El sarro, también conocido como cálculo o tártaro dental, es la consecuencia del endurecimiento de la placa bacteriana. Esta placa es una película que se deposita sobre los dientes y está compuesta de bacterias, saliva, restos de comida y células muertas, apareciendo en todas las personas.

Formación y composición del sarro
La placa dental se deposita continuamente en los dientes, incluso después del cepillado, desarrollándose en su superficie al cabo de unas 24 horas. Si no se retira mediante el cepillado, después de aproximadamente 72 horas, comienza a endurecerse y se convierte en sarro al entrar en contacto con sales minerales presentes en la cavidad bucal.
El sarro es, por tanto, resultado del endurecimiento de esa placa bacteriana no retirada, formando un recubrimiento blanquecino o amarillento en la base de los dientes, especialmente en los dientes inferiores anteriores por el lado de la lengua y en los molares superiores por el lado de la mejilla. La placa puede eliminarse mediante el cepillado diario, sin embargo, el sarro no puede eliminarse mediante cepillado y solo puede eliminarlo adecuadamente un dentista o un higienista dental.
El sarro está compuesto en su mayor parte (del 70 al 90%) por elementos inorgánicos ―sales minerales―, que se combinan con sustancias orgánicas como proteínas, carbohidratos y, en menor medida, lípidos.
Causas y factores de riesgo del sarro
Como acabamos de ver, la ausencia o deficiencia de higiene dental es la principal causa de formación del sarro: si no se retira periódicamente, la placa dental se acumula, endurece y mineraliza, lo que da lugar a la formación del sarro.
Además de una incorrecta higiene bucal, existen otros factores que propician la aparición del sarro. Entre ellos, se encuentran los siguientes:
- El consumo excesivo de alimentos o bebidas ricos en azúcar.
- El tabaquismo.
- El consumo excesivo de café, té o vino.
- El uso incorrecto o prolongado de algunos colutorios.
- La malposición o mala alineación de los dientes, lo que aumenta la dificultad de llevar a cabo una higiene adecuada y, por tanto, de retirar correctamente la placa dental.
- Factores genéticos que afectan a la saliva como el grado de acidez (pH).
- Producir una cantidad insuficiente de saliva debido al uso de medicamentos u otras condiciones médicas.
- Tener edad avanzada, ya que con el paso de los años, las encías pueden retraerse, lo que expone una mayor superficie dental a la acumulación de placa y a la formación de sarro.
¿Cómo identificar el sarro?
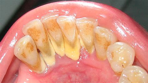
El sarro tiene la apariencia de una costra gruesa que cubre los dientes, sobre todo la parte trasera de las piezas delanteras inferiores, que es una zona más difícil de limpiar. También puede formarse entre las piezas dentales y el borde de las encías.
Inicialmente su color es blanquecino, pero se mancha con facilidad y puede adquirir un tono amarillento o amarronado. Asimismo, puede presentarse acompañado de hinchazón y enrojecimiento de las encías, cuadro conocido como gingivitis.
Tipos de sarro
En función de su localización, el sarro puede ser:
- Supragingival: Se acumula en la superficie visible de los dientes y encías.
- Subgingival: Se localiza por debajo de la línea de la encía, por lo que es más difícil de percibir.
🟡🦷🤢 ¿Cómo evitar el SARRO en los dientes?
Problemas bucales asociados al sarro
Si no se elimina correctamente la placa bacteriana y se forma sarro, pueden producirse, en función del tipo de bacterias predominantes, los siguientes problemas en la boca:
- Gingivitis: La placa y el sarro irritan e inflaman las encías, que se hinchan y sangran. Se pueden formar “bolsillos” en los que pueden proliferar bacterias.
- Periodontitis: Es una forma más severa de la enfermedad de las encías, en la que los ligamentos y el hueso que soportan el diente se destruyen. Con frecuencia, desencadena la pérdida de la pieza dental.
- Caries dentales: Son agujeros o cavidades que dañan la estructura del diente. Se producen cuando las bacterias presentes en la placa metabolizan los azúcares y producen ácidos capaces de disolver el esmalte con el paso del tiempo.
- Mal aliento (halitosis): Debido a menudo a una mala higiene oral, las bacterias presentes en la boca segregan compuestos de azufre que producen un olor desagradable. Puede ocurrir que el sarro no sea visible, pero que sí se perciba el mal aliento. Los “bolsillos” que se crean por la gingivitis y periodontitis acumulan bacterias y pueden incrementar la halitosis.
- Aumento de la sensibilidad en los dientes: Sobre todo al frío y/o al calor.
Además, los trastornos dentales pueden llegar a provocar una gran variedad de problemas de salud sistémicos como trastornos digestivos o enfermedades cardiovasculares, entre otros.
