Las carillas dentales son uno de los tratamientos para dientes más comunes y exitosos para darle un mayor grado de estética y salud a la dentadura de un paciente. Las carillas dentales son uno de los tratamientos más usados en odontología, ya que permite mejorar ostensiblemente el aspecto de los dientes de una manera muy eficaz.
En este artículo, exploraremos en detalle qué son las carillas dentales, los tipos disponibles, sus ventajas y desventajas, y el proceso de colocación. Esta guía detallada te explicará en qué consisten las carillas dentales, desde su definición hasta el proceso de colocación, pasando por las diferentes opciones disponibles y sus pros y contras.

Tipos de Carillas Dentales: Porcelana, Composite, Disilicato de Litio y Zirconio.
¿Qué son las Carillas Dentales?
Ampliamos la definición de ¿qué son las carillas dentales? Las carillas son unas finas láminas de porcelana, composite o disilicato de litio que se pegan a la cara que se ve del diente para mejorar la estética. Son unas finas láminas que se adhieren a la parte frontal de los dientes y sirven para mejorar su apariencia estética. Esto se suele colocar en los dientes frontales, ya que son los que más visibles están al exterior.
Las carillas dan un mejor aspecto en color y forma a los dientes. Las personas que habitualmente optan por un tratamiento de carillas son aquellas que quieren mejorar su imagen estética, especialmente el color, la forma y la posición de los dientes.
Estos elementos se crean a medida de cada paciente y se colocan en una clínica dental por un especialista. Ya que se trata de mejorar la sonrisa, el objetivo de una persona al querer colocarse una carilla dental no es por un desperfecto de algún diente, sino que también puede ser hacerlo por mejorar la forma de algunos de ellos.
Las carillas dentales se usan para corregir defectos como dientes rotos, torcidos, separados, con manchas irregulares o desgastados. Las carillas dentales también se usan en situaciones donde se ha pasado por una endodoncia y los dientes se han oscurecido o desgastado debido a ella.
Realmente, podemos decir que el objetivo de las carillas dentales es el de mejorar el aspecto estético sin mucho más que aportar. Esto, aunque resulte poco importante, lo es (y de forma crucial) para muchas personas. En definitiva, es uno de los tratamientos más demandados por la mayor parte de la gente que acude al dentista por una enfermedad que llega a afectar a la estética (recuerda que esto puede terminar por ser algo muy importante para alguien en el sentido psicológico). Por eso es importante ver como quedan las carillas dentales en el antes y después.
Además, las carillas dentales son una excelente opción para cerrar pequeños espacios interdentales sin necesidad de someterse a procedimientos ortodónticos más invasivos. Gracias a su capacidad para mimetizarse con el color natural de los dientes, ofrecen resultados estéticos muy naturales y, al mismo tiempo, refuerzan la estructura dental subyacente. Este tratamiento no solo mejora la apariencia de la sonrisa, sino que también contribuye a aumentar la confianza y la autoestima del paciente.
Te vamos a contar en profundidad qué son las carillas dentales y para qué sirven: las carillas dentales son un tratamiento estético versátil que se utiliza para corregir una variedad de problemas dentales, como dientes torcidos, separados, apiñados o montados. Es importante destacar que este procedimiento está pensado principalmente para casos leves, ya que situaciones más severas podrían requerir tratamientos ortodónticos más extensos.

Carillas de Composite: Una opción popular para resultados rápidos y accesibles.
Tipos de Carillas Dentales
Vamos a clasificarlas según el material del que están fabricadas, así, podremos encontrar tipos como las carillas de porcelana o las carillas de composite entre otras. Seguro que has oído hablar de las carillas dentales pero, ¿Sabías qué son y cómo funcionan? ¿Conoces los tipos de carillas dentales que existen? o ¿En qué casos se recomienda el uso de estas finas láminas? En este artículo descubrirás qué son, cómo funcionan, los tipos que existen y por qué miles de personas las eligen para mejorar su sonrisa.
- Carillas de Porcelana, Disilicato de Litio y Zirconio: De este tipo vas a encontrar carillas ultrafinas, que son las que ofrecen más calidad y duración. De hecho, este es el material más demandado en la mayor parte de clínicas dentales. Se emplea porcelana inyectada para su fabricación, esto hace que tengan mucha resistencia y, por tanto, durabilidad, lo que al final es importante. Tienen un grosor similar a una lentilla, manteniéndose entre los 0,3 y 1 mm. Este tamaño pequeño hace que no sea necesario ningún proceso de limado del diente para colocarla. Aunque si es posible que, dependiendo del caso, sea necesario un pequeño contorneado del diente. Estas carillas se fabrican a medida de cada persona y normalmente se espera unos días desde las mediciones hasta la colocación final. El circonio es otro material que se emplea en la fabricación de estas, este tipo de carilla se usa en momentos puntuales, pero tienen una gran utilidad estética. El grosor y la opacidad son mayores que las ultrafinas. Este tipo de carillas se usan si el paciente tiene un perno metálico que no se puede quitar. La mayor ventaja es el aspecto natural que da.

