Perder un diente puede tener consecuencias significativas para tu salud bucal y estética. Es crucial entender qué sucede si no se reemplaza el diente perdido con un implante u otra opción de tratamiento.

Consecuencias de no reemplazar un diente perdido
1. Pérdida Progresiva de Hueso
El hueso que rodeaba al diente deja de recibir estímulo y comienza a reabsorberse. En menos de un año se puede perder hasta un 25% del volumen óseo. Esta pérdida ósea complica tratamientos futuros y puede requerir injertos.
2. Movimiento de los Dientes Vecinos
Los dientes cercanos tienden a moverse hacia el espacio vacío, desalineando la mordida y afectando la oclusión. Esto puede generar:
- Apiñamiento
- Problemas articulares (ATM)
- Mayor acumulación de placa y caries
3. Sobrecarga de los Dientes Opuestos
El diente antagonista (el que “mordía” con el que se perdió) puede extruirse o descender al no encontrar resistencia, generando sensibilidad y alteraciones oclusales.
4. Cambios Estéticos en la Sonrisa y Rostro
La pérdida ósea y el colapso de encías hacen que el rostro pierda soporte. Esto puede provocar:
- Envejecimiento prematuro
- Aparición de arrugas peribucales
- Hundimiento de labios y mejillas

5. Problemas de mordida y alineación dental
La falta de un diente o muela hará que los dientes adyacentes se muevan, lo que puede afectar la alineación dental y la mordida.
6. Problemas digestivos serios
La masticación inadecuada debido a la falta de un diente o muela puede causar problemas digestivos como indigestión, náuseas y dolor abdominal.
En definitiva, no reemplazar una muela extraída puede tener varias consecuencias negativas para la salud bucal y general, desde la pérdida de hueso y el desplazamiento de dientes hasta problemas de masticación y digestión.
¿Qué pasa si un implante dental falla?
Los implantes dentales son una solución efectiva y duradera para reemplazar dientes perdidos o dañados, y han mejorado la calidad de vida de innumerables pacientes en todo el mundo. Sin embargo, llega un momento en la vida de un implante en el que se debe considerar su extracción.
El rechazo de un implante dental es un fallo en el proceso de osteointegración. O, por explicarlo de una manera más técnica, por una serie de contratiempos que ocurren durante el proceso de osteointegración. La osteointegración es el periodo de tres a seis meses que tiene lugar tras la cirugía. Algunas veces, este proceso de osteointegración falla. Es decir, no se crea el hueso suficiente alrededor del implante y este no puede anclarse de manera estable, lo que hace que el implante se afloje y que, incluso, llegue a caerse.
El fracaso de un implante dental puede deberse a múltiples factores, que pueden clasificarse en causas médicas, quirúrgicas, higiénicas y personales.
Causas comunes del fracaso de un implante dental
- La periimplantitis es una infección que afecta a los tejidos que rodean el implante, provocando inflamación, pérdida de hueso y, eventualmente, la caída del implante.
- Cuando el implante no logra integrarse con el hueso dentro del plazo esperado (normalmente entre 3 y 6 meses), se considera un fracaso precoz.
- Un implante puede fracasar si se somete a demasiada presión antes de que haya cicatrizado completamente.
- El tabaco disminuye el flujo sanguíneo en los tejidos, lo que afecta negativamente a la cicatrización y favorece las infecciones.
Síntomas de que un implante dental no está funcionando correctamente
- Movilidad del implante: una vez colocados, los implantes no deben moverse. La movilidad puede indicar que no se están osteointegrando correctamente.
- Sangrado excesivo: si consideras que es demasiado intenso o no se detiene es recomendable que visites al profesional.
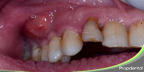
- Infección: si alrededor del implante aparecen signos como pus o enrojecimiento, es posible que este se haya infectado.

