La retracción gingival, también conocida como recesión gingival o encías retraídas, es una condición en la que el tejido de las encías se retrae, dejando expuesta una mayor parte del diente o incluso su raíz. Este trastorno es relativamente frecuente y, aunque lento, ya que aparece gradualmente, puede causar problemas importantes.

Uno de los principales motivos de consulta al dentista es precisamente la retracción de la encía. El paciente, en general, viene asustado porque ha notado que en los últimos tiempos los dientes se le ven más largos. En Ortondoncia Rivero te damos el mejor asesoramiento y tratamiento.
Causas de la pérdida de altura de la encía
Las causas que generan esta subida de la encía o, más bien, pérdida de inserción pueden ser varias:
- Gingivitis y/o Enfermedad periodontal
- Frenillos insertados
- Bruxismo
- Problemas oclusales, generando microtraumatismos entre los dientes
- Inadecuados tratamientos ortodóncicos
- Cepillado inadecuado: con cepillos muy duros y técnica incorrecta
- Fumar
- Enfermedades sistémicas como la diabetes
Existen varios motivos por los que se retraen las encías, y pasa con frecuencia que el paciente acude con un diagnóstico erróneo. Por este motivo vamos a repasar las distintas causas en detalle para intentar despejar algunas dudas y bastantes mitos.
La constante y prolongada inflamación de las encías por la presencia de placa bacteriana dental y cálculo (sarro) produce una destrucción del hueso que sustenta los dientes debido a la periodontitis que sufre el paciente.
Seguramente la principal causa de retracción gingival sea el cepillado agresivo. Cada año acuden a nuestra consulta muchos pacientes asustados porque la encía se ha movido y tienen miedo de perder los dientes.
En estos casos repasamos con el paciente su historial para determinar por qué en esas localizaciones se ha perdido el soporte óseo. Las principales causas suelen ser un tratamiento ortodóntico realizado en el pasado, una malposición dental o biotopos muy finos.
Normalmente, cuando estamos ante una de estas situaciones y ante un paciente que se cepilla mucho o agresivamente la encía, que recordemos que ya no tienen hueso de soporte en parte de su superficie, empezará a moverse.
La presencia de piercing en labio superior o inferior pueden provocar la retracción de la encía porque suponen un trauma constante en la encía.
¿Se puede poner ortodoncia con encías retraídas?
Sí, en muchos casos es posible realizar tratamientos de ortodoncia incluso cuando hay encías retraídas. Sin embargo, antes de proceder con la ortodoncia, es fundamental abordar cualquier problema periodontal subyacente, como la gingivitis o la enfermedad periodontal.

Esto puede implicar coordinar una valoración con un periodoncista para determinar el estado de salud de las encías y establecer un plan de tratamiento adecuado. En algunos casos, es necesario realizar injertos de tejido blando o incluso de tejido artificial para corregir la recesión gingival antes o durante el tratamiento de ortodoncia.
Además, es importante que el ortodoncista evalúe cuidadosamente la situación bucal del paciente, incluida la salud periodontal, antes de comenzar cualquier tratamiento ortodóncico para garantizar resultados óptimos y evitar posibles complicaciones.
Poner ortodoncia con encías retraídas es posible, pero requiere una evaluación profesional rigurosa. Con un plan adecuado y cuidados personalizados, es posible alinear los dientes sin comprometer la salud de las encías.
La ortodoncia y la retracción gingival
Entre los falsos mitos que rodean la ortodoncia, se dice que es tratamiento que provoca recesiones gingivales, dejando expuestas las raíces de los dientes. La ortodoncia, si no se planifica correctamente, puede agravar la recesión gingival. Especialmente si los movimientos dentales son agresivos o se realizan sin un estudio previo del estado de las encías.
Las recesiones gingivales, definidas por primera vez en 1972 por Lang y Löe, consisten en la exposición parcial de la raíz dental debido a migración apical del margen gingival. Las recesiones gingivales pueden suponer hipersensibilidad dental y conllevar a la aparición de caries radiculares.
Sin embargo, si las fuerzas de ortodoncia son excesivas, muy prolongadas en el tiempo, o descontroladas por falta de supervisión del ortodoncista, se invaden estructuras de poco soporte alveolar. Pueden crear daños irreversibles en los tejidos que rodean los dientes. En algunos casos, pueden aparecer recesiones gingivales.
Un mal tratamiento ortodóncico si puede ser la causa de recesiones gingivales, al realizar malos diagnósticos y planes de tratamiento, no respetando los limites biológicos del hueso o aplicando fuerzas excesivas en el movimiento dentario, siendo cada vez más frecuente ver pacientes con raíces de dientes fuera de hueso cortical con los problemas irreversibles que ello genera.
