Una sonrisa deslumbrante es una de las mejores cartas de presentación que podemos tener. Las carillas dentales se han convertido en la solución estrella para conseguirla, pero ¿sabías que no todas son iguales? Si estás pensando en transformar tu sonrisa con carillas pero te sientes perdido entre "composite" y "porcelana", sigue leyendo.
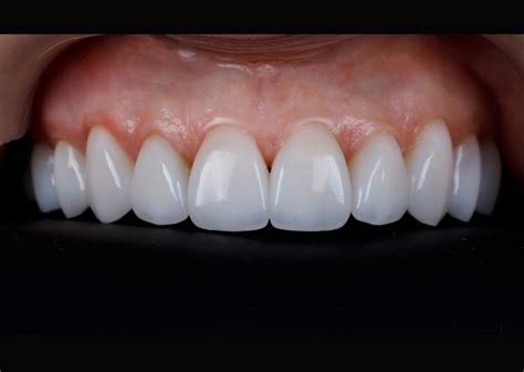
Las carillas dentales son láminas extremadamente finas que se adhieren a la parte frontal de los dientes para mejorar su apariencia. Se utilizan en odontología estética para corregir diversos problemas, como el color, la forma, el tamaño de los dientes, los espacios entre ellos y fracturas menores. Estas láminas están diseñadas para cubrir imperfecciones y crear una sonrisa más brillante y atractiva.
¿Te preguntas si duele colocarlas? En general, no.
Tipos de Carillas Dentales
Existen distintos tipos de carillas dentales disponibles, para que puedas elegir la opción adecuada según tus necesidades y preferencias.
- Carillas de composite: Están fabricadas con una resina similar a la que utilizamos para los empastes estéticos modernos.
- Carillas de porcelana: Representan el estándar dorado en estética dental.
- Carillas de zirconio: Opción de alta gama para aquellos que buscan la máxima estética y resistencia.
- Carillas de disilicato de litio (e.max): Las más utilizadas en estética dental avanzada. Son láminas ultrafinas hechas de una combinación de cerámica y vidrio.
- Carillas sin preparación o mínimamente invasivas: También conocidas como carillas de lente de contacto dental, son ultrafinas y se adhieren directamente a la superficie de los dientes existentes sin la necesidad de tallar o reducir el esmalte dental.
La elección ideal depende de factores personales como tu presupuesto, expectativas estéticas, el estado actual de tus dientes, tus hábitos (consumo de café, tabaco) y la durabilidad que deseas. La clave está en una evaluación profesional personalizada.
Carillas de Composite
Las carillas de composite están hechas de una resina compuesta que se adhiere directamente a la superficie del diente. El proceso de colocación es relativamente sencillo. Tras una preparación mínima del diente, el especialista aplica la resina capa por capa, dándole forma y puliendo hasta conseguir el resultado deseado. Se aplican directamente sobre el diente en capas en una sola visita. El dentista las esculpe y les da forma.
Ventajas de las carillas de composite:
- Un precio más accesible
- Rapidez en el tratamiento
- Facilidad de reparación
- Un tallado mínimo o nulo del diente natural
- Proceso rápido: el tiempo de colocación es más corto, ya que no requiere el uso de moldes o impresiones dentales.
Son adecuadas para pacientes que buscan una solución económica y que no requieren la máxima durabilidad.
En Smysecret siempre recomendamos las carillas inyectadas, es decir, las de composite, y, a continuación, te vamos a explicar el por qué.
Fabricación: para realizar las carillas de composite, se aplica el material sobre el diente del paciente y se le va dando forma.
Pero, a diferencia de estas, las carillas de composite no necesitan tallar los dientes naturales del paciente para ser colocadas, por lo que son un tratamiento mucho menos invasivo.
Además, otra de las ventajas con respecto a las carillas de porcelana es que las carillas de composite se pueden retirar. Es decir, si un paciente decide dejar a un lado el tratamiento y volver a lucir sus dientes naturales, puede hacerlo. En este sentido, podemos decir que las carillas de composite pueden ser temporales, pero las de porcelana son indefinidas e irreversibles.
Por último, y como ya sabrás, es Smysecret nos decantamos por los tratamientos cómodos, rápidos y eficaces, pero también económicos.
Como comentábamos previamente, una de las principales ventajas de las carillas de porcelana es que, al estar hechas de materiales cerámicos, son mucho más resistentes y por tanto duran más.
Por el contrario, las carillas de composite suelen durar entre 3-5 años, ya que al estar hechas de composite inyectado son porosas y, por tanto, tienden a decolorarse.

