El blanqueamiento dental es un tratamiento estético cuyo objetivo es aclarar el color de los dientes mediante la eliminación de manchas y decoloraciones. Las motivaciones para someterse a un blanqueamiento dental son diversas. Muchas personas buscan mejorar la estética de su sonrisa por razones sociales o profesionales.

¿Por Qué se Decoloran los Dientes?
Entender las distintas manifestaciones de decoloración dental permite abordar de manera más efectiva el tratamiento.
- Manchas extrínsecas: Son aquellas que se producen en la superficie del esmalte dental. Suelen ser el resultado del consumo de ciertos alimentos o bebidas pigmentadas, así como del hábito de fumar.
- Manchas intrínsecas: Se producen dentro del diente, a menudo en la dentina, y pueden ser el resultado de factores como traumatismos, la ingesta de ciertos antibióticos durante la infancia o alteraciones en el desarrollo dental.
Factores que Contribuyen al Oscurecimiento Dental
El oscurecimiento dental es un proceso gradual que puede ser provocado por diversos factores. Una alimentación inadecuada y ciertos hábitos de vida pueden contribuir significativamente al oscurecimiento de los dientes.
- Bebidas pigmentadas: El consumo frecuente de bebidas como el café, el té, el vino tinto o refrescos oscuros puede dejar manchas en el esmalte dental.
- Alimentos con colorantes: Algunos alimentos, como el curry, la salsa de soja y ciertos frutos oscuros, pueden también causar decoloración.
- Tabaco: Fumar o masticar tabaco no solo afecta la salud general, sino que también es uno de los principales responsables del amarillamiento dental.
- Higiene bucal deficiente: La falta de una correcta higiene bucal permite que la placa y el sarro se acumulen en los dientes, lo que puede llevar a la decoloración.
Proceso de Blanqueamiento Dental
El proceso de blanqueamiento dental implica una serie de etapas que aseguran la efectividad del tratamiento y la salud bucal del paciente.
Evaluación Inicial
Antes de iniciar cualquier tratamiento de blanqueamiento dental, es fundamental que un odontólogo realice una evaluación exhaustiva del estado de salud bucal del paciente. Una vez completada la evaluación, el médico y el paciente deben discutir y seleccionar el método de blanqueamiento más adecuado.
Aplicación del Gel Blanqueador
La aplicación del gel blanqueador es una de las etapas clave en el proceso de blanqueo dental.
- En clínica: Se aplica el gel blanqueante en una sesión que puede durar entre 30 y 90 minutos, dependiendo del tipo de tratamiento.
Recomendaciones Post-Blanqueamiento
Después de realizar el blanqueamiento, es crucial seguir ciertas recomendaciones para mantener los resultados obtenidos.
Tipos de Blanqueamiento Dental
El blanqueamiento dental se puede llevar a cabo mediante diferentes métodos, cada uno adecuado a las necesidades y preferencias del paciente.
- Blanqueamiento en clínica: Este método se basa en la aplicación de un gel blanqueante que contiene peróxido de hidrógeno o peróxido de carbamida. A continuación, se activa el gel mediante una lámpara LED o láser, lo que potencia su eficacia. Las ventajas de este tratamiento incluyen resultados visibles al instante, ideal para quienes buscan una mejora rápida en la estética de su sonrisa.
- Blanqueamiento en casa con férulas: Este método permite a los pacientes realizar el tratamiento en la comodidad de su hogar. Las férulas son elaboradas por el odontólogo a partir de impresiones dentales, asegurando un ajuste perfecto. La principal ventaja de este método es la comodidad y flexibilidad que ofrece, permitiendo al paciente continuar con su rutina diaria mientras realiza el blanqueamiento.
- Blanqueamiento combinado: Este enfoque permite resultados duraderos, ya que la combinación de técnicas aumenta la eficacia del tratamiento.
- Blanqueamiento interno: Este método se aplica a aquellos dientes que han sido sometidos a un tratamiento endodontico, es decir, los dientes que han perdido su color natural. El blanqueamiento interno es especialmente efectivo en dientes no vitales.