Carillas de Porcelana: Ofrecen una apariencia natural y duradera.
- Carillas de Composite: Este tipo de carillas dentales se usan mucho, tienen también una buena resistencia y un buen resultado estético, aunque son más frágiles. De ahí que puedan ser más económicas. Este tipo se recomienda cuando se trata de una corrección muy sencilla o en el caso de niños pequeños, es decir, antes de los 18 años.

Carillas de Composite: Una alternativa más económica y rápida.
- Carillas de Porcelana (cerámica): Se fabrican a medida en laboratorio en cerámica feldespática o porcelana reforzada. Son una gran opción en términos de naturalidad, estética y durabilidad. Sin embargo, son algo más frágiles que las carillas de cerámica de disilicato de litio o Emax.

Carillas de Porcelana: Fabricadas a medida para una estética superior.
- Carillas de Disilicato de Litio (cerámica Emax): Las carillas Emax ofrecen una alta resistencia, durabilidad y estética. El disilicato de litio es un tipo de cerámica avanzada conocido por ser más resistente que la porcelana tradicional.

Carillas de Disilicato de Litio: Alta resistencia y durabilidad.
- Carillas Ultrafinas: También conocidas como carillas tipo lente de contacto, destacan por ser extremadamente finas y se colocan de forma adhesiva.

Carillas Ultrafinas: Mínimamente invasivas y de fácil adhesión.
- Carillas de Zirconio: El zirconio es un material de alta resistencia que se emplea para elaborar coronas y fundas. Sin embargo, su uso en carillas dentales ha sido descartado por muchos odontólogos ya que no ofrecen el resultado estético y natural que aportan las carillas de porcelana.

Carillas de Zirconio: Resistencia pero menor estética natural.
- Carillas estéticas de composite: este tipo de carillas están hechas de una resina estética muy parecida a la que se utiliza para realizar empastes y se suelen recomendar cuando el paciente requiere modificaciones leves. Para colocarlas hay que realizar previamente un ligero pulido del diente.

Carillas Estéticas de Composite: Ideales para correcciones leves.
- Carillas estéticas de cerámica: además de ser naturales y resistentes, conservan el brillo y el color de los dientes durante mucho tiempo.

Carillas Estéticas de Cerámica: Durabilidad y estética superior.
Ventajas y Desventajas de las Carillas de Porcelana
- Ventajas:
- Durabilidad: Ofrecen una vida útil más larga en comparación con las de composite.
- Resistencia a las manchas: La porcelana es menos propensa a mancharse con alimentos o bebidas. Las carillas de porcelana, al utilizar este material, cuentan con la ventaja de que resisten muy bien a las manchas.
- Estética natural: Su apariencia se asemeja más al esmalte dental natural. Además, la porcelana tiene un aspecto muy similar al de los dientes naturales cuando estos están sanos y blancos.
- Desventajas:
- Costo más elevado: El proceso de fabricación y colocación encarece este tipo de carillas.
- Proceso más prolongado: Requieren múltiples visitas al dentista para su colocación definitiva.

Ventajas de las Carillas de Porcelana: Durabilidad, resistencia a manchas y estética natural.
Ventajas y Desventajas de las Carillas de Composite
- Ventajas:
- Menor coste: Son más económicas que las de porcelana.
- Colocación más rápida: Se pueden aplicar en una sola sesión, en algunos casos. La colocación de la carilla de composite es mínimamente invasiva y es un tratamiento de estética dental que se realiza con cierta rapidez.
- El trabajo previo con los dientes es mínimo, por lo que no los altera de forma permanente.
- Desventajas:
- Menor durabilidad: Suelen tener una vida útil más corta que las de porcelana.
- Propensión a manchas: El material composite puede mancharse con el tiempo. Además, al ser la resina un material poroso, pueden mancharse y son susceptibles de sufrir astillados o fracturas.

