El sarro dental es un problema común pero prevenible que puede afectar significativamente la salud bucal. El sarro, también conocido como cálculo dental, es una acumulación endurecida de placa bacteriana que se forma en los dientes y puede dañar el esmalte dental y provocar caries.
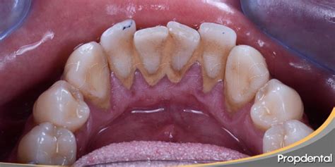
El sarro, también conocido como cálculo dental o tártaro, puede producir uno de los problemas bucodentales más frecuentes, a pesar de que muchas personas no le dan demasiada importancia. El sarro en los dientes es una acumulación endurecida de placa bacteriana, formada por la mineralización de restos de alimentos, bacterias y saliva. Este depósito calcificado suele ser de color amarillo o marrón y se adhiere firmemente a la superficie de los dientes, siendo difícil de eliminar con la simple acción de cepillado.

¿Qué es el Sarro y Cómo se Forma?
El sarro, a veces denominado cálculo o tártaro dental, es la placa que se ha endurecido en los dientes debido al depósito de minerales. El sarro, conocido científicamente como cálculo dental, es una acumulación endurecida de placa bacteriana en los dientes. La placa es una mezcla pegajosa de bacterias, saliva y restos de alimentos que, si no se elimina adecuadamente, se mineraliza convirtiéndose en sarro. Este proceso se ve acelerado por sustancias en la saliva que facilitan la cristalización de los minerales.
Causas de la Aparición del Sarro en los Dientes
El sarro en los dientes se origina por distintos factores que contribuyen a su acumulación y desarrollo. La formación de sarro puede estar influenciada por diversos factores, incluyendo factores genéticos y de salud bucal, así como la edad y la composición de la saliva. La causa principal del sarro es la placa bacteriana, una película pegajosa compuesta principalmente de bacterias.
Como hemos comentado, el sarro se forma cuando la placa bacteriana se mezcla con saliva y restos de comida y se endurece. Esto puede ser el resultado de una mala higiene bucodental, pero no siempre es el caso.
Además de una incorrecta higiene bucal, existen otros factores que propician la aparición del sarro. Entre ellos, se encuentran los siguientes:
- El consumo excesivo de alimentos o bebidas ricos en azúcar.
- El tabaquismo.
- El consumo excesivo de café, té o vino.
- El uso incorrecto o prolongado de algunos colutorios.
- La malposición o mala alineación de los dientes.
- Factores genéticos que afectan a la saliva como el grado de acidez (pH).
- Producir una cantidad insuficiente de saliva debido al uso de medicamentos u otras condiciones médicas.
- Tener edad avanzada.
Veamos más en detalle algunas de estas causas:
Higiene Bucal Inadecuada
La base de la formación de sarro es una higiene bucal deficiente. Cuando los dientes no se cepillan adecuadamente o no se utiliza hilo dental regularmente, la placa bacteriana se acumula en los dientes y, con el tiempo, se endurece formando sarro. Especialmente crítico es el cepillado antes de dormir, ya que durante la noche la producción de saliva disminuye, lo que facilita la acumulación de placa.
Dieta Rica en Azúcares y Almidones
La alimentación juega un papel crucial en la formación de sarro. Los alimentos y bebidas ricos en azúcares y almidones contribuyen a la formación de ácidos en la boca. Estos ácidos favorecen la proliferación de bacterias y, por lo tanto, la formación de placa que eventualmente se convierte en sarro. Snacks frecuentes y bebidas azucaradas son particularmente perjudiciales.
Genética y Factores Individuales
Las características individuales, como la composición química de la saliva, pueden afectar a la formación del sarro. Algunas personas producen saliva que favorece la acumulación de minerales en la placa, acelerando la formación de sarro. Además, ciertos factores genéticos pueden predisponer a las personas a una mayor formación de sarro.
Tabaquismo
El tabaquismo es otro factor significativo en la formación de sarro. Los productos del tabaco no solo manchan los dientes, sino que también afectan la saliva, facilitando la acumulación de placa y su posterior mineralización en sarro.
Edad
La probabilidad de desarrollo de sarro aumenta con la edad. Con el tiempo, la acumulación de placa se vuelve más probable, y la eficacia de las técnicas de higiene bucal puede disminuir, especialmente si hay problemas de movilidad o destreza manual.
