Las carillas dentales son una solución estética que sirve para mejorar la apariencia de los dientes. Son uno de los tratamientos dentales estéticos más demandados actualmente, tanto por su sencillez como por su precio. Las carillas dentales se colocan en la superficie frontal de los dientes con la finalidad de mejorar su aspecto. Su principal objetivo es mejorar el aspecto de los dientes, ya sea para modificar su tamaño, color, forma o posición. Por tanto, tienen una finalidad puramente estética.

En Clínica Ferrus & Bratos, entendemos que elegir un procedimiento de estética dental es una elección relevante. Por ello, hemos preparado esta guía detallada sobre los tipos de carillas dentales y sus precios, con el fin de ayudarte a decidir según tus necesidades estéticas y capacidad presupuestaria. Esta guía te proporcionará toda la información necesaria sobre los tipos de carillas dentales y precios, para que tomes decisiones informadas y ajustadas a tu presupuesto y expectativas estéticas.
¿Qué son las carillas dentales?
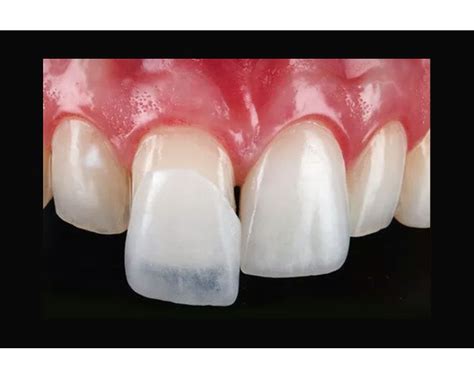
Las carillas dentales son unas láminas muy finas -generalmente inferiores a un milímetro de espesor- que se fijan sobre la parte visible de uno o varios dientes. Su objetivo es corregir problemas estéticos (fracturas leves, cambios de color…) o patológicos (originados por caries). Pueden estar hechas de diferentes materiales, pero suelen ser de porcelana o composite. Por lo general, estas últimas suelen confeccionarse en la propia clínica dental con un material fotocurable, igual que el que se usa para hacer los empastes.

¿Cuándo se recomiendan las carillas dentales?
La colocación de carillas dentales se recomienda cuando se quiere mejorar la estética dental. Los pacientes que desean corregir problemas de color, tamaño, forma o posición de los dientes pueden optar por este tratamiento estético. Es importante mencionar que la colocación de carillas dentales no es un tratamiento médico, sino estético. Por lo tanto, es esencial que el paciente tenga una buena salud bucal antes de someterse a este procedimiento.
Algunos casos comunes en los que es recomendable el uso de carillas dentales son:
- Desgaste dental: principalmente para dientes que han sufrido desgaste por bruxismo.
- Daño o roturas: para restaurar la apariencia de dientes que están astillados, fracturados o tienen imperfecciones menores.
- Desalineación leve y pequeños espacios: como alternativa a la ortodoncia en casos de desalineaciones leves o para cerrar pequeños huecos entre los dientes.
- Manchas o decoloración: ideal para dientes que han cambiado de color o tienen machas profundas y no responden bien a técnicas de blanqueamiento dental.
- Mejora estética general: para aquellos que desean tener una sonrisa más uniforme y atractiva.
En todos estos casos, es fundamental la evaluación por parte de un profesional dental, quien podrá determinar si las carillas son la opción más adecuada según las necesidades y condiciones específicas del paciente.
Tipos de carillas dentales y sus características
Hoy en día, las carillas pueden fabricarse con distintos materiales, como composite o porcelana (disilicato de litio, feldespáticas…). Aunque todos estos materiales presentan unos buenos estándares de calidad, cada uno de ellos cuenta con sus particularidades en términos de estética, resistencia, durabilidad, necesidad de realizar tallado, etc. Cuando se trata de transformar una sonrisa, es fundamental identificar qué clase de carillas dentales están disponibles.
Dado que las carillas dentales más utilizadas -y las que colocamos con mayor frecuencia en nuestra clínica dental de Madrid- son las de porcelana (e.max y Lumineers) y las de composite, vamos a detallar los beneficios e inconvenientes que presentan cada una de ellas.
