La fluorosis dental es una condición que puede afectar el aspecto y la salud de los dientes debido a una exposición excesiva al flúor durante la etapa de formación de los dientes, principalmente en la infancia. En esta entrada del blog explicaremos qué es la fluorosis dental y cómo puede tratarse.

¿Qué es la Fluorosis Dental?
La fluorosis dental es una alteración que afecta el esmalte dental caracterizada por la aparición de manchas y puntos en los dientes. La fluorosis dental es una alteración del esmalte producida por una exposición excesiva al flúor durante el proceso de formación de los dientes. A pesar de que la fluorosis tenga su origen en la primera etapa de la vida, sus síntomas son visibles en los dientes definitivos, en lugar de en los dientes de leche.
La exposición excesiva al flúor da lugar a una hipermineralización del esmalte y provoca que el esmalte no se forme de manera adecuada. Esto afecta a su calidad y deriva en manchas o estrías visibles en los dientes.
Causas de la Fluorosis Dental
La fluorosis se produce cuando los dientes reciben constantemente demasiado flúor durante un largo periodo de tiempo. Esto es especialmente cierto en niños de entre dos y seis años, cuando la formación de los dientes aún no se ha completado.
En general, la principal causa de la fluorosis dental es la sobreexposición al flúor durante la etapa de formación del esmalte. La fluorosis se produce cuando hay demasiado flúor en el organismo. El principio de "menos es más" se aplica al flúor. Sin embargo, no debemos excedernos con la ingesta de flúor. La fluorosis se produce cuando la ingesta de distintos preparados de flúor se combina de forma desfavorable.
Las causas más comunes son:
- Niveles excesivos de flúor en el agua potable.
- Exposición prolongada a productos como pasta de dientes o colutorios con una cantidad de flúor superior a la recomendada.
- El consumo de agua con una concentración de flúor elevada puede causar fluorosis.
- El uso de dentífricos o enjuagues bucodentales con una cantidad de flúor superior a la recomendada.
- El consumo de suplementos con fluoruro en embarazadas o niños menores de seis años también puede provocar fluorosis dental.
En Alemania, Austria y Suiza, el agua potable no está fluorada, por lo que no existe riesgo de fluorosis ósea. En EE.UU. y otros países donde el agua potable está enriquecida con flúor, el uso de un filtro de agua puede ser útil para prevenir la fluorosis.
Mientras tanto, los estudios han demostrado que los dientes absorben mejor el flúor cuando entra en contacto directo con la superficie dental, lo que debería convertir a la pasta de dientes en la fuente de flúor de elección. Por eso, los dentistas recomiendan el uso de dentífricos fluorados para los niños.
Si los padres tienen buenas intenciones para sus hijos y les dan pastillas de flúor y les cepillan los dientes con pasta dentífrica fluorada, simplemente es demasiado de algo bueno.
Manchas Blancas en los Dientes l Fluorosis Dental y otras causas y soluciones
Síntomas de la Fluorosis Dental
Los síntomas de la fluorosis dental pueden variar en función de la severidad del caso. Se calcula que aproximadamente una cuarta parte de la población mundial padece fluorosis, en distintos grados. Afecta tanto a niños como a adultos. Los síntomas dependen de la gravedad de la sobredosis de flúor.
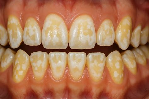
Los síntomas más característicos de la fluorosis dental pueden variar, desde pequeñas manchas o líneas blanquecinas en los dientes que pueden pasar desapercibidas, hasta una tinción de color marrón o grisáceo que puede afectar al diente de forma parcial o total.
Los signos más comunes incluyen:
- Manchas blancas o decoloración en la superficie de los dientes.
- Pequeñas grietas y estrías, normalmente de color blanco.
- Opacificación del esmalte.
- En casos más severos, fisuras y grietas en el esmalte.
- Sensibilidad dental al consumir alimentos o bebidas frías, calientes o dulces.
La manifestación de la fluorosis va desde finas líneas blancas hasta agujeros en el esmalte. A menudo hay manchas blancas en una zona amplia. Los incisivos se ven afectados con más frecuencia que los molares. La fluorosis puede producirse tanto en los dientes de leche como en los permanentes.
Si un niño recibe demasiado flúor durante el desarrollo de los dientes permanentes, éstos pueden erupcionar ya con una coloración blanquecina. El esmalte sigue intacto en el momento de la erupción, pero puede desgastarse rápidamente por fragilidad y porosidad en caso de fluorosis grave.
Las manchas blancas pueden no ser peligrosas y no causan dolor. Sin embargo, muchos de los afectados sufren mucho por ellas. Se avergüenzan de su aspecto e intentan ocultar las manchas, por ejemplo, riendo sólo o hablando por detrás de las manos.
Las manchas blancas en los dientes no son necesariamente un signo de fluorosis. Las denominadas manchas blancas también pueden indicar caries en las primeras fases. Las manchas blancas en los dientes pueden tener otras causas: Tratamientos con antibióticos durante el embarazo o en la infancia, lesiones en los dientes de leche o incluso una disposición hereditaria. En aproximadamente un diez por ciento de los pacientes, padres e hijos presentan las mismas manchas blancas en el mismo diente y en la misma posición.

Tipos de Fluorosis Dental
La fluorosis dental se clasifica en tres tipos según el nivel de gravedad de las manchas sobre el esmalte dental.
- Fluorosis leve: Leves manchas blancas en los dientes, que pueden ser apenas perceptibles a simple vista.
- Fluorosis moderada: Las manchas blancas ocupan entre el 20% y el 50% de la superficie dental.
- Fluorosis severa: Las manchas blancas se extienden en más del 50% de la superficie del diente y pueden estar acompañadas de fisuras y grietas en el esmalte dental.
