Las bolsas periodontales son un problema dental común que puede llevar a complicaciones serias si no se trata adecuadamente. En este artículo, exploraremos qué son las bolsas periodontales, sus causas, tipos, cómo se ven, tratamientos y formas de prevenirlas.

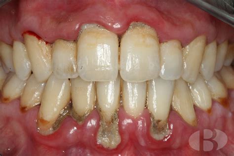
Imagen real de un caso avanzado de periodontitis.
¿Qué son las Bolsas Periodontales?
Las bolsas periodontales son espacios o surcos profundos que se forman entre los dientes y las encías debido a la acumulación de placa y bacterias.
Tipos de Bolsas Periodontales
- Bolsas gingivales: Son menos profundas y generalmente se asocian con la gingivitis.
Para identificar correctamente estas bolsas, las radiografías y las imágenes clínicas son herramientas esenciales.
Causas y Consecuencias
Las bolsas periodontales, si no se tratan, pueden causar dolor, infección, y eventualmente, la pérdida de dientes. Una bolsa de pus en la encía indica una infección seria. Una bolsa periodontal de 7 mm indica una periodontitis avanzada.
Tratamiento periodontal básico para pacientes (gingivitis y periodontitis) - Tráiler
Tratamiento de las Bolsas Periodontales
El tratamiento de las bolsas periodontales varía según la fase de la enfermedad. En la fase inicial, conocida como gingivitis, el tratamiento se enfoca en eliminar la placa y el sarro acumulados.

Representación gráfica del tratamiento de bolsas periodontales.
Casos Reales y Soluciones
Muchos de los pacientes que vienen a consulta llevan años posponiendo ese tratamiento que saben que necesitan. Uno de los principales motivos es el miedo y pensar que van a experimentar mucho dolor, pero hay otro aspecto que también influye a la hora de retrasar su visita: la sensación de que no hay solución a su problema.
Esto es lo que le sucedía a una de mis pacientes, María. Hacía años que había dejado de sonreír e incluso tenía muchos inconvenientes para masticar con normalidad. Lo que comenzó con una gingivitis leve (con sangrado y una leve inflamación), había derivado en una piorrea severa y muy avanzada que amenazaba la estabilidad de sus dientes.
Por su complejidad, este caso lo abordé junto al doctor Pedro Pablo Martínez, especialista en Odontología Conservadora, y la doctora Georgina Carbajo, especialista en Implantología y Periodoncia. El diagnóstico inicial nos indicaba una alta posibilidad de tener que extraer varios dientes, además de dos muelas que ya había perdido con anterioridad. Realizamos un tratamiento periodontal completo y varias endodoncias -todo bajo anestesia local- que hicieron posible devolver la salud a sus dientes y encías.
La respuesta de María al tratamiento periodontal fue inmejorable y terminamos su proceso con dos implantes en sendos molares que le habían extraído previamente. Es un caso del que todo el equipo y yo nos sentimos especialmente orgullosos, porque a pesar del pronóstico inicial, conseguimos que María mantuviera todos sus dientes.
Otro caso que me gustaría compartir contigo es el de Álvaro. Nuestro paciente llevaba muchos meses notando cómo sus encías estaban cada vez más rojas e hinchadas, pero pensaba que iría a menos con una higiene profesional. Álvaro no pensaba que tuviera enfermedad periodontal porque no había experimentado retracción en las encías, pero lo cierto es que las bacterias ya habían comenzado a destruir los tejidos de soporte de sus dientes.
Para abordar su caso y evitar que el deterioro de su salud bucal fuera a más, planifiqué un tratamiento periodontal completo. No solo realizamos curetajes generalizados en toda la boca, sino que nuestro equipo realizó un estudio de los agentes patógenos.
Un mes después de haber completado el tratamiento, realizamos una reevaluación de los resultados y comprobamos que las encías de nuestro paciente habían mejorado sustancialmente, mostrando un aspecto más saludable.
Resultados a Largo Plazo
Hemos tratado a miles de pacientes con piorrea a lo largo de los años y todos ellos quedan sorprendidos del gran cambio que experimenta su sonrisa. No solo conseguimos devolverles la estética y la funcionalidad, sino que nuestro riguroso plan de revisiones evita la reaparición de la enfermedad periodontal. Por ello, los resultados obtenidos se mantienen a largo plazo.
Implantes Dentales y Enfermedad Periodontal
El paciente había ido perdiendo dientes como consecuencia de la enfermedad periodontal y en el momento que acudió a la consulta llevaba aparatos de quitar y poner que le dificultaban la higiene y le generaba movilidad en los dientes que servían de apoyo. Para compensar estos inconvenientes y reponer los dientes que le faltaban, el paciente solicitó realizar tratamiento implantológico.
Sin embargo, aunque los implantes eran sin duda una solución, en este caso consideramos que no era la más apropiada al tratarse de un paciente con enfermedad periodontal. Los pacientes con enfermedad de encías pierden hueso alrededor de los dientes y, en ausencia de tratamiento, eso les provoca primero movilidad y finalmente la caída del diente.
Es importante destacar que tanto en el caso de que la prótesis esté soportada por dientes como por implantes, las coronas serán cerámicas e idealmente se trabajarán a la vez.

Especialistas en periodoncia trabajando en un caso de enfermedad periodontal.
tags: #periodontitis #real #images