Desventajas de las Carillas de Composite: Menor durabilidad y propensión a manchas.
¿Cuántas Citas son Necesarias para Colocar las Carillas?
El proceso de colocación de las carillas dentales implica varias visitas al dentista.
- Consulta Inicial: Evaluación y Metas Estéticas
Un odontólogo especializado evaluará tu salud bucal y discutirá tus objetivos estéticos. Se planificará el tratamiento más adecuado para cubrir tus necesidades específicas.
- Preparación Dental:
En cuanto a la preparación dental, para las carillas de porcelana, a veces se requiere una mínima remoción de esmalte dental para crear espacio, mientras que para las carillas de composite, la preparación implica un desgaste menor del esmalte dental. Para colocarlas hay que realizar previamente un ligero pulido del diente.
- Toma de Impresiones Precisas:
Se tomarán impresiones detalladas de tus dientes para confeccionar carillas personalizadas que se ajusten perfectamente a tu dentadura. En la primera consulta, se realiza un molde detallado de los dientes, que servirá como base para la fabricación de las carillas. Durante esta etapa también se seleccionan las características específicas de las carillas, como el nivel de brillo y el color, asegurando que se integren de manera natural con el resto de la dentadura.
- Colocación de las Carillas:
Una vez confeccionadas, las carillas se colocarán cuidadosamente con un adhesivo dental de alta calidad. Una vez que las carillas dentales están listas, se procede a su colocación. El odontólogo las fija a la superficie de los dientes utilizando un pegamento especial, elaborado con cemento de resina, que garantiza una adhesión duradera y resistente.
- Ajustes y Pulido:
Finalmente, se realizarán ajustes minuciosos para asegurar un ajuste perfecto y una apariencia natural. Las carillas se pulirán para garantizar comodidad y una sonrisa estética. Para poder hacerlo, hay que preparar el diente, en un proceso que consiste en limpiar, pulir y grabar la pieza dental.

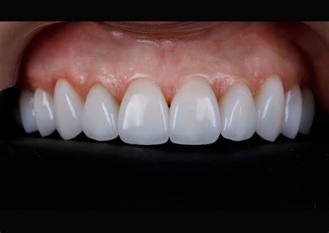
Proceso de Colocación de Carillas Dentales: Desde la evaluación hasta el ajuste final.
Las carillas modernas ofrecen opciones altamente estéticas y duraderas. Gracias a los avances, hoy trabajamos con un proceso de colocación 100% digital que permiten garantizar precisión y reducir el número de citas necesario para lograr el resultado que esperas. En la primera visita, te realizan un escaneo digital y obtienes un diseño virtual de tu sonrisa (mock up) que te garantiza ver el resultado antes de empezar y poder ajustarlo a tus necesidades y expectativas. En Ferrus & Bratos trabajamos con este sistema que, mediante un escaneo digital y guías impresas en 3D, nos permite colocar hasta 10 carillas en una sola sesión. A continuación, la Dra.
¿Para Quién Están Indicadas las Carillas Dentales?
Las carillas dentales están indicadas para aquellos que buscan mejorar la estética de su sonrisa y conservan un buen estado de salud bucodental. Los pacientes que busquen corregir dientes manchados, fracturados, desgastados o separados entre ellos, encontrarán en este tratamiento estético una gran opción.
Sin embargo, no todas las personas son aptas para este tipo de tratamiento. Habitualmente, los pacientes que pueden someterse a un tratamiento de carillas son aquellos con una buena salud bucal en general. Es importante tener unos dientes y encías saludables. También es importante tener suficiente esmalte dental.
Las carillas son un tratamiento que principalmente tiene fines estéticos. Sin embargo, hay que tener en cuenta que no pueden solucionar todos. Según el objetivo, puede que sea necesario recurrir a tratamientos como el blanqueamiento o la ortodoncia.
Beneficios Adicionales:
- Sonrisa más blanca.
- Recupera la apariencia natural de tus dientes.
- Recupera la forma de tus dientes.
- Tratamiento mínimamente invasivo.
- Un único tratamiento para varios problemas.
- Las carillas permiten solucionar varios problemas coexistentes.
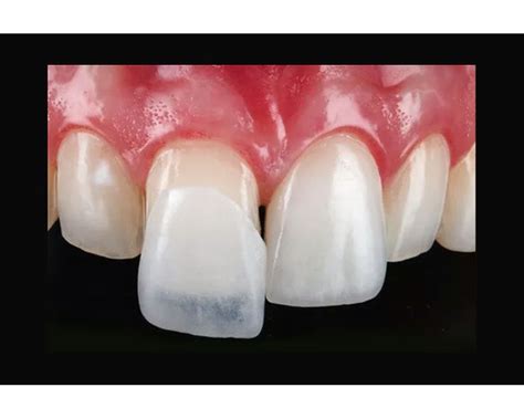
Prueba Pre - Colocacion carillas lumineers
Contraindicaciones de las Carillas Dentales
Es necesario cumplir ciertos requisitos como un buen esmalte dental que permita la adhesión de la carilla, no tener bruxismo ni problemas de mordida severos y unos hábitos saludables. Cuando el paciente no tiene una buena mordida (clase II, clase III, mordida cruzada…) las carillas dentales también pueden estar contraindicadas porque hay riesgo de rotura.
Aunque en muchas ocasiones el hecho de padecer bruxismo se presente como una contraindicación, lo cierto es que en Ferrus&Bratos tratamos a pacientes que tienen este hábito y llevan carillas estéticas. No contar con una adecuada higiene bucodental no solamente es perjudicial para la salud dental, sino también para usar carillas dentales. La acumulación de sarro conlleva la aparición de inflamaciones en las encías o filtraciones.

