En el campo de la odontología, los avances tecnológicos han revolucionado la forma en que se diagnostican y tratan las patologías dentales. Si bien la radiografía convencional ya facilitaba la labor del odontólogo, el ortopantomógrafo arroja un resultado global y panorámico de la estructura dental del paciente.
En este artículo, exploraremos en detalle qué es una ortopantomografía, sus aplicaciones y cómo se realiza este procedimiento fundamental en odontología.

Definición de Ortopantomografía
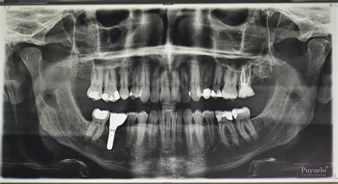
La ortopantomografía, también conocida como radiografía panorámica dental, es una exploración radiológica que permite obtener una visión general de los dientes, el hueso que los rodea y las articulaciones temporomandibulares (ATM). Su nombre proviene del griego, donde la etimología de la palabra viene a ser algo así como la grafía o diseño de un todo en profundidad.
Básicamente, la ortopantomografía es una radiografía frontal en 2 dimensiones de los dientes y los huesos maxilares de un ser humano. La propia definición de este tipo de radiografía ya hace intuir cuáles son las ventajas. No cabe duda de que la principal es la obtención de mucha información en una sola radiografía.
Esta técnica es muy utilizada por la inmensa mayoría de los dentistas, ya que concede la posibilidad de obtener una imagen global que va a permitir señalar dolencias que, de otro modo, serían realmente difíciles de detectar. Al menos, de forma precoz.
Ventajas de la Ortopantomografía
- Ofrece una imagen completa y precisa de la estructura bucal.
- Permite detectar problemas en dientes, hueso o ATM.
- Es útil para reconocimientos cotidianos, urgencias y pacientes con complicaciones en los tratamientos.
- La radiación es mucho más baja en comparación a una radiografía convencional.
En Clínica CRISTINA VIYUELA + CO recurrimos a ella de manera rutinaria, puesto que es sencilla y cómoda para nuestros pacientes. Con todo ello se convierte en una de las primeras opciones a la hora de buscar un diagnóstico rápido y claro. Al ser de fácil aplicación es especialmente útil para reconocimientos cotidianos, para urgencias y para personas con complicaciones en los tratamientos.
La radiación que el paciente recibe cuando se realiza una radiografía se mide en sieverts (unidad de dosis efectiva). En una ortopantomografía el paciente recibe una dosis efectiva que puede oscilar entre 5,5 y 22 microsieverts, siendo el promedio global que recibe una persona de 2500 microsieverts al año.
En conclusión, a través de un estudio ortopantomográfico, la odontología se anticipa a las afecciones bucales susceptibles de convertirse en patologías más complejas a largo plazo.
Aplicaciones de la Ortopantomografía
La ortopantomografía sirve para detectar y tratar distintas patologías. Las principales aplicaciones son:
- Caries: Permite ver la presencia o no de caries, su extensión y si existe contacto con el nervio dental.
- Procesos infecciosos: Ayuda a detectar infecciones que han ido más allá de la estructura del diente, como consecuencia de una enfermedad periodontal.
- Dientes incluidos en el hueso o que aún no han erupcionado: Permite valorar si los dientes del niño se han caído al momento indicado y si están saliendo correctamente.
- Colocación de implantes: Se puede valorar la cantidad de estructura ósea remanente existente para la colocación de implantes dentales.
- Presencia de quistes y tumores: Permite detectar este tipo de anomalías para tratarlas con la mayor brevedad posible.