Blanqueamiento Dental con Luz LED
El blanqueamiento dental con luz LED es un tratamiento estético diseñado para aclarar el tono de los dientes y eliminar manchas superficiales que se acumulan con el tiempo debido al consumo de alimentos, bebidas como el café o el vino, y el tabaco. Este procedimiento utiliza un gel blanqueador que, al ser activado por una lámpara LED, potencia su eficacia para descomponer las manchas en el esmalte dental.
A diferencia de otros métodos, el blanqueador dental con luz LED destaca por su rapidez y comodidad, ya que puede realizarse tanto en una clínica dental como con kits caseros especialmente diseñados. Esta tecnología permite lograr resultados visibles en pocas sesiones, convirtiéndose en una de las opciones más populares para quienes buscan una sonrisa más brillante.
¿Cómo Funciona el Blanqueamiento Dental LED?
El blanqueamiento dental LED funciona mediante un proceso químico en el que un gel blanqueador, generalmente a base de peróxido de hidrógeno o carbamida, actúa sobre las manchas del esmalte dental. La lámpara LED acelera este proceso al emitir una luz de alta intensidad que activa los compuestos del gel, permitiendo que penetren en el esmalte y descompongan las partículas que causan decoloración.
¡LO QUE NADIE TE DICE 🚫 DEL BLANQUEAMIENTO DENTAL 💔! Deberías ver este vídeo 👀.
Pasos del Blanqueamiento Dental LED:
- Preparación de los dientes: Antes de aplicar el gel, se realiza una limpieza dental para eliminar la placa y garantizar que el tratamiento sea más efectivo.
- Aplicación del gel blanqueador: El gel se coloca cuidadosamente sobre la superficie de los dientes.
- Activación con luz LED: Se utiliza una lámpara LED para activar el gel. Este paso dura entre 15 y 30 minutos, dependiendo del tipo de tratamiento.
- Retirada del gel: Una vez completado el tiempo, se limpia el gel y se evalúan los resultados.
Este método es eficaz y puede aclarar varios tonos en una sola sesión, aunque en algunos casos se requieren múltiples sesiones para alcanzar los resultados deseados.
Además, es importante saber que el blanqueamiento dental con lámpara LED es seguro siempre que se realice bajo la supervisión de un profesional o con productos aprobados.

Beneficios del Blanqueamiento Dental con LED
El blanqueamiento dental con luz LED ha ganado popularidad debido a sus múltiples ventajas frente a otros métodos de blanqueamiento. Estos son algunos de sus principales beneficios:
- Resultados visibles en poco tiempo: Gracias a la combinación del gel blanqueador y la activación mediante luz LED, es posible obtener dientes más blancos en pocas sesiones o incluso después de un único tratamiento profesional.
- Eficacia comprobada: Muchos estudios y usuarios confirman que el blanqueamiento dental LED funciona para reducir manchas dentales ocasionadas por el consumo de café, té, tabaco y otros alimentos pigmentados.
- Procedimiento no invasivo: A diferencia de otros tratamientos, no requiere desgaste del esmalte ni daña la estructura dental.
- Comodidad: Existen opciones profesionales en clínicas y dispositivos de blanqueador dental en casa, ofreciendo flexibilidad según las necesidades del usuario.
- Menor sensibilidad: Con los productos adecuados, este método puede ser menos agresivo para los dientes sensibles comparado con otros procedimientos.
¿Cuánto Dura un Blanqueamiento Dental con LED?
La duración de los resultados de un blanqueamiento dental con LED puede variar según el cuidado posterior al tratamiento y la rutina de higiene dental de cada persona. En general:
- Resultados típicos: Los efectos suelen durar entre 6 meses y un año, dependiendo del esmalte y del estilo de vida del paciente.
- Factores que influyen: El consumo frecuente de café, té, vino tinto o tabaco puede reducir el tiempo que los dientes permanecen blancos tras el tratamiento.
- Mantenimiento: Para prolongar los resultados, es recomendable seguir una rutina de higiene bucal adecuada y, si es necesario, realizar sesiones de mantenimiento con un blanqueador dental LED para uso doméstico.
- Visitas profesionales: Algunos pacientes optan por repetir el blanqueamiento dental con lámpara LED en la clínica anualmente para mantener una sonrisa impecable.
