Es muy común hoy en día conocer gente que ha llevado ataches durante su adolescencia, y no tan adolescencia. En el campo de la ortodoncia moderna, los avances tecnológicos han permitido desarrollar tratamientos más cómodos y estéticamente agradables. Uno de estos avances es la ortodoncia invisible, que incluye el uso de alineadores transparentes para corregir la posición de los dientes. Un componente esencial de este tipo de ortodoncia son los ataches.
Pero, ¿qué son exactamente los ataches y cuál es su función en la ortodoncia invisible? En este artículo, exploraremos en detalle qué son los ataches, cómo funcionan y los beneficios que aportan al tratamiento ortodóntico.
Prótesis con ataches
Definición de Ataches Dentales
La primera pregunta que suele surgir cuando uno ha leído un poco sobre el tema, es: ¿Qué son los ataches dentales? Por definición “atache” (del francés “attachement” que significa ligadura) o aditamento de anclaje como un dispositivo mecánico para la fijación, retención y estabilización de una prótesis dental.
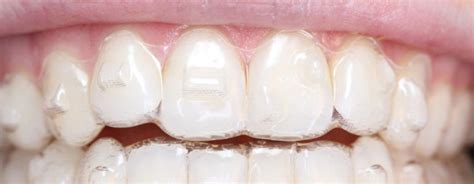
Los ataches son relieves tridimensionales de composite (material con el que se realizan los empastes dentales) que se añaden a la cara vestibular o lingual del diente. Son elementos o dispositivos completamente estéticos, que van pegados al esmalte del diente y sirven para poder realizar determinados movimientos, al igual que como anclaje al mover los dientes y para que los alienadores no se des inserten fácilmente.
Como venimos diciendo, los ataches son pequeños botones o relieves que se realizan mediante composites o piezas de resina, y que van ligados a las prótesis invisibles, cuyo aspecto estético comparte un color transparente para poder así disimular su aplicación en el diente. Su principal objetivo es asegurarse la adhesión en el diente.
Estas pequeñas piezas, más allá de su estética, variarán según el especialista que lo aplique. El fin de que el paciente sienta que estas piezas no son un handicap estético o genera malestar en su día a día.
En la búsqueda de soluciones eficientes y estéticas para la rehabilitación dental, los ataches se han convertido en una opción destacada. Los ataches dentales son pequeños dispositivos que se utilizan en prótesis dentales removibles y fijas para mejorar la retención y estabilidad de estas. Están diseñados para conectar las prótesis a los dientes naturales o a los implantes dentales, proporcionando una mayor seguridad y comodidad al paciente.

Función de los Ataches
- Una de las principales funciones de los ataches es mejorar la retención de las prótesis dentales.
- Además de la retención, los ataches proporcionan una mayor estabilidad, lo que se traduce en un confort superior para el paciente.
- Los ataches permiten que las prótesis sean fácilmente removibles para la limpieza diaria, pero lo suficientemente seguras para el uso diario.
- En el caso de los ataches sobre implantes, ayudan a preservar la estructura ósea al estimular el hueso de manera similar a como lo harían las raíces dentales naturales.
Ortodoncia Invisible y Ataches Invisalign
La ortodoncia invisible es un método de corrección dental que utiliza alineadores transparentes, hechos a medida, para mover gradualmente los dientes a su posición correcta. El tratamiento con ortodoncia invisible comienza con una consulta inicial en la que se toman impresiones digitales o físicas de los dientes del paciente.
Estas impresiones se utilizan para crear una serie de alineadores personalizados que se cambian cada una o dos semanas. Cada conjunto de alineadores aplica una presión suave y constante para mover los dientes gradualmente. Además de su apariencia discreta, los alineadores invisibles son removibles, lo que permite a los pacientes comer y beber sin restricciones y facilita una mejor higiene bucal.
Los ataches Invisalign son pequeños relieves que se colocan en los dientes durante el tratamiento ortodóntico con alineadores. Su función principal es mejorar el agarre y facilitar movimientos dentales precisos. En Tarragona, la clínica dental Montse Timoneda es un referente en la aplicación de esta técnica.
