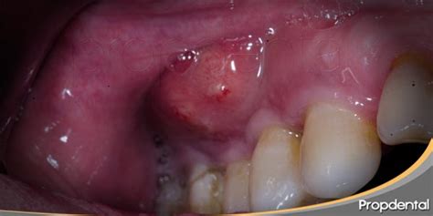
Un flemón, o absceso dental, es una acumulación de pus en la boca, generalmente junto a un diente o en la encía, causada por una infección. Presentar un flemón o un absceso, en la mayoría de los casos, es una experiencia muy dolorosa y desagradable. Te miras al espejo, notas una inflamación en la encía y ves una bolita blanquecina, como una especie de grano, que al presionarla suelta pus. El pus es una mezcla de células muertas, bacterias y fluidos corporales que se forma como respuesta del organismo a una infección. Cuando hay pus, hay infección.
Resulta evidente que la sintomatología más clara siempre pasa por un cuadro de dolor, inflamación de la encía y un acúmulo de pus. Es frecuente encontrar que el dolor no se manifiesta únicamente en el flemón, sino que también ataca a zonas como la mandíbula o el oído. A menudo en una fase inicial puede que no haya presencia de dolor, pero con el avance del proceso infeccioso este aparecerá. Presentar una cara hinchada por el flemón suele ser el signo más llamativo de esta afección. La presencia de pus no debe pasarse por alto, ya que puede tener consecuencias serias si no se trata a tiempo.
Si tú también estás sufriendo un flemón y necesitas ayuda cuanto antes sólo dirígete a cualquiera de nuestras Clínicas Propdental. En Clínicas Propdental contamos con todas las especialidades odontológicas; Quedamos a tu disposición en nuestras clínicas de Madrid, Barcelona y Badalona.

¿Qué es un Absceso Dental?
Un absceso es una infección bucodental, una enfermedad de las encías, que se manifiesta por la aparición de pequeñas bolsas de pus en diversas zonas del diente. Suelen ser muy molestos y, en ocasiones, pueden causar un dolor de dientes insoportable. Existen tres tipos de abscesos dentales: los abscesos endodónticos, que suelen aparecer en la punta de la raíz de un diente como resultado de la presencia de caries o por un traumatismo (por ello, es importante el cuidado con la placa bacteriana); los abscesos periodontales, que surgen en las encías como causa de alguna enfermedad o enfermedad periodontal; los abscesos combinados, que se presentan cuando el absceso afecta a la raíz dental y a la encía en un punto de intersección entre ambos y los abscesos periapicales, basados en una concentración de pus en la punta del diente causada por una infección. Estos últimos, en la mayoría de los casos, tienen su origen en caries dentales no tratadas.
Síntomas Comunes de un Absceso Dental
Cuando se tiene un absceso dental no suele ser muy difícil de identificar, pues presenta una sintomatología muy concreta. Principalmente, el paciente percibe sus encías inflamadas sensibilidad, hinchazón, movilidad en sus dientes y puede padecer fiebre. Dependiendo de qué tipo de absceso tengamos, se pueden presentar unos síntomas u otros y podemos ayudar a aliviar el aliviar el dolor de diferentes maneras.
En los abscesos endodónticos o periapicales suelen presentarse episodios agudos de dolor punzante, el típico dolor de muelas. Este dolor suele agudizarse cuando se está en posición de reposo o tumbado. Lleva también aparejada una extrema sensibilidad dental al calor o al frío.
Por otro lado, en los abscesos periodontales, puede verse el forúnculo infectado en las encías. Se nota además una cierta inflamación en la zona que lo rodea de las encías. A veces, se tiene mal sabor de boca y halitosis.
Remedios Caseros para Aliviar el Dolor y la Inflamación
Aunque no existen remedios caseros para curar un flemón, se puede aliviar el dolor al aplicar hielo, enjuagarse con agua tibia y sal, o usar compresas de té negro. Una vez ya sabemos que la única alternativa viable para cortar de raíz este problema es visitando al dentista, tenemos que hablar de algunas técnicas que gente ha puesto de manifiesto que les ha servido para minimizar las molestias. Entonces, ¿Qué puede hacer?¿Qué podemos hacer para mitigarlos?
