La gingivitis es una de las afecciones bucales más comunes, caracterizada por la inflamación de las encías. Aunque reversible, es el primer paso hacia enfermedades dentales más graves, como la periodontitis. Por ello, es esencial detectarla y tratarla a tiempo.
Mira 5 Remedios Caseros para la Gingivitis - Que es Bueno para la Gingivitis
En este artículo, exploraremos a fondo qué es la gingivitis, sus causas, síntomas y, lo más importante, los tratamientos disponibles para combatirla, tanto profesionales como caseros.

¿Qué es la Gingivitis?
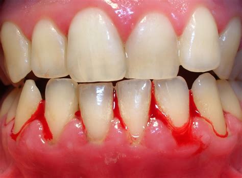
Se le conoce como gingivitis a la inflamación que padecen nuestras encías, siendo una dolencia totalmente reversible si se coge a tiempo. La gingivitis es una patología que afecta a las encías. La encía tiende a enrojecerse e inflamarse, incluso puede llegar a sangrar cuando nos cepillamos los dientes o a la hora de ingerir alimentos.
Causas de la Gingivitis
- Higiene bucal deficiente y acumulación de placa bacteriana: Los malos hábitos de higiene bucal pueden conllevar una limpieza deficiente. De esta forma, la placa bacteriana puede acumularse en los dientes.
- La gingivitis bacteriana: es el tipo más común de gingivitis y es causada por la acumulación de placa bacteriana en los dientes y las encías. Está producida por la bacteria Porphyromonas gingivalis, un microorganismo que ataca las encías cuando más desprevenidas están, es decir, a la hora de comer.
- Enfermedades o patologías sistémicas: Enfermedades del sistema inmunológico, diabetes, VIH, etc.
- Factores de riesgo: Embarazo, menopausia, colocación de los dientes, coronas o empastes mal hechos, factores hereditarios.
Síntomas de la Gingivitis
Es fundamental reconocer los síntomas de la gingivitis para actuar a tiempo. Algunos de los más comunes son:
- Inflamación gingival: Es el síntoma más común.
- Sangrado gingival: El sangrado gingival, especialmente durante el cepillado o el uso del hilo dental, es otro signo de gingivitis. Una encía sana no tiene que sangrar. A veces el sangrado de encías se produce de manera espontánea.
- Encía enrojecida: Como por ejemplo que la encía aparezca más enrojecida de lo normal y que duela.
- Retracción de las encías: Incluso se pueden llegar a retraer las encías, exponiendo la raíz dental.
- Bolsas interdentales: Otro síntoma claro es que se pueden llegar a formar una especie de bolsas en el espacio interdental, donde se acumulan los restos de comida y son focos de bacterias e infección.
- Halitosis: Esto puede generar halitosis o mal aliento.
- Absceso gingival: Es una bolsa de pus que se forma en las encías debido a una infección bacteriana.
- Hiperplasia gingival: Es un crecimiento excesivo del tejido gingival.

Tratamientos para la Gingivitis
Es fundamental estar informado sobre los diferentes tratamientos disponibles. En Clínica Acuadental, nos preocupamos de adaptar a tus necesidades las diferentes intervenciones disponibles para tratar la gingivitis.
Tratamientos Profesionales
- Higiene Oral Profesional: Aparte de llevar una higiene bucodental apta, es necesario también someterse a una limpieza bucal profunda a manos de un profesional de la odontología. El dentista deberá realizar un diagnóstico y planificar el tratamiento.
- Antibióticos: En algunos casos, sobre todo cuando la gingivitis es severa o persistente, los antibióticos suelen ser necesarios para controlar la infección. Amoxicilina y Metronidazol son los 2 antibióticos de elección que actúan de forma sinérgica y cubren ampliamente el espectro de las bacterias periodontopatógenas.
- Enjuague bucal con clorhexidina: La clorhexidina es un desinfectante oral que se usa comúnmente para tratar la gingivitis. El enjuague bucal puede ayudar a controlar y prevenir la gingivitis al reducir la placa y las bacterias en la boca.
- Gingivectomía: Otra solución que se puede llegar a plantear es la realización de una Gingivectomía.
Remedios Caseros
Aparte de los tratamientos para la gingivitis que puedes encontrar en tu Clínica Dental de confianza, debes saber que existen también diferentes remedios para la gingivitis que te pueden ser de gran ayuda.
- Bicarbonato de sodio: Los restos de la comida así como las bacterias presentes se degradan con el paso del tiempo y es aquí donde entra en juego este remedio natural, ya que el bicarbonato es capaz de llegar a neutralizar todos esos ácidos. Tan sólo tienes que coger un poco de agua oxigenada y añadir una cucharilla de café de bicarbonato de sodio. Verás que si lo mezclas bien obtendrás una especie de pasta que deberás aplicar directamente a las encías afectadas y realizar un masaje suave. Con un par de minutos será más que suficiente y luego sólo te tendrás que enjuagar la boca con agua corriente. Es aconsejable que repitas este proceso al menos 3 veces a la semana.
