En nuestra clínica dental, entendemos que una sonrisa blanca y saludable es el deseo de muchas personas. Los dientes amarillos causan un efecto antiestético en el aspecto de las personas y transmiten la impresión de mala higiene aunque, en muchas ocasiones, no sea cierto. Por este motivo, tener los dientes amarillentos se ha convertido en una de las cuestiones de estética dental más comunes en los últimos años. A lo largo de nuestra trayectoria, hemos tratado a numerosos pacientes preocupados por el cambio de color de sus dientes, ayudándolos a recuperar su blancura de manera efectiva y segura. El tono de los dientes no solo afecta la estética, sino también la confianza y autoestima de quienes lo padecen.
Si has notado que tus dientes han cambiado de tono y quieres devolverles su blancura, en nuestra clínica estamos listos para ayudarte con soluciones personalizadas y seguras. No dudes en consultarnos para encontrar el tratamiento que mejor se adapte a tus necesidades.
¡LO QUE NADIE TE DICE 🚫 DEL BLANQUEAMIENTO DENTAL 💔! Deberías ver este vídeo 👀.
Causas Comunes de los Dientes Amarillos
Los dientes amarillos pueden aparecer por múltiples razones, y no siempre están relacionados con una higiene deficiente. Los dientes amarillos pueden ser causados por una variedad de factores, algunos de los cuales están relacionados con nuestros hábitos diarios y otros con factores genéticos o médicos. Las principales causas de unos dientes amarillos vienen determinadas por múltiples factores, aunque, muchas de ellas, están relacionadas con los malos hábitos del día a día.

1. Alimentación y Bebidas
El consumo de ciertos alimentos y bebidas también puede afectar el color dental. La dieta juega un papel crucial en la apariencia de los dientes. Algunos alimentos y bebidas contienen pigmentos que pueden manchar los dientes con el tiempo.
Café, té, vino tinto y refrescos oscuros contienen pigmentos que se adhieren al esmalte, provocando manchas. Las bebidas oscuras como café, té y vino tinto contienen cromógenos, sustancias que se adhieren al esmalte dental y lo manchan con el tiempo. Existen numerosos alimentos y bebidas como los frutos rojos, el curry, la salsa de soja, la cúrcuma, el té o el café, entre otros, que contienen pigmentos de color.
Estos pigmentos se pueden filtrar en la dentina y teñirla, amarilleando, así, los dientes. Algunos alimentos y bebidas contienen pigmentos que pueden manchar los dientes con el tiempo. El café, el té, el vino tinto y las bebidas gaseosas oscuras son grandes culpables. Existen algunos antibióticos como las tetraciclinas, antihistamínicos y antipsicóticos, que pueden alterar la tonalidad del esmalte dental, provocando manchas en los dientes y volviéndolos de un color más oscuro.
2. Higiene Bucal Deficiente
Una buena higiene bucal es fundamental para evitar la aparición de dientes amarillos. Una higiene dental inadecuada permite la acumulación de placa y sarro en los dientes, lo que puede causar decoloración. La falta de higiene bucal provoca que las bacterias y los azúcares de los alimentos se vayan depositando en los dientes, se cristalicen y acaben formando sarro (acumulación de placa bacteriana).
El cepillado debe realizarse al menos dos veces al día con una pasta dental que contenga agentes blanqueadores suaves. El uso de un cepillo eléctrico puede mejorar la eliminación de manchas superficiales en comparación con un cepillo manual. Unida a la causa anterior, la falta de higiene bucal es uno de los mayores causantes de dientes amarillos.

3. Tabaquismo
No fumar es una de las mejores decisiones para mantener una sonrisa blanca. El alquitrán, la nicotina y otras sustancias químicas hacen que el tabaco se convierta en uno de los principales causantes de tener los dientes amarillos. Fumar cigarrillos o masticar tabaco expone los dientes a nicotina y alquitrán, que se adhieren al esmalte y lo tiñen. Se considera un catalizador, ya que estas sustancias nocivas se van depositando en los poros del esmalte dental, provocando un cambio en el color natural y volviéndolos más amarillos.