Carillas Dentales vs Coronas Dentales: Diferencias y cuándo elegir cada opción.
Mantenimiento y Duración de las Carillas Dentales
Al igual que en la mayoría de tratamientos dentales, es imprescindible que el paciente mantenga una buena higiene dental. La duración de las carillas depende del material escogido y los hábitos del paciente. Las carillas de composite suelen tener una duración de 5 años, mientras que las carillas de porcelana pueden llegar hasta los 15 años.
Si la carilla experimenta una pequeña fractura o desgaste, en muchos casos se podrá reparar. Quien realmente puede y debe determinar el tiempo óptimo de uso de las carillas estéticas, el mantenimiento más adecuado para cada caso y si se deben reemplazar o no en caso de daños, es el odontólogo, a quien siempre debes acudir en caso de duda.
Preguntas Frecuentes (FAQ's)
- ¿Las carillas dentales son adecuadas para todo el mundo?
Las carillas dentales pueden ser una opción viable para muchas personas, pero no son adecuadas en casos de dientes gravemente dañados o con afecciones dentales graves. Una evaluación dental determinará la idoneidad de las carillas para cada paciente.
- ¿Las carillas dentales pueden cambiarse de color con el tiempo?
Si bien las carillas de porcelana tienden a ser más resistentes a las manchas, cualquier tipo de carilla puede cambiar de color con el tiempo debido a la exposición a ciertos alimentos, bebidas y hábitos como fumar. Mantener una buena higiene oral y evitar alimentos y bebidas que manchen puede ayudar a prolongar su brillo.
- ¿Cómo afectan las carillas dentales a la sensibilidad dental?
En general, las carillas dentales no deberían causar sensibilidad. Sin embargo, algunos pacientes pueden experimentar sensibilidad temporal durante unos días después de la colocación. Esta sensibilidad suele desaparecer rápidamente.
- ¿Se pueden reparar las carillas dentales si se dañan?
En casos de daño menor, las carillas de composite a veces pueden repararse. Las carillas de porcelana, por otro lado, suelen requerir la sustitución completa si se dañan significativamente.
- ¿Las carillas dentales requieren algún cuidado especial?
El cuidado es similar al de los dientes naturales: cepillado regular, uso de hilo dental y visitas periódicas al dentista. Evitar morder objetos duros y hábitos como el bruxismo también puede ayudar a prolongar la vida útil de las carillas.
- ¿Cuál es la duración típica de las carillas dentales?
La duración puede variar según el tipo de carillas, los hábitos del paciente y el cuidado dental. Las carillas de porcelana pueden durar entre 10 y 15 años, mientras que las de composite suelen tener una vida útil más corta, alrededor de 5 a 7 años en promedio.
- ¿Las carillas dentales son reversibles?
La colocación de carillas dentales generalmente implica una modificación mínima y a menudo irreversible de los dientes naturales. Antes de proceder, es esencial discutir con el dentista las implicaciones y posibilidades de reversión.

Cuidados de las Carillas Dentales: Higiene oral y visitas regulares al dentista.