Ortopantomografía Abaden
¿Cómo se Realiza una Ortopantomografía?
Durante una ortopantomografía, el paciente coloca la cabeza en un dispositivo especial mientras se realiza la radiografía. La máquina de rayos X gira alrededor de la cabeza, capturando una imagen panorámica que muestra los dientes, las encías, las mandíbulas y otras estructuras dentales.
Como ya os hemos adelantado, la realización de esta prueba es muy sencilla. Se realiza en una sala de rayos X plomada, donde el paciente estará solo durante el proceso de escaneado. Durará unos pocos segundos y generará una imagen digital. Las mujeres embarazadas deben evitar la exposición a los rayos X, a menos que sea absolutamente necesario.
En general, la ortopantomografía es considerada una prueba segura, y los riesgos asociados son mínimos.
Preguntas Frecuentes sobre la Ortopantomografía
¿Por qué se me recomienda una ortopantomografía?
Esta herramienta es esencial para diagnosticar problemas dentales, planificar tratamientos como extracciones e implantes, y evaluar la salud bucal en general. Su recomendación se basa en obtener información detallada para ofrecer el mejor cuidado dental personalizado.
¿Es dolorosa la ortopantomografía?
La ortopantomografía es un procedimiento no invasivo y generalmente indoloro. Puedes sentir una leve presión en la boca debido al dispositivo utilizado, pero no causa molestias significativas. Es un proceso rápido y cómodo para el paciente.
¿Cuánto tiempo tomará el procedimiento?
La ortopantomografía es un procedimiento eficiente que suele llevar entre 10 y 20 minutos. La colaboración del paciente al permanecer quieto durante la toma de la radiografía contribuye a agilizar el proceso, permitiendo obtener resultados precisos en poco tiempo.
¿Existen preparativos previos?
No es necesario realizar preparativos exhaustivos antes de una ortopantomografía. Sin embargo, es recomendable informar al profesional de la salud sobre cualquier embarazo, posibles alergias a contrastes radiológicos, o cualquier inquietud específica. El paciente puede continuar con su rutina normal antes del procedimiento.
Interpretación de una Ortopantomografía
En una ortopantomografía, se pueden observar diferentes tonos que indican distintas estructuras y condiciones:
- Tono gris: Dientes y hueso del paciente. El nivel de hueso se observa a través de una línea gris que recubre parte de los dientes. Si la línea de hueso está por debajo, significa que han habido bacterias debajo de la encía que han ido deteriorándolo.
- Endodoncias: Se observan como dos palitos blancos que rellenan las raíces del diente. Es importante que lleguen hasta el ápice para que no entren bacterias.
- Reconstrucciones: Las reconstrucciones con composite o las restauraciones cerámicas se observan en la parte de la corona de los dientes que han sufrido caries o desgastes.
- Tono negro: Corresponde a todo aquello que no es diente, ni hueso, ni ningún material. Si observamos el color negro en el hueso o algún diente, significará que hay bacterias que los están deteriorando.
Es importante destacar que, si se observa alguna anomalía en la ortopantomografía, será necesario realizar radiografías más específicas en 2D o 3D de la zona afectada para tener la máxima información y poder dar un diagnóstico preciso.
Tecnología Avanzada en Ortopantomografía
El equipo de radiología ORTHOPHOS XG ofrece imagen de alta definición para detectar patologías o anomalías de la boca en una simple revisión y en un tiempo récord, facilitando enormemente los diagnósticos. Esta tecnología localiza problemas comunes como el quiste dental, los dientes incluidos o las muelas del juicio impactadas.
Además, se convierte en un gran aliado en el campo de la implantología, ya que un avanzado software permite una planificación personalizada a la medida de cada paciente. También se convierte en imprescindible a la hora de decidir los mejores tratamientos de ortopedia y ortodoncia dental.
Entre las ventajas de este nuevo sistema de radiología se encuentra el estudio cefalométrico informatizado, encargado del dibujo anatómico y del perfil facial del paciente, a la vez que aporta información sobre su estructura ósea. Incluso, logra captar el maxilar completo de un paciente con un solo escaneo. Además el gran tamaño del campo de visión, reduce la carga de radiación que debe soportar el paciente. Y a la vez, es lo suficientemente pequeña para diagnósticos rápidos y eficientes.
Esta tecnología aporta una información extra al especialista como por ejemplo, el estado en que se encuentra la masa ósea. La tercera dimensión aumenta la seguridad clínica y la confianza del paciente en técnicas como la Implantología, la Cirugía oral y máxilofacial, la Ortodoncia quirúrgica y la Odontología general.

tags: #que #es #una #ortopantomografia