Las encías retraídas son un problema dental común que puede tener consecuencias significativas para la salud bucal. Esta condición, en la que el tejido gingival se desliza, exponiendo la raíz del diente, no solo afecta la estética de la sonrisa, sino que también puede llevar a problemas más graves como la sensibilidad dental y la pérdida de dientes.

¿Qué son las encías retraídas?
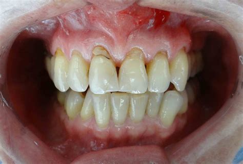
La retracción de las encías es una enfermedad periodontal en la que el tejido gingival que rodea al diente se desliza hacia arriba, dejando expuesta la raíz del diente. Puede ocurrir en uno o en varios dientes a la vez. Al retraerse el tejido, las encías lucen separadas de los dientes y se pueden formar bolsas en las que se acumula placa dental. Además, las piezas dentales lucen más alargadas, lo que afecta la sonrisa del paciente.
¿Cómo afecta la retracción gingival a la salud bucal?
Cuando las encías se retraen, las raíces de los dientes quedan expuestas, lo que las hace más susceptibles a la caries y a la sensibilidad. Si no se trata a tiempo también puede derivar en la pérdida de dientes. La falta de encías puede comprometer la estructura ósea y agrava los problemas dentales existentes.
Síntomas de las encías retraídas
Mientras nos cepillamos los dientes es posible ver algunas señales que nos alertan sobre un posible problema en las encías. Si se ven rojas e inflamadas, o sangran es probable que se trate de retracción de encías. También puede ocurrir que los dientes parezcan flojos.
Otros síntomas comunes de esta condición son los siguientes:
- Dolor y sensibilidad dental
- Cambios estéticos en la línea de las encías
Dolor y sensibilidad dental
Una de las señales más comunes de las encías retraídas es el aumento de la sensibilidad dental. Esto se explica porque al retraerse el tejido las raíces de los dientes quedan expuestas. De manera que ciertos estímulos como el frío o el calor intensos pueden provocar dolores agudos. La sensibilidad dental puede llegar a ser tan intensa que dificulta comer o cepillarse los dientes.
Cambios estéticos en la línea de las encías
Si notas que tus dientes parecen más largos de lo normal, es probable que estés ante unas encías retraídas. Esta es una de las señales más claras y pueden provocar una desproporción en la sonrisa. La línea de las encías aparece más arriba de lo que debería estar y genera un cambio estético importante, capaz de afectar la autoestima de las personas. Las encías quedan expuestas, los dientes tienden a cambiar de color y, en general, altera el aspecto de la sonrisa.
Principales causas de las encías retraídas
Existen diversos factores que pueden dar origen al desplazamiento de la encía. Tener una mala higiene bucal, las enfermedades periodontales, el cepillado agresivo y hábitos como el bruxismo son algunos de ellos.

Enfermedades periodontales
Las enfermedades periodontales o enfermedades de las encías son una de las principales causas de la retracción de las encías. El origen de estas afecciones suele ser una mala higiene bucal. En primer lugar, aparece la gingivitis y, si esta no se trata, avanza hasta la periodontitis. Estas enfermedades son el resultado de la acumulación de placa bacteriana y la inflamación de los tejidos que sostienen los dientes. La infección destruye el tejido gingival y, por lo tanto, se pierde la encía. Las enfermedades periodontales, a su vez, aumentan el riesgo de sufrir otros problemas dentales.
Cepillado dental agresivo
Aplicar una técnica inadecuada de cepillado puede contribuir a la retracción de las encías. Esto es aplicar demasiada fuerza al cepillarse o utilizar un cepillo de cerdas duras. La fricción constante en la superficie de las encías las irrita y provoca que se dañen. Por ello, es importante usar un cepillo de cerdas suaves y adoptar una técnica de cepillado adecuada para minimizar el riesgo de daño en los tejidos gingivales. Además, es recomendable complementar el cepillado con el uso de hilo dental y enjuagues bucales para mantener una buena salud periodontal.
Factores genéticos
Hay personas que tienen mayor predisposición que otras a tener encías retraídas. Si en tu familia hay personas que han sufrido enfermedades periodontales o retracción gingival, es probable que seas más susceptible a padecer de estos problemas. Debes estar alerta a cualquier síntoma si tienes antecedentes familiares de problemas de encías. Visita a tu odontólogo con regularidad para detectar a tiempo cualquier problema y tratarlo como es debido. El diagnóstico oportuno, junto con el tratamiento de periodoncia a tiempo, contribuirán a mitigar los riesgos asociados a la herencia genética.