Blanqueamiento Dental LED: Precio
El precio del blanqueamiento dental con LED puede variar según el tipo de tratamiento y la ubicación de la clínica. Algunos aspectos a considerar:
- En clínicas dentales: Un tratamiento profesional de blanqueamiento dental LED suele oscilar entre 150 y 600 €, dependiendo de la experiencia del odontólogo y las características del tratamiento.
- Opciones caseras: Los kits de blanqueador dental LED para uso doméstico son más económicos, con precios que van desde los 30 € hasta los 150 €. Aunque pueden ofrecer buenos resultados, no son tan efectivos como los realizados en una clínica.
- Comparación calidad-precio: Es importante recordar que un tratamiento profesional garantiza seguridad y eficacia, mientras que las opciones caseras pueden requerir más tiempo para alcanzar resultados visibles.
Blanqueamiento Dental con Luz LED: Efectos Secundarios
Como cualquier procedimiento estético, el blanqueamiento dental con luz LED puede presentar algunos efectos secundarios leves y temporales. Los más comunes incluyen:
- Sensibilidad dental: Es frecuente experimentar sensibilidad a alimentos fríos o calientes después del tratamiento. Este efecto suele desaparecer en pocos días.
- Irritación de encías: Si el gel blanqueador entra en contacto con las encías, puede provocar irritación o enrojecimiento temporal.
- Dientes más porosos: El uso prolongado o excesivo de productos blanqueadores puede aumentar la porosidad del esmalte, aunque es poco común en tratamientos realizados por profesionales.
Es importante seguir las indicaciones del odontólogo para minimizar estos riesgos y evitar productos de dudosa procedencia.
Ventajas del Blanqueamiento Dental
El blanqueamiento dental presenta múltiples ventajas que abarcan desde aspectos estéticos hasta beneficios emocionales.
- Mejora estética: Una de las principales ventajas del blanqueamiento dental es, sin duda, la mejora estética que proporciona. Con el tratamiento adecuado, se pueden lograr dientes significativamente más blancos y brillantes, lo cual repercute en la armonía general de la sonrisa.
- Mejor estética facial: La sonrisa es un factor clave en la percepción de la belleza facial.
- Aumento de la confianza y autoestima: Al mejora la apariencia de los dientes, los pacientes suelen experimentar un cambio positivo en cómo se ven a sí mismos y cómo interactúan con los demás.
- Percepción positiva: Las personas tienden a ser juzgadas por su apariencia.
Cuidado Posterior al Blanqueamiento Dental
El cuidado posterior al blanqueamiento dental es esencial para asegurar la durabilidad de los resultados y mantener una sonrisa radiante.
Recomendaciones Dietéticas
Después de someterse a un blanqueamiento dental, es recomendable seguir una dieta blanda durante al menos 72 horas. Durante este periodo, los dientes son más susceptibles a la decoloración, por lo que se debe evitar el consumo de alimentos y bebidas que puedan manchar. Optar por alimentos más claros, como pollo, pescado, verduras blancas y pasta puede ayudar a mantener los resultados del blanqueamiento.
Higiene Dental
La higiene dental juega un papel vital en la conservación del blanqueamiento.
Hábitos Nocivos
Los hábitos nocivos tienen un impacto significativo en la salud dental y pueden acelerar la decoloración de los dientes.
Factores que Influyen en la Duración del Blanqueamiento Dental
Los tratamientos de blanqueamiento dental ofrecen resultados notables, pero su duración puede variar según diferentes factores.
- Higiene bucal: Mantener una rutina de higiene dental adecuada es fundamental.
- Tipo de tratamiento: Los métodos empleados para el blanqueamiento también influyen.
- Salud dental: La salud general de los dientes y encías afecta cómo se comportan los tratamientos de blanqueo.
- Dieta blanca: Durante al menos 72 horas tras el blanqueamiento, es recomendable evitar alimentos y bebidas que puedan manchar, como el vino tinto, el café y las salsas oscuras.
- Uso de productos adecuados: Se sugiere el uso de pastas dentales que ayuden a mantener el blanco de los dientes.
- Control regular con el dentista: Visitas periódicas al dentista para chequeos y limpiezas profesionales son fundamentales.
