La salud dental es una parte fundamental de nuestro bienestar general. En este artículo, nos enfocaremos en un problema dental común pero crucial: la fístula dental. En Dental Care Barcelona, nos enorgullece ser una clínica dental cercana, de calidad y con una amplia experiencia avalada por todos los miles de pacientes satisfechos. En este artículo, examinaremos las causas por las que se producen las fístulas dentales, así como sus posibles consecuencias en caso de no ser tratadas adecuadamente.
Si te preguntas qué es una fístula dental y cómo se trata, has llegado al lugar indicado. En este artículo, te explicamos cuáles son sus características, a qué se debe y qué tratamientos existen para eliminarla.

¿Qué es una fístula dental?
Una fístula dental es una pequeña abertura o canal anormal que se forma en la encía o en la región cercana a la raíz de un diente infectado. Llamamos fístula dental al canal que se origina desde la zona infectada de un diente hasta la superficie exterior de la encía. Una fístula dental es una afección oral que implica la formación de un conducto anormal entre el diente y el exterior de la boca. Esta conexión anormal se crea como resultado de una infección dental que ha progresado y se ha extendido más allá de la raíz del diente, formando un absceso.
La fístula actúa como un conducto de drenaje para permitir que el pus y los desechos de la infección se eliminen del cuerpo. En ese canal se acaba depositando pus y, conforme se llena, se crea una protuberancia o grano próximo a las encías. Es el propio organismo quien crea esta fístula, y lo hace tras detectar una infección dental.
Por lo tanto, aunque es una dolencia bucodental y una infección, también es un mecanismo que sirve de alerta. Una fístula dental es una lesión que se desarrolla como resultado de una infección dental no tratada.
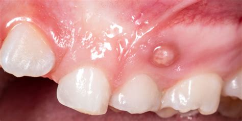
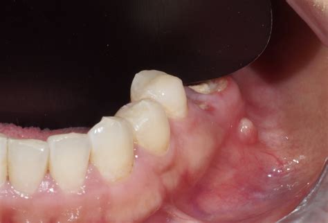
¿Te ha aparecido un bulto en la encía? ¿Sabías que puede tratarse de una fístula dental? Una fístula dental es un pequeño bulto que aparece en la encía o el paladar como consecuencia de una infección oral. Con menos frecuencia, también puede surgir en la cara o el cuello. Asimismo, se caracteriza por la supuración de pus. Por último, puede ir acompañada de dolor o fiebre.
Fístula o flemón
Es posible que no tengas clara la diferencia entre estas dos afecciones que se caracterizan por un abultamiento en la encía.
Causas de la formación de una fístula dental
La creación de una fístula dental se produce debido a la propagación de una infección en el diente o en los tejidos circundantes. Normalmente, la infección se origina en el interior del diente, en la pulpa dental, donde se encuentra el tejido blando, los nervios y los vasos sanguíneos. La formación de una fístula dental generalmente comienza con una caries dental no tratada.
La formación de una fístula dental puede ser el resultado de distintos motivos y causas. Las fístulas dentales pueden tener varias causas, pero generalmente están asociadas con problemas de salud oral que han progresado sin tratamiento adecuado.
Las fístulas dentales se producen cuando una inflamación de la raíz del diente se extiende al tejido circundante y se extiende más allá.
Las bacterias que pueden infectar nuestros dientes suelen producirse por una mala y/o insuficiente higiene bucodental, una alimentación alta en azúcares o alguna lesión concreta.
Causas comunes:
- Caries profunda: es la causa principal de la mayoría de fístulas dentales. La caries se va extendiendo hasta atravesar el nervio y llegar a la raíz del diente. Cuando el pus se acumula, busca un canal de salida hacia los tejidos blandos de la encía.
- Infecciones bacterianas: Las infecciones bacterianas en la boca, como la periodontitis o la pulpitis, también pueden provocar la formación de fístulas dentales.
- Traumatismos dentales: Los traumatismos dentales, como golpes o caídas, también pueden desencadenar la formación de fístulas dentales. Un traumatismo en un diente puede dañar el tejido pulpar y provocar una infección que se propague a través de la raíz del diente hacia los tejidos circundantes.
