Las encías retraídas son una de las patologías más habituales en la salud dental. Si al mirarte al espejo notas que tus dientes se ven más de lo habitual o si experimentas sensibilidad al frío y al calor, puede que estés ante un problema muy común: las encías retraídas. En este artículo vamos a conocer qué son las encías retraídas, sus causas principales, las soluciones que existen y qué podemos hacer para evitar la recesión gingival.
Uno de los principales motivos de consulta al dentista es la retracción de la encía. El paciente, en general, viene asustado porque ha notado que en los últimos tiempos los dientes se le ven más largos. Existen varios motivos por los que se retraen las encías, y pasa con frecuencia que el paciente acude a nosotros con un diagnóstico erróneo. Por este motivo vamos a repasar las distintas causas en detalle para intentar despejar algunas dudas y bastantes mitos.
👉 𝗘𝗡𝗖𝗜𝗔𝗦 𝗥𝗘𝗧𝗥𝗔𝗜𝗗𝗔𝗦 Solución DEFINITIVA ,¡FIN a la 𝗥𝗘𝗧𝗥𝗔𝗖𝗖𝗜𝗢𝗡 𝗚𝗜𝗡𝗚𝗜𝗩𝗔𝗟 Causas y Tratamiento!
¿Qué son las encías retraídas?
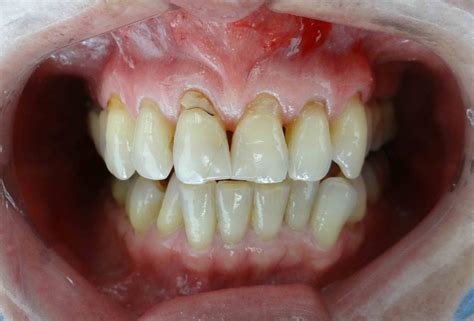
Cuando hablamos de encías retraídas nos referimos a un desplazamiento del tejido gingival que provoca una sobreexposición del diente. Las encías se desplazan hacia arriba en los dientes superiores y hacia abajo en los dientes inferiores dejando al descubierto parte de la raíz dental. Esto no solo afecta a la estética, sino que también compromete la protección natural de los dientes, aumentando la sensibilidad y el riesgo de enfermedades.

Causas principales de las encías retraídas
Hay diversas razones que pueden explicar la razón por la que tenemos encías retraídas. Entre las principales causas de encías retraídas destacan las enfermedades periodontales, como la periodontitis crónica y hábitos perjudiciales como un cepillado agresivo. Sin embargo, hay diversas razones que pueden explicar la razón por la que tenemos encías retraídas.
A continuación, se detallan algunas de las causas más comunes:
- Enfermedad periodontal: La gingivitis y la periodontitis son enfermedades que afectan las encías y los tejidos de soporte dental, contribuyendo a la recesión. También llamada periodontitis, esta enfermedad inflamatoria afecta a los tejidos que rodean el diente (periodonto). También conocida como piorrea, la periodontitis empieza como una gingivitis no tratada. Con el paso del tiempo, esta bolsa destruye el hueso y todo el tejido conjuntivo que rodea al diente.
- Cepillado agresivo o incorrecto: El uso de cepillos de cerdas duras y los movimientos bruscos pueden desgastar el tejido gingival. Seguramente la principal causa de retracción gingival sea el cepillado agresivo. El cepillado de nuestros dientes debe de ser suave sin hacer fuerza ni apretar.
- Edad: Aunque puede darse en cualquier etapa, es más frecuente a partir de los 40 años.
- Prótesis mal ajustada: Puede generar inflamación crónica y recesión de las encías.
- Enfermedades sistémicas: Enfermedades como la diabetes, el SIDA o cualquier otra que afecte al sistema inmunitario, crean un mayor riesgo de desarrollar infecciones.
- Estrés: Es uno de esos factores invisibles que afectan a la salud de nuestras encías.
- Ortodoncia: El uso de ortodoncia para corregir los dientes y la mordida, como pueden ser los brackets, puede producir pérdida en las encías debido a los movimientos que genera la ortodoncia.
- Piercing: La presencia de piercing en labio superior o inferior pueden provocar la retracción de la encía porque suponen un trauma constante en la encía.