El mejor ortodoncista tendrá siempre un enfoque global de la salud del paciente y priorizará la salud buco-dental y periodontal antes de empezar un tratamiento de ortodoncia con cualquier técnica: brackets , Invisalign …diagnosticando individualmente cada caso con los registros necesarios, como un TAC para diagnosticar la relación del hueso de soporte de cada diente y valorar junto con el periodoncista el mejor tratamiento al paciente.
Recordemos que los movimientos de ortodoncia correctos son aquellos que logran el mayor movimiento dental con fuerzas leves. El movimiento dental se realiza gracias y a través del periodonto. Es el complejo que está en íntima relación y forma parte de la sujeción del diente.
Es responsabilidad del ortodoncista, saber si los movimientos a realizar van a favorecer, mantener, o por el contrario, perjudicar la salud periodontal del paciente. Gracias al correcto y exhaustivo estudio, de cada paciente, podemos llegar a correctos diagnósticos. Lo cual permite realizar tratamientos con movimientos favorables, que mejoran las recesiones gingivales existentes.
¿Se puede solucionar la pérdida de encía?
Lo primero que debemos hacer es detectar las causas y dar las soluciones adecuadas para cada situación. Por ello en nuestra Clinica dental Madrid Ortodoncia Rivero coordinaremos una valoración por el periodoncista para conseguir una buena salud periodontal con los tratamientos adecuados y siempre con un estudio periodontal donde poder registrar y evaluar la evolución del paciente.
Cuando los niveles perdidos no comprometen a la pieza dentaria no se suelen realizar tratamientos. Si los niveles perdidos y las características de la encia lo permiten lo que se realizan son injertos concectivos con tejido blando del propio paciente preferentemente o de tejido artificial de colágeno.
La relación interdisciplinar de especialistas es imprescindible para conseguir una buena salud bucal , por ello si el problema de la recesión es un tropiezo dentario por el mal ajuste de los dientes, realizar un injerto no solucionaría el problema sino se soluciona el problema de oclusión. El trabajo en equipo, determinará según los casos, si se realiza el injerto antes o después del tratamiento de ortodoncia ya que cada caso tiene su prescripción.

Cuando la causa de la retracción no es periodontal y se debe sobre todo a un cepillado agresivo, existen diferentes alternativas. Sin embargo, esto no es necesariamente motivo de preocupación para el paciente que la mayoría de las veces lo que demanda es salud y medidas preventivas.
Lo primero que debemos detectar son las causas que producen las recesiones gingivales. De esta forma podemos encontrar las soluciones adecuadas para cada situación. Cuando las recesiones gingivales no comprometen la integridad del diente. No se suelen realizar tratamientos gingivales a no ser que exista un compromiso estético que exija un recubrimiento gingival.
La relación interdisciplinar de especialistas es imprescindible para una buena salud oral. Así, si la recesión viene causada por una oclusión traumática, un injerto no será la solución si no mejoramos la oclusión previamente. En muchos casos, se debe realizar primero una corrección de la posición dental. Luego, se valora la necesidad de hacer el injerto gingival.
¿Puede la Ortodoncia mejorar la perdida de encía?
El objetivo de un buen tratamiento ortodóncico es conseguir una buena oclusión y función, consiguiendo con ello restablecer el equilbrio tanto muscular, articular y dentario con los tejidos que soportan al diente. Al corregir los problemas de oclusión como una mordida cruzada, topiezos en mayor o menor medida, vamos a conseguir que el soporte gingival se estabilice y no se siga deteriorando y si es necesario una vez finalizada la ortodoncia realizar los injertos oportunos.
El tratamiento de ortodoncia en sí, no causa recesiones gingivales, pero sí es un factor predisponente. Por ejemplo, si ya existe un proceso previo de pérdida ósea debido a la enfermedad periodontal no controlada, la ortodoncia puede agravarlo.
La ortodoncia puede considerarse ser un factor predisponente cuando no se mantienen buenos niveles de higiene bucodental. Puede producir inflamación de los tejidos que sostentan los dientes. En Smileline Clinic, insistimos tanto en la enseñanza de una correcta higiene oral en todos los pacientes que están en tratamiento de ortodoncia.
El tratamiento de ortodoncia se convierte en una excelente solución para los pacientes que padecen o han padecido enfermedades periodontales.
Tratamientos para la retracción de encías
La detección y el tratamiento precoces de las encías retraídas son importantes para evitar daños mayores y restaurar el tejido gingival. Si no se trata, la retracción de las encías puede provocar la pérdida de dientes y otros problemas dentales. Existen tratamientos que no tienen porqué conllevar una pequeña intervención quirúrgica.
- El raspado y alisado radicular es un procedimiento de limpieza profunda que elimina la placa y el sarro de los dientes y las raíces.
- Se pueden utilizar antibióticos y colutorios para tratar la enfermedad de las encías y prevenir daños mayores en las encías.
