La placa dental es un problema común que afecta a la mayoría de las personas en algún momento de sus vidas. Es una capa de bacterias que se acumula en los dientes y las encías, lo que puede provocar caries, enfermedades de las encías y mal aliento. Mantener controlada la placa bacteriana es clave para conservar una buena salud bucodental.
Entendemos como placa bacteriana, la acumulación excesiva sobre la superficie oral de microorganismos procedentes de la flora digestiva. Esta placa es una capa prácticamente imperceptible de textura gelatinosa que se pega a los dientes y se introduce en las fisuras dentales dañando las piezas y la estructura gingival. En definitiva, se trata de una de las principales causas de enfermedad oral.
Por eso, si logramos prevenir y controlar su proliferación, conseguiremos evitar el mal aliento, el sarro, las infecciones bucales y las caries.
Técnica correcta para el cepillado de dientes | Oral B LT
¿Cómo saber si mis encías están inflamadas?
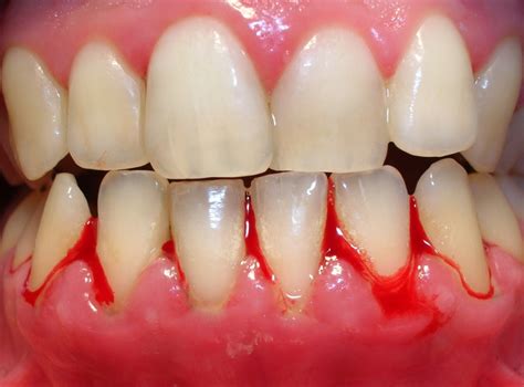
La gingivitis es una inflamación de las encías y, por tanto, esta es la principal señal que te indicará que puedes estar sufriendo esta enfermedad periodontal. La gingivitis se produce por una acumulación de la placa bacteriana en la parte de las encías que rodea la base de los dientes. Este sarro acumulado puede ocasionar una infección bacteriana que da lugar al problema.
Algunos de los síntomas más notorios incluyen:
- Encías rojas: Uno de los síntomas más notorios cuando tus encías están inflamadas es su color rojo brillante o morado, cuando lo saludable es que sea de un tono rosa pálido, es de un tono rojizo parecido a un frambuesa madura.
- Sangrado de las encías: El síntoma más notorio es el sangrado, ya sea al morder alimentos duros que pasen rozando las encías, como puede ser darle un mordisco a una manzana o el más común al usar el hilo dental o cepillar los dientes.
- Encías sensibles o dolorosas: Las encías deben de ser firmes.
- Mal aliento o halitosis: Este es otro de los síntomas más habituales que van de la mano con las encías inflamadas.
- Recesión de las encías: Cuando las encías han estado inflamadas durante mucho tiempo sin ser tratadas es probable que poco a poco vayan retrocediendo dejando ver la raíz del diente, esto entre otras molestias, puede provocar sensibilidad dental.
Lo más usual es pensar: me sangran las encías al cepillarme los dientes, puede que lo haya hecho muy fuerte, por cepillarme sangran y me duelen, tal vez es mejor que me deje de cepillar para que no me sangren más… Pero esta acción solo empeora la situación, te lleva a entrar en un ciclo vicioso porque al dejar de cepillar tus dientes, más bacterias se acumulan y la enfermedad empeora.

Síntomas comunes de la gingivitis.
Tipos de placa bacteriana
Según la composición de la placa bacteriana y su localización, podemos distinguir varios tipos.
Tipos de placa bacteriana según su localización
¿Dónde se acumula la placa bacteriana en tu boca? De ello dependerá la afectación de tejidos o de determinadas piezas dentales. Como ves, la localización de la placa define la estructura oral afectada y el tipo de afección que puede sufrir el paciente.
Tipos de placa bacteriana según su composición
Según el tipo de microorganismos que conforman el cúmulo, podemos distinguir dos tipos de placa.
- Placa cariogénica: es la que procede de la metabolización de los azúcares alimentarios. Está compuesta por patógenos productores de ácidos que dañan la superficie de los dientes.
- Placa perodontopatogénica: está formada por bacterias productoras de sustancias primarias no ácidas. En este caso, la prevención juega un papel muy importante, ya que contamos con herramientas sencillas para su control.
Causas de la línea blanca debajo de las encías
La aparición de una línea blanca debajo de las encías puede ser un indicador de varios problemas de salud bucal:
- Acumulación de placa bacteriana: La placa bacteriana es una película pegajosa y transparente compuesta principalmente de bacterias que se acumula en la superficie de los dientes y las encías.
- Gingivitis: La gingivitis es una forma temprana de enfermedad de las encías que se caracteriza por encías inflamadas, enrojecidas y sangrantes. La acumulación de placa bacteriana es una causa común de gingivitis.
- Irritación o alergias: Ciertos alimentos, bebidas, productos dentales o materiales utilizados en procedimientos dentales pueden causar irritación o alergias en las encías. Esta irritación puede resultar en enrojecimiento y una línea blanca en el área afectada.

