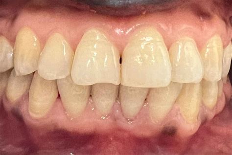
¿Has notado una mancha negra o un cambio en la coloración de tus encías? En Dental Care Barcelona, somos conscientes de que muchos pacientes pueden sentir preocupación por este tipo de cambios en la salud bucal. Una mancha negra en la encía es una zona de pigmentación oscura que puede aparecer en cualquier parte de la encía.
Aunque puede ser alarmante descubrir una mancha negra en la boca, es importante entender que no siempre indica un problema grave de salud. Algunas son pequeñas y puntuales, mientras que otras pueden ser más grandes y abarcar una superficie mayor de la encía. También pueden tener diferentes formas, desde redondas hasta irregulares. En muchos casos, las manchas negras en las encías son simplemente áreas de pigmentación natural.
Diversos factores pueden contribuir a la aparición de manchas negras en las encías. A menudo, estas manchas son indoloras y no presentan otros síntomas como hinchazón o sangrado. Esto significa que muchas personas pueden no notar la mancha hasta una inspección dental de rutina. Sin embargo, la falta de dolor no debe ser un motivo para ignorar la mancha.

Melanosis Gingival: Pigmentación oscura en las encías.
Causas de las Manchas Negras en las Encías
Las manchas negras en las encías pueden ser el resultado de diversas causas:
Melanosis Gingival
La melanosis gingival o encías negras es un trastorno de pigmentación que afecta a la estética de la sonrisa, a pesar de no traer consigo patologías graves para la salud de quien lo sufre. Pese a afectar solo a factores estéticos, es aconsejable acudir a la consulta de un profesional periodoncista en el momento que aparece una mancha negra en la encía o esta se oscurece. Las tinciones oscuras en las encías comúnmente están relacionadas con enfermedades bucodentales por lo que es importante descartar cualquier posible enfermedad periodontal.
Aumento de Secreción de Melanina
Como explicábamos, una mancha negra en la encía suele estar causada por un aumento de secreción de la melanina, conocido como melanoplaquia. Es común que esta afección sea de naturaleza hereditaria y no implique una enfermedad periodontal, pero no hay manera de prevenir su aparición. Sin embargo, sí que se puede solucionar mediante diversos tratamientos de periodoncia. La melanina que está presente en la piel y nos protege del sol en ocasiones está también presente en las encías y puede darles un aspecto oscuro. Aunque no supone un problema de salud, sí que lo es estético, pero tiene fácil solución.
Melanosis del Fumador
La melanosis del fumador es una condición en la que la pigmentación de las encías aumenta debido al consumo de tabaco. Esta pigmentación es causada por el aumento de melanina en respuesta a la irritación continua del tabaco. Las manchas suelen ser de color marrón oscuro o negro y aparecen en áreas de las encías que están en contacto directo con el humo del tabaco.
Otra causa de la melanosis gingival es el depósito de sustancias tóxicas del tabaco. La nicotina puede ser responsable de generar alguna mancha negra en la encía con ausencia de brillo. En este caso, lo mejor es dejar de fumar o, al menos, reducir la cantidad de cigarros que se fuman diariamente. Al dejar el hábito del tabaco, estas manchas desaparecen con el tiempo.
Amalgama Dental
La amalgama dental es un material utilizado en empastes que contiene mercurio, plata y otros metales. Durante los procedimientos dentales, pequeñas partículas de amalgama pueden incrustarse en las encías, provocando una decoloración conocida como «tatuaje de amalgama». Estas manchas son generalmente inofensivas y se presentan como puntos negros o grises cerca del sitio del empaste.
Asimismo, una mancha negra en la encía también puede estar causada por el contacto con restauraciones de amalgama. Estas están fabricadas con metal y al entrar en continua fricción con la encía pueden generar la melanosis gingival. Este hecho tampoco significa que exista un problema de salud, sino que es únicamente estético.
Medicamentos
Algunos medicamentos pueden inducir pigmentación en las encías como efecto secundario. Medicamentos como la minociclina (un antibiótico), ciertos antimaláricos, y medicamentos antirretrovirales pueden causar manchas oscuras en las encías. Esta pigmentación es generalmente benigna y puede ser reversible al suspender el medicamento, aunque siempre debe hacerse bajo la supervisión de un médico. Algunos medicamentos como los anticonceptivos y algunos antibióticos presentan en sus efectos secundarios la melanosis gingival. Pueden hacer modificaciones en la mucosa oral, causando manchas negras en las encías.
