Se entiende por estomatitis la inflamación de la mucosa que aparece en cualquiera de las estructuras de la boca. Puede afectar a la lengua, las encías, el paladar, la cara interna de las mejillas, los labios e, incluso, a la garganta. La estomatitis, también conocida como gingivoestomatitis, es una inflamación que afecta la mucosa bucal, provocando hinchazón y lesiones en diferentes partes de la boca, como los labios, el paladar, la lengua, las encías y las mejillas.
Si últimamente has notado llagas o úlceras en la boca, manchas rojas en el paladar o un dolor persistente en la garganta, podrías estar experimentando estomatitis. La boca es un órgano expuesto a agentes externos, que a veces resultan nocivos. En ciertas ocasiones, la causa de la estomatitis es desconocida, y en otros casos, es la expresión de algún tipo de deficiencia o de alguna infección.
Es una inflamación de las mucosas orales que evoluciona por recidivas, más frecuente en los niños o las mujeres, y su característica distintiva es la presencia de aftas. Genera dolor y molestias, que dificultan los actos de masticar, tragar, hablar e incluso bostezar. Como sabes, la integridad de las mucosas orales facilita las funciones respiratoria y digestiva.
Dependiendo de su intensidad, esta inflamación puede generar dolor en las comisuras de los labios y las mejillas internas. En algunos casos, también es posible sentir hormigueo en la lengua y los labios, así como la aparición de úlceras y llagas en la boca.
🌿👄 LLAGAS en NIÑOS: 10 REMEDIOS CASEROS para curar las Aftas en la boca de los niños
Tipos de Estomatitis
Existen varios tipos de estomatitis, entre los cuales destacan:
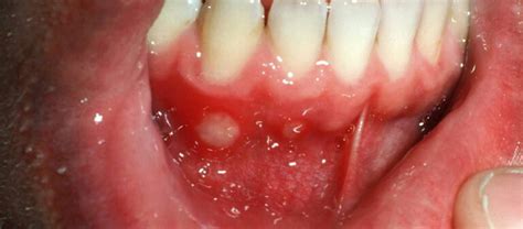
- Estomatitis Aftosa: Es la más común y se caracteriza por la aparición de úlceras pequeñas, redondeadas y dolorosas de color blanco o amarillento, rodeadas de un borde rojo. Suelen localizarse en el interior de las mejillas, la lengua o el labio inferior. Estas lesiones, que generalmente miden menos de 10 milímetros, suelen precederse por una sensación de escozor u hormigueo.
- Estomatitis Herpética: Causada por el virus del herpes simple, esta variante es más frecuente en niños menores de seis años. Se caracteriza por la aparición de vesículas llenas de líquido que, al romperse, forman aftas muy dolorosas.
- Estomatitis Angular: Conocida popularmente como «boqueras», esta variante provoca heridas en las comisuras de los labios y manchas rojas incómodas. En casos crónicos, la piel de la zona se engrosa y puede agrietarse al abrir la boca, generando un dolor considerable.
- Estomatitis subprotésica: lesiones que aparecen en el área de soporte de las prótesis, habitualmente paladar duro o reborde óseo mandibular.

Principales Causas de la Estomatitis
Las causas de la estomatitis son variadas y pueden estar relacionadas con factores internos y externos. A nivel de la mucosa oral, existen numerosos microorganismos que, por diversas razones, pueden predisponer a la aparición de la estomatitis. A veces, con la aparición de la estomatitis, se puede destacar una disminución de las defensas naturalmente presentes en la cavidad bucal; este déficit favorece el establecimiento y la proliferación de bacterias, virus u hongos, que pueden ejercer su acción patógena.
Estas son algunas de las causas principales por las que suele darse la aparición de estomatitis:
- Infecciones: si ocurre una infección en una herida o llaga en la boca, esta puede causar la enfermedad.
- Enfermedad sistémica: si la persona cuenta con una enfermedad que afecte a los diferentes tejidos.
- Algún tipo de irritante: puede aparecer por algún producto químico que haya dañado la boca al entrar en contacto con ella.
- Estrés o ansiedad: muchas personas no lo saben, pero los nervios o el estrés también son una de las causas para que pueda aparecer este problema bucal.
Síntomas de la Estomatitis
La estomatitis puede provocar diferentes síntomas, todos ellos localizados en la cavidad oral: hinchazón, enrojecimiento, en ocasiones úlceras orales (aftas) y sangrado. Además, dependiendo de la zona de aparición, puede estar asociada a trastornos secundarios como: gingivitis (encías), glositis (lengua) o queilitis (labios).
Para que la identifiques es crucial conocer que puede causar y cuáles son los síntomas de la estomatitis. Hablamos de ellos a continuación:
- Aparición de más de una llaga o herida en cualquier lugar de la boca.
- Que las aftas tengan formas y tamaños muy variables.
- Dolor constante en la zona localizada en la que estén las heridas o rozaduras.
- Hinchazón en las llagas que no suele haber.
- Aparición muy continua de llagas en un corto espacio de tiempo.