Aunque su dentista es el único que puede tratar de manera conveniente estas dolencias, existen varias cosas que usted puede hacer para reducir y aliviar el dolor y las molestias que producen los abscesos en la boca. Es decir, existen una serie de remedios caseros para abscesos de dientes y encías.Vamos a ver cuales son esos remedios caseros para dolor de dientes y encías y determinar cuales son los más adecuados para cada tipo de absceso. Recuerde que todos estos solo tienen como objeto el aliviar los síntomas, pero en ningún caso serán por sí solos suficientes para eliminar los abscesos. Antes o después, deberá acudir a su dentista para deshacerse de este problema, y cuanto antes lo haga, mejor.
A continuación, exponemos una serie de remedios caseros para aliviar la inflamación de encías o abscesos:

- Empleo de analgésicos: En cualquier farmacia, podemos encontrar algunos analgésicos antiinflamatorios de uso común que no necesitan de receta médica para su compra, como el ibuprofeno, el paracetamol y la aspirina. Los analgésicos son efectivos para ambos tipos de abscesos.Aunque nos puede sacar de un apuro en un momento, si estamos sufriendo una crísis fuerte con dolores agudos, es recomendable no abusar de ellos y consultar siempre con su médico lo antes posible. Este le dirá cual es la dosis más adecuada para usted.
- Sesiones de acupuntura/acupresión: La acupresión y la acupuntura pueden aliviar el dolor de las encías o de los abscesos dentales. Los ensayos clínicos muestran que estos remedios para el dolor de dientes reducen el dolor de muelas y la inflamación, pues entumece la zona afectada de manera similar a como lo haría un analgésico.
- Aplicarse bolsitas de infusiones: Varias infusiones como la manzanilla y la menta tienen propiedades calmantes y antibacterianas. Aplicarse las bolsitas humedecidas en la zona afectada durante un tiempo pueden mitigar el dolor. Entre los remedios caseros para abcesos en dientes y encías, pueden emplearse tanto para los abscesos endodónticos como para los periodontales.
- Utilizar clavo de olor: El clavo de olor viene del árbol del clavo. Posee eugenol, un componente que tiene virtudes antibacterianas y sirve para reducir molestias y aliviar la zona inflamada. Se crea una pasta a base de esta flor y agua, que posteriomente ha de aplicarse sobre la zona en cuestión. Este proceso debe repetirse 3 veces al día durante 15 minutos.
- Tomar gel de benzocaína: El gel de benzocaína se usa como un anestésico tópico para aliviar rápidamente el dolor de dientes y encías. El gel de benzocaína al 20% adormece la zona afectada temporalmente. Las marcas de benzocaína de venta libre más comunes son Orajel y Anbesol. Nunca emplee este gel en niños pequeños.
- Aceites esenciales: Algunos aceites y esencias, cómo el aceite de clavo, puede ofrecer un cierto alivio a corto plazo para el dolor de las encías y los abscesos dentales. Los ensayos clínicos demuestran que el aceite de clavo puede ser tan efectivo como la benzocaína para el alivio del dolor de muelas. Los aceites esenciales se han utilizado durante siglos por sus propiedades medicinales. Los aceites esenciales se elaboran a partir de plantas que se destilan con agua o vapor o se prensan en frío para extraer el aceite de las hojas y los tallos de la planta.Las esencias y aceites más comunes que se aplican para esta dolencia son el de clavo, de menta, de orégano y de tomillo. Para aplicarse deben diluirse en una aceite base al 50% y aplicarse en la zona inflamada con un algodón o bastoncillo por unos 5 minutos. Luego espere unos 10-15 minutos y a continuación enjuáguese la boca con agua.