Ejemplo de línea blanca en las encías.
Consecuencias de una higiene oral deficiente
La línea blanca debajo de las encías puede parecer un problema menor a primera vista, pero su importancia radica en su potencial para indicar problemas dentales más serios.
- Prevención de Infecciones: La acumulación de placa bacteriana, que a menudo está asociada con la línea blanca, puede ser el punto de partida para infecciones más graves. Si no se trata, la inflamación inicial puede progresar a una infección de las encías conocida como periodontitis.
- Pérdida de encías y recesión gingival: La irritación crónica y la inflamación de las encías pueden contribuir a la recesión gingival, un proceso en el que las encías se desplazan hacia atrás, exponiendo parte de las raíces dentales.
- Daño a los dientes: Cuando la línea blanca debajo de las encías es un indicador de problemas como la gingivitis, la infección y la inflamación pueden extenderse a los tejidos de soporte de los dientes. Esto puede resultar en daño al esmalte dental y, en casos más graves, afectar la estructura de los dientes.
- Calidad de vida: Además de las consecuencias físicas, la presencia de problemas dentales no tratados puede afectar la calidad de vida.
¿Cómo prevenir y combatir la placa bacteriana?
Hoy en día, todos deseamos tener una estética dental agradable; es lógico, la sonrisa es una carta de presentación. Prevenir la acumulación de placa bacteriana es sinónimo de evitar enfermedades y problemas bucodentales asociados. Disfrutar de una buena salud bucodental por más tiempo es posible. Solo necesitas mantener a raya la acumulación de placa en tu boca. ¿Cómo puedes lograrlo?
- Usa un dentífrico adecuado a tus condiciones bucodentales.
- Usa un cepillo adaptado a tus necesidades y procura cambiarlo cada 2 o 3 meses.
- Para eliminar los restos de comida de entre los dientes, debes usar hilo dental o cepillos interdentales. Cuando el espacio interdental es amplio, la seda dental no es una herramienta suficientemente efectiva.
- Para que la higiene oral sea más completa, puede ser recomendable utilizar enjuague bucal. El dentista te recomendará el más adecuado para tu caso.
- También ayuda a prevenir la acumulación de placa bacteriana en tu boca el uso de un limpiador lingual.
- Además del irrigador dental y su función de barrido interdental con agua.
- Visita a tu dentista al menos una vez al año.
- Practica una profilaxis o limpieza dental profesional una vez al año, como mínimo.
Como has podido ver, el ritual de higiene diaria, las visitas al dentista y los buenos hábitos son las claves para prevenir los problemas asociados a la acumulación de placa bacteriana en tu boca.
Tratamiento de la línea blanca debajo de las encías
La línea blanca debajo de las encías puede tener diversas causas, y los tratamientos disponibles varían según la causa subyacente.
- Mejora de la higiene bucal: Si la línea blanca es resultado de la acumulación de placa bacteriana, mejorar tus hábitos de higiene oral es fundamental.
- Tratamiento de enfermedades de las encías: Si la línea blanca está asociada con la gingivitis o la enfermedad periodontal, un dentista puede recomendar tratamientos específicos.
- Enjuagues especializados: En algunos casos, tu dentista podría recomendarte enjuagues bucales especializados diseñados para reducir la inflamación y controlar las bacterias en la boca.
- Tratamientos de ortodoncia: Si la línea blanca debajo de las encías está relacionada con procedimientos ortodónticos o restaurativos previos, tu dentista puede sugerir tratamientos específicos para abordar la causa.
Enfermedades periodontales como infecciones bacterianas
Las infecciones periodontales son un conjunto de enfermedades localizadas en las encías y estructuras de soporte del diente. Están producidas por ciertas bacterias provenientes de la placa subgingival. Estas bacterias son esenciales para el inicio de la enfermedad, pero existen factores predisponentes del hospedador y microbianos que influyen en la patogénesis de la enfermedad.
La microbiota bacteriana periodontopatógena es necesaria pero no suficiente para que exista enfermedad, siendo necesaria la presencia de un hospedador susceptible. Estas enfermedades se han clasificado en gingivitis, limitadas a las encías y periodontitis, extendidas a tejidos más profundos.
Las bacterias anaerobias gramnegativas más importantes y prevalentes en el área subgingival son el Actinobacillus actinomycetemcomitans (Aa), Porphyro-monas gingivalis (Pg), Prevotella intermedia (Pi) y Tannerella forsythensis (Tf). Estas bacterias tienen un importante papel en el comienzo y posterior desarrollo de la periodontitis participando en la formación de la bolsa periodontal, destrucción del tejido conectivo y reabsorción del hueso alveolar a través de un mecanismo inmunopatogénico.

Acumulación de placa dental y sarro.
En resumen, la placa dental es un problema común que puede provocar graves consecuencias en la salud bucal si no se trata adecuadamente. Una buena higiene bucal, visitas regulares al dentista y hábitos saludables son clave para mantener una sonrisa sana y prevenir complicaciones.
tags: #placa #bacteriana #en #la #encia