Otras causas
Aparte de las anteriores, otras causas que pueden provocar la retracción de las encías son el consumo de tabaco, el bruxismo, desequilibrios hormonales, enfermedades sistémicas, entre otros.
Así se solucionan las encías retraídas (recesión gingival)
Soluciones y tratamientos para las encías retraídas
Hay que tener claro que las encías no se regeneran solas; sin embargo, es posible sanar encías retraídas mediante diversos tratamientos odontológicos. Elegir el más adecuado, dependerá de la causa y la gravedad del problema. Es importante abordar este problema a tiempo para prevenir complicaciones a largo plazo.
Procedimientos no quirúrgicos
Entre las soluciones para encías retraídas encontramos algunos tratamientos no quirúrgicos. Entre estas técnicas encontramos las limpiezas profesionales que realiza el dentista. La limpieza permite eliminar la placa y el sarro que contribuyen a la enfermedad periodontal y así prevenir que la retracción gingival avance. Un tipo de limpieza más profunda es el alisado radicular. Esto implica la eliminación de las bacterias y la infección debajo de la línea de las encías. El raspado y alisado radicular suaviza las superficies de las raíces y reduce la inflamación.
Cirugía de injerto de encía
Cuando la retracción de las encías es severa, se puede considerar la cirugía de injerto de encía. Este procedimiento implica tomar tejido del paladar y trasplantarlo a la zona afectada. De esta manera se cubren las raíces que habían quedado expuestas y se reduce la sensibilidad dental. Otro tratamiento quirúrgico es la cirugía de colgajo, en la que el periodoncista retrae la encía para eliminar la infección. Al finalizar, vuelve a llevar la encía a su lugar.
Opciones de cuidado preventivo
Antes de tratar las encías retraídas, la mejor alternativa será siempre prevenir el desarrollo de esta condición. La mejor forma de evitar la retracción de las encías es con el cuidado diario de la salud bucodental y las visitas regulares al dentista. Algunas de nuestras recomendaciones incluyen:
- Utilizar un cepillo de cerdas suaves y una técnica de cepillado suave puede prevenir daños en el tejido gingival.
- Cepillarse al menos dos veces al día.
- Complementar el cepillado con hilo dental y enjuagues bucales antibacterianos.
- Evitar hábitos dañinos como fumar.
- Visitar el dentista con regularidad.
Prevención de las encías retraídas
La prevención es fundamental para mantener la salud de las encías. Para ello, lo principal es tener buenas prácticas de higiene y los controles regulares con el dentista.
Técnicas de cepillado correctas
El cepillado adecuado es crucial para cuidar la salud de las encías. Algunas recomendaciones para cepillarse son:
- Opta por un cepillo con cerdas suaves para reducir la irritación en las encías. Los cepillos de cerdas duras pueden provocar daños en los tejidos gingivales.
- Haz movimientos suaves, circulares y cortos con el cepillo. Así evitas provocar irritación en las encías.
- Asegúrate de cepillar todas las superficies de tus dientes, incluyendo la parte posterior y la línea de las encías.
- Dedica suficiente tiempo al cepillado para asegurar que se elimine la placa y los restos de comida.
- Después de cepillar, usa hilo dental para eliminar la placa y los residuos que quedan atrapados entre los dientes y debajo de la línea de las encías.
Importancia de las limpiezas dentales regulares
Durante las limpiezas dentales se elimina la placa y el sarro que se acumulan en la boca a pesar de tener una buena higiene bucal. Si no se controla la acumulación de sarro, esta puede dar origen a alguna enfermedad periodontal. Además, durante las limpiezas, el dentista es capaz de identificar si hay algún problema como enfermedad periodontal o encías retraídas, en sus etapas iniciales. De este modo, se aplica tratamiento antes de que la situación empeore. En caso de que tengas algún antecedente de problemas en las encías, las limpiezas permiten monitorear tu salud periodontal y ajustar los tratamientos.
Preguntas frecuentes sobre las encías retraídas
¿La recesión de encías puede revertirse de forma natural?
No, la recesión de encías no se revierte de forma natural. Sin embargo, hay tratamientos que previenen su progresión y permiten mejorar la salud de las encías.
¿El injerto de encía es doloroso?
El injerto de encía puede generar cierta incomodidad, pero el dolor es manejable. Durante el procedimiento se utiliza anestesia local para que el paciente no sienta dolor.
Las encías retraídas son un problema bastante común en odontología, pero se puede prevenir con buenos hábitos. Las visitas regulares al dentista también permitirán detectar a tiempo este problema y aplicar el tratamiento adecuado.