Los ataches Invisalign son componentes esenciales que se utilizan en el tratamiento de ortodoncia con los alineadores transparentes. Los ataches son pequeñas estructuras, generalmente de resina compuesta, que se colocan en ciertos dientes. Su función principal es proporcionar un soporte adicional a los alineadores, mejorando así su agarre sobre los dientes.
Los ataches son unos pequeños relieves que se colocan sobre los dientes, para facilitar la aplicación de fuerzas de los alineadores sobre los dientes y que estos se muevan. Por ejemplo, ayudan a la rotación de un diente. Tras el estudio de tu caso, el ortodoncista evaluará los dientes en los que debes llevar ataches y de qué tipo.
Una de las ventajas del sistema Invisalign es que dispone de ataches optimizados. Esto significa que el software de Invisalign estudia la posición exacta y óptima de la superficie del diente donde debe estar ubicado para que el movimiento que solicita el doctor se produzca. Los dientes se mueven a través de fuerzas, y es importante que el punto de aplicación de la fuerza sea preciso.
Una vez recibidos en la consulta los alineadores, el doctor recibe también una férula/plantilla con la que te colocará los ataches. Normalmente los primeros alineadores son sin ataches, para permitir al paciente su adaptación a su nuevo tratamiento de ortodoncia. Notarás un pequeño relieve sobre la superficie del diente al que te adaptas enseguida. No molestan y son inapreciables.
Si los primeros alineadores que te entregaron fueron sin ataches para permitirte adaptarte poco a poco, notarás que te cuesta más colocar y retirar los alineadores, pero enseguida te acostumbras a ellos. También puede que notes que la ligera presión que ejercen los alineadores sobre tus dientes al cambiarte el alineador es un poco mayor.
Los ataches son pequeñas piezas hechas de un material similar al del diente, conocido como composite, que se colocan sobre los dientes. Su tamaño varía entre 1 mm y 3 mm, lo que los hace prácticamente invisibles. La principal función de los ataches es mejorar la eficacia de los alineadores transparentes, asegurando que se mantengan en la posición correcta y ejerzan la fuerza necesaria sobre los dientes.
Funciones Clave de los Ataches Invisalign
- Mejor Agarre: Proporcionar un mejor agarre a los alineadores actuando como puntos de anclaje adicionales.
- Movimientos Precisos: Facilitar movimientos complejos como la rotación de caninos o la inclinación de molares.
- Acelerar el Tratamiento: Contribuir a acelerar el tratamiento al facilitar movimientos más precisos y efectivos.
Tipos de Ataches Dentales
Tienen distintas formas geométricas en función de los movimientos que queramos realizar (rectangulares, elipsoidales, biselados…). Algún diente puede llevar más de uno. Además de ataches, se le pueden añadir otras técnicas auxiliares como elásticos sobre botones en dientes o microtornillos.
Podemos clasificar los ataches según su función en activos y pasivos. Los ataches activos se utilizan para ayudar a realizar el movimiento e intervienen en el movimiento del diente. Los ataches pasivos se colocan en dientes que no van a ser movidos o el atache no interviene directamente en el movimiento, serían ataches de anclaje.
Tienen diferentes formas geométricas y se clasifican en dos tipos: ataches convencionales y optimizados.
- Ataches convencionales: Presentan dos formas: elipsoidales y rectangulares.
- Ataches optimizados: Tienen unas formas específicas diseñadas para que se realice un movimiento determinado para cada diente. Por ello no se puede modificar su tamaño ni posición. El software los diseña a medida según el movimiento solicitado y según el tamaño del diente.
En función de su finalidad, podemos distinguir entre los siguientes tipos:
- Ataches de Rotación: Permiten la rotación de caninos superiores e inferiores.
- Ataches de Extrusión: Facilitan la extrusión de las piezas dentales anteriores superiores e inferiores.
- Ataches de control radicular: Facilitan la extrusión de las piezas dentales anteriores superiores e inferiores.
- Ataches multiplano: Se pueden colocar en los incisivos y se utilizan para realizar movimientos combinados.
- Ataches de mordida profunda: Se colocan en premolares superiores e inferiores. Se utilizan para evitar que se muevan o bien para extruirlos.