4. Factores Genéticos y Edad
Otros factores incluyen el envejecimiento, el uso de algunos medicamentos y la predisposición genética. La genética también juega un papel en la coloración de los dientes. Los dientes, con el paso del tiempo, se vuelven más amarillos, incluso llevando a cabo una buena higiene bucal. Con el tiempo y de forma natural, los dientes se van oscureciendo conforme pasa el tiempo. El factor genético puede afectar al grosor del esmalte y a la dentina. El grosor y la porosidad del esmalte pueden venir determinados por condiciones genéticas, pues, cuanto más poroso sea el esmalte, más propenso será a mancharse.
5. Medicamentos
Algunos medicamentos tienen como efectos adversos la aceleración del desgaste y la alteración del color. Las tetraciclinas, un tipo de antibiótico muy popular en la época de los 60 y 70 provocan oscurecimientos severos del esmalte, formado líneas horizontales en los dientes si se toman durante la infancia, cuando los dientes aún se están formando.
¿Por qué se ponen los dientes amarillos? 4 Causas principales
- Tabaquismo
- Higiene bucodental deficiente
- Alimentos
- Exceso de flúor
¿Por qué tengo los dientes amarillos si me los lavo?
- Dientes amarillos por genética
- Dientes amarillos por enfermedad
- Fármacos
- Edad
Prevención de los Dientes Amarillos
La prevención es clave para mantener los dientes blancos. Para evitar que los dientes se tornen amarillos, es recomendable aumentar el consumo de alimentos con efecto limpiador, como manzanas, zanahorias y apio, que ayudan a eliminar residuos y estimulan la producción de saliva, protegiendo el esmalte. Todos deseamos una sonrisa brillante y blanca, pero con el tiempo y debido a varios factores, los dientes pueden volverse amarillos.
- Mantén una higiene bucal adecuada: cepillándote los dientes al menos dos veces al día con un dentífrico profesional y utilizando hilo dental diariamente para eliminar la placa entre los dientes y en la línea de las encías.
- Visita a tu dentista regularmente: las limpiezas profesionales y revisiones ayudan a prevenir y detectar problemas antes de que se agraven.
- Reduce el consumo de alimentos y bebidas que manchan los dientes: Evitar bebidas carbonatadas y azucaradas: este tipo de productos provocan una reacción química en los dientes que erosiona el esmalte dental, volviéndolos, así, más propensos a sufrir decoloraciones y caries.
- No fumar: el tabaquismo es uno de los hábitos más perjudiciales para la salud bucodental, ya que la nicotina que contiene se adhiere al esmalte dental, tiñéndolo de amarillo.
- Limitar el consumo de bebidas y alimentos pigmentados: algunos alimentos como los frutos rojos o la salsa de soja, bebidas como el café, el té o el vino tinto y condimentos como el curry o la cúrcuma pueden causar manchas o cambios de color en el esmalte dental, debido a su alta pigmentación.
Opciones de Tratamiento Profesional
Si ya tienes los dientes amarillos, existen varias opciones para mejorar su apariencia. Existen diversos tratamientos que ayudan a recuperar el tono blanco de los dientes.
1. Limpieza Dental Profesional
Una limpieza dental profesional puede eliminar las manchas superficiales causadas por el sarro y la placa. Esta limpieza va mucho más allá de la que se puede hacer en casa. Esta limpieza dental profesional emplea equipos de última generación que liberan a tus dientes de todo el sarro acumulado y cristalizado. Se trata de una limpieza mucho más profunda, la cual también previene de ciertas enfermedades bucodentales como la periodontitis, la caries o la gingivitis.

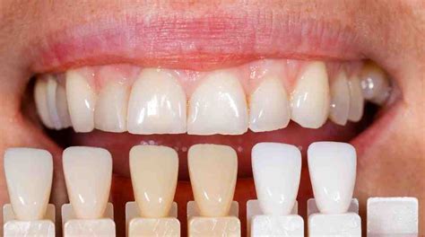
2. Blanqueamiento Dental
El blanqueamiento dental es una de las soluciones más populares y efectivas para aclarar los dientes. Uno de los más populares es el blanqueamiento dental, un procedimiento seguro y eficaz que utiliza peróxido de hidrógeno o peróxido de carbamida para eliminar manchas y aclarar el color de los dientes. Este procedimiento puede realizarse en la clínica dental o en casa bajo la supervisión de un dentista. Es rápido e indoloro y obtiene muy buenos resultados en cuestión de minutos. El blanqueamiento dental es un tratamiento de estética cuyo fin es eliminar las manchas en los dientes. La técnica consiste en usar gel de peróxido de hidrógeno. En la segunda sesión, se realiza el tratamiento del gel con la tecnología de luz fría.

3. Carillas Dentales
Las carillas dentales son láminas finas de porcelana o composite que se adhieren a la parte frontal de los dientes. Para casos más severos de decoloración, las carillas dentales pueden ser una alternativa. Son una solución estética que no solo mejora el color, sino también la forma y la posición de los dientes. Se trata de unas finas láminas, normalmente de composite o de porcelana, que se adhieren a la superficie del diente. Las carillas tienen una finalidad meramente estética, ya que permiten corregir la forma, el color o el tamaño del diente.

Tabla Resumen de Causas y Soluciones
| Causa | Prevención | Tratamiento |
|---|---|---|
| Alimentación y bebidas pigmentadas | Reducir el consumo, enjuagar la boca después de consumir | Limpieza dental profesional, blanqueamiento dental |
| Higiene bucal deficiente | Cepillado regular, uso de hilo dental | Limpieza dental profesional |
| Tabaquismo | Dejar de fumar | Blanqueamiento dental, carillas dentales |
| Factores genéticos y edad | No aplicable | Blanqueamiento dental, carillas dentales |
Tener dientes amarillos puede ser frustrante, pero hay muchas maneras de prevenir y tratar esta condición. En nuestra clínica dental, estamos aquí para ayudarte a mantener una sonrisa saludable y radiante. Si tienes alguna duda o necesitas una consulta, no dudes en contactarnos.