El deseo de tener una sonrisa blanca y brillante ha existido a lo largo de la historia. Desde el antiguo Egipto hasta la Roma antigua, se han utilizado diversas mezclas y sustancias para intentar blanquear los dientes. Hoy en día, existen numerosos tratamientos y productos disponibles, pero es crucial elegir opciones seguras y efectivas para evitar dañar el esmalte dental.

Riesgos de las Técnicas Caseras
Es importante resistir la tentación de utilizar técnicas caseras transmitidas por amigos o encontradas en Internet. Muchos de estos métodos pueden ser perjudiciales para el esmalte dental, causando erosión y sensibilidad. Algunas prácticas comunes que se deben evitar incluyen:
- Frotar la parte interna de la fresa o la cáscara de plátano en los dientes: Aunque estas frutas contienen ácido salicílico y/o cítrico que puede ayudar a eliminar manchas superficiales, su uso diario puede dañar el esmalte.
- Usar bicarbonato y agua oxigenada durante el cepillado: Esta combinación puede erosionar el esmalte dental.
- Enjuagues bucales de aceite vegetal orgánico (como el de coco): Aunque esta práctica se ha popularizado, no hay evidencia científica sólida que respalde su efectividad para blanquear los dientes.
No debemos caer en la tentación de usar técnicas caseras que nos cuentan amigos. También es mejor no buscar productos en Internet para blanquear los dientes. Estos pueden dañar nuestro esmalte dental y erosionarlo.
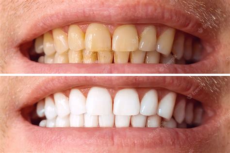
Blanqueamiento Dental Profesional: La Opción Más Segura
El blanqueamiento dental profesional, realizado en una clínica dental bajo la supervisión de un odontólogo, es la opción más segura y efectiva para lograr una sonrisa más blanca. Este tratamiento utiliza peróxido de hidrógeno o peróxido de carbamida, productos que blanquean el diente desde su interior sin erosionarlo.
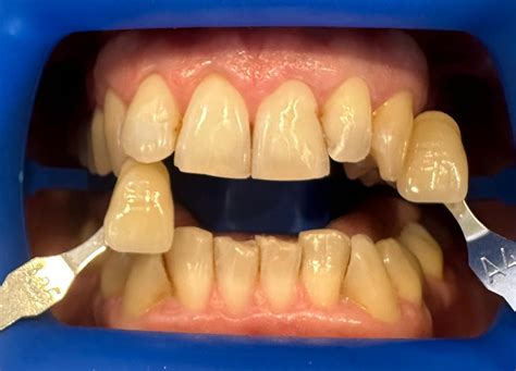
El blanqueamiento en clínica se realiza mediante la aplicación de un gel blanqueador en los dientes y una posterior activación del mismo con una lámpara o un láser. Las sesiones suelen durar 1 hora y los resultados son inmediatos. La aplicación en casa se realiza mediante unas placas a medida de los dientes (férulas), que se rellenan con el agente blanqueador y que posteriormente se colocan sobre los dientes en periodos de 4-6 horas/día, durante 7-10 días.
La satisfacción del paciente después de un blanqueamiento dental en la clínica es altísima, ya que los resultados cumplen con sus expectativas.

¿Quieres blanquear tus dientes de forma segura? La mejor opción es acudir a una clínica dental donde el blanqueamiento es realizado con productos profesionales bajo supervisión.
Pastas Dentales Blanqueadoras: Una Ayuda Superficial
En los supermercados podemos encontrar pastas dentales blanqueadoras, pero debemos tener cuidado de no abusar de ellas, ya que muchas blanquean los dientes y quitan las manchas a expensas de partículas de sílice. Las pastas de dientes blanqueadoras pueden ayudar a reducir manchas superficiales, pero no modifican el color interno del diente. Además, algunas contienen partículas abrasivas que podrían generar sensibilidad si se usan de forma prolongada.
Las pastas de dientes blanqueantes contienen agentes químicos y mecánicos con un grado de abrasividad moderado, un índice RDA entre 80 y 100 que viene en la etiqueta, y combinan en su formulación fluoruros para después de haber generado esta abrasión y desmineralización del esmalte, remineralizarlo en el mismo acto. Son bastante efectivas y están reguladas como un método de blanqueamiento dental casero. No son recomendables para pacientes con hipersensibilidad dental al frío.
Algunos componentes comunes de estas pastas son las sílices, carbonato cálcico, papaína, polivinilpirrolidina, hidroxipatita, peróxido de carbamida y peróxido de hidrógeno. Si no tienes una sensibilidad importante mientras las usas, puedes hacerlo de manera indefinida si tus hábitos son tendentes a formar manchas. No está recomendado usarlas más de tres veces al día, porque el exceso de cepillado puede generar problemas tanto en el esmalte como en las encías.
Duración del Blanqueamiento Dental
La duración del blanqueamiento dental depende de los hábitos de higiene bucal y la dieta del paciente. En general, los efectos pueden mantenerse entre 1 y 3 años si se evita el tabaco, el café, el té y otros alimentos con pigmentos.
Dieta Blanca para Mantener los Resultados
Llevar una dieta blanca, siempre que se pueda y sin ser muy estricto, puede ayudar a mantener los resultados del blanqueamiento dental. Es decir, hay que evitar o disminuir la ingesta de té, café, chocolate, vino tinto, salsa de soja, vinagre de Módena, alcachofas y bebidas carbonadas de colores.

Alternativas Naturales y Complementos
Si bien el peróxido de hidrógeno es el método más eficaz para blanquear los dientes, existen algunas alternativas naturales que pueden ayudar a mantener una sonrisa más blanca:
- Aceite de coco: Algunas personas confían en el aceite de coco para blanquear los dientes o utilizan carbón activo para intentar eliminar las manchas.
- Hilo dental de alta tecnología: El hilo dental Waterpik Whitening Water Flosser es una forma de ayudar a mantener una sonrisa naturalmente bonita y restaurar el blanco natural eliminando de forma suave y segura las manchas de las zonas de difícil acceso.
Expertos en Blanqueamiento Dental
Para aquellos que buscan un blanqueamiento dental en casa, es importante consultar a dentistas expertos para obtener consejos profesionales sobre cómo conseguir una sonrisa más brillante. Algunos expertos en el campo incluyen:
- Dra. Rhona Eskander, odontóloga y embajadora del cuidado bucal Waterpik.
- Dra. Ayah Siddiqi, especialista en estética avanzada, dentista cosmética y experta en LED residente en CurrentBody.
- Dr. Richard Marques, dentista de Wimpole Street Dental.
- Dr. Derek Swan, dentista y socio de New Town Dental Care.
- Dr. Julio Martín, médico estomatólogo y director de Dental Studio.