Quienes han perdido un diente por enfermedad, traumatismo o cualquier otra causa enfrentan problemas funcionales, y un impacto negativo en su autoimagen, especialmente si se trata de dientes frontales. Es fundamental explorar las opciones para solventar esta situación.
Entre ellas, los puentes dentales destacan como una solución efectiva. Te invitamos a descubrir qué es un puente dental, tipos y ventajas, para que discutas esta alternativa con tu dentista.

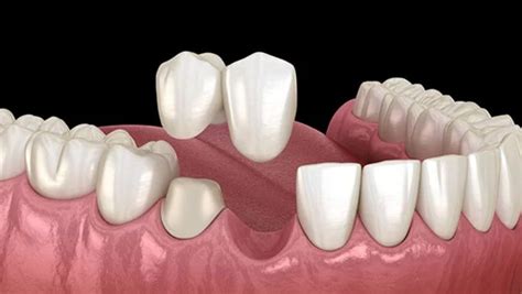
¿Qué es un puente dental?
Un puente dental es una estructura protésica que tiene como objetivo reemplazar uno o varios dientes que se han perdido. El puente se ancla o se apoya en los dientes adyacentes al espacio vacío, conocidos como dientes pilares. Estos dientes pilares sirven como soporte para el puente y, por lo general, se les coloca una corona para aumentar su resistencia y permitir la fijación del puente.
Los dientes artificiales que reemplazan los dientes faltantes dentro del puente se llaman pónticos. La estructura completa del puente, que incluye las coronas sobre los dientes pilares y los pónticos son fabricados en nuestro laboratorio de prestigio internacional con la mejor calidad y ajuste.
El puente dental es un dispositivo que se coloca en la boca para reemplazar, con dientes postizos, dientes perdidos por lesiones, enfermedades, o producto de una extracción dental. Es un tipo de prótesis no removible, que el dentista fija, utilizando dos o más coronas que se cementan a los dientes adyacentes al espacio del diente faltante.
Los puentes dentales pueden estar elaborados de materiales como la porcelana, aleaciones de oro o circonita. Así como de resinas y otros metales.
Importancia de reemplazar dientes ausentes
Cuando falta algún diente, esto afecta a la persona no solo en la manera como percibe su aspecto físico, sino que también tiene un impacto en la funcionalidad de la boca. Una pieza dental extraída o perdida puede provocar dificultad para masticar e incluso para hablar, así como fuerte desgaste en los dientes que rodean el espacio vacío.
En la parte estética, afecta la imagen de la sonrisa y además, dependiendo de si la pieza faltante está en la parte posterior de la boca, puede provocar que esta zona se vea hundida, dando una apariencia más envejecida.
Por estas razones, para evitar que estas condiciones ocurran, lo más recomendable es reemplazar los dientes ausentes.
Tipos de puentes dentales
Existen varios tipos de puentes dentales, y su elección dependerá de la ubicación del diente ausente, el estado de los dientes adyacentes y el tipo de rehabilitación que se requiera.- Puente dental fijo tradicional: Los puentes fijos tradicionales son aquellos que fijan los dientes postizos a una corona de cada lado, para luego colocarlo en el lugar del diente perdido y cementarlo allí; de esta forma, se rellena el espacio vacío. Este tipo de puente es el más común, y para su colocación es necesario que los dientes naturales que rodean al diente perdido estén sanos. Se trata de una opción resistente, pero para poder mantener fijo el puente deben limarse un poco los dientes donde irán las coronas dentales.
- Puente dental Maryland: El puente de Maryland, es un tipo de puente que se caracteriza por mantener la estructura original de los dientes y no necesita limar los dientes circundantes. Este está cementado con resina, y se sostiene sobre una estructura de metal o porcelana. Es una alternativa menos invasiva, pero hay que considerar que no funciona para todos los dientes, puesto que no soporta tanta fuerza, como en el caso de los molares. En cambio, resulta más efectivo en los dientes frontales.
- Puente dental en extensión: Un puente dental en extensión o puente voladizo, como también se le conoce, es un tipo de puente similar al tradicional, pero como la distinción de que se apoya en un solo pilar, es decir, se ancla de un solo lado. Es útil en casos en los que el paciente tiene un sólo diente natural alrededor de espacio vacío, pero se debe considerar que no es tan estable, precisamente por estar sujeto de un solo lado.
- Puente implantosoportado: El puente implantosoportado o sobre implantes dentales, se trata de una opción más novedosa, y resulta efectivo para la pérdida de varios dientes. El soporte de este puente se logra fijándolo a otros implantes y no sobre dientes naturales. Sus resultados son estética y funcionalmente efectivos, pero se debe considerar que es un procedimiento más complicado que los anteriores, y también suele ser más costoso.
