Si tu dentista te ha mencionado las palabras «endodoncia» o «tratamiento de conductos», es normal que sientas cierta inquietud. Durante décadas, este procedimiento ha sido víctima de mitos y leyendas urbanas que han generado temor innecesario en los pacientes. La realidad es completamente diferente: gracias a las técnicas modernas y la anestesia local avanzada, la endodoncia es un tratamiento que se realiza completamente sin dolor.
La endodoncia es un tratamiento dental especializado que tiene un objetivo muy claro: salvar un diente cuya pulpa dental está dañada, infectada o inflamada. También llamada nervio, la pulpa es el tejido blando que alberga los nervios y los vasos sanguíneos.
Para entender mejor este concepto, imagina que tu diente es como una casa de dos pisos. La parte exterior, que vemos y tocamos, está formada por el esmalte y la dentina, que actúan como las paredes protectoras. Cuando las bacterias logran penetrar hasta este espacio interno, ya sea por una caries profunda, una fractura o un traumatismo, la pulpa dental se inflama y se infecta, causando ese dolor agudo y punzante que resulta tan insoportable. La endodoncia es, en esencia, un acto de conservación dental. Es la diferencia entre salvar tu diente natural o perderlo para siempre.

¿Cómo saber si necesito una endodoncia? Síntomas clave
Reconocer los síntomas que indican la necesidad de una endodoncia es fundamental para actuar a tiempo. Algunos síntomas son bastante evidentes: dolor intenso y constante, molestias al masticar, sensibilidad al frío o al calor que no desaparece, cambio de color del diente o inflamación en la encía cercana.
El síntoma más característico es un dolor de muela intenso que se presenta de forma espontánea, sin necesidad de ningún estímulo externo. Este dolor tiene características muy específicas: es punzante, pulsátil y suele intensificarse durante la noche, cuando estás acostado. Este dolor agudo no responde adecuadamente a los analgésicos convencionales y puede irradiar hacia el oído, la sien o incluso hacia otros dientes de la misma zona.
Una sensibilidad dental normal dura apenas unos segundos después del contacto con bebidas frías o calientes. Es particularmente revelador cuando el dolor al calor es más intenso que al frío.
Cuando la infección de la pulpa dental se extiende más allá de la raíz del diente, puede formar un absceso o fibroma en la encía. Externamente, esto se manifiesta como una inflamación en la encía, a menudo acompañada de un «granito» que puede drenar pus. El flemón es la evidencia visible de que las bacterias han encontrado una vía de escape desde el interior del diente hacia los tejidos circundantes.
Un diente que gradualmente se oscurece, adquiriendo tonalidades grisáceas o amarillentas, puede ser señal de que la pulpa dental ha sufrido una necrosis pulpar, es decir, ha muerto.
¿En qué consiste una endodoncia?
La “extracción del nervio”: la endodoncia está basada en el vaciamiento y limpieza total de los conductos donde se alberga el nervio de la pieza. Para retirar la infección por bacterias y el posible tejido necrótico/infectado existente, para dejar el conducto limpio, sin bacterias ni tejido infectado.
En la Clínica Dental Martí Mató, hemos perfeccionado cada etapa del tratamiento de conductos para garantizar tu comodidad y el éxito del procedimiento:
- Todo comienza con un diagnóstico preciso. Realizamos una evaluación clínica detallada complementada con radiografías digitales de alta resolución que nos permiten visualizar el estado interno del diente y la extensión de la infección. Antes de iniciar cualquier procedimiento, aplicamos anestesia local de última generación. Utilizamos técnicas de anestesia profunda que garantizan que no sentirás absolutamente nada durante todo el tratamiento.
- Una vez que la anestesia ha hecho efecto, procedemos al aislamiento del diente mediante un dique de goma. Posteriormente, realizamos una pequeña abertura en la corona del diente para acceder a los conductos radiculares.
- Esta es la fase más importante del tratamiento de conductos. Utilizando instrumentos de alta precisión, algunos de ellos rotatorios y otros manuales, procedemos a la limpieza meticulosa del interior de cada conducto radicular. La desinfección se realiza mediante irrigación abundante con soluciones antimicrobianas especializadas que penetran en todos los recovecos del sistema de conductos.
- Una vez que los conductos están completamente limpios y desinfectados, procedemos a su sellado hermético utilizando un material biocompatible llamado gutapercha, junto con un sellador específico. Finalmente, reconstruimos la corona del diente.
¿Duele una endodoncia?
Esta es, sin duda, la pregunta más frecuente en nuestra consulta. La respuesta es categórica: no, la endodoncia moderna no duele. Los avances en anestesia local, las técnicas de aplicación y los protocolos de manejo del dolor han revolucionado completamente este tratamiento. Es posible que experimentes una leve molestia durante las primeras 24-48 horas posteriores al tratamiento, similar a la que sentirías después de cualquier procedimiento dental.
En Clínica Dental Martí Mató, la mayoría de tratamientos de conductos se completan en una o dos sesiones, dependiendo de la complejidad del caso y el número de conductos del diente afectado. Los dientes anteriores, que generalmente tienen un solo conducto, suelen tratarse en una sola visita. Cada caso es único, y siempre priorizamos la calidad del resultado sobre la rapidez del tratamiento.