Carillas de Composite
Las carillas de composite, o de resina sintética, son una opción más económica que las de porcelana. Las carillas de composite son una alternativa demandada entre nuestros pacientes en Madrid. Su ventaja principal es que se colocan en una sola sesión y permiten mejorar pequeñas imperfecciones sin modificar en exceso el diente original. Además, su coste reducido en comparación con otras opciones las convierte en una elección popular entre quienes buscan optimizar su sonrisa sin un gran desembolso. Son particularmente útiles en casos donde se busca una transformación notable pero asequible.
Las carillas de composite, un material fabricado con varias resinas compuestas, tienen la ventaja de que son reversibles. El trabajo previo con los dientes es mínimo, por lo que no los altera de forma permanente. Por otra parte, tienen la desventaja de que no imitan tan bien el esmalte de los dientes como las de porcelana. Además, al ser la resina un material poroso, pueden mancharse y son susceptibles de sufrir astillados o fracturas.
La vida útil de las carillas dentales de composite es de entre 5 a 7 años.
Carillas de Porcelana
Las carillas de porcelana son conocidas por su durabilidad y apariencia natural. Las carillas de porcelana simbolizan la excelencia en estética dental. En nuestra clínica colaboramos con laboratorios de prestigio para diseñar piezas totalmente individualizadas. Su resistencia y similitud con el diente natural las convierten en la opción ideal para quienes desean una sonrisa armónica y de larga duración. Su proceso de fabricación incluye la selección de tonalidades, simulaciones digitales y un tallado preciso, garantizando un resultado estético superior. Aunque su inversión es mayor, su durabilidad y naturalidad respaldan el coste.
Además, la porcelana tiene un aspecto muy similar al de los dientes naturales cuando estos están sanos y blancos. Además, las carillas de porcelana pueden corregir problemas como el desgaste de los dientes, así como cubrir piezas astilladas o rotas. Las carillas de porcelana, al utilizar este material, cuentan con la ventaja de que resisten muy bien a las manchas. Las carillas de porcelana no se manchan ni se tiñen.
La vida útil de las carillas de porcelana es de entre 10 a 15 años.
Carillas de Zirconio
El zirconio representa la tecnología más avanzada en carillas dentales. Están fabricadas con óxido de zirconio, un material cerámico resistente y no poroso, que imita perfectamente el esmalte natural del diente y resiste la decoloración y las manchas. Son ideales para quienes buscan resultados óptimos sin comprometer la funcionalidad de la sonrisa.
La vida útil de las carillas de zirconio es de entre 10 y 15 años.
Proceso de colocación de carillas dentales
La colocación de carillas dentales es un procedimiento sencillo y mínimamente invasivo que generalmente se realiza en dos o tres visitas al dentista. El procedimiento de colocación depende del tipo de carillas que vaya a llevar el paciente (porcelana, composite, disilicato de litio…).
El proceso de colocación de las carillas comienza con una consulta inicial donde el dentista evalúa el caso del paciente. Si se considera apto, los siguientes pasos suelen ser:
- Consulta inicial: En la primera consulta, el dentista examinará los dientes del paciente, tomará radiografías y discutirá los objetivos estéticos del tratamiento.
- Preparación del diente: En segundo lugar, se preparará el diente a tratar. Esta preparación consiste en eliminar de la superficie del diente parte del esmalte. Para algunas carillas de porcelana esto puede incluir el tallado de una pequeña cantidad del diente para asegurar un ajuste adecuado.
- Escaneo intraoral 3D o toma de impresiones: En tercer lugar, se tomarán las impresiones. Este escáner realiza una captura detallada y rápida de los dientes del paciente, creando un modelo exacto que se envía a un laboratorio para la fabricación de las carillas.
- Colocación de las carillas: En la siguiente visita, el dentista colocará las carillas en los dientes preparados. Antes de hacerlo, comprobará que encajen perfectamente en los dientes y que el color y la forma sean adecuados. El cuarto paso consiste en colocar las impresiones de las carillas ya terminadas. Para poder hacerlo, hay que preparar el diente, en un proceso que consiste en limpiar, pulir y grabar la pieza dental.