En España, el precio de una carilla de porcelana suele rondar entre los 400-850€, mientras que el precio de las carillas de composite suele ser de unos 200€ cada pieza.
Carillas de composite - Qué son y cómo se aplican
Carillas de Porcelana
Las carillas de porcelana son conocidas por su durabilidad y estética superior. La porcelana es un material que imita de manera muy natural el esmalte dental, ofreciendo una apariencia translúcida y brillante. Las carillas de porcelana son las más conocidas y se fabrican en un laboratorio dental para que se ajusten perfectamente a tus dientes.
El proceso de colocación requiere varias visitas. Primero se realiza un tallado mínimo del diente, se toman impresiones y se envían a un laboratorio para fabricar las carillas a medida. En una segunda visita, se adhieren definitivamente.
Ventajas de las carillas de porcelana:
- Estética excelente
- Gran durabilidad (10-20 años)
- Resistencia a las manchas y al desgaste
- Son biocompatibles
- Ofrecen unos resultados muy naturales y apenas son perceptibles, algo que nuestros pacientes aprecian considerablemente.
En términos de apariencia, las carillas de cerámica tienden a ofrecer resultados más naturales y estéticamente atractivos. Esto se debe en parte al proceso de fabricación personalizada y a la durabilidad a largo plazo que ofrecen las carillas de cerámica.

Para las carillas de cerámica, generalmente se requiere la eliminación de una pequeña cantidad de esmalte dental para asegurar un ajuste adecuado. Luego, se toman impresiones dentales para la fabricación personalizada de las carillas en un laboratorio dental.
Carillas de composite - Qué son y cómo se aplican
Carillas de Zirconio
El zirconio es un material cerámico extremadamente duradero y translúcido, que imita la apariencia de los dientes naturales de manera excepcional. Estas carillas son altamente resistentes a las manchas y ofrecen resultados duraderos.

Carillas de Disilicato de Litio (e.max)
Las carillas de disilicato de litio son láminas ultrafinas hechas de una combinación de cerámica y vidrio. Este es un material más nuevo en el mundo de las carillas. Los dos tipos de carillas siguen un proceso de colocación similar, pero las carillas de disilicato de litio suelen requerir una preparación previa menor.
¿Qué material es más resistente?
Las carillas más resistentes son las de disilicato de litio, seguidas de las de porcelana. La resistencia de una carilla dental depende principalmente de su material, espesor, técnica de adhesión y el tipo de mordida del paciente.
Aquí tienes una tabla comparativa de los diferentes tipos de carillas:
| Tipo de Carilla | Material | Durabilidad | Estética | Precio |
|---|---|---|---|---|
| Composite | Resina compuesta | 3-5 años | Buena | Económico |
| Porcelana | Cerámica | 10-20 años | Excelente | Medio-Alto |
| Zirconio | Cerámica de zirconio | 15-25 años | Excelente | Alto |
| Disilicato de Litio | Cerámica y vidrio | 10-15 años | Excelente | Medio-Alto |
En Dental Care Barcelona, tu clínica dental de confianza en el centro del Eixample de Barcelona, sabemos que una sonrisa saludable es fundamental para tu bienestar y confianza. Entendemos que los problemas estéticos en los dientes, como manchas, fracturas, espacios o desgaste, pueden afectar la apariencia de tu sonrisa y tu autoestima.
tags: #que #carillas #son #mas #resistentes