- Puente cantilever: Es similar al puente tradicional, pero la diferencia radica en que solo se fija a un diente pilar en lugar de dos. Comúnmente hecho de porcelana fusionada con metal o cerámica. Se utiliza cuando solo hay dientes en un lado del espacio vacío.
Cada tipo de puente bucal tiene sus ventajas y limitaciones.
📍Tipos de 𝗣𝗨𝗘𝗡𝗧𝗘𝗦 𝗗𝗘𝗡𝗧𝗔𝗟𝗘𝗦 𝗙𝗜𝗝𝗢𝗦📍- ¿Protesis dental FIJA sobre DIENTES NATURALES o sobre IMPLANTES?
¿Cuándo es recomendable un puente dental?
El uso de un puente dental se recomienda en diversas situaciones para abordar tanto problemas estéticos como funcionales derivados de la pérdida de uno o más dientes. A continuación, se describen las circunstancias y razones principales por las cuales un profesional dental podría recomendar el uso de un puente:- Ausencia de uno o varios dientes consecutivos: Cuando un paciente ha perdido uno o varios dientes en una fila, un puente dental puede ser la solución ideal para llenar ese espacio vacío, usando los dientes adyacentes como soporte.
- Restauración de la función masticatoria: La pérdida de dientes puede afectar la capacidad de masticar adecuadamente.
- Problemas de pronunciación: La ausencia de dientes, especialmente en áreas frontales, puede afectar la pronunciación de palabras. Un puente puede ayudar a mejorar la claridad del habla.
- Prevención del desplazamiento de dientes: Cuando falta un diente, los dientes adyacentes tienden a moverse hacia el espacio vacío, lo que puede llevar a problemas de maloclusión y complicaciones en la mordida. Un puente dental evita este desplazamiento.
- Mantenimiento de la estructura facial: La pérdida de dientes puede causar que el rostro pierda soporte y se hunda o altere su forma, especialmente si se pierde una cantidad significativa de hueso alveolar. Un puente ayuda a mantener la forma y estructura facial.
- Solución a largo plazo: Para pacientes que buscan una solución duradera y no están interesados o no son candidatos para implantes dentales, un puente puede ser una excelente opción.
- Estética: Además de los beneficios funcionales, la pérdida de dientes puede afectar la autoestima y confianza de una persona debido a cuestiones estéticas. Un puente dental fijo es una forma fantástica de restaurar su sonrisa si te faltan dientes.

Ventajas de los puentes dentales
* Estética y funcionalidad: Un puente dental tiene la ventaja estética de que al sustituir un diente perdido o extraído, la persona ya no tendrá espacios entre sus dientes que lo hagan sentir incómodo o con vergüenza de hablar y sonreír. De esta forma se incrementa su autoestima y confianza en su apariencia personal. En cuanto a la funcionalidad, estos dispositivos le devuelven al paciente la capacidad para masticar y morder de la manera habitual. Además, hay casos en los que el habla también se ve afectada, por lo que al tener la dentadura completa nuevamente, la persona puede hablar de forma normal.* Prevención de problemas futuros: Cuando falta una pieza dental, es muy probable que con el tiempo los dientes se muevan, y esto afecta la mordida. Por ello, al rellenar el espacio vacío que deja un diente, se evita que los que lo rodean cambien de posición y se produzcan en el futuro problemas con la mordida. Adicionalmente, la falta de un diente puede causar pérdida ósea en la mandíbula, y con ello deformidades en la estructura del rostro.Los puentes dentales pueden suponer numerosas ventajas para el estado de nuestros dientes. En caso de que presentes alguna ausencia dentaria y quieras reponer esta pieza perdida, te invitamos a acudir a una primera visita gratuita en una clínica dental. En ella, realizarán una serie de pruebas diagnósticas y los expertos te darán un diagnóstico y un plan de tratamiento que se ajuste a tus expectativas.
Diversidad de materiales y adaptabilidad
Los puentes dentales pueden ser elaborados de materiales variados, tales como el metal, que resulta económico y duradero, pero menos atractivo. La cerámica resulta muy estética, aunque menos resistente que la anterior. El zirconio, por su parte, es un material resistente y biocompatible, mientras que la resina compuesta es económica pero también menos duradera.
En relación con la adaptabilidad de un puente dental se deben tener en cuenta los siguientes factores:
- Cantidad de dientes perdidos o extraídos.
- Ubicación de los espacios vacíos en la dentadura.
- El tipo de material de fabricación del puente.
- Presupuesto del paciente.
Duración de un puente dental
La duración de un puente dental puede variar significativamente dependiendo del tipo de soporte (dientes naturales o implantes) y del cuidado que reciba el paciente. En condiciones óptimas, y con una correcta colocación por parte de un profesional especializado, un puente puede llegar a durar toda la vida.
