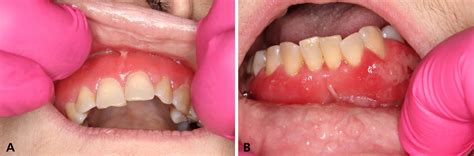
Un absceso dental (comúnmente conocido como flemón) es la acumulación de pus y bacterias causada por una infección bacteriana alrededor de un diente o en las encías. Un flemón en la boca es, en definitiva, una bolsa de pus que se forma en una zona de la cavidad oral.

Muchas personas han padecido alguna vez un flemón. Esta es una de las dolencias más comunes en la consulta dental. El flemón se manifiesta claramente con una inflamación del maxilar y un dolor agudo e incapacitante. Esta patología no carece de importancia y se deberá siempre valorar y tratar con celeridad en la consulta dental.
El flemón dental o absceso es una inflamación de la encía de un diente o muela debido a que una infección bacteriana que ha llegado a la raíz. La infección produce un depósito o bolsa de pus en dicha zona. La bolsa de pus se localiza junto a la encía del diente que tiene la infección, y cuyo origen puede ser diferentes causas.
Causas del Edema Dental
El origen y la magnitud de un flemón son directamente proporcionales al número de bacterias que han penetrado dentro de una pieza dental. El absceso dental se desarrolla principalmente debido a una infección bacteriana en la boca. Algunas de las causas comunes del flemón dental incluyen:
- Caries no tratadas: Las caries profundas pueden permitir que las bacterias penetren hasta la pulpa dental, lo que lleva a una infección. Si no se trata, esta infección puede extenderse hacia el hueso y los tejidos circundantes, causando un absceso.
- Traumatismo dental: Un golpe o lesión en un diente puede dañar la pulpa dental, lo que facilita la entrada de bacterias y la posterior formación de un absceso.
- Infecciones de las encías: La enfermedad periodontal grave puede provocar la formación de bolsas profundas entre los dientes y las encías, lo que crea un ambiente propicio para el crecimiento bacteriano y la formación de abscesos. La enfermedad periodontal es la principal causa de los abscesos dentales. La presencia de “bolsas” con cálculo, sarro y bacterias origina un exudado inflamatorio en su interior cuyo orificio de drenaje se puede cerrar.
- Tratamientos dentales previos: Algunos procedimientos dentales pueden aumentar el riesgo de infección si las medidas de higiene adecuadas no se siguen después del procedimiento.
- Sistema inmunológico debilitado: Las personas con sistemas inmunológicos debilitados tienen un mayor riesgo de infecciones dentales, lo que podría contribuir a la formación de abscesos.
- Las fisuras y fracturas dentales.
- El empaquetamiento de comida.
- La erupción de las “muelas del juicio”. Las muelas del juicio suelen erupcionar de forma parcial o quedar impactadas.
- Gingivitis.
- Un golpe o una contusión en una pieza dental.
- Necrosis pulpar o la muerte del nervio dental.

Cómo curar un FLEMÓN - Causas, tratamiento y remedios caseros del ABSCESO dental | Dentalk! ©
Síntomas del Edema Dental
Los síntomas de un flemón dental incluyen dolor intenso, hinchazón en la cara o la mejilla, sensibilidad dental, fiebre, mal sabor o mal aliento, e incluso la presencia de pus. Los síntomas de un flemón o absceso dental pueden variar en intensidad dependiendo de la gravedad de la infección. Algunos síntomas comunes incluyen:
- Dolor intenso: Puede ser persistente, agudo o pulsátil. El dolor suele ser fuerte y puede irradiarse hacia la mandíbula, el cuello o el oído del lado afectado.
- Inflamación: La zona alrededor del diente infectado puede estar hinchada, enrojecida y sensible al tacto. Presentar una cara hinchada por el flemón suele ser el signo más llamativo de esta afección. En casos más severos, la hinchazón puede extenderse a la mejilla, la mandíbula o el cuello. Una inflamación en la cara nunca es algo menor. Si se te inflama la cara por una muela suele deberse a una infección o absceso dental. La inflamación facial que se origina en una muela casi siempre es consecuencia de una infección o un proceso inflamatorio grave en la raíz dental o en los tejidos cercanos.
- Sensibilidad dental: El diente afectado puede ser sensible al calor, al frío o a la presión al masticar.
- Mal sabor o mal aliento: La acumulación de pus puede provocar un sabor desagradable en la boca o mal aliento persistente.
- Fiebre: En casos más graves, la infección puede desencadenar fiebre y malestar general. Si tienes fiebre e hinchazón en el rostro, dificultad al tragar o respirar y no puedes localizar al dentista, acude a un hospital de urgencias.
