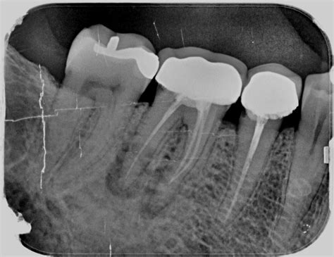
Radiografía de una endodoncia mal hecha
Una de las herramientas más seguras y fiables para detectar una endodoncia fracasada es la radiografía dental. En estas radiografías se pueden observar diferentes problemas:
- Sobreobturación: cuando el material de obturación se extiende más allá de la raíz, puede irritar los tejidos periapicales.
- Lesiones periapicales: se identifican como áreas más oscuras o radiotransparentes alrededor del ápice del diente. Lesión periapical: entre el 2 y el 14% de las endodoncias fracasan provocando inflamación periapical en los tejidos que rodean la raíz del diente.
- Conductos no tratados: puede que existan conductos adicionales sin tratar, los cuales aparecen como áreas radiotransparentes, ya que no han sido limpiados ni rellenados. No haber localizado un conducto. Cada diente tiene un número de conductos o nervios, y deben eliminarse y sellarse todos ellos. Aunque anatómicamente un molar suele tener tres conductos, existen casos en los que pueden tener cuatro e incluso cinco.
- Fracturas radiculares: aunque a veces son difíciles de detectar, pueden verse como líneas finas y oscuras a lo largo de la raíz. Existencia de una fisura o fractura vertical del diente. Muchas veces la endodoncia está bien hecha. Pero es posible que el diente tenga una fisura o una fractura dificil de diagnosticar, incluso con radiografías.

Causas de fracaso de una endodoncia
“Aunque la endodoncia tiene un índice de éxito del 90%, este tratamiento puede fracasar por diversos motivos:
- Obturación incompleta del conducto: Una de las causas más comunes de una endodoncia fracasada es un sellado incompleto del conducto radicular. Si el sellado en el extremo del conducto no es adecuado, permite la entrada de bacterias desde el hueso o la encía hacia el interior del diente. Esta situación puede ocurrir tanto por un sellado insuficiente como por el uso de materiales inadecuados. No obturar correctamente los conductos radiculares. Una vez eliminada toda la pulpa de los conductos, pasaremos a obturarlos con un producto que denominamos gutapercha. Es muy importante que la gutapercha esté bien condensada y rellene los conductos perfectamente de manera tridimensional.
- Filtración apical: El mal sabor de boca puede deberse a la presencia de una infección residual, filtraciones bacterianas o estar relacionado con una obturación defectuosa.
- Fracturas radiculares: Las fracturas en la raíz del diente, durante o después de la endodoncia, pueden comprometer seriamente el éxito del tratamiento, especialmente si el diente no está protegido adecuadamente con una restauración.
- Anatomía compleja del conducto: No todos los conductos son rectos y simples, algunos presentan formas inusuales y curvaturas pronunciadas que pueden ser difíciles de limpiar y sellar completamente con el material de obturación de la cámara pulpar. La anatomía de los nervios de los dientes es muy diversa y compleja. A veces, uno de los conductos que contienen los nervios del diente pueden perforarse al limpiarlos. Cuando esto es así, se debe tratar de sellar esa perforación.
- Restauración final del diente: Después de una endodoncia, el diente debe restaurarse correctamente con una corona para protegerlo. Con el tiempo, este diente puede recibir más presión al masticar, ya que se desgasta menos que los demás y aumenta el riesgo de fractura.
- No desinfectar correctamente los conductos: Para ello se utiliza el hipoclorito de sodio.
- Perforación de un conducto.
- No hacer radiografías durante la endodoncia. Tradicionalmente hay que realizar cinco radiografías en el transcurso de una endodoncia.
- Calcular mal la longitud de trabajo. Debemos medir meticulosamente la longitud de cada conducto. Para ello utilizamos un dispositivo que se denomina localizador de ápices. Además, a pesar de lo que nos indique el localizador, es importante hacer una radiografía de comprobación para asegurarnos de que el localizador no se equivoca. Cada diente tiene una anatomía y una raíz de una longitud diferente. Por ello es importante dedicarle tiempo a ver cuñanto mide exactamente la longitus del diente que se va a endodonciar. Sólo de esa forma se puede limpiar y sellar adecuadamente.
Posibles consecuencias de una endodoncia mal hecha
- Dolor persistente en la zona del diente afectado: uno de los síntomas más comunes del fracaso de una endodoncia es el dolor que no desaparece semanas después del tratamiento.
- Daños en el hueso maxilar o mandíbula: las infecciones periapicales más severas pueden afectar al hueso que rodea la raíz del diente, provocando sinusitis maxilares, infecciones óseas o pérdidas de soporte del diente.
- Pérdida del diente: una de las consecuencias más graves de no corregir una endodoncia fracasada a tiempo, es que la infección avance y destruya parte del hueso que sujeta el diente de manera irreparable.
- Problemas estéticos o funcionales: un diente no restaurado correctamente tras la endodoncia puede llegar a fracturarse, cambiar de color o presentar alteraciones estéticas.
Qué hacer ante una endodoncia fracasada
Ante una endodoncia fracasada, lo más importante es actuar con rapidez para evitar complicaciones mayores como infecciones periapicales o sinusitis maxilares. En IDIM, ofrecemos soluciones y opciones de tratamiento que pueden ayudarte a recuperar la salud bucodental.
- Evaluación profesional: El primer paso que debes seguir si sospechas que tu endodoncia ha fracasado es pedir cita con un dentista con experiencia en endodoncia o en cirugía bucal para evaluar la situación. Diagnosticar una endodoncia fracasada requiere una evaluación detallada por parte de un profesional. El dentista evalúa los síntomas que presenta el paciente y realiza una radiografía y una tomografía para observar el diente y los tejidos de alrededor.
- Tratamiento de reendodoncia: En algunos casos, se puede intentar hacer un retratamiento del conducto radicular para corregir cualquier problema del tratamiento inicial e intentar salvar el diente. Es un procedimiento más complejo que la endodoncia inicial, ya que pueden quedar restos de material, haber conductos obstruidos o lesiones periapicales. Básicamente el procedimiento es el mismo que en una endodoncia, la gran diferencia es que existe un tratamiento previo. Por tanto tenemos que acceder a este tratamiento, removerlo, eliminarlo y volver a empezar. Limpiando y desinfectando bien los conductos de todo resto de tratamiento previo, infección por bacterias , posible tejido necrótico restante…. Y volviendo a rellenar con un material adecuado y de una forma tridimensional correcta. Colocando primero un empaste provisional y en una posterior cita, lo más pronto posible, realizar la definitiva, sea un empaste, una incrustación,corona, endocorona…. En la mayoría de los casos, podemos intentar solucionar el problema realizando una reendodoncia del diente afectado.
- Cirugía periapical: Si no es posible realizar el retratamiento o no funciona, la cirugía periapical es la única alternativa para evitar extraer el diente. Suele ser la solución más eficaz cuando hay una lesión localizada, el diente tiene una restauración que no se puede retirar sin dañarlo o cuando el canal está bloqueado. Este tratamiento consiste en hacer un apequeña cirugía para eliminar la parte de la raíz del diente que está generando el dolor.
- Extracción e implante dental: En los casos donde resulta imposible salvar el diente, porque no es posible hacer reendodoncia o una cirugía periapical, la solución será extraerlo y colocar un implante dental en su lugar. Un implante es una solución segura y duradera que permite recuperar tanto la función estética como masticatoria del diente perdido.
tags: #perforacion #apical #endodoncia