¿Qué pasa si pospones o evitas la endodoncia?
Posponer una endodoncia puede transformar un tratamiento sencillo en un problema complejo. Ignorar una endodoncia necesaria no es solo cuestión de dolor. Es la consecuencia más directa. Evitar una endodoncia por miedo o desinformación es una de las principales razones por las que muchas personas pierden dientes que podrían haberse salvado.
Retrasar o evitar una endodoncia cuando está indicada puede tener consecuencias graves para tu salud bucodental y general:
- Dolor Persistente: La infección en la pulpa puede salir del diente y propagarse a las encías, mandíbula, o incluso a otras partes del cuerpo, como el cuello o la cabeza.
- Pérdida del Diente: Uno de los finales más comunes de una endodoncia evitada es la pérdida definitiva del diente. Si el daño al diente es demasiado profundo o la estructura queda debilitada, no se podrá conservar.
- Propagación de la Infección: Una infección dental puede extenderse a los tejidos vecinos, generar abscesos o incluso alcanzar otras partes del cuerpo a través del torrente sanguíneo. En casos extremos, puede derivar en cuadros clínicos serios como la celulitis facial o incluso la sepsis.
- Problemas Estéticos y Funcionales: La pérdida de un diente o su deterioro puede provocar que los dientes vecinos se desplacen, afectando la mordida y la armonía del rostro.
- Tratamientos Adicionales Costosos: Una endodoncia postergada suele derivar en tratamientos adicionales: cirugía, extracciones, prótesis o implantes. Aplazar lo inevitable casi siempre sale más caro.
Si notas molestias, lo mejor que puedes hacer es acudir cuanto antes a tu dentista de confianza. Una detección temprana puede marcar la diferencia entre conservar tu diente o perderlo para siempre.

¿Qué hacer ante una endodoncia fracasada?
Aunque cada vez se realizan mejores endodoncias y técnicamente están bien hechas, se calcula que el fracaso de una endodoncia oscila entre el 2 y el 16%. Una endodoncia mal realizada puede provocar molestias persistentes, infecciones en la raíz del diente e incluso poner en riesgo la pieza dental.
Ante una endodoncia fracasada, lo más importante es actuar con rapidez para evitar complicaciones mayores como infecciones periapicales o sinusitis maxilares. En IDIM, ofrecemos soluciones y opciones de tratamiento que pueden ayudarte a recuperar la salud bucodental.
- Evaluación profesional: El primer paso que debes seguir si sospechas que tu endodoncia ha fracasado es pedir cita con un dentista con experiencia en endodoncia o en cirugía bucal para evaluar la situación.
- Tratamiento de reendodoncia: En algunos casos, se puede intentar hacer un retratamiento del conducto radicular para corregir cualquier problema del tratamiento inicial e intentar salvar el diente. Es un procedimiento más complejo que la endodoncia inicial, ya que pueden quedar restos de material, haber conductos obstruidos o lesiones periapicales. Básicamente el procedimiento es el mismo que en una endodoncia, la gran diferencia es que existe un tratamiento previo. Por tanto tenemos que acceder a este tratamiento, removerlo, eliminarlo y volver a empezar. Limpiando y desinfectando bien los conductos de todo resto de tratamiento previo, infección por bacterias , posible tejido necrótico restante…. Y volviendo a rellenar con un material adecuado y de una forma tridimensional correcta. Colocando primero un empaste provisional y en una posterior cita, lo más pronto posible, realizar la definitiva, sea un empaste, una incrustación,corona, endocorona….
- Cirugía periapical: Si no es posible realizar el retratamiento o no funciona, la cirugía periapical es la única alternativa para evitar extraer el diente. Suele ser la solución más eficaz cuando hay una lesión localizada, el diente tiene una restauración que no se puede retirar sin dañarlo o cuando el canal está bloqueado.
- Implante dental: En los casos donde resulta imposible salvar el diente, porque no es posible hacer reendodoncia o una cirugía periapical, la solución será extraerlo y colocar un implante dental en su lugar. Un implante es una solución segura y duradera que permite recuperar tanto la función estética como masticatoria del diente perdido.
Señales de que una endodoncia no ha sido exitosa
Una endodoncia mal hecha o una endodoncia bien hecha que fracasa, puede presentar varios síntomas que se manifiesten justo después del tratamiento, o incluso semanas y meses después.
- Dolor persistente: Es normal sentir algo de dolor después de la endodoncia, sobre todo al masticar, pero es leve y en cuestión de días suele desaparecer. Con una endodoncia fracasada puedes llegar a experimentar un dolor persistente que no disminuye con el tiempo. Puede presentarse de manera espontánea o como una molestia punzante al morder.
- Sensibilidad: Si la endodoncia se ha realizado bien, el diente no debería reaccionar al frío ni al calor, ya que el nervio se ha eliminado.
- Inflamación de la encía o zona afectada: La inflamación puede manifestarse como hinchazón en la zona afectada y en la encía que rodea el diente tratado. Si la infección avanza, la inflamación puede aumentar y evolucionar hacia un absceso periapical agudo, con presencia de pus, mayor dolor local y sensación de malestar general.