Tratamiento del sarro
No es posible eliminar el sarro con el cepillado. Una vez se ha formado, solamente el odontólogo puede retirarlo mediante una tratectomía, una limpieza dental que permite extraerlo mediante el uso de instrumentos especiales. Se trata de un procedimiento indoloro y que no requiere ningún tipo de anestesia, aunque puede resultar un poco molesto para personas con elevada sensibilidad dental; en este caso, puede emplearse un espray con un anestésico local para insensibilizar el área.
Asimismo, el sarro puede extraerse con un aparato que emite ultrasonidos que lo desintegran.
En el caso de que el sarro se haya acumulado bajo las encías, es necesario realizar un curetaje o raspado dental. Este implica una limpieza más profunda, que sí suele requerir la aplicación de anestesia local.
Prevención del sarro
Para reducir al mínimo la placa bacteriana y evitar así que se forme el sarro, es necesario limpiar todos días los dientes, la lengua, las encías, el paladar y el interior de las mejillas. En concreto, una higiene oral completa debe incluir los siguientes cuidados personales:
- Cepillarse los dientes cuidadosamente: Debe hacerse tras cada comida pero, sobre todo, es fundamental realizar un cepillado profundo antes de irse a dormir, cuando baja la producción de saliva y los movimientos de la lengua, ya que estos contribuyen a remover la placa bacteriana. Puede utilizarse un cepillo manual o eléctrico, aunque estos últimos han demostrado retirar la placa con mayor eficacia si cuentan con tecnología oscilatoria-rotatoria. En todo caso, se recomienda que el cepillo tenga cerdas suaves o medias y que el cabezal no sea demasiado grande para que llegue a todos los rincones de la boca.
- Cepillarse las encías: Tras los dientes, debe cepillarse con suavidad la dentadura a lo largo de la línea de las encías.
- Usar un dentífrico con flúor: El dentífrico que usemos para el cepillado debe incluir flúor en su fórmula, porque ayuda a prevenir las caries. También existe la opción de realizar enjuagues bucales fluorados tras el cepillado dental. En niños deben emplearse dentífricos adaptados a su edad en contenido de flúor.
- Limpiarse los espacios interdentales: Si existe espacio suficiente, debe emplearse un cepillo interproximal o, si no, hilo o seda dental. Ambos deben usarse al menos una vez al día, preferiblemente por la noche, con el fin de asegurar la limpieza de las caras laterales de los dientes y que no queden restos de comida entre ellos. También se puede emplear un irrigador de agua para eliminar los desechos que se encuentren entre los dientes y debajo de las encías. Es especialmente importante la limpieza con cepillo interproximal, seda o irrigador, en personas que lleven implantes o puentes, ya que los espacios entre los dientes y la retracción de las encías pueden favorecer la acumulación de placa en espacios difícilmente accesibles.
- Limpiarse la lengua: Debe frotarse suavemente hacia adelante usando el cepillo de dientes o un limpiador lingual, ya que en ella se acumulan un gran número de bacterias.
Además, los expertos recomiendan un examen rutinario de los dientes al menos una vez al año y una limpieza profesional cada seis o doce meses con el fin de eliminar el sarro, ya que este puede acumularse en los dientes incluso aunque se lleve a cabo en casa una buena higiene dental.
Alimentos que manchan los dientes
Algunos alimentos y bebidas pueden contribuir a la formación de manchas en los dientes y, por ende, a la apariencia del sarro. Entre ellos se encuentran:
- Café
- Té (especialmente el té negro)
- Vino tinto y blanco
- Salsa de soja
- Vinagres (especialmente los hechos a partir de cítricos)
- Gaseosas y refrescos azucarados
- Zumos de frutas o cítricos
- Cacao
- Verduras como la remolacha y frutos rojos (arándanos, moras, cerezas, frambuesas)
También el tabaco, debido a la nicotina, ayuda a oscurecer el esmalte dental.
Alimentos que ayudan a mantener una sonrisa blanca
Existen ciertos aliados para conseguir una sonrisa blanca, como:
- Manzanas
- Zanahorias
- Espinacas
La textura y fibra que adquieren estos alimentos nos ayudan a mantener una boca limpia, sana y blanca.
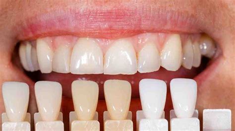
Soluciones profesionales para aclarar los dientes amarillos
Si te preguntas cómo aclarar los dientes amarillos, lo primero que debes saber es que existen métodos caseros para aplicar por tu cuenta y soluciones profesionales que se realizan en una clínica dental.
Entre las soluciones profesionales se encuentran:
- Blanqueamiento dental: Es el sistema más eficaz del mercado y ofrece un efecto de blanqueamiento inmediato al aplicar agentes blanqueadores seguros para tus dientes.
- Carillas dentales: Hay pacientes cuyas características dentales o patologías bucales no responden bien al blanqueamiento dental, por lo que las carillas son una excelente opción.