Secado de Boca y Medicamentos
Ciertos medicamentos y condiciones que reducen la producción de saliva pueden contribuir a la formación de sarro. La saliva juega un papel crucial en la limpieza natural de la boca, y su disminución puede acelerar la formación de placa y sarro.
Impacto del Sarro en los Dientes
El sarro en los dientes puede provocar una serie de problemas que afectan a la salud de la boca.
Enfermedades de las Encías
El sarro en los dientes proporciona una superficie rugosa que facilita la acumulación de más placa, lo que puede conducir a gingivitis y, potencialmente, a periodontitis. Gingivitis: el cúmulo de sedimentos en dientes afecta especialmente a los tejidos blandos, produciendo inflamación e irritación de las encías. Dicha inflamación viene acompañada de sangrado y edema sin llegar al desgaste del hueso.
Mal Aliento
El sarro alberga bacterias que pueden causar mal aliento o halitosis.
Decoloración y Daño Dental
El sarro puede manchar los dientes y, a largo plazo, contribuir a la erosión del esmalte dental.
Otros Problemas
Además, los trastornos dentales pueden llegar a provocar una gran variedad de problemas de salud sistémicos como trastornos digestivos o enfermedades cardiovasculares, entre otros.
Prevención del Sarro
La prevención del sarro es crucial para mantener una buena salud bucal. La prevención del sarro es una parte crucial del cuidado bucodental. A continuación, se detallan estrategias efectivas para prevenir la formación de sarro y mantener una salud oral óptima:

Cepillado Efectivo
Utilizar una técnica de cepillado adecuada es fundamental. Se recomienda cepillar los dientes al menos dos veces al día, durante dos minutos cada vez, utilizando una pasta dental con fluoruro. Prestar especial atención a los molares posteriores y a las áreas cerca de la línea de las encías, donde el sarro tiende a acumularse más.
Usar Hilo Dental
El hilo dental no solo elimina los restos de comida entre los dientes, sino que también ayuda a eliminar la placa que se forma en áreas que el cepillo no puede alcanzar. El uso diario del hilo dental es esencial para prevenir la formación de sarro.
Ya que el cepillo de dientes no llega a toda la comida y bacterias entre los dientes, el uso del hilo dental o enjuague para llegar a estas áreas de difícil alcance, ayuda a combatir la enfermedad periodontal y las caries.
Enjuagues Bucales Antisépticos
Los enjuagues con agentes antisépticos pueden ayudar a reducir la cantidad de bacterias en la boca, disminuyendo la formación de placa y sarro.
Dieta y Nutrición
Reducir el consumo de alimentos y bebidas con alto contenido de azúcares y almidones puede disminuir significativamente la formación de placa. Además, una dieta rica en frutas, verduras y agua ayuda a promover una buena salud bucodental. Aumentar el consumo de manzanas y otras frutas y verduras también contribuye a reducir la aparición de sarro.
Cuando reduce su ingesta de carbohidratos, en especial los azúcares, está reduciendo la habilidad de las bacterias de producir ácidos que pueden causar caries y enfermedad periodontal. Es importante llevar una dieta saludable y variada.
Dejar de Fumar
Dado que fumar es un factor de riesgo significativo para la formación de sarro, dejar de fumar puede reducir drásticamente la acumulación de sarro y mejorar la salud bucal general.
Visitas Regulares al Dentista
Las limpiezas dentales profesionales son esenciales para eliminar cualquier sarro que se haya formado y para revisar la salud bucal general. Se recomienda visitar al dentista al menos una vez cada seis meses para realizar un mantenimiento y comprobar que todo marcha bien.
Por lo tanto, también es necesario que visite a su odontólogo o higienista dental para limpiezas y revisiones.
Productos de Higiene Específicos
Considera el uso de pastas dentales y enjuagues bucales diseñados para controlar la placa y prevenir el sarro. Algunos productos contienen ingredientes específicos que pueden ayudar a prevenir la mineralización de la placa.
Tratamiento del Sarro
El tratamiento del sarro depende del grado de acumulación y su localización en la boca. Si el sarro se encuentra en la superficie de los dientes, el dentista puede utilizar un raspador para eliminarlo. Una vez se ha formado, solamente el odontólogo puede retirarlo mediante una tratectomía, una limpieza dental que permite extraerlo mediante el uso de instrumentos especiales.
En el caso de que el sarro se haya acumulado bajo las encías, es necesario realizar un curetaje o raspado dental. Este implica una limpieza más profunda, que sí suele requerir la aplicación de anestesia local.