Detectar a tiempo un problema con un implante dental es clave para poder tratarlo y evitar consecuencias mayores. Cuando se detecta un rechazo o complicación, el primer paso es evaluar la causa y la gravedad del problema. El tratamiento puede variar desde una limpieza profunda y ajuste protésico hasta la retirada del implante.
Extracción de un implante dental: proceso y consecuencias
La extracción de implantes dentales es un procedimiento cuidadosamente planificado y ejecutado por un profesional de odontología experimentado.
- Evaluación inicial: Antes de proceder con la extracción, tu odontólogo realizará una evaluación exhaustiva de tu salud bucal y del implante en cuestión.
- Anestesia: Para garantizar tu comodidad y minimizar cualquier molestia, se administrará anestesia local en la zona del implante.
- Apertura de la encía: El siguiente paso implica realizar una pequeña incisión en la encía para acceder al implante dental.
- Retirada del implante: Una vez que el implante esté expuesto, el odontólogo utilizará herramientas especializadas para aflojar y retirar cuidadosamente el implante de su posición en el hueso.
- Limpieza y cierre: Después de retirar el implante, se realizará una limpieza minuciosa de la zona para eliminar cualquier residuo o tejido dañado.
- Cuidado postoperatorio: Tu odontólogo te proporcionará instrucciones detalladas para el cuidado postoperatorio.
Es importante destacar que la extracción de un implante dental es un procedimiento delicado que debe llevarse a cabo por un profesional con experiencia. El proceso exacto puede variar según la situación individual de cada paciente y las razones para la extracción.
En términos de soluciones, la extracción de un implante a menudo requiere una restauración para reemplazar la función y la estética perdidas.
Consecuencias de la extracción de un implante dental
- Pérdida de la función y la estética dental.
- Cambios en el hueso en el área donde estaba ubicado el implante.
- Dolor y molestias: Tras la extracción, es común sentir dolor o molestias en la zona durante los primeros días.
- Inflamación y hinchazón: La zona puede inflamarse y causar hinchazón facial en los primeros días.
- Sangrado: Alguno sangrado leve puede ocurrir inicialmente.
- Dieta suave: Se suele recomendar una dieta suave para evitar irritar la zona.
Prevención y cuidados para evitar complicaciones con implantes dentales
La mejor manera de evitar complicaciones con los implantes dentales es a través de la prevención.
- Acude a una clínica dental de confianza: elige un implantólogo que tenga experiencia en el tratamiento, utilice buenos materiales y cuente con tecnología digital de planificación y diagnóstico.
- Mantén una limpieza oral constante: para prevenir las infecciones es fundamental extremar la higiene bucodental.
- No fumes: el tabaco duplica el riesgo de rechazo del implante.
- Toma la medicación pautada: respeta las indicaciones de los fármacos y las dosis que te haya recetado el implantólogo.
- Evita comer alimentos duros y calientes: durante los primeros días, la zona intervenida estará sensible y podría sangrar.
- Acude a las revisiones: tras la cirugía, el implantólogo te informará sobre la periodicidad con la que debes acudir a la consulta.
- El seguimiento clínico es clave.
El metal en los implantes dentales te puede dañar mucho
Alternativas a los implantes dentales
Si no quieres o no puedes llevar implantes para reemplazar las piezas dentales ausentes, tu dentista podrá recomendarte otras opciones adecuadas para ti.
- Puentes dentales fijos: pueden ponerse sobre los dientes naturales vecinos para reemplazar una o varias piezas dentales perdidas.
- Puentes Maryland: al contrario que otros puentes, el puente Maryland no se coloca sobre los dientes sanos de soporte.
- Prótesis removibles: se conocen comúnmente con el nombre de dentaduras postizas.
Consultar con un dentista para discutir las mejores opciones de tratamiento es crucial para mantener una buena salud dental y prevenir complicaciones a largo plazo.

| Opción de reemplazo | Ventajas | Desventajas |
|---|---|---|
| Implantes dentales | Duraderos, estéticos, previenen la pérdida ósea | Más costosos, requieren cirugía |
| Puentes dentales | Más económicos, no requieren cirugía invasiva | Afectan a los dientes adyacentes, no previenen la pérdida ósea |
| Prótesis removibles | Opción más económica y no invasiva | Menos cómodas, pueden afectar el habla y la masticación |