- Compresas frías: Uno de los mejores remedios caseros para abcesos en dientes y encías puede ser usar una compresa mojada en una taza de agua tibia, colocada en la parte exterior de la cara, puede ayudar a aliviar la inflamación e hinchazón causada por un absceso dental. Sosténgala en el área del dolor durante 20 minutos al menos en cada ocasión. Asegúrese de usar un paño como barrera entre su piel y la compresa para evitar la irritación de la piel.
- Almohada de cuña: El dolor de los abscesos dentales tiende a empeorar al acostarse. Es lo que se conoce como dolor posicional. Dormir en una almohada de cuña para elevar la cabeza puede reducir el dolor que se siente y de esta forma permitir que podamos dormir mejor.
- Enjuagues bucales con agua salada: Los enjuagues bucales con agua salada pueden aliviar el dolor asociado a los abscesos en las encías. El agua salada al aplicarse en enjuagues bucales, tiene propiedades antiinflamatorias y curativas sobre las heridas.Para hacer el enjuague llene un vaso con agua tibia y añádale una cucharada de sal rosa del Himalaya. A continuación, proceda a enjuagarse la boca con la disolución. Haga esto 4 o 5 veces al día.
- Enjuagues con bicarbonato sódico: El bicarbonato de sodio tiene propiedades antibacterianas y puede aliviar el dolor de las encías causado por un absceso Además ayudará a mantener un Ph en su boca más alcalino, lo que combate la acidez provocada por la presencia de placa bacteriana. Un tratamiento casero para los abscesos dentales que probablemente tienes en tu cocina es el bicarbonato de sodio.Enjuagarse la boca con una solución de bicarbonato de sodio y agua tibia ayudará a reducir la cantidad de placa en la boca y ayudará a aliviar el dolor.Si tienes un absceso en un lado del diente o en las encías, puedes hacer una pasta de bicarbonato de sodio y agua y aplicarla directamente sobre el diente o la encía en lugar de usar el enjuague. Si la infección en tu diente está en otra parte del mismo, utiliza el enjuague.Para un enjuague efectivo, disuelva el bicarbonato en agua tibia, en una proporción de 1 a 1. A continuación, añada sal rosa del Himalaya y remueva la mezcla. Enjuáguese la boca con esta solución de 3 a 5 veces al día.

También puedes probar estos remedios:
- Aplica hielo o una compresa fría sobre la zona inflamada.
- Enjuágate la boca con agua tibia y sal.
- Coloca una bolsita de té negro sobre el flemón. Caliéntala previamente y deja que se enfríe para que no te queme.
- Utiliza aceite de árbol de té: disuelve una cucharada en un vaso de agua, humedece un algodón con la mezcla y colócalo sobre la zona afectada.
- Mezcla clavo de olor con agua. Aplica la pasta resultante sobre el flemón y déjala actuar durante 15 minutos.
- Sal y bicarbonato de sodio: Estos dos componentes, mezclados y aplicados en un algodón, una vez puestos en la zona afectada nos ayudarán a drenar la pus y a reducir la inflamación.
- Té negro: No hablamos de realizar un té al uso, sino de coger una bolsita de té negro todavía seca y aplicarla en la zona afectada.
Cuándo Debemos Acudir a Nuestro Dentista
Tras conocer los remedios caseros para la inflamación de encías o abscesos, debemos hacer hincapié en que estos son considerados emergencias dentales. De hecho, el 63% de las estancias hospitalarias por problemas dentales se deben a abscesos de encías o dientes. Por ello, y con el objetivo de evitar complicaciones más graves, resulta fundamental actuar cuanto antes.
Aunque existen, como hemos citado anteriormente, remedios caseros para dolor de dientes y encías es su dentista de confianza quien le realizará el tratamiento adecuado para curar las molestias. Él diagnosticará el motivo por el que se ha desarrollado este flemón y en base a esto, realizaremos un tratamiento que se adapte a la situación y las necesidades que presenta el paciente.