- Presencia de pus: En algunos casos, es posible ver o sentir una acumulación de pus alrededor del área infectada. Los flemones son como bolsas de pus que se forman por una infección en tu diente Esta infección tiene que salir por algún sitio, con lo cual, cuando este alcance su máximo de hinchazón, el solo revienta, soltando un liquido purulento. Esto puede drenar naturalmente hacia la boca o hacia el exterior a través de un punto de salida.
- Dificultad para poder abrir la boca.
¿Sientes algunos de estos síntomas? ¿Tienes un flemón dental?
Tratamiento del Edema Dental
Para poder bajar un flemón dental rápidamente es fundamental una intervención temprana. Por ello, es necesario acudir al dentista cuanto antes. Si aparece un flemón, debe acudir al dentista tan pronto como sea posible. El flemón requiere, en todos los casos, tratamiento odontológico profesional. Generalmente, en la primera visita drenaremos el pus del flemón y recetaremos medicación específica para que el dolor y la infección remitan. Sin embargo, esta no será una solución permanente hasta que no se trate la causa de la infección.
El tratamiento dental se centra en eliminar la infección y restaurar la salud oral. Previamente al tratamiento, tu dentista, te prescribirán una pauta de medicación que deberás seguir.
- Drenaje del absceso: En casos de absceso grande o doloroso, el dentista hará una incisión o aspiración con aguja del líquido infectado del flemón (pus) para liberar el pus acumulado. Para llevar a cabo dicha intervención, el dentista hará una incisión o aspiración con aguja del líquido infectado del flemón (pus). La evacuación del pus mediante drenaje del absceso suele aliviar el dolor y la presión de manera inmediata.
- Endodoncia: La endodoncia, también conocida como tratamiento de conducto radicular, se realiza cuando la infección afecta el tejido pulpar dentro del diente. Si la causa es dental, en la mayoría de las ocasiones podremos efectuar una endodoncia en el diente afectado. Esto se realiza limpiando las raíces por dentro, eliminando los tejidos infectados y colocando la medicación adecuada para neutralizar las bacterias.
- Extracción dental: Si el diente está gravemente dañado y no se puede salvar, es posible que se deba extraer. Sino se puede salvar el diente, la única solución consiste en la extracción del diente. Y la posterior colocación de un implante dental en el caso de que el defecto óseo producido no lo comprometa. Si la infección ha destruido mucho hueso, será necesario técnicas de regeneración ósea para que puedas colocar implantes en esa zona.
- Cirugía periodontal: Si es un problema de encías recomendaremos realizar raspados y alisado radiculares, que consisten en eliminar toda la placa bacteriana que hay entre la encía y el hueso que sujeta el diente. Por otra parte, si el problema es periodontal y están infectadas las encías, habrá que ejecutar un raspado y alisado de la zona y, en algunas ocasiones, combinarlo con cirugía periodontal para eliminar la infección por completo.
- Antibióticos: Para remitir el flemón tu dentista te indicará el antibiótico más adecuado. Una vez lo empieces a tomar en unos 3 días baja la inflamación y es posible tratar el diente.

Una vez bajada la carga bacteriana con los medicamentos, se planificará el tratamiento del diente afectado. Todos estos tratamientos se realizarán de manera completamente personalizada para cada paciente, teniendo en cuenta su caso personal.
En los flemones, la extensión de la infección se produce de manera relativamente rápida. Por ello, y con el objetivo de evitar complicaciones más graves, resulta fundamental actuar cuanto antes.
O sea, después de controlada la infección del flemón dental, es imprescindible tratar la causa que lo ha provocado para que no se vuelva a repetir.
Remedios caseros para aliviar el dolor (¡pero no reemplazan el tratamiento profesional!)
Aunque no existen remedios caseros para curar un flemón, se puede aliviar el dolor temporalmente:
- Aplica hielo o una compresa fría sobre la zona inflamada. Utiliza una bolsa de hielo envuelta en un paño y colócala en la mejilla afectada durante 15-20 minutos, varias veces al día.
- Enjuágate la boca con agua tibia y sal. Un enjuague casero con agua tibia y sal puede ayudar a desinfectar la zona y aliviar la presión.
- Coloca una bolsita de té negro sobre el flemón. Caliéntala previamente y deja que se enfríe para que no te queme.
Sin embargo, recurrir a ellos solamente hará que pierdas el tiempo y postergues la verdadera solución.
Prevención del Edema Dental
La prevención es clave cuando se trata de abscesos dentales. Afortunadamente, hay medidas que puede tomar para reducir el riesgo de desarrollar esta condición dental:
- Mantenga una buena higiene oral: Cepíllese los dientes al menos dos veces al día y use hilo dental regularmente. Mantener una higiene bucodental exhaustiva, realizando siempre un cepillado dental durante dos minutos después de cada comida.