Además de estas causas, existen factores predisponentes que incrementan el riesgo de retracción gingival. La genética juega un papel importante, ya que la encía del paciente puede ser genéticamente más o menos gruesa, siendo las encías gruesas más estables y las encías finas más inestables. En muchas ocasiones, y de forma natural, la raíz de los dientes no está rodeada de hueso en toda su superficie. Esto sucede sobre todo en la zona de los incisivos inferiores, donde el grosor de las raíces suele ser mayor a la anchura natural del hueso. También pasa a nivel de los caninos por la misma razón.
Tratamientos para las encías retraídas
En cuanto al tratamiento, una vez que la encía se ha retraído es muy difícil que regrese a su posición original, salvo en casos muy leves e iniciales en los que se elimina rápidamente la causa que provocó el problema, como un mal cepillado.
“En casos más avanzados será preciso recurrir a la llamada cirugía mucogingival para reparar y cubrir las áreas afectadas. Los procedimientos más habituales en estos casos son los injertos o los colgajos”, detalla el Dr. En estos casos, suele estar indicada la colocación de un injerto de encía para volver a cubrir la raíz o raíces afectadas. Para solucionarlo, realizamos un injerto de encías en Sevilla.
Existen varias opciones de tratamiento, dependiendo de la gravedad del caso:
- Limpieza profesional (profilaxis): El tratamiento para la gingivitis consiste en la limpieza de las bacterias que se hayan acumulado, mediante la eliminación de la placa dental. Este tratamiento es denominado profilaxis profesional o más comúnmente conocido como limpieza bucal. Con este raspado, se elimina el sarro y la placa bacteriana de la encía. Se utiliza anestesia y se suelen necesitar dos sesiones de una hora cada una.
- Injerto de encía: En casos más severos, se puede realizar un injerto de encía para cubrir la raíz expuesta y restaurar el tejido gingival perdido. En esas situaciones avanzadas, las encías despegadas sólo pueden volver a adherirse con una terapia quirúrgica correctiva. La terapia regenerativa periodontal puede ayudar utilizando proteínas o injertos y membranas de sustitución ósea para reconstruir el hueso que se ha perdido a causa de la periodontitis.
- Estiramiento de encía: En el cual el paciente se somete a una microcirugía en sus encías. Estira la encía hasta cubrir la raíz del diente. Consiste en levantar una parte de tejido de la encía y del hueso que rodea el diente del que se ha despegado dicha encía, separándolo temporalmente del hueso. A continuación se prepara la zona receptora donde está la recesión y por último se moviliza la encía de la zona donante y se recoloca suturándola en una nueva posición, recubriendo así la encía despegada del diente.
- Microinjerto de encía: Cuando el caso es extremo se utiliza esta opción en la cual una mínima fracción del tejido del paladar es removido y luego injertado para cubrir tu encía.

Prevención de la recesión gingival
La prevención es fundamental para evitar la retracción de las encías. Aquí hay algunas recomendaciones:
- Mantener una higiene bucal adecuada, cepillándose los dientes suavemente con un cepillo de cerdas suaves y utilizando hilo dental diariamente.
- Visitar regularmente al dentista para realizar limpiezas profesionales y detectar problemas a tiempo.
- Corregir hábitos perjudiciales como el cepillado agresivo o el tabaquismo.
- Utilizar férulas de descarga si se padece bruxismo. Incluso bajo un cepillado normal tus encías pueden retraerse, caso en el cual se utiliza una placa de descarga que ayuda a detener este inconsciente acto de rechinar los dientes.