- Muelas del juicio: los cordales, comúnmente conocidos como las muelas del juicio, son los que erupcionan en la edad adulta al final de nuestra boca y que puede producirnos algún que otro problema. Como su limpieza, por si situación, es algo complicada, puede producirnos caries al quedar alimentos atrapados en los huecos y encías.
- Enfermedad periodontal: La periodontitis afecta a nuestras encías de manera grave, infectándolas y dañando el tejido blando. Esta patología puede llegar al hueso dentario.

👉 ¿Sabes cómo se quita un BULTO en la ENCÍA? 👄 TIPOS de bulto y CÓMO ELIMINARLOS
Síntomas de una fístula dental
Una fístula dental puede manifestarse a través de varios síntomas que indican la presencia de una infección en el diente o en los tejidos circundantes. Es importante saber detectar estos síntomas para buscar atención dental inmediata y recibir el tratamiento adecuado. Es importante reconocer los síntomas de una fístula dental para realizar tratamiento lo antes posible.
Con cualquiera de estos síntomas, lo mejor es que recurras a tu dentista para que realice el diagnóstico y, después, aplique un tratamiento para tu fístula dental.
Síntomas comunes:
- Dolor e inflamación: Una de las primeras señales de una fístula dental es el dolor en la zona afectada. El dolor es uno de los síntomas más característicos de una fístula dental. Puede manifestarse como un dolor punzante, pulsátil o constante en el área del diente afectado. Este dolor puede empeorar al masticar, hablar o aplicar presión sobre el diente comprometido. Al principio, las encías se inflaman ligeramente y enrojecen. Con el tiempo, la fístula dental se llena de pus y aparece un dolor punzante. Si se aplica mucha presión, el pus drena hacia la cavidad oral.
- Abscesos dentales: La presencia de una fístula dental puede dar lugar a la formación de abscesos dentales. Un absceso dental es una acumulación de pus causada por una infección bacteriana en el tejido dental. En el caso de una fístula dental, el absceso puede manifestarse como una protuberancia roja y dolorosa en las encías cerca del diente afectado. Esta protuberancia puede estar acompañada de sensibilidad al tacto y al calor, así como de hinchazón en el área circundante.
- Mal aliento: La infección asociada a una fístula dental puede causar mal aliento persistente, también conocido como halitosis.
- Movilidad dental: En algunos casos, las fístulas dentales pueden provocar una pérdida gradual de soporte dental, lo que resulta en una mayor movilidad de los dientes afectados.
- Cambios en el sabor y olor de la saliva: Los pacientes con fístulas dentales también pueden experimentar cambios en el sabor y olor de la saliva. Esto se debe a la presencia de pus y desechos bacterianos que se acumulan en el conducto de la fístula y se mezclan con la saliva.
Diagnóstico de una fístula dental
Para diagnosticar esta afección, el dentista examinará el bulto y hará una radiografía oral para evaluar su tamaño y su alcance.
El diagnóstico de una fístula dental generalmente se realiza mediante un examen clínico realizado por un dentista. Nuestro dentista examinará la cavidad oral y buscará signos de inflamación, abscesos o salidas de pus cerca de los dientes afectados.
El odontólogo, tras una revisión radiográfica, encontrará la fuente del problema, ofrecerá una serie de protocolos terapéuticos para el alivio temporal del dolor, si existiera, y elaborará un plan para curar el problema dental subyacente.
Tratamientos para una fístula dental
Una vez realizado el diagnóstico, el tratamiento dependerá de la causa subyacente y la gravedad de la infección. El tratamiento de una fístula dental se centra en eliminar la infección y restaurar la salud del diente afectado. En algunos casos, puede ser necesario drenar el absceso para aliviar el dolor y la presión. En la mayoría de las fístulas, es imprescindible la toma de medicación antibiótica.
Opciones de tratamiento:
- Eliminación de la fuente de infección: Si la fístula dental está causada por una caries, se procederá a tratarla mediante la eliminación del tejido afectado y la aplicación de un empaste.