Contraindicaciones y Precauciones
Es fundamental tener en cuenta las contraindicaciones y precauciones relacionadas con el blanqueamiento dental. Estos tratamientos pueden no ser adecuados para todos los pacientes, y su uso indiscriminado puede provocar complicaciones.
Sensibilidad Dental
Uno de los efectos secundarios más comunes tras realizar un blanqueamiento dental es la sensibilidad dental. Muchos pacientes experimentan un aumento en la sensibilidad a temperaturas extremas, tanto frías como calientes, así como a ciertos alimentos.
La Importancia de la Limpieza Dental Profesional
La limpieza dental con ultrasonido es una de las rutinas de higiene imprescindibles para mantener una boca sana. Cepillarse los dientes después de cada comida, utilizar hilo dental y enjuagarse con un colutorio no siempre es suficiente. Imperceptiblemente, poco a poco, los residuos bacterianos se acumulan sobre todo en las zonas interdentales, en las encías o en la parte posterior de los incisivos.

¿Por Qué Hay que Hacerse Limpiezas Dentales?
En un primer momento, la placa bacteriana es una película blanda y blanquecina formada sobre todo por restos de alimentos. Un buen cepillado podría eliminarla. Sin embargo, siempre quedan áreas de difícil acceso en las que los gérmenes resisten, se hacen fuertes y comienzan a formar el sarro o tártaro dental.
El sarro es la placa dental calcificada y adherida a los dientes de tal manera que solo un dentista o un higienista dental puede eliminarla. Los profesionales de la odontología recomiendan una revisión y una limpieza dental anual como mínimo. Incluso si tus dientes tienen buen aspecto, conviene recordar que el sarro no siempre es perceptible a simple vista.
Tipos de Sarro
- Sarro supra gingival: Reconocible por su color amarillento, es el más visible y el más fácil de eliminar. Se forma por encima de la encía.
- Sarro subgingival: Se localiza por debajo de la encía. Aunque suele pasar desapercibido, es el más peligroso para la salud.
Es importante señalar que una limpieza dental profesional no es solo una cuestión estética. Por supuesto, es importante lucir unos dientes blancos y una hermosa sonrisa, pero el objetivo principal de una correcta higiene bucodental es la salud.
Limpieza Dental con Ultrasonido: El Proceso
La limpieza o profilaxis dental con ultrasonido es un tratamiento que solo puede llevar a cabo un profesional. Además de eliminar la placa bacteriana y el sarro, sirve para proteger el esmalte dental y sanar las encías. Consta de los siguientes pasos:
- Exploración: En primer lugar, el higienista debe examinar el estado de salud de los dientes y las encías del paciente. Es importante detectar si existe algún tipo de lesión, inflamación, hemorragia o alguna pieza dental en mal estado.
- Raspado: Se procede a la eliminación del sarro mediante un dispositivo llamado punta de ultrasonidos. La vibración ultrasónica de este aparato, combinada con el agua a presión que sale de la punta, deshace las calcificaciones y deja los dientes limpios. Para la eliminación del sarro subgingival, se utiliza otro instrumento ultrasónico llamado punta para periodoncia. Permite acceder a las bolsas gingivales y eliminar las calcificaciones más profundas.
- Pulido: El objetivo de esta fase es que la superficie dental quede lisa y libre de manchas.
Tipos de Limpieza Dental
Aunque la limpieza dental con ultrasonido es la más practicada, existen otros tipos de limpieza adaptados a las afecciones del paciente. Tras una atenta exploración, el profesional de la odontología determina qué tipo de profilaxis debe aplicar.
- Limpieza de rutina o Profilaxis: Es la que acabamos de describir. Se realiza a pacientes cuya salud bucodental no presenta problemas.
- Tratamiento o Mantenimiento Periodontal: Es la recomendada para pacientes con periodontitis. En este caso, además de la punta de ultrasonidos para periodoncia, se utilizan curetas manuales que permiten tratar diente por diente las bolsas periodontales y el sarro acumulado en la raíz.
- Cirugía periodontal: Cuando la periodontitis está muy desarrollada, la limpieza y el curetaje ya no son suficientes.
¿Cada Cuánto Tiempo Hay que Hacerse una Limpieza Dental?