Diagnóstico y Tratamientos para la Estomatitis
El diagnóstico de la estomatitis se realiza a través de una evaluación clínica detallada. Al elaborar la historia clínica, el odontólogo interroga al paciente acerca de algunos antecedentes relevantes. Entre ellos figuran el consumo de medicamentos, las posibles alergias, el contacto con personas infectadas y el régimen de alimentación. También indaga acerca de los síntomas y su duración.
La revisión de la boca suele ser suficiente para localizar e identificar las lesiones. Sin embargo, en los casos de estomatitis herpética, conviene que te realicen algunas pruebas para confirmar la presencia del virus. Antes de iniciar el tratamiento, es importante recordar que es fundamental identificar la causa específica que ha provocado la aparición de la estomatitis.
Tratamientos para la Estomatitis
En la mayoría de los casos, la estomatitis desaparece por sí sola en un plazo de 7 a 10 días. El tratamiento que hay que seguir puede ser diferente para cada persona. Estos son algunos de los que se suelen llevar a cabo:
- Toma de antibióticos recetados por un médico para evitar infecciones o problemas mayores. También en ocasiones se recetan analgésicos para el dolor que causa.
- Enjuagar la boca repetidas veces en el día para evitar la sequedad y, por lo tanto, la aparición de heridas.
- Evitar hasta que desaparezcan los síntomas como los alimentos demasiado picantes, muy crujientes o excesivamente calientes.
- Ingerir 2 litros de agua al día.
- No tomar alcohol ni fumar durante el proceso de curación.
El tratamiento de las aftas bucales depende de la causa y la gravedad de la lesión.
Si la causa se desconoce, el tratamiento debe ir encaminado a aliviar los síntomas.
En el caso de que las úlceras bucales aparezcan como consecuencia de una infección, puede que sea necesario seguir un tratamiento antibiótico, antifúngico o antiviral.
En cambio, si su origen está en una alimentación con una deficiencia de hierro, zinc, ácido fólico, vitamina B12 o vitamina B6, hacer cambios en la dieta y el consumo de un suplemento nutricional contribuirá a prevenir su reaparición.
¿Cuándo Debes Consultar por la Estomatitis?
Es importante acudir al dentista para realizar un diagnóstico más profundo si:
- Las aftas están presentes en buena parte de la boca, con dolor intenso.
- La enfermedad persiste y se prolonga más de dos semanas.
- Las molestias te impiden hablar o comer, y estás perdiendo peso.
- Si para un niño se dificulta la ingesta, el riesgo de deshidratación es alto.
Cómo Tratar la Estomatitis en Casa
Aquí hay algunos remedios caseros que pueden ayudar a aliviar los síntomas de la estomatitis:
- Enjuagues con Agua Salada: El agua salada es uno de los remedios más comunes y efectivos para calmar la estomatitis.
- Aloe Vera: El aloe vera es conocido por sus propiedades curativas y calmantes, lo que lo convierte en un excelente remedio natural para tratar la estomatitis.
- Miel de Abeja: La miel tiene propiedades antibacterianas y antiinflamatorias que pueden ser útiles para aliviar las úlceras causadas por la estomatitis.
- Bicarbonato de Sodio: El bicarbonato de sodio es un excelente agente alcalinizante que puede ayudar a neutralizar los ácidos en la boca y aliviar la irritación de las úlceras.
- Infusión de Manzanilla: La manzanilla tiene propiedades calmantes y antiinflamatorias que pueden ayudar a reducir la inflamación y aliviar el dolor en la boca.
- Aceite de Clavo de Olor: El clavo tiene propiedades antimicrobianas y analgésicas que pueden ser útiles para calmar el dolor y combatir las infecciones en la boca.
- Leche de Magnesia: Una correcta higiene oral es clave para prevenir infecciones y la aparición de úlceras.

Medidas Preventivas
A pesar de que la mayoría de las veces se desconoce el por qué aparecen llagas en la boca, hay medidas que pueden ayudar a prevenir su reaparición. Entre otras, tener unos buenos hábitos de higiene bucodental, seguir una dieta saludable que evite deficiencias nutricionales, masticar despacio para evitar morderse la lengua, los labios o la cara interna de las mejillas, reducir el estrés o proteger la boca de rozaduras en caso de usar ortodoncia u otros dispositivos dentales. También conviene prestar atención a lo que se come para tratar de identificar aquellos alimentos que irritarían la mucosa oral.
Aquí hay algunos consejos que puedes seguir para intentar evitar que aparezca el problema. Eso sí, hay que tener en cuenta que a veces no hay forma de evitarla y hay que llevar los tratamientos adecuados a cabo:
- Una buena higiene bucodental: lavarse los dientes 3 o 4 veces al día y la utilización de colutorios e hilo dental puede ser una de las mejores maneras de evitar que aparezca.
- Evitar alimentos y bebidas que irriten: puede parecer algo obvio, pero es uno de los mejores consejos. Si se suele tener este problema lo mejor es evitar alimentos picantes o ácidos y bebidas con mucho azúcar.
- Alimentación saludable: contar con una dieta equilibrada hará que el sistema inmunológico esté fuerte y, por lo tanto, que sea menos probable tener infecciones en la boca.