El sarro, también conocido como cálculo dental o tártaro, es un problema bucodental muy frecuente, aunque muchas personas no le dan demasiada importancia. Consiste básicamente en la calcificación de la placa bacteriana, o placa dental.

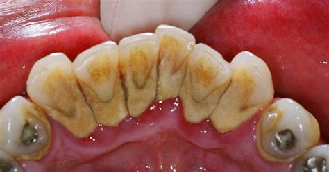
Acumulación de sarro en los dientes inferiores.
¿Qué es el sarro dental?
El sarro dental es una capa de suciedad y residuos calcificados que se acumula en los dientes como consecuencia de una higiene oral insuficiente o ineficiente. Esta capa de suciedad también se puede amontonar en el borde o debajo de las encías, llegando a irritar los tejidos gingivales.
El sarro está colonizado por las bacterias de la cavidad oral o placa bacteriana, responsable a su vez de muchas de las patologías de los dientes y encías. El sarro en los dientes se forma por la acumulación progresiva de residuos de alimentos, proteínas salivares y restos microbianos, que se calcifican alrededor de las superficies de los dientes como consecuencia de la precipitación de las sales minerales y los iones presentes en la saliva.
Este acúmulo de placa dental se debe eliminar diariamente antes de su calcificación, mediante el cepillado diario tras las comidas, con una técnica adecuada, que debe incluir una correcta higiene interdental.
Una vez que esta película de restos se calcifica y endurece, precisamos de ayuda profesional para su eliminación -limpieza con ultrasonidos, curetas, etc.-. El sarro se distingue por su color, que puede ir de blanquecino a pardo. Además los problemas estéticos derivados de su aspecto desagradable, su presencia puede traer consecuencias negativas para la salud oral.
¿Cómo se forma el sarro en los dientes?
Como hemos comentado, el sarro se forma cuando la placa bacteriana se mezcla con saliva y restos de comida y se endurece. La placa dental va depositándose continuamente en los dientes, a lo largo del día y la noche. Incluso, después de cepillar los dientes, la placa se desarrolla en su superficie al cabo de unas 24 horas.
Si la placa no se retira mediante el cepillado, después de aproximadamente 72 horas, comienza a endurecerse y se convierte en sarro al entrar en contacto con sales minerales presentes en la cavidad bucal. Además, la placa permite la proliferación de bacterias entre las que se incluyen las que producen la caries, de ahí la importancia del cepillado diario y el uso de seda dental.
Factores de riesgo en la formación del sarro
Además de una incorrecta higiene bucal, existen otros factores que propician la aparición del sarro. Entre ellos, se encuentran los siguientes:
- El consumo excesivo de alimentos o bebidas ricos en azúcar.
- El tabaquismo.
- El consumo excesivo de café, té o vino.
- El uso incorrecto o prolongado de algunos colutorios.
- La malposición o mala alineación de los dientes. Ello aumenta la dificultad de llevar a cabo una higiene adecuada y, por tanto, de retirar correctamente la placa dental.
- Factores genéticos que afectan a la saliva como el grado de acidez (pH).
- Producir una cantidad insuficiente de saliva debido al uso de medicamentos u otras condiciones médicas.
- Tener edad avanzada. Con el paso de los años, las encías pueden retraerse, lo que expone una mayor superficie dental a la acumulación de placa y a la formación de sarro.
¿Qué problemas puede provocar el sarro en la boca?
Si no se elimina correctamente la placa bacteriana y se forma sarro, pueden producirse, en función del tipo de bacterias predominantes, los siguientes problemas en la boca:
- Gingivitis: La placa y el sarro irritan e inflaman las encías, que se hinchan y sangran. Se pueden formar “bolsillos” en los que pueden proliferar bacterias.
- Periodontitis: Es una forma más severa de la enfermedad de las encías, en la que los ligamentos y el hueso que soportan el diente se destruyen. Con frecuencia, desencadena la pérdida de la pieza dental.
- Caries dentales: Son agujeros o cavidades que dañan la estructura del diente. Se producen cuando las bacterias presentes en la placa metabolizan los azúcares y producen ácidos capaces de disolver el esmalte con el paso del tiempo.
- Mal aliento (halitosis): Debido a menudo a una mala higiene oral, las bacterias presentes en la boca segregan compuestos de azufre que producen un olor desagradable. Puede ocurrir que el sarro no sea visible, pero que sí se perciba el mal aliento. Los “bolsillos” que se crean por la gingivitis y periodontitis acumulan bacterias y pueden incrementar la halitosis.
- Aumento de la sensibilidad en los dientes, sobre todo al frío y/o al calor.
Nº1 REMEDIO CASERO para ELIMINAR la PLACA, el SARRO y PREVENIR la CARIES
Además, los trastornos dentales pueden llegar a provocar una gran variedad de problemas de salud sistémicos como trastornos digestivos o enfermedades cardiovasculares, entre otros.
¿Por qué se cae el sarro dental?