- Visite regularmente al dentista: Realice visitas periódicas al dentista para chequeos y limpiezas dentales. Por tanto, lo más recomendable es acudir a la clínica dental entre una y dos veces al año. Así, el odontólogo llevará a cabo una revisión general y el paciente podrá someterse a una limpieza bucodental profesional. La mejor forma de prevenir un absceso dental es realizar revisiones periódicas en el odontólogo.
- Evite alimentos y bebidas azucaradas: El consumo excesivo de azúcar puede aumentar el riesgo de caries dental, lo que puede llevar a la formación de abscesos dentales.
- No ignore el dolor dental: Si experimenta dolor dental persistente o cambios en su salud bucal, no lo ignore.
- Permanecer atento a la salud oral y autoexplorarse la boca para advertir cualquier cambio repentino.
Tener una buena higiene bucal es lo más importante para reducir el riesgo de desarrollar un absceso. Además, hay que realizarse mantenimientos periódicos en una clínica dental especializada en prevención, para así poder eliminar toda la placa bacteriana que no hayamos podido eliminar en nuestra higiene diaria. La placa se calcifica generando el conocido ‘sarro’ o cálculo dental, que solo podremos eliminar con un equipo de ultrasonidos en una clínica dental.
Si no se trata adecuadamente, un absceso dental puede llevar a complicaciones graves, como propagación de la infección a los tejidos circundantes, desarrollo de infecciones sistémicas, daño a los huesos y pérdida del diente afectado. Ignorar un absceso dental puede causar la propagación de la infección a la mandíbula, cuello o incluso al resto del cuerpo.
En resumen, un flemón es una infección grave que requiere tratamiento rápido.
Duración del Edema Dental
La duración de un flemón dental puede variar según varios factores, como la gravedad de la infección, el tratamiento recibido y la respuesta individual del cuerpo al tratamiento. En general, si se busca atención médica y se sigue un tratamiento adecuado, los síntomas de un flemón dental pueden empezar a mejorar en unos días. La duración de un flemón puede ser muy variable.
Los antibióticos recetados para tratar la infección generalmente comienzan a hacer efecto dentro de las primeras 48 horas. Sin embargo, la curación completa puede llevar algún tiempo. Dependiendo de la extensión de la infección y si se necesita un tratamiento dental adicional, como una endodoncia o la extracción del diente afectado, la resolución total del flemón puede tomar varias semanas.
Es esencial seguir todas las indicaciones del dentista u profesional de la salud, incluyendo el uso completo de los antibióticos recetados y cualquier otro tratamiento recomendado, para asegurar una recuperación exitosa. Además, si los síntomas persisten o empeoran, es fundamental buscar atención médica adicional, ya que podría indicar una complicación o la necesidad de ajustar el tratamiento.
¿Es contagioso un edema dental?
Los abscesos dentales en sí no son contagiosos. Sin embargo, las bacterias responsables de la infección pueden transmitirse de una persona a otra a través del contacto directo o el intercambio de saliva.
¿Desaparece solo un edema dental?
Un absceso dental no desaparecerá por sí solo sin tratamiento dental adecuado. La infección continuará y puede empeorar con el tiempo, lo que puede tener consecuencias graves para la salud bucal y general.
¿Qué hacer mientras esperas la cita con el dentista?
Si experimenta dolor de un absceso dental antes de poder ver a un dentista, hay algunas medidas que puede tomar para aliviar el dolor de forma temporal.
Complicaciones de un edema dental
- Si la infección se extiende puede derivar en complicaciones graves como celulitis facial, afectación del ojo o incluso infección sistémica.
- Esta infección no solamente podrá afectar de forma irreversible este diente dañado que presentas en el maxilar superior. Sino que asimismo podrá afectar a los dientes contiguos, destruir el hueso e incluso, podrá afectar a tu salud general.
Tabla resumen: Edema dental (Flemón)
| Aspecto | Descripción |
|---|---|
| Definición | Acumulación de pus y bacterias causada por una infección bacteriana alrededor de un diente o en las encías. |
| Causas comunes | Caries no tratadas, traumatismo dental, infecciones de las encías, tratamientos dentales previos, sistema inmunológico debilitado. |
| Síntomas | Dolor intenso, hinchazón, sensibilidad dental, mal sabor o mal aliento, fiebre. |
| Tratamiento | Drenaje del absceso, endodoncia, extracción dental, antibióticos. |
| Prevención | Buena higiene oral, visitas regulares al dentista, evitar alimentos y bebidas azucaradas, no ignorar el dolor dental. |
| Complicaciones | Propagación de la infección, infecciones sistémicas, daño a los huesos, pérdida del diente. |