Como el pus en la encía es uno de esos avisos que no debemos pasar por alto, si estás en esta situación te recomendamos llamar a una de las clínicas MAEX Dental para que podamos ofrecerte una cita de urgencia. Contamos con odontólogos con amplia experiencia en el tratamiento de infecciones complejas.
Si experimenta alguno de los siguientes síntomas descritos, debe acudir de inmediato a su clínica de confianza para que le hagan una revisión y un diagnóstico adecuado. Recuerde que solo un profesional de la odontología puede ayudarle a eliminar la infección con el tratamiento más conveniente para usted y recetarle lo más adecuado, por ejemplo, antibiótico.
Así que si después de aplicar remedios caseros para abcesos en dientes y encías sigue teniendo molestias, llámenos, le podemos ayudar. Para ello, el paciente debe ir al odontólogo de urgencia. Para llevar a cabo dicha intervención, el dentista hará una incisión o aspiración con aguja del líquido infectado del flemón (pus). Una vez bajada la carga bacteriana con los medicamentos, se planificará el tratamiento del diente afectado.
En los flemones, la extensión de la infección se produce de manera relativamente rápida. Por tanto, lo más recomendable es acudir a la clínica dental entre una y dos veces al año. Así, el odontólogo llevará a cabo una revisión general y el paciente podrá someterse a una limpieza bucodental profesional. El flemón requiere, en todos los casos, tratamiento odontológico profesional. Por ello, es necesario acudir al dentista cuanto antes. Sin embargo, recurrir a ellos solamente hará que pierdas el tiempo y postergues la verdadera solución.
Si necesitas nuestra ayuda, puedes llamar a las clínicas dentales Vitaldent para ser valorado y tratado por un odontólogo experimentado en tu caso. Contamos con clínicas en, prácticamente, toda España y horarios amplios e ininterrumpidos para tratar problemas dentales de manera urgente.
Prevención de Abscesos Dentales
Para una buena higiene bucal es necesario realizar un buen cuidado y una correcta limpieza de los dientes. En el caso contrario, se corre el riesgo de la aparición de un absceso. Para ello, es necesario realizar un buen cepillado con un correcto cepillo de dientes y utilizar bien el hilo dental.
Para prevenir un absceso dental lo mejor que podemos hacer es acudir a las revisiones con nuestro dentista de confianza. Esto nos ayudará a mantener controlada y tratada la periodontitis, además también es importante realizar radiografías dentales periódicas con el fin de controlar las caries y endodoncias antiguas que no pueden evaluarse de manera visual.

Además, es importante:
- Mantener una higiene bucodental exhaustiva, realizando siempre un cepillado dental durante dos minutos después de cada comida.
- Permanecer atento a la salud oral y autoexplorarse la boca para advertir cualquier cambio repentino.
- Mantener unos correctos hábitos de higiene buco-dental.
- También será importante realizar una tartrectomia o una higiene dental al menos una vez al año.
- Tratar las caries. Es muy importante prevenir y tratar las caries con celeridad.
- Realizar revisiones periódicas con tu dentista. Siempre será mejor la prevención que cualquier tratamiento dental.
- Acude a revisión con tu dentista.
Cuando diagnosticamos un absceso dental debemos seguir los siguientes pasos:
- Drenaje: se usa para eliminar la pus y poder disminuir la presión.
- Una endodoncia es un tratamiento para mantener tu diente.
Existen una gran variedad de remedios caseros para el absceso dental que podrías probar en casa. Sin embargo te recordamos que estos remedios no solucionan el problema pero podrían ayudarte a aliviarlo un poco. Lo mas recomendable es acudir a tu dentista de confianza para que te asesore y evitar dañar los dientes.
Recuerda que puedes visitar a nuestros profesionales en:
- Clínica Dental Tudela: ☎️ 948 10 81 91, Avda. Zaragoza 47 Tudela, CP: 31500
- Clínica Dental Calahorra: ☎️ 941 03 05 56, Avda.