- Aloe Vera: Esta planta posee multitud de propiedades y beneficios para nuestra salud y es válida como remedio contra la inflamación que produce la gingivitis. Para ello, toma una hoja de aloe y elimina la pulpa que posee. Verás que aparece un gel que deberás aplicar en tus encías, realizando movimientos circulares y suaves. Repite el proceso 3 veces por semana y tu boca te lo agradecerá enormemente.
- Cúrcuma: Esta planta tropical es un buen aliado, ya que posee altas dosis de propiedades antioxidantes y, especialmente, antiinflamatorias. Al igual que hemos mencionado anteriormente, masajea tus encías afectadas por esta dolencia y deja reposar durante unos 4 ó 5 minutos en tu boca. Luego enjuágate y repite esto un par de ocasiones más a la semana y tu problema encontrará solución.
- Tomillo: Esta planta aromática la puedes emplear como remedio casero.
- Enjuagues con sal o agua oxigenada: La primera reacción para tratar una infección en las encías es recurrir a remedios caseros como enjuagues con sal o agua oxigenada.
¿Cómo prevenir la gingivitis?
La mejor forma de prevenir la aparición de la gingivitis es llevando una correcta higiene dental. Hay una serie de medidas para prevenir la gingivitis que debemos adoptar y que abordan varios terrenos: el de la higiene, el de los hábitos alimentarios y el de los factores de riesgo. Nuestros consejos se mueven en estos campos.
- Higiene bucal adecuada: Cepillándonos nuestras piezas dentales y haciendo uso de hilo dental y colutorios podemos llegar a eliminar esa placa llena de bacterias presente en nuestra boca. Una buena higiene bucal es mucho más que pasar el cepillo por los dientes de cualquier manera. La higiene bucal incluye un cepillado correcto, el uso del hilo dental (o irrigador, o cepillos interproximales) y el uso de productos que ayuden a eliminar bacterias que provoquen el problema. Siempre después de cada comida, y con especial interés antes de irnos a la cama. Incidiremos especialmente en los dientes traseros, aquellos a los que llega el cepillo con mayor dificultad.
- Técnica de cepillado correcta: Cada vez que nos cepillamos los dientes, hemos de ser conscientes de lo que estamos haciendo. Es decir: nada de cepillarse los dientes mientras miramos la televisión o charlamos con nuestra pareja. Si queremos evitar la gingivitis hay que realizar una limpieza a conciencia. Hemos de esperar media hora después de comer para cepillar nuestros dientes: nada más terminar de comer, el pH de la boca se acidifica, y si el cepillado se realiza en ese tiempo lo que estamos haciendo es llevar el ácido a toda la dentadura. El sangrado ocasional de las encías puede ser el resultado de una mala técnica de cepillado por lo que no debes cepillarte los dientes con demasiada fuerza. Usa un cepillo de dientes suave, cerdas medianas y duras pueden ser demasiado abrasivo para unas encías delicadas.
- Uso de hilo dental, irrigador o cepillos interproximales: El hilo dental es imprescindible para completar nuestra higiene. Se trata de llegar a esos sitios a los que el cepillo no llega. Un irrigador bucal, si se tiene, o unos cepillos interproximales adecuados a nuestra dentadura, harán la misma función.
- Colutorio: El colutorio es una solución acuosa con principios activos terapéuticos enfocada a eliminar problemas bucales. En general, previene la gingivitis y elimina restos de placa. Por tanto, enjuagar con colutorio durante 30 segundos es importantísimo para evitar inflamaciones.
- Dieta saludable: Existe una relación directa entre la salud bucodental y una dieta saludable. Su contenido en calcio es muy interesante para los dientes. Cuanto más calcio consumamos (dentro de unos límites saludables), más fuertes estarán nuestros huesos y, en consecuencia, nuestros dientes. Resultan muy beneficiosa en dos sentidos: primero, por el aporte vitamínico; segundo, por su alto contenido en fibra. Todo aquel alimento que elimine o mate potenciales bacterias que provocan la gingivitis es bienvenido. Manzanas, peras, zanahorias…, son alimentos que, tomados en crudo, fortalecen los dientes debido a la acción de la masticación.
- Evitar el tabaco y el alcohol: Y, tanto o más grave que consumir azúcar, se encuentra el terrible hábito de fumar. El tabaco afecta directamente a la regresión de las encías, lo cual las hace más susceptibles de padecer enfermedades.
- Visitas regulares al dentista: Cada seis meses hay que visitar al dentista. Por una parte, él es el que mejor nos orientará sobre el estado de nuestras encías. También nos alertará ante la posible aparición de gingivitis. Pero, sobre todo, podremos realizar una limpieza en profundidad que mantenga nuestra boca en buen estado.
- Vitaminas C y K: Las deficiencias de vitaminas C y K también pueden causar que las encías sangren fácilmente. Es muy recomendable si te sangran las encías que sigas una dieta que contenga estas vitaminas. Los alimentos ricos en vitamina C incluyen: frutas y jugos cítricos, brócoli, fresas, tomates, papas, pimientos.
