La caries no es la patología bucal más peligrosa, pero sí es la que mayor prevalencia tiene entre la población. Es cierto que el porcentaje ha disminuido en los últimos lustros, pero todavía hay una enorme cantidad de personas que desarrollan caries y que incluso las dejan sin tratar, por pereza o por miedo al dentista, hasta que comienzan a doler intensamente.
Cuando duele un diente por caries significa que la infección se acerca al centro de la pieza (pulpa), donde se encuentran los nervios. En este punto, la destrucción provocada por la caries es bastante significativa y, si continúas sin ir al dentista para tratarla, puedes tener consecuencias mayores. Para que puedas evitarlo, te contamos qué hacer cuando duele un diente por caries y cómo puedes evitar que la infección llegue tan lejos.
SIN CARIES ✌️😉 -¿Cómo protegerse contra La Caries ? Sellantes Dentales Niños y Adultos | Oralnet
¿Por qué duele un diente por caries?
Una caries es un proceso destructivo generado por la acumulación de placa bacteriana. Las bacterias de la boca tienen un mecanismo por el cual metabolizan los azúcares y generan ácidos que hacen que disminuya el PH, provocando desmineralización de los tejidos duros del diente como son el esmalte y la dentina pudiendo llegar a la pulpa si no se frena a tiempo.
El esmalte es el tejido más duro de nuestro cuerpo; por tanto, una vez la infección consiga perforar esta barrera y traspasarla, la caries no encontrará mayor dificultad para continuar avanzando por la dentina y alcanzar la pulpa dental. La pulpa contiene los nervios del diente, que perciben estímulos externos como el frío o el calor. Cuando la infección que arrastra la caries la alcanza, los nervios mandan impulsos a nuestro cerebro y se genera un dolor punzante y esporádico.
Cuando duele un diente por caries, también se puede producir sensibilidad dental y molestias al masticar. Si llegados a este punto sigues sin acudir al dentista para tratar la caries, la infección continuará y puedes llegar a perder la pieza.
La caries dental es una enfermedad infecciosa que destruye progresivamente los tejidos duros del diente. Está causada por los ácidos que generan las bacterias presentes en la boca al descomponer los azúcares de los alimentos. Las caries aparecen cuando la higiene bucal no es suficiente para eliminar la placa bacteriana. Por tanto, la placa bacteriana es la principal responsable de la aparición de la caries.
Las caries se forman cuando las bacterias, presentes de manera natural en la boca, se juntan con los restos de alimentos que se quedan en la cavidad oral después de las comidas, creando ácidos que dañan el esmalte.

¿Cómo saber si existe caries en los dientes?
Los síntomas más comunes que se tienen cuando existe caries en alguna pieza dental son los siguientes:
- Uno de los síntomas más comunes que surgen cuando tienes una caries es la aparición de un agujero en la pieza dental afectada.
- Ese diente que tiene la caries va a tener una sensibilidad mucho mayor.
- Vas a notar que tienes algún agujero en el diente.
- El color de la pieza dental afectada tiene un color más marrón o casi negro en la superficie.
- En el momento en el que trituras los alimentos se siente un dolor y molestia.
- Sin razón aparente vas a sentir un dolor repentino en la zona donde tengas la caries.
En el momento en que tengas estos síntomas lo más recomendable es que acudas a la clínica dental para que el problema no vaya a más y te tengan que extraer la pieza dental o te cause una infección.
¿Cómo aliviar el dolor de dientes por caries?
La mayoría de los dolores dentales suelen estar asociados a una infección por caries. Como hemos comentado, es imprescindible ponerse en manos de un profesional cuando duele un diente por caries. De no ser así, el problema se agravará cada vez más.