- Si los tratamientos no quirúrgicos no son eficaces, puede ser necesario recurrir a tratamientos quirúrgicos.
- La cirugía de injerto gingival consiste en tomar tejido del paladar o de otra fuente donante y adherirse a la zona afectada.
- La regeneración consiste en utilizar materiales especiales para regenerar el hueso y los tejidos que soportan los dientes.
- La cirugía de reducción de bolsas consiste en replegar el tejido gingival y eliminar las bacterias y la placa de la raíz del diente.
Después del tratamiento, es importante seguir las instrucciones de los profesionales de Dental Care Barcelona para la correcta recuperación. Esto puede incluir evitar ciertos alimentos o actividades durante un período de tiempo.
Para evitar una mayor recesión de las encías, es importante practicar una buena higiene bucal, que incluye cepillarse los dientes dos veces al día, usar hilo dental a diario y utilizar un enjuague bucal antiséptico.
Además de ser constante en el cepillado se recomienda hacerlo al levantarse, tras cada comida y antes de dormir en la noche ¡Recuerda! La placa bacteriana causante de todos estos procesos empieza a adherirse tan sólo unos 20 o 30 minutos después de la comida.
Remedios caseros para la retracción de encías
Aunque los remedios caseros no sustituyen al tratamiento profesional, pueden ayudar a prevenir o detener la retracción de las encías.
Factores predisponentes
Son lo que llamamos las causas predisponentes y son las que hacen que unos pacientes tengan más retracción que otros (que se les baje más la encía). Como ya hemos comentado que la encía del paciente sea genéticamente más o menos gruesa es relevante ya que las encías gruesas son más estables y las encías finas son más inestables.
Se considera una agresión cualquier acontecimiento traumático que sucede alrededor de la encía sea éste natural o infligido por el propio paciente.
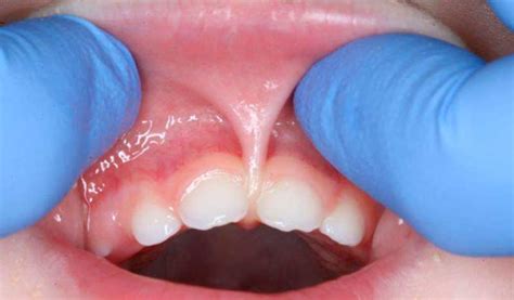
Suelen ser factores anatómicos o derivados de una parafunción masticatoria que hacen al paciente más propenso a sufrir recesiones gingivales. Inserción alta del frenillo o fondo de vestíbulo corto: cuando los frenillos labiales inferiores poseen una inserción alta producen tracción (o estiramiento) sobre la encía (incluso con el movimiento labial), desencadenando un problema mucogingival.
Los frenillos son bandas de tejido conectivo fibroso, muscular o ambos, que suelen estar situados en la línea media bucal. Todos tenemos frenillos bucales, ya que son de origen congénito. Habitualmente, los de mayor tamaño son los frenillos labiales (debajo del labio superior) y los linguales (debajo de la lengua).

Inflamación de las encías y brackets
Los problemas relacionados entre los brackets, encías inflamadas o pérdida de encía por ortodoncia son de los más frecuentes en las clínicas dentales. El enrojecimiento de las encías por uso de brackets y el sangrado de las mismas, bien de forma espontánea, pero sobre todo en el momento de la higiene dental o incluso la presencia de dolor y necesidad de comer nada más que alimentos blandos, son los síntomas más frecuentes para saber que se está produciendo una inflamación de las encías.
Si el paciente no busca solventar esta situación inmediatamente la relación entre encías inflamadas con ortodoncia y el uso de brackets será traumática, ya que aparte de afectar a las encías, puede dañar el hueso y llegar a causar la pérdida del mismo.
En pacientes adultos no es extraño encontrarse inflamación de las encías en el momento de acudir a consulta con el ortodoncista para mejorar su sonrisa y atender algún problema de maloclusión en ella.
La encía en presencia constante de bacterias reacciona aumentando su tamaño, en ocasiones de forma exagerada, llegando incluso a cubrir parte del diente y en consecuencia a cubrir parte del Brackets y aparecer grandes llagas en la boca, como si se escondieran o se acortara el diente, o también como si el aparato se clavara en la encía.
Para la correcta higiene oral se debe usar cepillo dental, realizar los movimientos adecuados aproximadamente durante al menos 3 minutos y utilizar regularmente enjuague bucal e hilo dental.
Conclusión
La retracción de las encías puede ser un problema dental grave si no se trata. Conocer las causas y las opciones de tratamiento de las encías retraídas puede ayudarle a tomar el control de su salud dental y evitar daños mayores. Si notas algún signo o síntoma de encías retraídas, es importante que te pongas en contacto con Dental Care Barcelona para pedir una cita con alguno de nuestros profesionales lo antes posible.