¿Cómo Afecta la Fluorosis Dental a los Dientes?
La fluorosis dental, siendo fundamentalmente una condición estética, puede afectar la apariencia del esmalte dental, dando lugar a manchas blancas, opacificación o incluso fisuras en la superficie de los dientes.
Aunque generalmente no causa problemas de salud significativos, en casos más severos puede contribuir a la sensibilidad dental y aumentar la susceptibilidad a las caries. Esto se debe a que el esmalte debilitado puede hacer que los dientes sean más propensos a la erosión y la penetración de bacterias, lo que puede conducir a problemas dentales adicionales si no se manejan adecuadamente.
Tratamiento de la Fluorosis Dental
Lo primero que debes saber es que no existe un tratamiento único para la pigmentación provocada por la fluorosis dental. El tipo de tratamiento variará dependiendo del tipo y gravedad de la mancha, por lo que es necesaria una valoración previa en la consulta del odontólogo. El objetivo principal de cualquier tratamiento para la fluorosis dental es asegurar la salud de los dientes, así como restablecer la estética y armonía de la sonrisa.
El tratamiento adecuado irá en función de la gravedad de las manchas causadas por la fluorosis dental. Existen diferentes tratamientos odontológicos disponibles para abordar la fluorosis dental y restaurar la estética de la sonrisa del paciente. La elección del tratamiento adecuado dependerá de la gravedad de la afección del esmalte dental y de las necesidades individuales del paciente.
Opciones de tratamiento:
- Blanqueamiento dental: Se trata de la opción más común en los casos más leves. El blanqueamiento elimina las manchas y los puntos producidos por fluorosis dental. En casos de fluorosis moderada, donde las manchas son más prominentes y afectan una mayor parte del esmalte dental, el blanqueamiento dental es una opción comúnmente recomendada. El blanqueamiento dental implica el uso de geles o agentes blanqueadores que penetran en el esmalte dental y eliminan las manchas, mejorando significativamente el color de los dientes.
- Microabrasión dental: En casos de fluorosis leve, donde las manchas blancas en el esmalte son leves y superficiales, se puede recurrir a técnicas de microabrasión dental. Este procedimiento implica el uso de herramientas y agentes abrasivos suaves para eliminar las manchas y restaurar la apariencia natural de los dientes.
- Carillas dentales: Cuando el blanqueamiento no resulta suficiente, el odontólogo podrá recomendar la colocación de carillas dentales, las cuales pueden ser de composite o porcelana. Las carillas se colocan sobre la superficie de los dientes, ocultando las manchas y mejorando la apariencia general. Las carillas son pequeñas láminas fabricadas en diferentes materiales (cerámicas, de composite o carillas lumineers) que se adhieren al diente mediante una resina especial, con las que se logran resultados estéticos satisfactorios.
- Coronas: El tratamiento indicado para los casos más severos de fluorosis dental puede ser la colocación de coronas. Las coronas son unas prótesis dentales que cubren totalmente la estructura del diente. Por tanto, permiten tapar las manchas o los daños por completo.
En el tratamiento de la fluorosis se suele utilizar una combinación de infiltración de caries y blanqueamiento. En la infiltración de caries, el dentista trata el esmalte con un gel ácido para que el esmalte se abra y una resina muy fluida llamada ICON pueda penetrar en las cavidades. Así se restaura la estructura dental y se sella el esmalte.
Recomendaciones para prevenir la fluorosis dental:
- Utilizar únicamente dentífricos especialmente recomendados para niños y en la dosis recomendada por el fabricante.
- Adaptar la cantidad de pasta de dientes: no es recomendable guiarse por las imágenes de los anuncios de dentífricos en televisión, y menos en el caso de los niños. No es necesario ni aconsejable que la pasta rebose en el cepillo. Además, la cantidad de dentífrico también tiene que estar adaptada para cada edad. Por ejemplo, en los bebés dicha cantidad debe ser mínima, ya que no saben enjuagarse ni escupir.
- Evitar comer en exceso alimentos con una alta concentración de flúor como el pescado azul o las espinacas.
- Consumir agua mineral embotellada: los niños menores de seis años que viajan a regiones donde el agua potable tiene una concentración de flúor superior a la recomendada para su edad deberán usar agua mineral embotellada.
- Usar productos de higiene oral específicos para cada edad: los niños menores de seis años no podrán utilizar dentífricos ni colutorios para adultos.
- En primer lugar, está indicado el uso de pastas de dientes y colutorios infantiles, con cantidades de flúor adaptadas a las necesidades de los más pequeños. Además, los padres deberán de vigilar que, tras el cepillado, el niño o la niña escupa el exceso de espuma que se genera durante el cepillado. En segundo lugar, es importante dosificar la cantidad de pasta dentífrica necesaria para un correcto cepillado: no debe superar el tamaño de un garbanzo pequeño, aproximadamente. Por último, recuerda mantener los productos de higiene dental fuera del alcance de los niños.
Tomar estas precauciones puede ayudar a reducir significativamente el riesgo de fluorosis dental y asegurar que los dientes de los niños crezcan sanos y fuertes.
| Edad | Concentración de Flúor |
|---|---|
| Bebés | Mínima (supervisión constante) |
| Niños menores de 6 años | Dentífricos infantiles (cantidad del tamaño de un guisante) |
| Niños mayores de 6 años y adultos | Dentífricos para adultos (cantidad moderada) |
Importante: La información facilitada presupone que no se toman comprimidos de flúor al mismo tiempo. Si llevas a tu hijo al dentista con regularidad, el inicio de la fluorosis puede detectarse rápidamente y se puede frenar su deterioro.