Nevus Melanocítico
El nevus melanocítico, o lunar, es una acumulación de células productoras de pigmento (melanocitos) que puede aparecer en las encías. Estas manchas suelen ser de color marrón o negro, de forma redondeada o irregular, y pueden estar presentes desde el nacimiento o desarrollarse a lo largo del tiempo.
Cáncer de Lengua: el tratamiento depende del avance de la enfermedad
Melanoma Oral
El melanoma oral es una forma rara pero grave de cáncer que puede manifestarse como una mancha negra en las encías. Este tipo de melanoma puede ser agresivo y requiere atención médica inmediata. Las manchas asociadas con el melanoma oral pueden cambiar de color, tamaño o forma, y pueden estar acompañadas de otros síntomas como dolor, sangrado o crecimiento rápido.
Enfermedades Periodontales
Las enfermedades periodontales (gingivitis y periodontitis) afectan directamente al tejido de las encías. Lo habitual es que estas se inflamen y enrojezcan, pero hay casos en los que la acumulación de sarro y placa bacteriana acaba causando que la encía se vuelva oscura. Para tratar una encía oscura por una enfermedad periodontal hay que eliminar primero la infección y después realizar los tratamientos especializados para eliminar las manchas negras u oscuras.
Otras Causas
Las mancha en las encías pueden estar provocadas por otra causas diversas, como problemas vasculares, como la proliferación de vasos sanguíneos, varicosidades, granulomas, hemangiomas y linfangiomas, en en la mayor parte de los casos debidos a causas genética o a traumatismos.

Enfermedades Periodontales: Afectan el color y la salud de las encías.
Diagnóstico de las Manchas Negras en las Encías
Durante la revisión dental, el dentista llevará a cabo un examen visual exhaustivo de la cavidad oral. En muchos casos, no se requerirán pruebas complicadas. Sin embargo, el dentista también puede utilizar técnicas de iluminación especial para observar las encías con mayor claridad y determinar el grado de pigmentación.
En situaciones donde la pigmentación es significativa o presenta características atípicas, se puede recomendar una biopsia. La biopsia es fundamental para descartar enfermedades más graves, como lesiones malignas. La identificación de células anormales permite establecer un diagnóstico claro y desarrollar un plan de tratamiento adecuado. Es importante diferenciar la melanoplaquia de otras condiciones que pueden afectar el color de las encías.
Tratamientos para las Manchas Negras en las Encías
Una vez que hemos determinado la causa de la mancha negra en la encía, desarrollamos un plan de tratamiento personalizado para abordar el problema de raíz.
Eliminación de Tatuajes de Amalgama
Para manchas causadas por partículas de amalgama, podemos realizar un procedimiento para eliminar estas partículas de las encías.
Microabrasión
La microabrasión es otro tratamiento bucodental que se utiliza para pulir cuidadosamente cualquier tipo de mancha negra en la encía hasta borrarla. A través de esta técnica, el dentista es capaz de eliminar la melanosis gingival y devolver al paciente su color de encía natural. La microabrasión es una técnica menos invasiva diseñada para eliminar las capas superficiales de pigmento en las encías. Utilizando instrumentos específicos, se retiran las manchas de melanina que alteran el color normal de las encías. Este procedimiento suele requerir varias sesiones y la recuperación es rápida.
Despigmentación con Bisturí
Otro tratamiento muy útil para acabar con la preocupación que provoca la melanosis gingival es la despigmentación con bisturí. Esta técnica es una de las más efectivas para eliminar una mancha negra en la encía, pero es cierto que su cicatrización conlleva más tiempo al tratarse de un método quirúrgico. Este método es más invasivo y consiste en la eliminación de las partes pigmentadas mediante un bisturí. Aunque es efectivo, la despigmentación con bisturí puede implicar un tiempo de recuperación mayor. Es fundamental que el procedimiento sea realizado por un profesional cualificado para minimizar riesgos.