Os dejamos una serie de consejos para aliviar el dolor de dientes por caries si no se puede acudir de manera inmediata a la consulta de un odontólogo:
- Utilizar colutorio o enjuagues de agua templada
- Evitar tomar alimentos excesivamente fríos o calientes
- Cepillar cuidadosamente y con frecuencia las piezas dentales
- Aplicar frío a la zona afectada
- Evitar alimentos azucarados
Tratamientos para la caries
Existen varios tratamientos para la caries en función de la gravedad en cada uno de los casos. Entre los tratamientos destacamos los siguientes en función del estado de la caries:
Estadio inicial:
Flúor para restaurar el esmalte de los dientes y conseguir parar el avance de la caries.
Estadio avanzado:
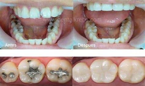
- Empaste dental del mismo color de la pieza dental para restaurar la pieza dental afectada.
- Fundas dentales o coronas dentales para aquellas caries que hayan afectado a la pieza dental ya sea rotura de la pieza. En este caso, antes de colocar la corona o la funda dental se eliminará todo el tejido dañado.
- Endodoncia con anestesia local para aquellos casos que la caries ha superado la superficie del diente y se encuentra en el interior. En este caso se eliminará el tejido dañado y será sustituido por un material que terminará con la infección.
Estadio grave:
En aquellos casos donde toda la pieza dental se encuentra afectada y no existe tratamiento alguno se tendrá que extraer la pieza dental. En los casos en los que se tenga que extraer la pieza dental no os preocupéis porque se os colocará un implante exactamente igual a vuestros dientes y no parecerá que tengais un implante.
Cuando se detecta una caries en un diente, siempre se recomienda al paciente que la trate lo antes posible. De esta forma, se puede evitar que se extienda la infección a las piezas adyacentes y a los tejidos colindantes, además de salvar el diente original.
Reponer un diente perdido o extraído por una caries, supone un gasto económico mucho más elevado, además de ser peor para la salud bucodental. Esto se debe a que, el tiempo que transcurra sin implante, provoca deterioro óseo, desplazamiento dental y otras consecuencias negativas para el organismo.
Existen varios tratamientos de odontología conservadora para curar y eliminar la caries dental. Estos se aplican dependiendo del grado de extensión que haya alcanzado.
Empaste
Si la caries dental no se ha extendido hacia la raíz el diente, se puede aplicar el tratamiento conocido como empaste dental. Con esta técnica, se debe limpiar y retirar toda la superficie deteriorada, dejando toda la zona preparada para la reconstrucción. Tras esto, el odontólogo procederá a sellar toda la zona con el material elegido.
El material de restauración más usado es la resina; con la que se puede trabajar de manera directa sobre el diente afectado, o de forma indirecta (a través de un encerado previo de la anatomía destruida por la caries).
Endodoncia
Cuando la caries dental está extendida y ha afectado a la pulpa dental en la raíz, se realizará una endodoncia para tratar de salvar el diente en mal estado. La endodoncia es el tratamiento que se realiza para limpiar los conductos radiculares, eliminando la infección y las partes necrosadas de la pulpa dental. De esta forma, se intenta conservar la estructura dental, ya que un diente propio siempre será la mejor opción para nuestra sonrisa.
Para evitar perder un diente cuando duele a causa de una caries avanzada, recurrimos a la endodoncia. Con este tratamiento, que se realiza con anestesia local, accedemos a la cámara pulpar y extraemos minuciosamente la pulpa y los nervios infectados. Después, rellenamos la cavidad con materiales biocompatibles y sellamos bien el diente para evitar nuevas infecciones. Por último, reconstruimos la corona para que el diente recupere su aspecto original.
Esta técnica, segura y efectiva, es la última oportunidad que tenemos para salvar un diente cuando duele por caries. Es un proceso rápido, sencillo y sin dolor que eliminará de raíz la infección y sus consecuentes molestias.

¿Cómo evitar perder un diente por una caries?