- Tratamiento de conducto: En casos en los que la infección ha afectado la pulpa dental y el tejido interno del diente, se puede requerir un tratamiento de conducto. Cuando la causa de la fístula dental es una caries profunda que ha llegado al nervio, lo más probable es que el odontólogo recomiende llevar a cabo una endodoncia. Este tratamiento de conductos del diente tiene la finalidad de retirar el nervio y sellar los canales cuando la infección ha llegado al interior de la pieza dental.
- Extracción dental: En situaciones más graves, cuando el diente está severamente dañado o no es viable para el tratamiento, puede ser necesario extraerlo. En casos graves de fístula dental, donde el daño al diente es extenso o el tratamiento endodóntico no es posible, puede ser necesario extraer el diente afectado. En ocasiones, el profesional quizás determine que no se puede salvar la pieza y proponga su extracción, que es lo que se conoce como exodoncia.
- Drenaje del absceso: En los casos menos graves de fístula dental, es posible que el enfoque inicial sea un tratamiento conservador. El dentista puede realizar un drenaje incidiendo el absceso para permitir que el pus y los desechos se eliminen del área afectada.
- Antibióticos: De forma paralela a estos tratamientos, el dentista podría prescribir antibióticos para tratar la infección subyacente.
- Tratamiento periodontal: Si el origen de la fístula está relacionado con una enfermedad periodontal avanzada, el dentista realizará un tratamiento específico para eliminar la infección y otros focos de bacterias presentes en la boca. Por otro lado, si sufres una patología periodontal, es aconsejable que te hagas limpiezas profesionales o mantenimientos periodontales con cierta frecuencia.
¿Cómo prevenir la formación de fístulas dentales?
Prevenir la formación de fístulas dentales es fundamental para mantener una salud bucal óptima. La prevención es clave para evitar la formación de fístulas dentales y mantener una buena salud oral. La principal causa de una fístula dental es la falta de tratamiento de una infección dental.

Consejos para la prevención:
- Mantener una buena higiene oral: Cepíllate los dientes al menos dos veces al día con un cepillo de dientes de cerdas suaves y utiliza hilo dental para eliminar la placa y los restos de alimentos entre los dientes. Una buena higiene oral es la base para prevenir una amplia gama de problemas dentales, incluidas las fístulas. El mejor modo de prevenir cualquier infección oral consiste en mantener una buena higiene dental a diario. De tal forma, se evita la acumulación de bacterias y, por lo tanto, la aparición de placa. Esta es la que, con el paso del tiempo, ocasiona sarro y aumenta el riesgo de padecer caries, gingivitis, etc. Una limpieza correcta de los dientes implica el cepillado después de cada comida y el uso de hilo dental una vez al día.
- Visitar regularmente al dentista: Acude a revisiones dentales periódicas, al menos cada seis meses, para un chequeo exhaustivo de tu salud bucal. Las visitas regulares al dentista son esenciales para detectar y tratar problemas dentales en etapas tempranas, antes de que se conviertan en afecciones más graves como las fístulas dentales. Acudir al dentista de manera regular es fundamental para detectar y tratar cualquier problema dental a tiempo.
- Tratar las caries y enfermedades periodontales de manera oportuna: Si se detecta una caries dental o enfermedad periodontal, es importante tratarlas de inmediato. Las caries sin tratar y la enfermedad periodontal avanzada pueden causar infecciones y provocar la formación de fístulas dentales. El tratamiento oportuno de caries y enfermedades periodontales es crucial para prevenir la formación de fístulas dentales. Trata las caries y otros problemas dentales a tiempo: no ignores las caries u otros problemas dentales.
- Evitar el consumo excesivo de alimentos azucarados: Los alimentos ricos en azúcares y carbohidratos pueden aumentar el riesgo de caries dental. Además, es importante evitar el tabaco, el alcohol y el exceso de azúcares en la dieta. El consumo excesivo de alimentos y bebidas azucaradas puede aumentar el riesgo de caries y, en consecuencia, de fístulas dentales.
Recuerda que quien mejor puede aconsejarte a la hora de luchar contra una fístula es tu dentista.
Si tienes alguna duda sobre los diagnósticos y tratamientos, así como si quieres recibir ayuda especializada para tratar una fístula dental, no dudes en consultarnos. En Dental Care Barcelona, sabemos perfectamente la preocupación que puede generar una fístula dental en las personas.