Cirugía Láser
La cirugía láser se ha convertido en una opción popular para tratar la melanoplaquia debido a su menor invasividad. Este método utiliza un haz de luz para eliminar el tejido pigmentado con mucha precisión. La ventaja del láser radica en que provoca menos sangrado y dolor, además de permitir una recuperación más rápida. Existe un gran abanico de opciones para eliminar una mancha negra en la encía, pero el principal es el tratamiento periodontal de microcirugía gingival, que se realiza con el láser de er-Yag. Se basa en eliminar el tejido oscurecido de la encía a través de la emisión de una luz a una longitud de onda de 2940 nanómetros que estimula la regeneración de la mucosa sin causarle el menor daño. Este tratamiento mínimamente invasivo es la solución más cómoda, indolora, eficaz y segura para el paciente, consiguiendo grandes resultados.

Tratamiento Láser: Eliminación precisa de tejido pigmentado.
Cirugía Menor
En casos más graves, como un nevus melanocítico sospechoso o melanoma oral, podemos realizar una cirugía menor para extirpar la mancha y enviar una muestra para biopsia.
Fresado
Esta técnica utiliza un material rotatorio para eliminar la capa superficial del epitelio donde se concentra la melanina. El fresado es un procedimiento menos invasivo y puede ser una buena opción para aquellos que buscan resultados inmediatos.
Es esencial que cada paciente se someta a una evaluación completa por parte de un dentista para determinar la estrategia más efectiva y segura.
Prevención de las Manchas Negras en las Encías
La prevención es clave para mantener una buena salud bucal y evitar la aparición de manchas negras en las encías. Una higiene bucal adecuada es fundamental para prevenir una amplia gama de problemas dentales, incluidas las manchas negras en las encías.
Modificar ciertos hábitos y estilos de vida puede tener un impacto significativo en la salud bucodental. El tabaquismo es un factor de riesgo asociado con la pigmentación de las encías. Visitar al dentista de manera regular es crucial para detectar cambios en la coloración de las encías y recibir tratamiento oportuno si es necesario.
Si las manchas oscuras en tus encías te generan preocupación estética o emocional, nuestro equipo de especialistas está aquí para ayudarte. Agenda tu consulta y descubre cómo podemos mejorar la salud y apariencia de tus encías.
Consejos para mantener las encías sanas
- Buena alimentación: Asegúrate de ingerir alimentos con buenos porcentajes de fósforo y calcio. Así como con vitamina D, C, A y B. Toma té de jengibre, consume lácteos y muchos vegetales y frutas
- Mantén una buena rutina de higiene bucal: Cepíllate por lo menos dos veces al día o después cada comida. No te olvides de usar hilo dental y de aplicar la técnica adecuada de cepillado.
- Mantente hidratado: Una excelente forma de mantener la flora bacteriana de tu boca controlada es teniéndola bien hidratada. Toma suficiente agua a lo largo del día.
- Deja los malos hábitos: El consumo de tabaco es nocivo para la salud. En especial para la de tu boca y pulmones. Tus encías siempre estarán irritadas y ligeramente inflamadas. Además será más fácil que desarrolles infecciones y enfermedades graves, como cáncer bucal.
El Color de las Encías como Indicador de Salud
El color y la apariencia de las encías son un indicador de su estado de salud. Su aspecto y coloración pueden sufrir alteraciones pero no debes alarmarte ya que en su mayor parte no están motivadas por patologías orales. El aspecto habitual de la encía se corresponde con un color rosado, carnoso y brillante. Sin embargo, al igual que sucede con la coloración de la piel, hay que personas que pueden tener una encía de tonos marrones u oscuros. La exposición al sol es un factor que también puede provocar cambios de coloración o discromías gingivales.
Unas encías saludables se ven firmes y con un tono rosado brillante. La coloración puede variar según el tono de piel natural de cada persona. Aunque forman parte del tejido blando de la mucosa de la boca, las encías deben permanecer firmes, cubriendo toda la raíz de los dientes.
No obstante, determinados colores de las encías se relacionan con otros problemas de salud a nivel general en el organismo.
| Color de las Encías | Posibles Causas |
|---|---|
| Rosa pálido | Encías sanas y bien cuidadas. |
| Color café o tostado | Tono natural en personas de piel oscura o exposición prolongada al sol. |
| Rojas | Infección o inflamación. |
| Blancas o blanquecinas | Acumulación de placa bacteriana, presencia de hongos o infección viral. |
| Oscuras | Aumento de melanocitos, tabaquismo, enfermedades periodontales, amalgama dental. |