Cuando se cae un trozo de sarro dental, suele indicar acumulación crónica de placa calcificada. Aunque puede parecer un alivio, su caída puede dejar expuesta la encía o una caries. La caída espontánea de un trozo de sarro no es normal ni un signo positivo. A menudo es consecuencia de una periodontitis avanzada, una higiene bucal deficiente o una limpieza dental postergada. Puede provocar sensibilidad, inflamación o incluso movilidad dental si la raíz ha quedado expuesta.
En resumen, un trozo de sarro puede caerse principalmente cuando hay mucha acumulación y alguna fuerza o condición que lo despegue. Encontrar un pedazo de sarro desprendido puede ser inquietante, ¡lo entiendo completamente! La buena noticia es que, por sí mismo, un trozo de sarro caído no suele ser una emergencia grave. De hecho, suele ser un síntoma de otro problema: la presencia de sarro abundante en tu boca y posiblemente encías inflamadas.

Sarro acumulado en una muela.
Causas comunes de la caída del sarro
- Acumulación excesiva: Cuando el sarro lleva mucho tiempo acumulándose, puede formar depósitos grandes en tus dientes. A veces, una parte de ese depósito puede fracturarse o despegarse, por ejemplo al masticar algo duro o simplemente por su propio volumen.
- Ubicación típica: El sarro tiende a formarse especialmente detrás de los dientes inferiores frontales (incisivos inferiores) y en las muelas superiores, porque ahí desembocan las glándulas salivares. La saliva contiene minerales que facilitan la calcificación de la placa. Por eso, no es raro que un “trozo de sarro” provenga de la parte interna de los dientes delanteros de abajo, que es justo donde más se acumula.
- Intervención manual: Algunas personas, al notar una textura áspera en sus dientes, intentan rascar o palpar con la uña o algún objeto. Si haces esto, podrías accidentalmente desprender un fragmento de sarro.
- Retracción de encías: Si hay enfermedad en las encías (gingivitis o periodontitis), las encías pueden haberse retraído o separado del diente. En casos avanzados, el sarro puede estar ocupando ese espacio. Si la encía se retrae lo suficiente, el sarro puede aflojarse.
¿Es grave que se caiga un trozo de sarro?
En la mayoría de los casos, que se caiga un trozo de sarro no te causará daño inmediato por sí mismo, pero es un llamado de atención: tu boca necesita una limpieza dental profesional y mejorar tu rutina de higiene. Considera el trocito de sarro caído como un “aviso”.
Técnicamente, el sarro generalmente no se cae por sí solo como resultado positivo; es decir, no esperes a que tu boca se “limpie sola”. Si notas que se caen fragmentos de sarro sin asistencia, suele ser porque la situación ya es prolongada y severa. Es más, cuando a alguien “se le cae el sarro solo”, muchas veces es porque ya hay cierta destrucción debajo (encía retraída, diente un poco flojo, etc.).
Alivio engañoso
Algunas personas piensan «¡genial, se cayó el sarro, problema resuelto!». Ojalá fuera así de sencillo, pero el sarro no se elimina por completo solo. Que se caiga un fragmento puede dar la impresión de dientes más limpios en ese punto, pero ten en cuenta que seguirán quedando más depósitos adheridos al diente que no ves, o placa bacteriana en esa zona lista para calcificarse de nuevo.
No suele doler
Si al caerse ese trozo no sentiste dolor ni sangrado abundante, probablemente no se rompió tu diente, sino que realmente era sarro. Mucha gente confunde un fragmento de sarro con un pedazo de diente, pero hay diferencias. El esmalte del diente es blanco o traslúcido y generalmente duele o deja sensibilidad cuando se rompe. En cambio, el sarro es amarillento/marrón, poroso, y al desprenderse rara vez causa dolor inmediato.
Consecuencias de fondo
La presencia de sarro (sea que se caiga un pedazo o no) sí es algo serio si no se trata, porque indica que has tenido higiene insuficiente en alguna zona durante bastante tiempo. El sarro pegado a los dientes genera un ambiente ideal para bacterias que irritan e infectan las encías. Esto puede provocar gingivitis (encías rojas, hinchadas y sangrantes) y, a largo plazo, periodontitis, que es una enfermedad más grave donde esas bacterias destruyen el hueso y ligamentos que sostienen el diente. En casos extremos, si dejas el sarro años sin tratar, podrías incluso perder piezas dentales porque la enfermedad periodontal las afloja.
¿Qué hacer si se desprende un pedazo de sarro?
Si te ha pasado esto recientemente, mantén la calma.
- No entres en pánico: Lo primero, mantén la calma. Como ya mencioné, normalmente no es una emergencia grave. Si no hay dolor fuerte o sangrado, puedes respirar aliviado.
- Enjuaga tu boca suavemente: Lava tu boca con agua tibia (incluso con un poco de sal disuelta, que tiene efecto antiséptico suave) para eliminar cualquier resto suelto y refrescar la zona. Esto ayuda a que, si la encía quedó expuesta, no se irrite con residuos.
- No intentes arrancar más sarro por tu cuenta: Puede ser tentador pensar «si se cayó ese pedazo, voy a raspar a ver si quito más». ¡Evítalo! Rascar con objetos afilados (o con fuerza excesiva) puede lastimar tu encía o el esmalte del diente. Además, el sarro está fuertemente adherido; quitarlo tú mismo es difícil y podrías terminar con una lesión.
