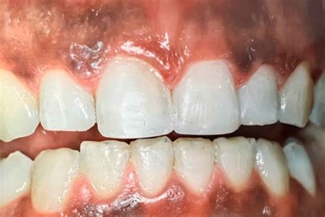
Las encías son el tejido mucoso que rodea la cavidad oral y que abarca todos los dientes. El aspecto habitual de la encía se corresponde con un color rosado, carnoso y brillante. La apariencia natural debe ser de un rosa pálido, esto indica que hay una buena circulación y que tu salud bucal es correcta. Su tejido duro, fibroso y sensible sirve de unión entre los dientes y el hueso alveolar, por lo que su buen estado de salud es fundamental para dar soporte a las piezas dentales.

Sin embargo, al igual que sucede con la coloración de la piel, hay que personas que pueden tener una encía de tonos marrones u oscuros. Si detectas que ese rosa se ha oscurecido o está acompañado de manchas negras es importante que un profesional estudie qué puede estar ocurriendo. El color y la apariencia de las encías son un indicador de su estado de salud. Su aspecto y coloración pueden sufrir alteraciones pero no debes alarmarte ya que en su mayor parte no están motivadas por patologías orales.
Las encías sanas suelen ser de un tono rosado, pero en algunos casos, pueden oscurecerse y volverse de un color negro o marrón. Este cambio puede preocupar a muchas personas, no solo por razones estéticas, sino también por la posibilidad de que sea un síntoma de algún problema de salud.
Causas de las Encías Oscuras
Existen varias razones por las que las encías pueden oscurecerse. Diversos factores pueden contribuir a la aparición de manchas negras en las encías. Algunas son naturales y no representan un problema de salud, mientras que otras pueden indicar una afección que requiere atención. A continuación, se detallan algunas de las causas más comunes:
- Melanina: En algunas personas, especialmente aquellas con tonos de piel más oscuros, es normal que las encías tengan un color más oscuro debido a la mayor cantidad de melanina en los tejidos de las encías. La melanina que está presente en la piel y nos protege del sol en ocasiones está también presente en las encías y puede darles un aspecto oscuro.
- Tabaquismo: El tabaquismo es una causa común del oscurecimiento de las encías, un efecto conocido como "melanosis del fumador". El consumo de tabaco es una de las causas más comunes. La exposición continua a la nicotina y otros químicos presentes en el tabaco puede provocar el aumento de la producción de melanina en las encías, lo que las oscurece. Los pacientes con gran adicción o que fuman desde hace muchos suelen suelen presentar cambios de tonalidad en las encías, siendo la nicotina, la principal responsable.
- Enfermedades Periodontales: Las enfermedades de las encías, como la gingivitis o la periodontitis, pueden causar inflamación, enrojecimiento e incluso oscurecimiento en algunas zonas de las encías. Las enfermedades periodontales (gingivitis y periodontitis) afectan directamente al tejido de las encías. Lo habitual es que estas se inflamen y enrojezcan, pero hay casos en los que la acumulación de sarro y placa bacteriana acaba causando que la encía se vuelva oscura. Ante la presencia del agente infeccioso, la encía reacciona, entre otras cosas, inflamándose y sangrando.
- Medicamentos: Algunos medicamentos pueden provocar cambios en la coloración de las encías. Algunos medicamentos como los anticonceptivos y algunos antibióticos presentan en sus efectos secundarios la melanosis gingival. Por ejemplo, ciertos antidepresivos, tratamientos hormonales y fármacos para la hipertensión pueden ocasionar oscurecimiento como efecto secundario.
- Amalgama dental: La amalgama dental es un material utilizado en empastes que contiene mercurio, plata y otros metales. Las obturaciones (empastes) de amalgama son otra de las causas de encías oscuras. Durante los procedimientos dentales, pequeñas partículas de amalgama pueden incrustarse en las encías, provocando una decoloración conocida como «tatuaje de amalgama». En algunos casos este material se transfiere a la encía, oscureciéndola de forma permanente.
- Lesiones: Un golpe o lesión en las encías puede causar hematomas o áreas de color oscuro. Como cualquier otra parte del cuerpo, la encía puede sufrir lesiones debidas traumatismos o a un cepillado demasiado agresivo, con cepillos de cerdas duras.
- Otras causas: Las mancha en las encías pueden estar provocadas por otra causas diversas, como problemas vasculares, como la proliferación de vasos sanguíneos, varicosidades, granulomas, hemangiomas y linfangiomas, en en la mayor parte de los casos debidos a causas genética o a traumatismos.