- Ajuste y pulido: Una vez colocadas las carillas, el dentista las ajustará para asegurarse de que encajen correctamente y se sientan cómodas en la boca. El quinto y último paso será ajustar esta colocación. Para ello, se eliminará cualquier exceso del cemento especial utilizado.
En general, el proceso de colocación de carillas dentales es un procedimiento seguro y efectivo que mejora significativamente la apariencia de los dientes y la sonrisa del paciente.
Al igual que en la mayoría de tratamientos dentales, es imprescindible que el paciente mantenga una buena higiene dental.
Ventajas y desventajas de las carillas dentales
El tratamiento de carillas dentales ofrece una serie de beneficios que hemos ido desgranando en este artículo. A grandes rasgos, podemos decir que lo mejor de las carillas es que ofrecen una mejora estética de la sonrisa a corto plazo. Las ventajas de las carillas dentales son numerosas para aquellos que desean mejorar su sonrisa. Algunas son:
- Mejora significativa en la apariencia de los dientes.
- Las carillas, especialmente las de porcelana y zirconio, destacan por su resistencia a las manchas y durabilidad, requiriendo poco mantenimiento más allá de una buena higiene bucal.
- Tratamiento de estética dental poco invasivo: su colocación es realmente sencilla y generalmente indolora.
En cuanto a las desventajas podemos mencionar:
- Precio relativamente alto, especialmente para las de porcelana y zirconio.
- Proceso irreversible en algunos casos de carillas de porcelana que requieren tallado previo de los dientes.
- No son una solución para problemas dentales más complejos como dientes muy desalineados o problemas de maloclusión.
¿Cuánto cuestan las carillas dentales?
Esta es una de las preguntas que más nos hacen nuestros pacientes. Sin embargo, no siempre podemos ofrecer la misma respuesta, ya que el precio del tratamiento depende del caso de cada paciente. Como habrás podido comprobar, en el precio de las carillas dentales influyen varios factores. El coste de las carillas dentales en Madrid puede variar significativamente dependiendo del material, la cantidad de piezas y la técnica empleada.
Los precios de las carillas dentales dependen principalmente del material del que están hechas, el caso específico del paciente o la clínica dental. Algunos valores de referencia, teniendo en cuenta el precio de una carilla por diente, son:
- Carillas de porcelana: 400 - 1.000€
- Carillas composite: 150 - 400€
- Carillas zirconio: 500 - 1.000€
En España, el precio de un tratamiento con carillas dentales parte de unos 1.120 euros. Sin embargo, hay que tener en cuenta que el precio del tratamiento varía en función del número de carillas que se necesiten. Normalmente, se ponen en los seis dientes delanteros superiores, que son los más visibles al sonreír: dos incisivos centrales, dos incisivos laterales y dos colmillos. No obstante, en algunos casos se pueden llegar a colocar carillas en los premolares, por lo que habría que poner diez carillas en total en la arcada superior.
No obstante, para tener una idea aproximada del presupuesto, el precio medio de las carillas de composite es de 295 euros por diente. Es importante destacar que estos precios son aproximados y que el coste final dependerá de cada caso particular y del número de dientes a tratar.
Es importante tener en cuenta que el seguro dental no suele cubrir el coste de las carillas dentales.
En la Clínica Dental Dobleese, los precios de las carillas dentales varían según el tipo de material y la complejidad del tratamiento. En la Clínica Dental Dobleese, entendemos que el costo de las carillas dentales puede ser significativo. Por ello, ofrecemos opciones de financiación del tratamiento dental para facilitar su acceso.
Los precios pueden incrementarse en el caso de que existan costes adicionales derivados de las peticiones que realice cada cliente.
Factores que influyen en el precio de las carillas dentales
Como es lógico, no todas las personas necesitan el mismo número de carillas, ya que esto dependerá de cuáles sean los defectos que se quieran corregir o disimular con el tratamiento. Asimismo, dado que las carillas dentales se colocan en los dientes más visibles, el número que habrá que colocar también dependerá de la amplitud de sonrisa de cada persona.