Aun así, nuestra recomendación siempre es la prevención. Lo ideal para evitar un dolor en el diente por caries, es:
- Acudir periódicamente al dentista para comprobar el estado de salud de tus dientes. Hay caries que no son tan visibles y es con ellas con las que debemos tener especial cuidado, pues la caries avanza con mayor rapidez en aquellas zonas en las que nuestra higiene es más deficiente. Visita a tu dentista para que pueda detectarlas y sanarlas a tiempo, cuando aún es posible recurrir a un empaste, y evitar que te causen dolor.
- Tener una óptima higiene oral. Recuerda cepillarte los dientes todos los días, especialmente después de comer y antes de irte a dormir, y complementa tu cepillado con otros instrumentos de higiene como la seda dental o el colutorio.
- Vigila tu alimentación. Los azúcares responsables de las caries también están presentes como azúcares añadidos en productos prefabricados. Trata de limitar el consumo de azúcar en tu dieta habitual.
Si sigues estos consejos, conseguirás que las caries queden como un pequeño susto y que tu salud oral no se vea perjudicada a largo plazo.
Lo recomendable para prevenir las caries es cepillarse los dientes antes de que transcurran 30 minutos tras la ingesta de alimentos, durante al menos 2 minutos y utilizando una correcta técnica. De este modo, se eliminarán los restos de alimentos que han quedado depositados sobre los dientes, y se minimiza la aparición de placa bacteriana.
Evitar la ingesta masiva de dulces y refrescos azucarados. Mantener una correcta disciplina dental cepillándose los dientes 3 veces diarias y utilizando el hilo dental para eliminar toda placa bacteriana de la boca. Utilizar enjuagues con flúor al menos 1 vez al día. Mejor que sea antes de dormir para que haga todo su efecto.
La sequedad bucal también puede llegar a provocar caries en las piezas dentales, por ello, en ese caso es recomendable que se beba mucha agua y se utilicen sustitutos salivales. Se puede optar por el uso de selladores en las roturas de los dientes, estos son efectivos antes de que la caries se convierta en un problema mayor y con ello se puede prevenir la caries.
Tipos de caries dental
Existen diferentes tipos de caries dentales:
- Caries de esmalte o de corona: Es la más habitual en los niños. Este tipo de afección daña la parte superior de la corona, zona en la que se acumula un mayor número de bacterias. Su detección es sencilla ya que el tejido superficial se ve decolorado.
- Caries de fisura: Esta variante aparece si no se ha tratado a tiempo una caries de esmalte o de corona. La porosidad del tejido dentario, aliado con posibles fisuras en la superficie dental, facilitan que esta enfermedad avance con mayor rapidez.
- Caries radicular: Este tipo de caries afecta directamente a la raíz dental. En este caso, suele ser necesaria una endodoncia acompañada de un empaste dental o reconstrucción.
- Caries rampante: Este tipo de caries se da principalmente en bebés y niños. Tiene un color característico negro/parduzco y se extiende rápidamente por toda la pieza dental.
Todos los tipos de caries dentales suponen un riesgo para la permanencia de los dientes y para la salud bucodental. Por lo que ponerle remedio cuanto antes es la manera más fácil de mantener nuestra boca sana.
Aunque lo habitual es que una caries afecte a un solo diente, existe la posibilidad de que aparezca una entre piezas: la caries interdental. A la hora de cuidar la higiene bucal, el acceso a esta zona es complicado, produciéndose una acumulación de placa bacteriana que puede derivar en la formación de sarro.
De la misma forma, en las proximidades de un diente ya tratado por la aparición de una caries dental puede aparecer una nueva por la reproducción de los restos de esta. En este caso, estaremos hablando de una caries recurrente.
| Tipo de Caries | Descripción | Tratamiento Común |
|---|---|---|
| Esmalte o Corona | Afecta la parte superior de la corona dental, común en niños. | Empaste dental |
| De Fisura | Avanza rápidamente debido a la porosidad y fisuras en el diente. | Empaste dental |
| Radicular | Afecta la raíz dental, a menudo requiere endodoncia. | Endodoncia y empaste |
| Rampante | Común en bebés y niños, se extiende rápidamente. | Tratamiento dental inmediato |