La duración de un puente dental varía según el tipo de puente, los materiales utilizados, la salud bucal del paciente y los hábitos alimenticios, de masticación e higiene oral de cada persona. En general, un puente dental bien cuidado tiene una durabilidad de 5-15 años o más.

¿Cómo cuidar un puente dental?
Cuidar tu puente dental es crucial para asegurar su longevidad y funcionalidad. Aquí algunos consejos para mantener tu puente en óptimas condiciones:* Limpieza regular: Cepilla tus dientes dos veces al día y usa hilo dental diariamente.* Consejos esenciales para su cuidado: Los puentes dentales pueden durar de por vida en buen estado. Eso sí, para ello debes seguir las pautas del odontólogo en cuanto a las revisiones necesarias y tener un cuidado especial en términos de higiene y mantenimiento de la prótesis.¿Cómo se coloca un puente dental?
La colocación de un puente dental, ya sea sobre implantes dentales o dientes naturales, es un proceso clínico que requiere precisión y personalización. Aunque ambos casos comparten fases similares, cada uno tiene particularidades según el soporte elegido.
- Todo tratamiento con puentes dentales comienza con una evaluación completa del estado bucal del paciente.
- Durante el proceso de cicatrización (especialmente tras la colocación de implantes), el paciente puede llevar un puente dental provisional.
- Cuando se realiza un estudio inicial exhaustivo y se emplean tecnologías avanzadas para confeccionar la prótesis, el puente dental no se nota. Además, no solo destaca por su apariencia.
Consulta y planificación del tratamiento
El proceso para colocar un puente dental inicia con una consulta odontológica, donde el especialista evaluará el caso, y hará una revisión dental completa. En caso de ser necesario, podría solicitar imágenes, como una radiografía.
Preparación y colocación
En una consulta posterior, el médico se encargará de preparar todo para la colocación del puente. Este proceso implica el limado de los dientes que serán el soporte para el puente, en caso de ser el puente de Maryland, esto no aplica. Luego se procede a tomar las impresiones, y se envía a un laboratorio para fabricar el puente.
Durante esta visita el dentista instalará un puente provisional, por el tiempo que tarde en fabricarse la definitiva. El paciente deberá agendar una tercera cita para retirar el puente temporal y colocar el definitivo. El dentista realiza pruebas para corroborar que ajuste bien, y en caso de ser necesario hará la modificación antes de cementar en el espacio que corresponde.
Recuperación y cuidados postprocedimiento
Este tipo de procedimiento provoca molestias leves, que pueden ser dolor e inflamación. Estas se pueden controlar con analgésicos de venta libre, y que en pocos días pasarán. Es importante también programar visitas de seguimiento con el dentista para garantizar que todo marcha bien.
Comparativa: Puente dental vs. Implante dental
| Característica | Puente dental | Implante dental |
|---|---|---|
| Durabilidad y estabilidad | Menos resistentes, aunque depende del material | Muy duraderos y representan a largo plazo |
| Proceso y recuperación | Menos invasivo, solo se liman los dientes adyacentes | Requiere cirugía y un período de recuperación más largo |
| Costo y accesibilidad | Más económico y accesible | Más costoso |
- Durabilidad y estabilidad: Los implantes dentales son muy duraderos y representan a largo plazo. Mientras que los puentes dentales pueden resultar menos resistentes, aunque dependerá del material utilizado para su fabricación y la técnica de cementación.
- Proceso y recuperación: El puente dental requiere de un procedimiento menos invasivo, puesto que solo deben limarse los dientes adyacentes. A diferencia de los implantes dentales, que requieren de una cirugía para colocarlos en el hueso de la mandíbula. Por lo cual, este último también necesita de un período de recuperación más largo.
- Costo y accesibilidad: Los puentes dentales resultan una alternativa más económica y viable que los implantes, por lo cual resultan más accesibles para muchas personas.
Consejos para elegir el mejor tratamiento
Consideraciones personales y médicas
Antes de escoger el mejor tratamiento para sustituir un diente faltante, es importante considerar la edad del paciente. Puesto que las personas más jóvenes quizás prefieran invertir en tratamientos más duraderos a largo plazo. El estilo de vida también influye, por ejemplo, si practicas algún deporte de contacto necesitarás una solución resistente.
La estética juega un papel decisivo, al querer elegir una opción que se asemeje lo más posible a los dientes naturales. También el paciente deberá tener una salud bucal óptima, y se revisará la condición de los huesos de la mandíbula antes de elegir la opción adecuada.
Consulta con especialistas
Consultar con un profesional que sea especialista en este tipo de tratamientos dentales, garantiza que el proceso se realice con las mejores técnicas y materiales. Además, que el resultado sea el esperado y se eviten posibles complicaciones.