Según su morfología existen tres tipos de ataches:
- Los ataches rectangulares: Se usan con mayor frecuencia cuando se trata de extruir un diente, o se requieren movimientos mesio-distales grandes. Pueden ser de 3, 4 o 5 mm de ancho, 2 mm de alto y de 0.25 a 1.25 mm de grosor.
- Los ataches elipsoidales: Empleados para movimientos de extrusión de dientes anteriores, pueden ser solicitados para cualquier diente y para la realización de otros movimientos, con un grosor de 1mm2.
- Los ataches biselados: Pueden disponerse en vertical u horizontal. Se usan con mayor frecuencia cuando se trata de extruir un diente. El bisel va en contra del movimiento, es decir que si queremos extruir un diente superior (bajarlo) el bisel iría en la parte gingival.
Existen diversos tipos de ataches dentales según el movimiento que se busque conseguir en cada zona de la boca: rotación, extrusión, multiplano o enderezamiento radicular; variando así en forma y tamaño.

Proceso para Colocar los Ataches de Invisalign
El cementado o la colocación de los ataches del sistema Invisalign es uno de los primeros pasos del tratamiento de ortodoncia. El procedimiento es muy sencillo, empezamos con unas plantillas creadas con la forma de los ataches y que se rellena con el mismo material de los empastes, composite.
Una vez que las plantillas ya están listas, el profesional graba la superficie del diente donde se va a enganchar el atache con un grabador, tras lavar y secar el diente, se pone adhesivo, se polímeriza con lámpara y a continuación se colocan las plantillas con los ataches en boca; y finalmente se fraguan con la lámpara. El profesional retira entonces la plantilla de ataches con mucho cuidado y se asegurará de que están correctamente pegados a la superficie externa del diente.
Dependiendo de cada caso, cada paciente necesitará un determinado número de ataches. Los casos más complejos necesitarán más ataches que los casos simples. Asimismo, los ataches no tienen por qué ir colocados en las mismas piezas dentales durante todo el tratamiento, también pueden ir cambiando dependiendo de la fase en la que el paciente se encuentre.
El proceso de fabricación consiste en escanear la boca del paciente para crear un modelo digital tridimensional (3D) y, a partir de éste, un modelo con el que fabricar un conjunto de alineadores transparentes a petición de la Dra.
La función principal de los ataches es permitir que los alineadores transparentes realicen movimientos precisos sobre los dientes. Estos movimientos incluyen la extrusión, que facilita el desplazamiento de los dientes hacia afuera, la rotación de caninos y otros dientes, y el enderezamiento radicular, que ajusta las raíces de los dientes en su posición adecuada.
El proceso de colocación de los ataches en ortodoncia invisible es sencillo e indoloro. Comienza con una limpieza profunda de la superficie dental, seguida de la aplicación de un gel ácido que prepara el diente para la adhesión del composite. Luego, se coloca una plantilla predefinida con la forma exacta de los ataches, la cual se llena con el material composite y se endurece mediante luz LED. Finalmente, se retira la plantilla y se verifica la correcta adherencia de los ataches.
Pasos para la Colocación de Ataches
- Preparación del diente: Se aplica un gel ácido sobre el diente para grabar la superficie, seguido de un lavado y secado minucioso.
- Limpieza: Para limpiar a fondo los dientes donde se pondrán los ataches, el odontólogo usa una cureta y una pasta especial.
- Aplicación de gel ácido: Una vez limpios y secos los dientes, se les aplica un gel ácido que provoca una pequeña erosión en el esmalte.
- Rellenado de la férula: Con mucho cuidado, se rellenan con composite los huecos de la férula que creamos a modo de plantilla.
¿Los Ataches Suelen Molestar?
No molestan, ni provocan ningún dolor. Sin embargo, al colocarlos pueden provocar roce con las mejillas y algún contacto con los dientes de la arcada opuesta. Aun así, no dificultan ni al hablar ni al comer. También hay que pensar que solamente solamente notaremos los ataches al comer, porque el resto del día estarán cubiertos con los alineadores.