En realidad, depende. La frecuencia puede variar en función del estado de salud del paciente. Pero no se debería dejar pasar más de un año. Y quienes padecen gingivitis o periodontitis deberían realizarse una profilaxis cada 3 o 4 meses. En todo caso, siempre se debe visitar al dentista con regularidad.
La Placa Dental: Un Enemigo Silencioso
Uno de los problemas mas frecuentes de la salud bucal, es la placa dental. Muchas veces la placa dental no es visible, pero puede afectar mucho a tus dientes y encías si no lo tratas a tiempo.
¿Qué es la Placa Dental?
La placa dental es una película pegajosa e incolora compuesta por bacterias, saliva y restos de alimentos. Se forma constantemente sobre los dientes y encías, especialmente después de comer. Es verdad que al principio, no parece ser un problema pero si no se elimina, con una buena higiene bucal, la placa dental se endurece y se convierte en lo que se llama sarro. Entonces complica la remoción de la placa dental.
¿Cómo Afecta la Placa Dental a Tus Dientes?
Cuando esta placa dental no se quita adecuadamente, las bacterias que contiene comienzan a producir ácidos que atacan el esmalte dental. Esto puede producir caries, sensibilidad dental y desgaste del esmalte. También, la acumulación de placa en la línea de las encías puede provocar inflamación, sangrado y enfermedades como la gingivitis o la periodontitis, que en casos graves puede derivar en la pérdida de dientes.
¿Cómo se Puede Eliminar la Placa Dental?
Es posible eliminar la placa dental, por ello necesitas tener una rutina adecuada de higiene bucal. Puedes seguir estos consejos sencillos pero importantes:
- Cepillares los dientes regularmente: Cepilla tus dientes al menos dos veces al día, usando un cepillo de cerdas suaves y pasta dental con flúor.
- Hacer uso del hilo dental: Limpia entre los dientes diariamente para remover la placa que el cepillo no alcanza.
- Enjuague bucal: Usa enjuague antibacteriano para reducir las bacterias y mantener un aliento fresco.
- Visitas al dentista: Realiza limpiezas profesionales cada seis meses. El dentista puede detectar y eliminar la placa endurecida (sarro).
- Buena alimentación: Limita el consumo de azúcares y almidones, que alimentan a las bacterias productoras de placa.
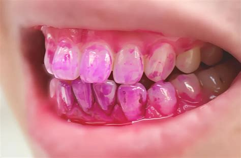
Reveladores de Placa: Un Aliado para la Higiene Bucal
Cuidar tu boca es una inversión en salud. Existen diferentes marcas de reveladores dentales, pero Plac Control es la más conocida, por lo que se emplea como nombre genérico del producto. Para revelar las acumulaciones de bacterias en los dientes y encías, Plac Control cuenta con agentes específicos capaces de teñir -generalmente de un rosa intenso-, la placa bacteriana o biofilm.

¿Cómo Funcionan los Reveladores de Placa?
La placa dental es una película blanquecina que se va depositando en la superficie dental, pero también en las encías. En un inicio, cuando la placa está blanda y no se ha solidificado formando el sarro dental o cálculo, el biofilm no es visible a simple vista. En este sentido, el uso del revelador de placa es muy útil, pues permite el perfeccionamiento y control de la limpieza oral.
Tipos de Reveladores de Placa
Plac Control se comercializa en diferentes formatos, siendo el paciente el que puede optar por uno u otro en función de su gusto.
- Solución líquida: Basta con echar 2 o 3 gotas del producto en la lengua. Tan solo hay que pasar la lengua por toda las superficies dentales y gingivales para que se mezcle bien con la saliva y se impregne toda la boca. Este formato es más recomendable en pacientes que tengan algún grado de discapacidad y para su aplicación pueden requerir de ayuda.
- Pastillas masticables: Lo más eficaz es que el control de la placa se realice después de las rutinas habituales de higiene.
Plac Control es una forma muy útil y sencilla de mejorar nuestras rutinas de higiene. Al final, el objetivo es conseguir la mejor limpieza posible para evitar futuros problemas bucales, como la aparición de caries o de sarro dental.
Recuerda que en la clínica dental es posible recurrir a este producto para optimizar la higiene de tu sonrisa.
¡Cuidar tu boca es una inversión en salud!
tags: #placa #blanqueadora #dental