- Laboratorio o técnico protésico que realiza las carillas.
- La experiencia y la formación del odontólogo que realiza el tratamiento también desempeña un papel relevante en el precio de las carillas dentales.
Los resultados más naturales, las carillas más duraderas y las que consiguen los resultados más bonitos son realizadas en laboratorios donde los técnicos son artistas que consiguen imitar con mucha exactitud el aspecto de los dientes naturales, estos laboratorios siempre tienen costos más elevados.
Duración de las carillas dentales
A la hora de responder a esta pregunta es importante hacerse una idea de los años que van a durar las carillas dentales. La duración de las carillas dentales está determinada por diversos factores, como los cuidados que siga el paciente en cuanto a higiene oral, alimentación, tabaco, hábitos, revisiones con el dentista, etc. Adicionalmente, la durabilidad del tratamiento también depende del material con el que están fabricadas las carillas y de la técnica de colocación (directa o indirecta).
Por ello, no resulta posible determinar de antemano cuánto tiempo duran las carillas dentales. Lo que sí podemos decirte es que, con unos cuidados y unos mantenimientos adecuados, son un tratamiento pensado para durar a largo plazo.
Dichas indicaciones se centran en cepillarse los dientes después de cada comida, usar la seda dental, evitar el tabaco, utilizar una férula protectora por las noches y acudir al dentista con la regularidad establecida por este (normalmente, entre una y dos veces al año). Adicionalmente, es aconsejable tener ciertas precauciones al comer alimentos muy duros, disminuir el consumo de comidas o bebidas con mucha coloración y tener cuidado con ciertos movimientos al masticar.
¿Quién puede llevar carillas dentales y cuándo se recomiendan?
Las personas que habitualmente optan por un tratamiento de carillas son aquellas que quieren mejorar su imagen estética, especialmente el color, la forma y la posición de los dientes. Sin embargo, no todas las personas son aptas para este tipo de tratamiento. Habitualmente, los pacientes que pueden someterse a un tratamiento de carillas son aquellos con una buena salud bucal en general. Es importante tener unos dientes y encías saludables. También es importante tener suficiente esmalte dental.
Hay personas que están interesados en llevar carillas dentales para mejorar su sonrisa pero tienen malposiciones muy severas. Esto hace que los profesionales recomienden al paciente la posibilidad de llevar ortodoncia. Cuando el paciente no tiene una buena mordida (clase II, clase III, mordida cruzada…) las carillas dentales también pueden estar contraindicadas porque hay riesgo de rotura. No contar con una adecuada higiene bucodental no solamente es perjudicial para la salud dental, sino también para usar carillas dentales. La acumulación de sarro conlleva la aparición de inflamaciones en las encías o filtraciones.
Cuidados posteriores y mantenimiento de las carillas
Al igual que en la mayoría de tratamientos dentales, es imprescindible que el paciente mantenga una buena higiene dental.
Alternativas a las carillas dentales
Dependiendo del resultado que estemos buscando, o el tratamiento que necesitemos, existen algunas alternativas a las carillas:
- Empaste dental: útil para corregir imperfecciones. Es menos invasivo y más económico que las carillas.
- Coronas dentales: cubren el diente entero y se utilizan en casos de caries severas o daño considerable.
- Blanqueamiento dental: puede ser una solución efectiva para mejorar el color de los dientes sin intervenciones invasivas.
- Tratamientos de ortodoncia: incluye ortodoncia invisible o brackets para corregir casos estéticos más complejos, como apiñamientos dentales.
🚩 Carillas dentales: ¿Negocio o Salud?
Si aun crees que las carillas están contraindicadas o pueden resultar un problema para ti, lo más adecuado es que acudas a un dentista especializado en Estética Dental avanzada. De esta manera, podrás saber con certeza cuál es el tratamiento que más se adapta a tus necesidades.
Si tiene alguna pregunta o desea agendar una consulta, no dudes en ponerte en contacto con nosotros.
tags: #presupuesto #carillas #dentales