- Revisa tus síntomas: Pon atención a cómo se siente la zona. ¿Notas la encía inflamada donde estaba el sarro? ¿Hay sangrado leve al cepillar? ¿El diente se siente más sensible al aire o al agua fría ahora que se cayó la “costrita” de sarro? Algunos de estos síntomas son normales después de que el sarro se desprende, porque puede haber una pequeña inflamación en la encía alrededor o el diente expuesto a estímulos. Si el dolor es intenso o la encía sangra en exceso espontáneamente, eso sí amerita consultar más urgente.
- Cepilla con suavidad esa área: Continúa con tu higiene oral rutinaria, cepillando suavemente los dientes cercanos y usando hilo dental en la zona, sin hurgar demasiado debajo de la encía. Mantener la limpieza ayudará a que no se acumule más placa mientras esperas tratamiento.
- Agenda una visita al dentista lo antes posible: Este paso es clave. No lo dejes pasar. Aunque no tengas dolor, debes acudir a una limpieza dental profesional para retirar el resto del sarro. Idealmente, haz la cita en cuanto puedas dentro de los próximos días o semanas.
- Mientras esperas la cita, cuida tu boca: En esos días previos a tu limpieza profesional, sé muy constante con tu higiene: cepíllate dos veces al día correctamente, usa hilo dental cada noche (con más razón ahora), y puedes añadir un enjuague bucal suave con clorhexidina si tu dentista te lo recomienda o uno sin alcohol para mantener baja la carga bacterial. Esto mantendrá a raya la placa bacteriana nueva y ayudará a que la encía se calme un poco.
¿Cómo se trata el sarro?
No es posible eliminar el sarro con el cepillado. Una vez se ha formado, solamente el odontólogo puede retirarlo mediante una tratectomía, una limpieza dental que permite extraerlo mediante el uso de instrumentos especiales. Se trata de un procedimiento indoloro y que no requiere ningún tipo de anestesia, aunque puede resultar un poco molesto para personas con elevada sensibilidad dental; en este caso, puede emplearse un espray con un anestésico local para insensibilizar el área.
Asimismo, el sarro puede extraerse con un aparato que emite ultrasonidos que lo desintegran.
En el caso de que el sarro se haya acumulado bajo las encías, es necesario realizar un curetaje o raspado dental. Este implica una limpieza más profunda, que sí suele requerir la aplicación de anestesia local.

Limpieza dental profesional.
¿Cómo prevenir la formación de sarro?
El sarro debe prevenirse diariamente mediante una correcta higiene bucodental:
- Cepillado tras las comidas, de 2 a 3 veces al día, con especial atención en la remoción de la placa tras el sueño y el desayuno, y antes de irse a dormir por la noche.
- El cepillado debe ser enérgico, pero atraumático, con cepillos manuales con cerdas no agresivas o cepillos eléctricos.
- Se deben cepillarse correctamente todas las caras dentarias e, idealmente, debe hacerse siempre en el mismo orden para asegurarnos que quedan siempre todas las superficies barridas y limpias.
- Complementar el ritual de limpieza, al menos en una ocasión al día, con higiene interdental. Se recomienda utilizar hilo dental, seda o cinta, y/o irrigadores.
- Técnica de Bass: existen diferentes técnicas para la higiene dental. Una de las más eficaces y extendidas es la técnica de Bass, que permite eliminar adecuadamente el sarro en la zona gingival sin dañarla.
- La pasta de dientes facilita la eliminación mecánica de la placa, pero la cantidad de pasta que se colocar en el cepillo debe ser siempre reducida (un guisante).
- Utilizar colutorios o enjuagues bucales puede ser muy útil cuando hay gingivitis, si bien no es, ni mucho menos, lo más importante.
Además, los expertos recomiendan un examen rutinario de los dientes al menos una vez al año y una limpieza profesional cada seis o doce meses con el fin de eliminar el sarro, ya que este puede acumularse en los dientes incluso aunque se lleve a cabo en casa una buena higiene dental.
En conclusión, que se te caiga un trozo de sarro no es el fin del mundo, pero sí es un aviso importante de que algo pasa en tu salud bucal. La solución pasa por mantener la calma, limpiar la zona, y sobre todo acudir al dentista para una limpieza profesional que elimine todo el sarro. Una vez hecho esto, pon en práctica hábitos de higiene rigurosos para que no se repita.
Tabla resumen: Prevención y tratamiento del sarro dental
| Aspecto | Recomendaciones |
|---|---|
| Higiene Oral | Cepillado dental (2-3 veces al día), uso de hilo dental o cepillos interproximales, limpieza de la lengua. |
| Alimentación | Reducir el consumo de azúcares y alimentos procesados. |
| Visitas al Dentista | Revisiones y limpiezas profesionales cada 6-12 meses. |
| Tratamiento Profesional | Tartrectomía (limpieza con ultrasonidos), curetaje (raspado subgingival). |
| Enjuagues Bucales | Usar enjuagues con flúor o clorhexidina bajo supervisión dental. |