Tratamientos para Encías Oscuras
El tratamiento para las encías negras depende de la causa subyacente. Existen diferentes tratamientos que pueden solucionar el problema de las encías necrosadas o con manchas oscuras. Una vez que hemos determinado la causa de la mancha negra en la encía, desarrollamos un plan de tratamiento personalizado para abordar el problema de raíz.
- Despigmentación Quirúrgica: Este procedimiento se utiliza para eliminar la capa superficial de las encías y reducir la pigmentación oscura. La despigmentación quirúrgica es una pequeña cirugía plástica periodontal. Sirve para eliminar el tejido epitelial. Este tratamiento se puede realizar con electrobisturí o con láser. En general, ambas técnicas son muy sencillas y rápidas. Sin embargo, el láser presenta una serie de ventajas para el paciente: reduce el sangrado y acelera la cicatrización.
- Microabrasión y Peeling Gingival: La microabrasión y el peeling gingival son opciones seguras y efectivas para quienes desean mejorar la estética de sus encías. Tanto la microabrasión como la despigmentación quirúrgica son tratamientos indicados para la melanosis gingival o para las encías oscuras debido al consumo de determinados fármacos. La microabrasión es otro tratamiento bucodental que se utiliza para pulir cuidadosamente cualquier tipo de mancha negra en la encía hasta borrarla. A través de esta técnica, el dentista es capaz de eliminar la melanosis gingival y devolver al paciente su color de encía natural.
- Injertos de Encía: En algunos casos, los dentistas pueden recomendar injertos de encía para cubrir áreas oscuras. Este procedimiento implica la colocación de tejido sano sobre las zonas afectadas, logrando un color más uniforme y natural en las encías.
- Terapia Láser: La terapia láser es otra opción para aclarar las encías. El láser permite eliminar las células pigmentadas sin dañar el tejido circundante. Además, este procedimiento es mínimamente invasivo, por lo que el tiempo de recuperación suele ser corto.
- Tratamiento Periodontal: Cuando el oscurecimiento de las encías está relacionado con una enfermedad periodontal, el tratamiento debe enfocarse en controlar la infección. Con el raspado, se elimina la placa bacteriana y el sarro que han dado lugar a la periodontitis.
- Cambio de Hábitos: En casos donde el oscurecimiento de las encías se debe al tabaquismo o al uso de ciertos medicamentos, el cambio de hábitos es fundamental. Al dejar el hábito del tabaco, estas manchas desaparecen con el tiempo.
Es importante que siempre que observes algún tipo de alteración en los tejidos orales, tanto en las encías, como en la lengua o los carrillos, solicites una cita con tu odontólogo para que determinen la causa y, en caso de ser necesario, te indiquen el tratamiento más adecuado. Recuerda que la prevención es la mejor herramienta para mantener tu salud oral.

En Clínica dental Loscos contamos con un equipo de expertos en periodoncia que harán una exploración previa de tu caso para diagnosticar qué está causando que la encía se oscurezca.
⚫️¿Qué son estas MANCHAS NEGRAS en las ENCÍAS? - Melanosis gingival
Prevención de las Encías Oscuras
En una gran cantidad de casos, las encías oscuras o negras no se pueden prevenir, ya que están causadas por razones genéticas. La prevención es clave para mantener una buena salud bucal y evitar la aparición de manchas negras en las encías.
- Higiene Bucal Adecuada: Una higiene bucal adecuada es fundamental para prevenir una amplia gama de problemas dentales, incluidas las manchas negras en las encías.
- Consultar los Efectos Secundarios de los Medicamentos: De esa manera, sabrás de antemano si pueden causar un perjuicio estético en tu boca. Y, en caso de que así sea, tendrás la oportunidad de preguntar al médico si existe otra opción.
- Visitas Regulares al Dentista: Visitar al dentista de manera regular es crucial para detectar cambios en la coloración de las encías y recibir tratamiento oportuno si es necesario.
Las encías son un reflejo de nuestra salud bucal y general. Los cambios en el color de las encías pueden ser una señal de que algo no está bien, ya sea relacionado con la higiene bucal, enfermedades sistémicas o hábitos de vida. Al cuidar de nuestras encías, no solo protegemos nuestra sonrisa, sino que también tomamos un paso importante hacia la mejora de nuestra salud general.
tags: #pigmentacion #de #las #encias