Paciencia, porque necesitarás acostumbrarte, pero, a los pocos días, te habrás adaptado fácilmente. Compra un irrigador. La sensación de limpieza es total, y más cuando tienes los ataches. Con el agua a presión conseguirás que los puntos de composite se desgasten un poco y los sentirás más cómodos en la boca. A veces se pueden teñir, por eso ideal el uso de cepillo eléctrico para evitar que se manchen.
No es habitual que la gente se dé cuenta de que llevas un atache colocado.
Cuidados y Mantenimiento de los Ataches
Es fundamental mantener una buena higiene oral durante el tratamiento con ortodoncia invisible y ataches.
- Cepilla tus dientes después de cada comida para evitar la acumulación de placa alrededor de los ataches.
- Utiliza hilo dental y enjuague bucal para asegurar una limpieza completa.
- Si algún atache se desprende, contacta inmediatamente con tu ortodoncista para su reemplazo.
- Evita alimentos muy duros o pegajosos que puedan dañar los ataches.
El cuidado y mantenimiento de los ataches son fundamentales para garantizar una experiencia de tratamiento cómoda y efectiva. Es esencial mantener la boca limpia y saludable durante el tratamiento con ataches. Esto no solo mejorará la comodidad del paciente, sino que también evitará la acumulación de placa y caries.
Realizar un cepillado de dientes al menos dos veces al día. Incorporar el uso de hilo dental en la rutina diaria es crucial, ya que permite una limpieza profunda entre los dientes y alrededor de los ataches. Esto ayuda a prevenir la acumulación de placa en áreas difíciles de alcanzar. Considerar el uso de enjuagues bucales antibacterianos. Programar revisiones regulares con el ortodoncista.
¿Cuánto Tiempo Debo Llevarlos?
Los ataches hay que llevarlos durante todo el tratamiento de Invisalign, los alineadores sin los ataches no podrían ser efectivos. Con el paso del tiempo los ataches, una vez realizan su función, se van desgastando.
¿Cuando se Quitan el Diente Queda Como Antes?
Los ataches se pulen al final del tratamiento de ortodoncia, sin tocar el esmalte y el diente quedará como al inicio.
Beneficios de los Ataches en el Tratamiento de Ortodoncia
El uso de ataches en los tratamientos de ortodoncia con Invisalign trae consigo una serie de beneficios que maximizan el éxito del proceso. Los ataches son fundamentales para optimizar los resultados, permitiendo que los alineadores ejerzan una fuerza más precisa sobre los dientes.
Estos relieves facilitan movimientos que podrían resultar complicados sin su ayuda, asegurando que cada fase del tratamiento esté alineada con los objetivos establecidos por el ortodoncista. Una de las características más atractivas de los ataches es su diseño estético. Fabricados en un material que imita el color del diente, son difíciles de notar a simple vista. Esta característica hace que sean una opción ideal para quienes buscan mantener una apariencia natural durante su tratamiento.
Los ataches son altamente adaptables, lo que permite a los ortodoncistas ajustarlos según la evolución del tratamiento. Esta flexibilidad se traduce en la posibilidad de modificar tipos y posiciones de ataches a medida que avanza la corrección dental.
Ventajas de los Ataches
- Mayor Precisión: Permiten movimientos dentales más precisos.
- Mejor Adherencia: Aseguran que los alineadores se mantengan en la posición correcta.
- Proceso Eficaz: Contribuyen a un proceso de alineación más rápido y efectivo.
- Estética: Fabricados en un material que imita el color del diente, son difíciles de notar.
- Adaptabilidad: Se ajustan según la evolución del tratamiento.
Dudas Comunes Sobre los Ataches
Las dudas sobre los ataches son comunes entre quienes consideran el tratamiento con Invisalign. La cantidad de ataches requeridos varía según el caso específico de cada paciente. Iniciar un tratamiento con ataches puede conllevar algunos ajustes en la rutina diaria de higiene bucal.
Conclusión
Los ataches son componentes esenciales en los tratamientos de ortodoncia invisible con alineadores como Invisalign. Su función principal es mejorar el agarre de los alineadores y facilitar movimientos dentales precisos. Aunque al principio pueden generar algunas molestias, la adaptación suele ser rápida y los beneficios en términos de eficacia y estética son notables.