- Fístulas o supuración de pus: Las fístulas son pequeños bultitos o granitos de color blanquecino que aparecen cerca del diente afectado y actúan como vías de escape del pus que se genera por la infección. Al igual que aparecen, desaparecen de forma intermitente y si no se tratan, puede que el problema se extienda al hueso o a otros tejidos cercanos.
- Cambio de color del diente: Tras una endodoncia, el diente puede que cambie de color y se vuelva más oscuro, adoptando un tono grisáceo o amarillento. Esto sucede porque al perder su nervio y vasos sanguíneos, el diente deja de recibir nutrientes y se vuelve un tejido no vital. El oscurecimiento no solo afecta estéticamente, sino que también puede indicar que el diente necesita un tratamiento interno como una reendodoncia o incluso una cirugía periapical.
- Movilidad dental: Si un diente se mueve tras una endodoncia también es síntoma de fracaso del tratamiento. En el caso de sentir dolor, además de la movilidad, es necesario valorar si se puede salvar el diente con cirugía apical o si hay que extraerlo y colocar un implante dental.
Causas de fracaso de una endodoncia
- Obturación incompleta del conducto: Una de las causas más comunes de una endodoncia fracasada es un sellado incompleto del conducto radicular. Si el sellado en el extremo del conducto no es adecuado, permite la entrada de bacterias desde el hueso o la encía hacia el interior del diente. Esta situación puede ocurrir tanto por un sellado insuficiente como por el uso de materiales inadecuados.
- Filtración apical
- Fracturas radiculares: Las fracturas en la raíz del diente, durante o después de la endodoncia, pueden comprometer seriamente el éxito del tratamiento, especialmente si el diente no está protegido adecuadamente con una restauración.
- Anatomía compleja del conducto: No todos los conductos son rectos y simples, algunos presentan formas inusuales y curvaturas pronunciadas que pueden ser difíciles de limpiar y sellar completamente con el material de obturación de la cámara pulpar.
- Restauración final del diente: Después de una endodoncia, el diente debe restaurarse correctamente con una corona para protegerlo. Con el tiempo, este diente puede recibir más presión al masticar, ya que se desgasta menos que los demás y aumenta el riesgo de fractura.
Complicaciones posteriores a una endodoncia
- Infección: Aunque raramente sucede, puede producirse una infección después de realizar una endodoncia. Esto se debe a la presencia de bacterias persistentes en el conducto radicular o a un proceso infeccioso que se desarrolla después del tratamiento. Los síntomas van desde hinchazón, dolor intenso e hipersensibilidad dental, hasta la formación de un absceso dental.
- Riesgo de fractura dental: Otra de las posibles complicaciones posteriores a una endodoncia es el riesgo de fractura dental, debido a la debilitación de la estructura interna del diente.
- Problemas con la obturación del diente: A veces, pueden producirse problemas con esa obturación del diente como, por ejemplo, una mala adaptación de la restauración.
- Oscurecimiento del diente: Otra de las posibles consecuencias de una endodoncia es el oscurecimiento del diente con el paso del tiempo.
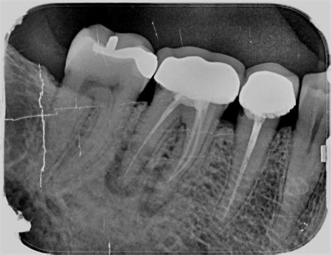
Radiografía de una endodoncia mal hecha
Una de las herramientas más seguras y fiables para detectar una endodoncia fracasada es la radiografía dental.
- Sobreobturación: cuando el material de obturación se extiende más allá de la raíz, puede irritar los tejidos periapicales.
- Lesiones periapicales: se identifican como áreas más oscuras o radiotransparentes alrededor del ápice del diente.
- Conductos no tratados: puede que existan conductos adicionales sin tratar, los cuales aparecen como áreas radiotransparentes, ya que no han sido limpiados ni rellenados.
- Fracturas radiculares: aunque a veces son difíciles de detectar, pueden verse como líneas finas y oscuras a lo largo de la raíz.

En estas imágenes se observa una lesión radiotransparente alrededor del ápice del diente, con una endodoncia bien hecha en principio, pero fracasada finalmente, y su posterior curación radiográfica tras una cirugía periapical.
Precio de una endodoncia
El precio endodoncia varía según varios factores: el tipo de diente (anterior, premolar o molar), la complejidad del caso y los tratamientos complementarios necesarios. Es importante considerar que la endodoncia es una inversión en tu salud bucodental.
La endodoncia representa uno de los tratamientos más conservadores y valiosos de la odontología moderna. Su único objetivo es salvar tu diente natural, eliminando la infección y el dolor mientras preserva una estructura que, de otra manera, se perdería para siempre. El verdadero enemigo no es el tratamiento, sino la infección que está destruyendo tu diente desde el interior.
Si tienes un dolor de muela intenso o crees que puedes necesitar un tratamiento de conductos, no lo dejes pasar. En la Clínica Dental Martí Mató, somos expertos en endodoncia.